Management of Class II Malocclusion in Children and Adolescents: A Case Report ()

1. Introduction
Class II malocclusion is the most prevalent sagittal skeletal discrepancy [1] , characterized by an anteroposterior shift between the maxillary and mandibular bases. It can be dental and/or skeletal, involving mandibular deficiency, maxillary excess, or a combination of both [2] . Severe class II mandibular retrognathism is considered one of the most difficult malocclusions to treat [3] , and has a strong impact on the perception of facial attractiveness [4] . In Morocco, class II malocclusions affect nearly 24% of children aged 8 - 12 [5] , and 25% of 12-year-olds in the United Kingdom. The treatment protocols can widely vary according to professional ability, malocclusion severity, and patient compliance [6] . In growing patients, growth modification is a feasible and more conservative approach, which is more appealing than camouflage [7] . In early treatment, treatment is given in two phases: first during the mixed dentition (phase I 7 to 11 years old) which is usually followed by a second course of appliance therapy during early adolescence (phase II around 12 to 16 years old [1] [8] . The primary purpose of these treatments is to stimulate mandibular growth by forward positioning of the mandible [9] . In late treatment (one phase), there is only one course of treatment in adolescence [1] . Early management has several advantages since it allows normalization of the skeletal growth pattern [8] and reduces the incidence of incisal trauma [1] [10] ; it also reduces the duration of subsequent phase II treatment which will become simpler and faster [8] . However, treatment trends over the past 15 years show that elastics and fixed functional appliance usage have increased from 20% to 38% and from 0% to about 15%, respectively, while the rates of orthognathic surgery and extraction treatment decreased for these patients [11] . The orthodontist is faced with the dilemma of whether to treat the patient early or wait and provide treatment in adolescence [1] . The aim of our work is to clarify through these three clinical cases the different elements of decision when choosing the moment of treatment (one or two phases) in order to allow better management of our patients.
2. Case 1
2.1. Diagnosis
A 13-year-old patient reported to the Department of Dento-Facial Orthopedics of the Dental Consultation and Treatment Center (CCTD) of the Ibn Rochd University Hospital in Casablanca, Morocco, with an aesthetic chief complaint which was projection of the incisors and unpleasant profile. No pathological background information was reported according to her medical history. Clinical examination (Figure 1) showed a convex profile with accentuated labiomental groove. The patient was in the permanent dentition stage. Concerning the inter-arch relationship we recorded a Class II molars and canines on the left side and class I canine and molar on the right side, with a deviation of the inter incisal median on the left side of mandibular origin, with 6 mm of overjet and 4 mm of overbite. She had mild maxillary and mandibular arch crowding. The panoramic radiograph (Figure 2) showed normal bone and tooth forms with developing third molars. Cephalometric analysis (Table 1) revealed a Class II skeletal base (ANB = 10˚) with normotrusive maxilla, retrusive mandible (SNA = 84˚, SNB = 74˚). Moreover, the patient had a skeletally normal face (GoGn/SN = 33˚, FMA = 22˚). In addition, the upper incisor was normoclined (I/NA = 22˚/4mm), and lower incisors were proclined (I/NB = 37˚/7mm).
2.2. Treatment Objectives
The main goals of treatment were to attain a pleasing profile by obtaining
![]()
Figure 1. Pre-treatment extraoral and intraoral photographs.
![]()
Figure 2. Pre-treatment lateral cephalogram and panoramic radiograph treatment plan and progress.
![]()
Table 1. Pre-treatment and post-treatment cephalometric measurements.
normal anterior overbite, obtain Class I skeletal relationship, correct the canine and molar relation, achieve proper alignment, and correct the lower incisor’s proclination.
2.3. Treatment Plan and Progress
To reach these goals, we decided for an orthodontic treatment with germectomy of the 18-28-38-48. The first phase of alignment, levelling and correction of rotations was obtained by using flexible wires NiTi arches, 0.14 NiTi archwires were placed for alignment. A sequence of alignment archwires was used until 16.22 NiTi was reached. Then progressive heavy Stainless Steel arches (17.25; 19.25) were placed in the maxillary and mandibular arches for finishing. Class I occlusion and correct intercuspidation were obtained by using intermaxillary elastics traction. The fixed appliance was then removed, and upper and lower retentions were put right. The total treatment duration was 20 months.
2.4. Treatment Results
The post-treatment records show improvement in profile convexity, Class I skeletal relationship, Class I canines and molars (Figure 3), reduction of ANB angle (Table 1), improved anteroposterior position of the mandible, and proper alignment of teeth (Figure 3). We were therefore able to meet the patient’s treatment objectives. (Figure 4 and Figure 5)
![]()
Figure 3. Post-treatment extraoral and intraoral photographs.
![]()
Figure 4. Post-treatment lateral cephalogram and panoramic radiograph.
![]()
Figure 5. Cephalometric superimposition. Black, pre-treatment; red, post-treatment.
3. Case 2
3.1. Diagnosis
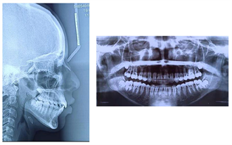
An 8-year-old patient reported to the Department of Dento-Facial Orthopedics of the Dental Consultation and Treatment Center (CCTD) of the Ibn Rochd University Hospital in Casablanca, Morocco, with an aesthetic chief complaint which was projection of the maxillary incisors. He was also experiencing significant school bullying related to his teeth. The functional examination shows an atypical swallowing with interposition of the lower lip, and parents report that the child has allergic rhinitis that has been treated and monitored. Clinical examination (Figure 6) showed a convex profile with accentuated labiomental groove and short cervico-chin distance. The patient was in the mixed dentition stage. Concerning the inter-arch relationship we recorded a Class II molars and canines relation, with 11 mm of overjet and 4 mm of overbite. He had diastema between 53/12, 12/11, 63/22, 41/31 and occlusal fracture on the 21. The panoramic radiograph (Figure 7) showed normal bone and tooth forms without developing third molars. Cephalometric analysis revealed a Class II skeletal base (ANB = 9.2˚) with normotrusive maxilla, retrusive mandible (SNA = 84.7˚, SNB 75.6˚). Moreover, the patient had a skeletally long face (GoGn/SN = 35˚, FMA = 30.9˚). In addition, the upper incisor was prooclined (I/NA = 28.9˚/3mm), and lower incisors was normoclined (I/NB = 20˚/4mm).
3.2. Treatment Objectives
The main goals of treatment were to attain a pleasing profile by obtaining normal anterior overbite, obtain Class I skeletal relationship, correct the canine and molar relation, and correct the upper incisor’s proclination. (Figure 8 and Figure 9)
3.3. Treatment Plan and Progress
To reach these goals, we decided for an early treatment with Herbst rods. Ten months of early Herbst rods treatment resulted in a reduction of the overjet to 5 mm. then the appliance was left as a restraint for 3 months. Orthodontic treatment was then considered as a final step (Figure 10).
![]()
Figure 6. Pre-treatment extraoral and intraoral photographs.
![]()
Figure 7. Pre-treatment lateral cephalogram and panoramic radiograph.
![]()
Figure 8. Extraoral and intraoral photographs after orthopedic treatment.
![]()
Figure 9. Lateral cephalogram and panoramic radiograph after orthopedic treatment.
![]()
Figure 10. Extraoral and intraoral photographs during orthodontic treatment.
3.4. Treatment Results
The post-treatment records show improvement in profile convexity (Figure 11), Class I skeletal relationship, Class I canines and molars, reduction of ANB angle (Table 2), improved anteroposterior position of the mandible, and improved self-esteem. We were therefore able to meet the patient’s treatment objectives. (Figure 12)
4. Case 3
4.1. Diagnosis
A 12-year-old patient presented to the dentofacial orthopedics department of the Dental Consultation and Treatment Center (CCTD) of the CHU Ibn Rochd of Casablanca, Morocco, with a mainly aesthetic complaint related to the projection of the maxillary incisors. The functional examination showed an atypical swallowing with tongue interposition. The clinical examination (Figure 13) showed a convex profile with an accentuated mentolabial groove and a short cervico-chin distance. The patient was at the stage of young adolescent dentition. Regarding the inter-arch relationship, we recorded a class II molar and
![]()
Figure 11. Lateral cephalogram and panoramic radiograph during orthodontic treatment.
![]()
Figure 12. Cephalometric superimposition. Black, pre-treatment; red, during orthodontic treatment.
![]()
Figure 13. Pre-treatment extraoral and intraoral photographs.
![]()
Table 2. Pre-treatment, post orthopedic treatment and cephalometric measurements.
canine relationship, with 6 mm of overjet and 4 mm of overbite. He had a diastema between 11/12/13/21/22/23. The panoramic radiograph (Figure 14) showed normal bone and tooth shapes, with the presence of the 4 wisdom tooth sprouts. Cephalometric analysis (Table 3) revealed a class II skeletal base (ANB = 5˚) with a protrusive maxilla, a retrusive mandible (SNA = 83˚, SNB 78˚). In addition, the patient had a skeletally long face (GoGn/SN = 41˚, FMA = 35˚). In addition, the upper incisors were proclined (I/NA = 37˚/10mm), and the lower incisors were also proclined (I/NB = 36˚/8mm).
4.2. Treatment Objectives
The main goals of treatment were to attain a pleasing profile by obtaining normal anterior overbite, obtain Class I skeletal relationship, correct the canine and molar relation, and correct the incisor’s proclination.
4.3. Treatment Plan and Progress
To reach these goals, we decided for an orthodontic treatment with germectomy of the 18-28-38-48. The first phase of alignment, levelling and correction of rotations was obtained by using flexible wires NiTi arches, 0.14 NiTi archwires were placed for alignment. A sequence of alignment archwires was used until 16.22 NiTi was reached. Then progressive heavy Stainless Steel arches (17.25; 19.25) were placed in the maxillary and mandibular arches for finishing. Class I occlusion and correct intercuspidation were obtained by using intermaxillary elastics traction. The patient is still in the finishing stage (Figure 15).
![]()
Figure 14. Pre-treatment lateral cephalogram and panoramique radiograph.
![]()
Figure 15. Extraoral and intraoral photographs during treatment.
![]()
Table 3. Pre-treatment and post-treatment cephalometric measurements.
4.4. Treatment Results
Records post treatment show improvement in profile convexity (Figure 16), Class I skeletal relationship, Class I canines and molars, reduction in ANB angle (Table 3), improvement in the anteroposterior position of the mandible, and correct alignment of the teeth. We were therefore able to achieve the majority of the patient’s treatment goals. (Figure 17 and Figure 18)
![]()
Figure 16. Extraoral and intraoral photographs during treatment.
![]()
Figure 17. Pre-treatment lateral cephalogram and panoramique radiographs.
![]()
Figure 18. Cephalometric superimposition. Black, pre-treatment; red, during orthodontics treatment.
5. Discussion
The results of our three case reports showed a correction of the Class II malocclusion with a decrease in overjet, and an improvement of the facial profile. In the first case, the preparation of the arches followed by using intermaxillary elastics traction elastic allowed the correction of the class II malocclusion.
Class II elastics are effective in correcting Class II malocclusions, and their effects are mainly dentoalveolar [12] [13] . Usually, skeletal changes are generally produced by appliances that apply heavier forces during longer periods of time [14] . The comparative studies showed that the changes produced by Class II elastics are similar to those produced by functional appliances in the long term [6] .
Concerning the 2nd case, the correction of the class II malocclusion was obtained thanks to the use of Herbs’ connecting rod. The difference in the timing of treatments (whether to start treatment in the children or wait until adolescence) has been unclear and a topic of debate for quite some time. Regarding early treatment, it was reported that the approach results in a more favorable occlusal result and skeletal correction, along with psychological benefits [8] ; it may reduce the incidence of bullying, and the chance of trauma to the front teeth may be reduced [4] . In our case the Herbst device was worn for 10 months with a 3-month restraint, this is in accordance with what has been recommended in the literature since to maintain normal growth [15] [16] . Thereafter Herbst recommended that treatment duration with his appliance should not be less than 9 months, and this purportedly allowed newly formed condylar bone to mature and become stable [15] . Stepwise mandibular advancement might be more appropriate to produce greater skeletal changes and less dental compensation than single-step mandibular advancement [3] . The initial correction of a Class II relationship involves not just posturing the mandible in a forward position; vertical opening of the bite typically is involved, and a deep overbite is corrected [17] . In the maxilla the appliance has a growth-restrictive effect [15] [18] . In our case a reduction of the overjet of 5 mm was observed with an overcorrection of the molar relation in class I, the correction of the molar relation was 4 mm. Overjet and molar relationship corrections were due to both skeletal and dental changes which is consistent with the results of the literature [8] [19] .
Regarding the mechanism of the Class II correction, the quality and durability of the effects achieved by orthodontic mandibular advancement may vary based on multiple factors, such as the choice of the appliance type, vertical opening, or subject’s age [20] , the younger the patient, the more the skeletal correction, and the older the patient.
6. Conclusion
Orthodontic treatment for children, followed by a later phase of treatment when in adolescence, may significantly reduce the incidence of incisal trauma and may reduce the incidence of bullying as compared to treatment that is provided in one phase in adolescence. There seem to be no other advantages to providing a two-phase treatment in children compared to one-phase in adolescence.