Hemichorea in nonketotic hyperglycemia: Putamenal and cerebellum lesion on MR imaging

Abstract

Hemichorea with corresponding putamenal T1 hyper-intensity and T2 hypointensity on MR imaging has occasionally been reported in diabetes mellitus with nonketotic hyperglycemia. However, the signal intensity in pu-tamenal and cerebellum lesion on MR imaging, which is believed to be pathogenetically related to hemichorea, is rarely documented in diabetes mellitus with nonketotic hyperglycemia. We describe a 57-year-old man with nonketotic hyperglycemic hemichorea on his right arm and legs, whose signal intensity in putamenal and cerebellum lesion was demonstrated by MR imaging.

Share and Cite:

Zhou, Y. , Wang, G. , Chen, X. , Yang, T. , Wang, Y. , Chang, C. , Wang, Y. , Gu, H. , Bao, J. , Xu, G. and Tong, D. (2012) Hemichorea in nonketotic hyperglycemia: Putamenal and cerebellum lesion on MR imaging. World Journal of Neuroscience, 2, 138-140. doi: 10.4236/wjns.2012.22020.

1. INTRODUCTION

Currently nonketotic hyperglycemia-induced complictions in the brain encompasses a variety of diseases that may injure and cause structural alteration of the brain; the diseases may be nonketotic hyperosmolar coma, nonketotic hyperosmolar hyperglycemic seizures, and nonketotic hyperglycemic hemichorea. Especially, there are limited reports of the high intensity on T1-weighted images and a low intensity on T2-weighted images in both putamina in nonketotic hyperglycemic hemichorea [1-3]. This study describes our experience with a patient with diabetes mellitus secondary to an insult who presented with acute hemichorea and a rare signal intensity in putamenal and cerebellum lesion on MR imaging. The purpose of this article is not only to describe an uncommon imaging appearance on MRI in order to augment recognition and treatment but also to determine pathophysiologic mechanisms.

2. CASE REPORT

A 57-year-old man was admitted for sudden onset of abnormal movement on his right arm and legs on March 17, 2010. 15 days before admission, hemichorea began insidiously on the right side, and the intensity had aggravated during these 3 days. He had no headache, vertigo, hemiparesis, or any other neurologic deficits. He had a history of diabetes mellitus and a history of hypertension for 4 years, without using hypoglycemic agent and antihypertension. He had no a stroke, parkinsonism, or other neurologic diseases. At admission, the blood pressure was 160/80 mmHg, patient was fully alert, and his speech was fluent. Neurologic examination showed normal findings except for the hemichorea in the right side. The initial blood glucose level was 21.5 mmol/L, hemoglobin A1c concentration was 11.02%, and the urine was no ketonuria. The white-cell count was 6700 per cubic millimeter, neutrophils 63.4 percent; the henatocrit was 34.8 percent. The serum sodium was 132.8 mmol per liter, serum potassium 3.9 mmol per liter, and serum osmolality 287.1 mOsm/L. The results of tests of liver and renal function were all within normal ranges. An electrocardiogram showed the T wave change. Brain MR imaging, including DWI, FLAIR, and T1- and T2- weighted images, was performed at admission (Figures 1(A)-(D)). The chorea was no controlled, and the patient was discharged on the 10th hospital day.

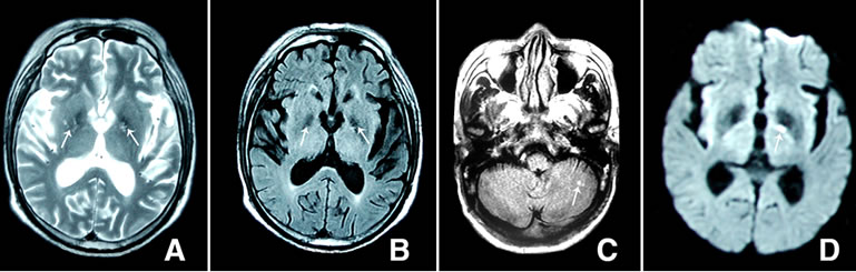
Figure 1. Brain magnetic resonance images, obtained on the 15 day. (A) T2-weighted image shows low signal intensities in the putamen and focal high signal intensity in the putamen (arrow); (B) The T1-weigted image shows low signal intensity in the putamen (arrow); (C) The Flair image shows high signal intensity in the left cerebellar (arrow); (D) The diffusion-weighted images shows signal intensity in the left putamen (arrow).

3. DISCUSSION

Hemichorea with corresponding putamenal T1 hyperintensity and T2 low signal intensity on MR imaging has occasionally been reported in patients with nonketotic hyperglycemia [1-3]. The pathophysiologic mechanisms underlying the imaging findings remain controversial. High signal intensity on T1-weighted images is related to petechial hemorrhage [4,5]. Low signal intensity on T1-weighted images is consistent with microcalcifications or deposition of other metabolic minerals [6], whereas others assert that hyperintensity on T2 and DWI may be associated with edema [7]. However, the findings of the biopsied putamen included multiple infarcts associated with reactive astrocytic and interneuronal response, not with petechial hemorrhage and calcification [8]. Some authors [9,10] have suggested that the imaging findings are sequel to a delayed ischemic event.

On the other hand, hyperglycemia can disrupt the blood-brain barrier and produce a global decrease in regional cerebral blood flow [11,12], even lead to neuronal death [13,14]. Experimental data demonstrated that high glucose causes activation of several proteins involved in apoptotic cell death [15]. Some authors suggest that insulin deficiency plays a compounding role to that of hyperglycemia in neuronal apoptosis underpinning primary diabetic encephalopathy [16]. Delayed ischemic hyperintensity on T1-Weighted images and selective neuronal death and gliosis in the putamen of rats after brief focal ischemia have been reported. Recently, an interesting finding has been put forward by Raghavendra S et al. [17] suggesting that focal neuronal loss occurs in bilateral striatal T2 hyperintensity in nonketotic hyperglycemia. However, our patient had hemichorea associated with diabetes mellitus with nonketotic hyperglycemia, and T2-weighted image and the DWI on the brain showed signal intensities in the putamen, and the T1-weigted image showed low signal intensities in the putamen, and the Flair image shows high signal intensity in the left cerebellum.

To the best of our knowledge, nonketotic hyperglycemic hemichorea with signal intensity in cerebellum lesion have not been reported. The most likely explanation of these signal intensity imagings finding is related to focal neuronal loss or necrosis. In addition, hyperintensity on DWI may be associated with edema. He had a history of diabetes mellitus and a history of hypertension for 4 years, MRI performed in the patient was on the 15days after onset, which implied that different MR imaging stages could occur. Our data demonstrated the finding of El Otmani H et al. [18] in their latest paper; that is, the radiological spectrum of the chorea induced by non-ketotic hyperglycaemia is heterogeneous and not restricted to a typical triad.

Conflicts of Interest

The authors declare no conflicts of interest.

References

[1] Dell, L.A., Brown, M.S., Orrison, W.W., Eckel, C.G. and Matwiiyoff, N.A. (1988) Physiologic intracranial calcification withhyperintensity on MR imaging: Case report and experimental model. American Journal of Neuroradiology, 9, 1145-1138.
[2] Henkelmen, R.M., Walts, J.F. and Kucharczyk, W. (1991) High signal intencity in MR images of calcified brain tissue. Radiology, 179, 199-206.
[3] Nagai, C., Kato, T., Katagiri, T. and Sasaki, H. (1995) Hyperintense putamen on T1-weighted MR images in a case of chorea with hyperglycemia. American Journal of Neuroradiology, 16, 1243-1246.
[4] Lai, P.H., Tien, R.D., Chang, M.H., et al. (1996) Chorea-ballismus with nonketotic hyperglycemia in primary diabetes mellitus. American Journal of Neuroradiology, 17, 1057-1064
[5] Chang, M.H., Chiang, H.T., Lai, P.H., et al. (1997) Putaminal petechial haemorrhage as the cause of chorea: A neuroimaging study. Journal of Neurology, Neurosurgery, and Psychiatry, 63, 300-303. doi:10.1136/jnnp.63.3.300
[6] Cherian, A., Thomas, B. and Baheti, N.N. (2009) Chemmanam T, Kesavadas C.Concepts and controversies in nonketotic hyperglycemia-induced hemichorea: Further evidence from susceptibility-weighted MR imaging. Journal of Magnetic Resonance Imaging, 29, 699-703. doi:10.1002/jmri.21672
[7] Chu, K., Kang, D.-W., Kim, D.-E., Park, S.-H. and Roh. J.-K. (2002) Diffusion-Weighted and Gradient Echo Magnetic Resonance Findings of Hemichorea-Hemiballismus Associated With Diabetic Hyperglycemia: A Hyperviscosity Syndrome? Archives of Neurology, 59, 448-452. doi:10.1001/archneur.59.3.448
[8] Ohara, S., Nakagawa, S., Tabata, K. and Hashimoto, T. (2001) Hemiballism with hyperglycemia and striatal T1-MRI hyperintensity: An autopsy report. Movement Disorders, 16, 521-525. doi:10.1002/mds.1110
[9] Chang, K.H., Tsou, J.C., Chen, S.T., Ro, L.S., Lyu, R.K., Chang, H.S., Hsu, W.C., Chen, C.M., Wu, Y.R. and Chen, C.J. (2010)Temporal features of magnetic resonance imaging and spectroscopy in non-ketotic hyperglycemic chorea-ballism patients. European Journal of Neurology, 17, 589-593. doi:10.1111/j.1468-1331.2009.02867.x
[10] Fujioka, M., Taoka, T., Matsuo, Y., et al. (2003)Magnetic resonance imaging shows delayed ischemic striatal neurodegeneration. Annals of Neurology, 54, 732-747. doi:10.1002/ana.10751
[11] Iwata, A., Koike, F., Arasaki, K. and Tamaki, M. (1999) Blood brain barrier destruction in hyperglycemic chorea in a patient with poorly controlled diabetes. Journal of the Neurological Sciences, 163, 90-93. doi:10.1016/S0022-510X(98)00325-6
[12] Cheema, H., Federman, D. and Kam, A. (2011) Hemichorea-hemiballismus in non-ketotic hyperglycaemia. Journal of Clinical Neuroscience, 18, 293-294. doi:10.1016/j.jocn.2010.04.036
[13] Greene, D.A., Stevens, M.G., Obrosova, I. and Feldman, E.L. (1999) Glucose induced oxidative stress and programmed cell death in diabetic neuropathy. European Journal of Pharmacology, 375, 217-223. doi:10.1016/S0014-2999(99)00356-8
[14] Fujioka, M., Taoka, T., Matsuo, Y., Hiramatsu, K.I. and Sakaki, T. (1999) Novel brain ischemic change on MRI: delayed ischemic hyperintensity on T1-weighted images and selective neuronal death in the caudoputamen of rats after brief focal ischemia. Stroke, 30, 1043-1046. doi:10.1161/01.STR.30.5.1043
[15] Sharifi, A.M., Mousavi, S.H., Harhadi, M. and Larijani, B. (2007) Study of high glucose-indused apoptosis in Pc12Cells: Role of Bax protein. Journal of Pharmacological Sciences, 104, 258-262. doi:10.1254/jphs.FP0070258
[16] Li, Z.G., Zhang, W. and Sima, A.A. (2005) The role of impaired insulin/IGF action in primary diabetic encephalopathy. Brain Research, 1037, 12-24.
[17] Raghavendra, S., Ashalatha, R., Thomas, S.V. and Kesavadas, C. (2007) Focal neuronal loss, reversible subcortical focal T2 hypointensity in seizures with a nonketotic hyperglycemic hyperosmolar state. Neuroradiology, 49, 299-305. doi:10.1007/s00234-006-0189-6
[18] El Otmani, H., Moutaouakil, F., Fadel, H., El Ouafi, N., Abdoh Rafai, M., El Moutaouakil, B. and Slassi, I. (2009) Chorea-ballismus in acute non-ketotic hyperglycaemia. Functional Neurology, 24, 129-132.

Copyright © 2025 by authors and Scientific Research Publishing Inc.

Creative Commons License

This work and the related PDF file are licensed under a Creative Commons Attribution 4.0 International License.