Bilateral Autoimmune Multifocal Choroiditis Following COVID-19 Vaccination

Abstract

A 25-year-old man developed bilateral uveitis and choroiditis with blurred vision six days after receiving the second dose of the AstraZeneca COVID-19 vaccine. His vision and retinal condition improved significantly following topical and systemic steroid treatment. However, while the right eye fully recovered, the left eye experienced partial vision loss due to damage to the photoreceptors. Although establishing a direct causal link is difficult, the close association with the COVID-19 vaccine may have triggered the choroiditis episode. Patients should be informed of this potential risk and advised to seek prompt eye evaluation if they notice visual symptoms after vaccination.

Share and Cite:

Gad, O.S. and Marshood, A. (2025) Bilateral Autoimmune Multifocal Choroiditis Following COVID-19 Vaccination. Open Journal of Ophthalmology, 15, 252-257. doi: 10.4236/ojoph.2025.154029.

1. Introduction

COVID-19, a disease caused by the Severe Acute Respiratory Syndrome Coronavirus-2 (SARS-CoV-2), has led to millions of deaths and placed significant financial and social burdens on society due to the recent global pandemic. The rapid and widespread availability of effective and safe vaccines against SARS-CoV-2 and COVID-19, which reduce viral infections, disease transmission, and mortality, is crucial for maintaining global public health [1].

The COVID-19 vaccines have reached billions of people worldwide, providing life-saving protection against the disease. As we move further into the post-COVID era, it is essential to document the advantages and disadvantages of past experiences for the future. Vaccines remain our best option for staying safe, and several clinical trials are underway to examine the efficacy and safety of new vaccines [2].

Many types of vaccines are available, and one of the most widely used in the Middle East is the adenovirus-vectored vaccine (ChsdOx1 nCoV-19, AZD12222, AstraZeneca). Common side effects of the vaccine include fatigue, muscle aches (myalgia), headache, and local reactions. More serious side effects, such as severe allergic reactions, occur in about 1 in 100,000 people. However, since these vaccines are relatively new, the documented long-term side effects are limited [3].

We present a case of immune-mediated multifocal choroiditis with pan-uveitis following administration of the second COVID-19 vaccine (AstraZeneca), along with early management and close follow-up through clinical evaluation and multimodal imaging until improvement.

2. Case Report

In October 2021, a healthy 25-year-old Caucasian, athletic male presented to the general ophthalmology clinic at our hospital with blurred vision in his left eye, which had occurred 6 days after receiving the second dose of the ChAdOx1 nCoV-19 vaccine (AstraZeneca, Inc.), with no other systemic symptoms or notable medical history. Ocular examination revealed best-corrected distant visual acuity of 20/20 (OD) and 20/25 (OS), an IOP of 9 mmHg (OU), and +3 cells in the anterior chamber, along with keratic precipitates (OU). A provisional diagnosis of anterior uveitis was made, and the patient was started on topical prednisolone acetate 1% every four hours in both eyes.

After one week, the patient returned with decreased vision in both eyes: BDVA 20/70 (OD) and hand motion (OS). Fundus examination revealed bilateral dense vitreous cells (+4) and multifocal choroiditis, which was diffuse and confluent in the left eye. Optical coherence tomography (OCT), fundus photography, and fundus fluorescein angiography (FFA) were performed and showed bilateral choroidal and retinal infiltrates (Figure 1) with loss of choroid-retinal differentiation, along with left subretinal and intraretinal fluid and loss of the photoreceptor layer. Laboratory work-up was conducted, revealing negative findings for infectious diseases (such as tuberculosis, syphilis, toxoplasmosis, and herpes viruses) and autoimmune diseases (including antinuclear antibodies, rheumatoid factor, HLA-B27, and ACE level). Systemic steroid therapy was initiated in the form of 2 mg/kg prednisolone tablets (single dose in the morning).

After three days, the BDVA improved to 20/40 (OD) and CF 1M (OS), with the fundus examination showing a reduction in vitreous cells to +2. The OCT indicated the resolution of subretinal and intraretinal fluid, as well as a decrease in the retinal infiltrates seen on fundus photography (Figure 2).

Following subsequent follow-up visits, the visual acuity (VA) in the right eye improved dramatically to 20/20, while the left eye measured 20/400. The optical coherence tomography (OCT) showed progressive improvement until the fluid was completely resolved, and the outer retinal layers partially recovered in both eyes; however, the photoreceptor layer was lost in the left eye (Figure 2).

Figure 1. A color fundus photo shows multifocal confluent choroidal infiltrates. Bilateral fluorescein angiography reveals choroidal and retinal infiltrates with blocking of choroidal fluorescence in the early phases and late staining of the choroidal lesions. Bilateral OCT demonstrates a loss of differentiation of retinal layers in both eyes, along with left subretinal and intraretinal fluid and loss of the photoreceptor layer.

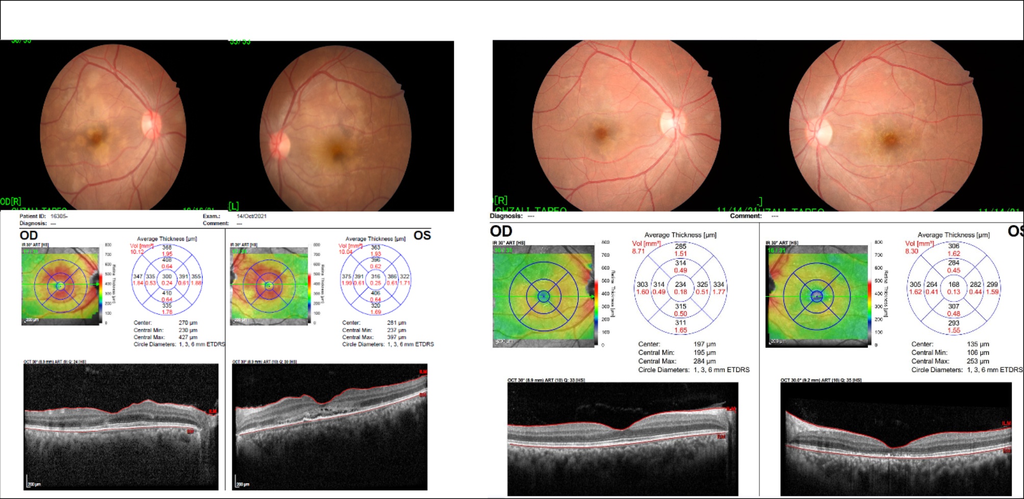
Figure 2. Shows color fundus photos from left to right. The images show a gradual resolution of the choroidal infiltrates and atrophic changes in the retinal pigment epithelium. The OCT shows resolution of chorioretinal infiltrates and subretinal and intraretinal fluid, with recovery of the outer retinal layers in both eyes; however, a loss of the photoreceptor layer is noted in the left eye.

After resolving the signs of inflammation, a gradual tapering of the steroids was started. The tapering plan was adjusted to decrease the dose by 50% every week. After one week of tapering, visual acuity in the left eye was 20/100, with an improved clinical picture and OCT findings.

3. Discussion

This case describes a rare presentation of bilateral anterior uveitis and multifocal choroiditis following the administration of the second dose of the ChAdOx1 nCoV-19 vaccine (AstraZeneca). Although uveitis and other ocular inflammatory events have been reported after various vaccinations, their occurrence following COVID-19 vaccines remains relatively uncommon. However, recent literature has begun to document similar cases of vaccine-associated uveitis, choroiditis, and other inflammatory ocular conditions, prompting closer examination of the possible connection between COVID-19 vaccinations and ocular complications [4]-[6].

The ChAdOx1 nCoV-19 vaccine, an adenovirus-vectored vaccine, has been widely used worldwide as part of efforts to control the COVID-19 pandemic. The immune response triggered by this type of vaccine, although protective against the virus, may cause autoimmune or inflammatory reactions in individuals who are predisposed. Several reports have documented the onset of ocular inflammation after vaccination, including anterior uveitis, multifocal choroiditis, and even retinal vasculitis. In this case, the patient’s lack of prior medical history and the absence of systemic symptoms suggest that the episode of choroiditis was likely an immune-mediated inflammatory response, potentially triggered by the vaccine.

The exact mechanisms behind vaccine-associated uveitis are still not fully understood. One suggested explanation is molecular mimicry, where vaccine-induced antibodies may cross-react with antigens in the eye, causing inflammation. Alternatively, activation of the immune system throughout the body may exacerbate a pre-existing but latent autoimmune tendency. In this patient, the involvement of both eyes and the quick response to steroid treatment indicate an inflammatory rather than infectious cause. The lack of contagious agents in laboratory tests further supports this.

Interestingly, the involvement of both eyes, the rapid onset of symptoms after vaccination, and the presence of choroidal and retinal infiltrates on imaging make this case unique. Prior case reports on uveitis following COVID-19 vaccination have usually described milder, self-limiting conditions with better prognoses. However, in this case, the patient experienced a significant decline in visual acuity, especially in the left eye, where damage to the photoreceptor layer resulted in incomplete recovery. This underscores the importance of early recognition and prompt treatment of such ocular inflammatory events to prevent long-term consequences.

The clinical outcome in this case, which shows a positive response to systemic steroids, matches the management of other vaccine-related inflammatory conditions. The patient’s vision improved notably with steroid therapy, although the left eye experienced lasting damage to the photoreceptor layer. This indicates that more severe cases may have a less favorable visual prognosis, even with aggressive treatment.

Considering the global trend toward mass vaccination for such viral infections and the rare occurrence of these ocular complications, clinicians must stay vigilant in quickly recognizing and treating post-vaccine inflammatory conditions. Patients should be informed about the potential, though infrequent, risks of ocular inflammation after vaccination and encouraged to seek immediate medical attention if they experience symptoms such as blurred vision or photophobia.

4. Conclusion

Although a direct causal link between the COVID-19 vaccine and choroiditis cannot be definitively confirmed, the timing in this case strongly suggests a vaccine-triggered immune response; however, the timing alone cannot establish causation. Continued monitoring and recording of similar cases will help clarify the extent of ocular complications after any viral vaccination, supporting the development of effective management strategies.

Conflicts of Interest

The authors declare no conflicts of interest regarding the publication of this paper.

References

[1] Singhal, T. (2020) A Review of Coronavirus Disease-2019 (COVID-19). The Indian Journal of Pediatrics, 87, 281-286. [Google Scholar] [CrossRef] [PubMed]
[2] Jampol, L.M., Tauscher, R. and Schwarz, H.P. (2021) COVID-19, COVID-19 Vaccinations, and Subsequent Abnormalities in the Retina. JAMA Ophthalmology, 139, 1135.[CrossRef] [PubMed]
[3] Sen, M., Honavar, S.G., Sharma, N. and Sachdev, M.S. (2021) COVID-19 and Eye. Indian Journal of Ophthalmology, 69, 488-509.[CrossRef] [PubMed]
[4] Goyal, M., Murthy, S.I. and Annum, S. (2021) Bilateral Multifocal Choroiditis Following COVID-19 Vaccination. Ocular Immunology and Inflammation, 29, 753-757.[CrossRef] [PubMed]
[5] Miyata, M., Ooto, S. and Muraoka, Y. (2022) Punctate Inner Choroidopathy Immediately after COVID-19 Infection: A Case Report. BMC Ophthalmology, 22, Article Number 297.[CrossRef] [PubMed]
[6] Scott, D.A.R. and Niederer, R.L. (2024) Punctate Inner Choroidopathy (PIC) Disease Recurrence with Inflammatory Choroidal Neovascular Membrane (ICNVM) Post-COVID-19 Vaccine. European Journal of Ophthalmology, 34, NP78-NP82.[CrossRef] [PubMed]

Copyright © 2025 by authors and Scientific Research Publishing Inc.

Creative Commons License

This work and the related PDF file are licensed under a Creative Commons Attribution 4.0 International License.