Children Supracondylar Elbow Fracture at N’Djamena Mother and Children Teaching Hospital

Abstract

Aim: To evaluate the outcome of the management of supra condylar humeral fractures in children. Method: This was a five-year retrospective descriptive study of children aged 0 - 15 years, conducted in the pediatric surgery department. The variables studied were epidemiological, clinical and therapeutic. Results: 53 cases of supra-condylar humeral fractures were collected with a mean age of 6.8 years (extremes 2 to 15 years) with a male predominance (sex ratio 3); the circumstances of occurrence were dominated by domestic accidents (43%); extension fractures accounted for 98% of cases and type II fractures accounted for 41.51% of cases. 45.2% of the cases received orthopedic treatment and 54.7% surgical treatment with a mean follow-up of 14 months. The result (according to the Flynn score) was considered excellent in 33 patients, good in 13 patients, fair in 5 patients and 2 poor. Conclusion: The most common elbow injury in children, supracondylar fractures of the humerus require early diagnosis and appropriate management without delay to achieve a satisfactory functional outcome.

Share and Cite:

Mahamat-Nour, A. , Ngaringuem, O. , Lamega, B. , Abdoulaye, D. , Djian-Noné, K. and Choua, O. (2025) Children Supracondylar Elbow Fracture at N’Djamena Mother and Children Teaching Hospital. Open Journal of Orthopedics, 15, 359-368. doi: 10.4236/ojo.2025.1510036.

1. Introduction

Supracondylar fractures (S.C.F) of the humerus are extra-articular metaphyseal fractures located at the distal end of the humerus. The fracture line is situated above the line connecting the medial and lateral epicondyles, as well as above the insertion point of the brachioradialis muscle [1]. These fractures are the most common type of elbow injury in children, with an incidence rate of 60 to 71 per 100,000 children annually, and they most frequently occur in children aged 6 to 10 years [2] [3]. Such fractures typically result from incidents during sports, leisure activities, and routine daily activities. The extension-type fracture, characterized by a backward displacement of the distal fragment, accounts for approximately 95% of these cases [4]. This study aimed to assess the treatment outcomes of supracondylar fractures in our clinical setting.

2. Materials and Methods

The study was conducted in the pediatric surgery department of the University Hospital Center for Mother and Child (CHU-ME) in Ndjamena. This research was a cross-sectional study spanning five years, from January 2017 to December 2021. It included all patient records for individuals aged 0 to 15 years who received treatment for supracondylar fractures in the pediatric surgery department during this period. Excluded from the study were cases of pathological fractures, other types of elbow fractures, and incomplete records. Data collection was performed using a pre-designed individual survey form, gathering information from medical records, surgical report logs, and hospitalization registers. The variables analyzed encompassed sociodemographic, clinical, paraclinical, and therapeutic aspects.

The outcomes were evaluated based on Flynn’s criteria (Table 1).

Table 1. Flynn’s criteria for the assessment of outcomes in humeral shaft fractures.

Results

Cosmetic factor: loss of humero-ulnar axis (in degree)

Functional factor: loss of mobility (in degree)

Satisfactory

Excellent

0 - 5

0 - 5

Good

6 - 10

6 - 10

Passable

11 - 15

11 - 15

Unsatisfactory

Inadequate

>15

>15

3. Results

In our study, we identified 86 cases of elbow fractures, of which 53 were supracondylar fractures of the humerus (FSCH), from a total of 5222 hospital admissions. Consequently, FSCH accounted for 61.62% of all elbow fractures.

Table 2. distribution of patients by age group.

Age (years)

n

%

0 to 5

18

34

6 to 10

25

47.2

11 to 15

10

18.8

Total

53

100

The age group most frequently observed was between 6 and 10 years, accounting for 47.2% of the cases. The mean age was 6.8 years, ranging from 2 to 15 years (Table 2).

A predominance of males was identified, with a sex ratio of 3.

The majority of patients resided in Ndjamena (91%), while 9% were referred from provincial areas. School enrollment was noted in 77% of the cases (n = 41).

Table 3. Distribution of patients by month of trauma occurrence.

Month

n

%

January

2

3.8

Feburary

3

5.7

March

4

7.5

April

3

5.7

May

3

5.7

June

12

22.6

July

7

13.2

August

9

17

September

2

3.8

October

7

13.2

November

9

17.0

December

2

3.8

Total

53

100

Fifty-two point eight percent (52.8%) of the cases were documented in the months of June, July, and August (Table 3).

Table 4. Distribution based on the circumstances of occurrence.

Circumstances of Occurrence

n

%

Domestic Accident

27

50.9

Recreational Accident

22

41.5

Sports Accident

1

1.9

Traffic Accident

3

5.7

Total

53

100

FSCH incidents predominantly took place during domestic accidents, accounting for 51% of cases, and during recreational activities, representing 42% of cases (Table 4).

The injury mechanism was mainly indirect, involving a fall where the individual landed on the palm with the elbow in extension (98%).

The left elbow was the most frequently impacted, noted in 68% of the cases.

Transportation to medical facilities was primarily via public means, such as taxis and motorbike taxis, in 58.5% of instances, followed by private vehicles in 37.7% of cases.

Table 5. Distribution of patients by consultation delay.

Consultation Delay (hours)

N

%

Less than 24 hours

25

47.2

Between 25 and 72 hours

9

16.9

More than 72 hours

19

35.8

Total

53

100

The mean time to consultation was 32.9 hours, with 35.8% of patients seeking consultation after 72 hours (Table 5).

Table 6. Distribution based on previous treatment received.

Previous Treatment Received

n

%

Analgesics

8

15.1

Traditional Methods (Bone Setters)

21

39.6

No Treatment Received

24

45.3

Total

53

100

Thirty-nine point six percent (39.6%) of the patients had used traditional treatments prior to seeking hospital care (Table 6). Eighty-five percent (85%) of the patients sought medical attention due to pain linked with functional impairment. Swelling accompanied by a posterior hatchet deformity was observed in 75.5% of the patients. Five patients (9.4%) exhibited skin lesions classified as dermabrasion, and three patients (5.6%) had a fracture of the distal quarter of both forearm bones, leading to a floating elbow condition.

Table 7. Types of lesions identified and categorized according to Gartland.

Type (Classification by Gartland)

N

%

Type I

6

11.32

Type II

22

41.51

Type III

18

33.96

Type IV

7

13.21

Total

53

100

Type II FSCH, as classified by Gartland, were identified in 41.51% of the cases (Table 7).

Table 8. Distribution of patients based on the timing of intervention.

Management Timeframe (hours)

n

%

0 to 12

18

34

12 h to 24

14

26.4

>24 h

21

39.6

Total

53

100

The mean duration of patient management was 29.13 hours, with a range from 2 to 288 hours (Table 8).

Orthopedic interventions were conducted in 45.2% (n = 24) of the cases. Of these, 19 patients (79.1%) received treatment via the Blount technique, while 5 patients (20.8%) were managed with a posterior brachio-antebrachio-palmar plaster splint.

In three instances of floating elbow, treatment involved the application of a plaster gauntlet in conjunction with immobilization using the Blount method.

Surgical intervention, entailing a posterior approach with open reduction followed by cross pinning, was undertaken in 54.7% of the cases (n = 29).

Table 9. Outcomes based on FLYNN’s criteria.

Flynn Score

n

%

Excellent

33

62.3

Perfect

13

24.5

Satisfactory

5

9.4

Poor

2

3.8

Total

53

100

After an average follow-up period of 14 months, our findings are deemed satisfactory in 96.2% of instances (Table 9).

We observed two cases of cubitus varus, both of which maintained elbow mobility.

Prognostic Factors

Bivariate analysis identified the following factors as statistically significant predictors of a poorer functional outcome (Fair or Poor Flynn score):

  • Fracture Severity (Gartland Type III/IV): (p < 0.001).

  • Associated Neuro-vascular Lesions: (p < 0.05).

  • Consultation Delay (DDC > 24 hours): (p < 0.01).

  • Long-Term Complications (Malunion, Stiffness): (p < 0.001).

  • Rural Residence and use of Traditional Treatment prior to arrival (indirectly linked to increased delay).

4. Discussion

In the pediatric surgery department of CHU ME, supracondylar humeral fractures (FSCH) accounted for 61.6% of all elbow fractures. The predominance of these fractures over other types of elbow fractures can be attributed to the anatomical structure of the humeral region in children, which features a vulnerable area between the two pillars.

The mean age of the patients was 6.8 years, with the 6 to 10-year age group being the most prevalent, comprising 45.3% of the cases. These findings are consistent with those reported by Barrie [2] and Mieret [5], who identified mean ages of 6.3 and 6 years, respectively. Metaizeau and Dimeglio [6] suggest that the incidence of fractures at this age can be explained by two anatomical factors: the ligamentous laxity that promotes hyperextension, and the fragility of the supracondylar region in children aged 6 to 10 years.

A notable male predominance was observed, with a sex ratio of 3. Previous studies by Mba-Mba [7] and Abdoulwahab [8] also identified this male predominance, likely due to boys being more prone to engage in unruly and hazardous activities at this age.

The incidence of FSCH peaked during June, July, and August, representing 52.8% of cases; this period coincides with the long school holidays when children have increased leisure time.

In 98% of cases, the indirect mechanism involved a fall with landing on the palm while the elbow was extended. This finding aligns with existing literature [9] [10].

FSCH predominantly occurred in 51% of cases as a result of domestic accidents, a finding consistent with the study by Aboulwahab et al. [8] in Niger.

A consultation delay exceeding 72 hours was observed in 35.8% of patients, with an average delay of 32.9 hours. Similar observations were made by Tambo et al. [11] in Cameroon. This delay is attributed to sociocultural and economic factors, as well as the limited availability of pediatric surgical services nationwide.

The left elbow was most frequently affected, accounting for 68% of cases. This observation is consistent with reports from other researchers [5] [7] [12]. Two hypotheses may explain these findings [12]: the dominant arm may be preoccupied during the fall, preventing it from cushioning the impact, or there may be less effective muscle balance, resulting in insufficient elbow locking and reduced resistance.

Thirty-nine point six percent (39.6%) of the cases opted for traditional treatment with healers prior to hospital consultation. This observation aligns with findings by Yambe et al. [13]. In African contexts, specific socio-cultural factors often encourage the initial use of traditional treatments.

Pain accompanied by functional impairment was the predominant reason for seeking medical consultation. This finding is consistent with those reported by Mboutol-Mandavo [9].

In three instances, a fracture of the distal quarter of both forearm bones resulted in a floating elbow.

Type II and type III fractures, according to the Gartland classification, were the most prevalent, comprising more than 75% of the cases. Our findings are consistent with those of Mboutol-Mandavo [9] and Fal [14], yet they are lower than those reported by Gaudeuille et al. [15], who documented a 78.4% incidence of type IV fractures according to Rigault and Lagrange classification.

The average time to patient care was 29.1 hours, ranging from 2 to 288 hours (12 days). Kinkpe et al. [16] reported an average delay of 46 hours in their study. Most authors advocate for urgent reduction, as the absence of edema in the acute phase facilitates easy reduction, minimizes perioperative complications (such as compartment syndrome, infection, and iatrogenic nerve injury), and decreases the likelihood of conversion to open reduction. Given our circumstances, with prolonged consultation times and an initial preference for traditional treatments, hospitalization with limb suspension to reduce edema was standard practice for most patients.

Orthopedic treatment, involving reduction under general anesthesia and immobilization following the Blount method (as seen in Figure 1), was administered to 19 patients. This method, while beneficial in our context, demands skilled operators due to the absence of fluoroscopic control during the reduction of type III and IV fractures.

Floating elbows are managed using a plaster gauntlet combined with restraint via the Blount method, as recommended by Kinkpe [17].

In 54.7% of cases, surgical intervention involved open reduction through a posterior approach and cross pinning (as seen in Figure 2). This finding aligns with the results reported by Fernandez et al. [18]. Due to the absence of a fluoroscope, the open reduction is visually assessed, followed by X pinning. Post-pinning, no elbow immobilization is applied in our patients.

The Blount configuration is maintained for a duration of 3 weeks, with pin removal typically occurring between the 4th and 6th week.

The treatment outcome was favorable in 96.2% of the cases. Two late complications, specifically cubitus varus, were observed, accounting for 3.8% of the cases. These complications may be attributed to inadequate reduction, unstable fixation, and failure to adhere to follow-up appointments, which are crucial for early detection of complications.

Our outcomes were satisfactory in 96.2% of cases and unsatisfactory in 3.8%. The unsatisfactory outcomes involved two cases of cubitus varus, which occurred in the context of unstable fixations and non-compliance with follow-up appointments.

Initial Severity Factors such as radiological severity associated lesions and management Delay factors (consultation delay, rural residence, and traditional treatments) significantly influence functional outcome of supracondylar elbow fractures in children.

(a) (b)

Figure 1. Radiological images depicting a type IV FSCH as classified by Gartland, observed in a 7-year-old patient treated using the Blount method (pediatric surgery department, CHU ME).

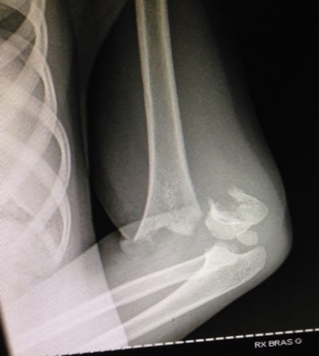
(a) (b)

Figure 2. Radiological images depicting a type III FSCH as classified by Gartland in an 8-year-old patient who underwent surgical treatment involving X pinning (Department of Pediatric Surgery, CHU ME).

5. Conclusion

Supracondylar humerus fractures in children represent the most prevalent type of elbow fracture. They predominantly affect boys and typically occur during domestic or recreational incidents, especially during school holiday periods. The most commonly encountered fractures were Types II and III, as classified by Gartland. The primary treatment options included orthopedic management and open cross pinning, due to the absence of a fluoroscope for performing percutaneous pinning. With an average follow-up period of 14 months, the outcomes were considered satisfactory. Early diagnosis and timely, appropriate surgical management are critical to minimizing complications and ensuring excellent functional results for these children.

Conflicts of Interest

The authors declare no conflicts of interest regarding the publication of this paper.

References

[1] Bracq, H. and Chapuis, M. (2000) Fracture de l’extrémité inférieure de l’humérus chez l’enfant. Encyclopédie Médico-Chirurgicale (EMC).
[2] Barrie, A. and Kent, B. (2023) Supracondylar Elbow Fracture Management (Supra Man). The Bone & Joint Journal, 105, 82-87. [Google Scholar] [CrossRef] [PubMed]
[3] Holt, J.B., Glass, N.A. and Shah, A.S. (2018) Understanding the Epidemiology of Pediatric Supracondylar Humeral Fractures in the United States: Identifying Opportunities for Intervention. Journal of Pediatric Orthopaedics, 38, e245-e251.[CrossRef] [PubMed]
[4] Lagrange, J. and Rigault, P. (1962) Les fractures de l’extrémité inférieure de humérus de l’enfant. Revue de Chirurgie Orthopédique et Traumatologique, 48, 334-414.
[5] Mieret, J.C., Bhodeho, M., Ossète, G. and Yaokreh, J.B. (2019) Complications du traitement chirurgical des fractures supracondyliennes stade IV chez l’enfant. Kisangani Médical, 9, 349-352.
[6] Metaizeau, P.H. and Dimeglio, A. (2001) Fractures Supra condyliennes du coude de l’enfant. Le coude traumatique de l’enfant. Masson, 53-64.
[7] Mba Mba, M., Ondo Edzang, S.P., et al. (2020) Traitements des Fractures Supracondy-liennes de l’Humérus chez l’Enfant au CHU d’Owendo au Libreville. Health Science Disease, 21, 52-55.
[8] Wahab, A., Mohamed, A., Chaibou, B., et al. (2018) Fracture récente de la palette humérale chez l’enfant. Revue Marocaine de Chirurgie Orthopédique et Trauma-tologique, 72, 1-5.
[9] Mboutol-Mandavo, C., Imbenga, M.L., Ondima, I.P.L., Mieret, J.C., et al. (2020) Traitement Chirurgical des Fractures Supra condyliennes Déplacées de l’Humérus chez l’Enfant au CHU de Brazzaville. Heath Science Diésasse, 7, 72-78.
[10] Clavert, J.M., Lecerf, C., Mathieu, J.C. and Buck, P. (1984) La contention en flexion de la fracture supracondylienne de l’humérus chez l’enfant: Considérations à propos du traitement de 120 fractures déplacées. Revue de Chirurgie Orthopédique et Réparatrice de lAppareil Moteur, 70, 109-116.
[11] Mouafo, T., Ngowe, N., Andze, O. and Sosso, M. (2011) Prise en charge des fractures fermées supra-condyliennes déplacées de l’humérus de l’enfant vues tardivement. Revue Africaine de Chirurgie et Spécialités, 4, 16-25.[CrossRef
[12] Damsin, J.P. and Langlais, J. (1987) Les fractures supra condyliennes. Rapport à la 61e réunion annuelle de la SOFCOT, Symposium sur les fractures du coude (sous la direction de J. C. Pouliquen). Revue de Chirurgie Orthopédique et Réparatrice de lAppareil Moteur, 73, 417-490.
[13] Yamben, Ngo, M.A., et al. (2018) Traitement des fractures supracondyliennes de l’humerus chez l’enfant à Yaoundé; à propos de 27 cas. Revue Africaine de Chirurgie et Spécialités, 12, 27-32.
[14] Fal, A., Ses, E. and Lambin, Y. (1992) Les fractures de palette humérale ou fractures supracondyliennes de l’humérus de l’enfant. Publication Médicale Africaine, 122, 4-8.
[15] Gaudeuille, A., Douzima, P.M., Makolati Sanze, B. and Mandaba, J.L. (1997) Epidémiologie des fractures supracondyliennes de l’humerus chez l’enfant à Bangui, Centrafrique. MedTrop, 57, 68-70.
[16] Kinkpé, C.V.A., Dansokho, A.V., Niane, M.M., Chau, E., Sales de Gauzy, J., Clement, J.L., et al. (2010) Children Distal Humerus Supracondylar Fractures: The Blount Method Experience. Orthopaedics & Traumatology: Surgery & Research, 96, 276-282.[CrossRef] [PubMed]
[17] Kinkpé, C.V.A., Dansokho, A.V., Niane, M.M. and Seye, S.I.L. (2010) Traitement orthopédique du coude flottant chez l’enfant: À propos d’un cas. Chirurgie de la Main, 29, 135-137.[CrossRef] [PubMed]
[18] Fernandes Junior, J.C.F., Milan, T.V., Ribeiro, H.A.M.F., Stein, H.E., Ribas Filho, H.C. and Carula, B.C. (2019) Distal Humeral Fracture: An Epidemiological Analysis of Orthopedic Patients for Children. Acta Ortopédica Brasileira, 27, 261-264.[CrossRef] [PubMed]

Copyright © 2025 by authors and Scientific Research Publishing Inc.

Creative Commons License

This work and the related PDF file are licensed under a Creative Commons Attribution 4.0 International License.