Complete Radiological Response to Sorafenib in Aggressive Intra-Abdominal Desmoid Tumor: A Case Report

Abstract

Desmoid tumors are malignant non-inflammatory fibroblastic tumors with a tendency for local invasion and recurrence post resection. They are considered a locally aggressive proliferative disease within the family of soft-tissue sarcomas but, metastasis is uncommon. The purpose of this report is to analyze a rare clinical case of an aggressive mesenteric desmoid tumor successfully treated with sorafenib. Our case is a 32-year-old male patient with no comorbidities who presented in 2022 with right iliac fossa pain and underwent surgery for suspected appendicitis. The exploratory laparotomy revealed a voluminous central mesenteric mass measuring approximately 10 cm, in contact with the ascending colon and cecum, exhibiting bleeding upon manipulation. The appendix appeared macroscopically normal, with no evidence of inflammation or abscess formation. Multiple biopsies of the tumor were obtained for analysis. The histopathological examination concluded to a desmoid tumor, and the decision was to put the patient under Sorafenib 400 mg per day. The assessment after three months found an excellent clinical and radiological response, with a total disappearance of the symptoms. A complete radiological response was achieved after 18 months of treatment. This case study allowed us to support the efficacy of Sorafenib, as a hopeful therapeutic option in the treatment of symptomatic and locally advanced surgically unresectable desmoid tumors.

Share and Cite:

Sadki, N. , Saoudi, M. , Maadin, K. , Meliani, O. , Majd, H. , Amaadour, L. , Oualla, K. , Benbrahim, Z. , Arifi, S. and Mellas, N. (2025) Complete Radiological Response to Sorafenib in Aggressive Intra-Abdominal Desmoid Tumor: A Case Report. Journal of Cancer Therapy, 16, 301-306. doi: 10.4236/jct.2025.169022.

1. Introduction

Desmoid tumors are rare, locally aggressive fibroblastic neoplasms that can cause significant morbidity despite their non-metastatic nature. Mesenteric desmoid tumors are less common but frequently harbor CTNNB1 mutations, offering diagnostic and therapeutic insights. Targeted agents such as sorafenib have emerged as effective options for unresectable disease. We present a case of mesenteric desmoid tumor with a CTNNB1 exon 3 mutation achieving initially a partial regression of the tumor followed by complete radiological response to sorafenib.

2. Case Presentation

A 32-year-old male with no significant medical history presented one month prior with right iliac fossa pain. He underwent urgent surgery under the suspicion of acute appendicitis. Intraoperatively, a large central mesenteric mass measuring approximately 100 × 100 × 90 mm was discovered, in close contact with the distal ileum and cecum, and bleeding upon manipulation. The appendix appeared macroscopically normal, with no signs of inflammation or abscess. Multiple biopsies of the mass were performed.

A CT scan (03/07/2022) revealed a necrotic pelvic mass suggestive of a tumoral process measuring 130 × 110 × 95 mm. The first histopathological report described non-specific suppurative changes. A second, ultrasound-guided biopsy (02/08/2022) revealed a spindle-cell proliferation. Immunohistochemical analysis was consistent with a desmoid-type fibromatosis, although molecular confirmation via detection of a CTNNB1 (β-catenin) exon 3 mutation was recommended to support the diagnosis.

The case was discussed in a multidisciplinary tumor board, and the patient was referred to the oncology department for further management.

At the time of oncology consultation, the patient was in good general condition (ECOG 1), with no fever, no digestive symptoms, and preserved transit.

The diagnosis of desmoid-type fibromatosis was confirmed by histology, immunohistochemistry, and molecular analysis, which revealed a T41A mutation in exon 3 of the β-catenin gene (CTNNB1), supporting the diagnosis and guiding the therapeutic strategy.

The patient started on Sorafenib 400 mg/day on November 21, 2022, due to the inoperable nature of the mesenteric tumor discovered intraoperatively. Over the course of treatment, the patient showed a favorable clinical and radiological response. He remained asymptomatic (ECOG 1), with no signs of abdominal pain, altered bowel habits, or general health deterioration. Moreover, Sorafenib was well tolerated, with no reported adverse events requiring dose adjustment or interruption during monitored periods.

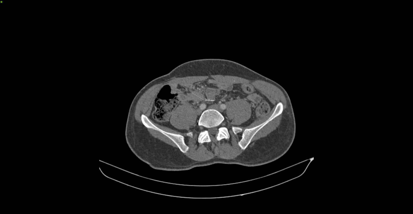
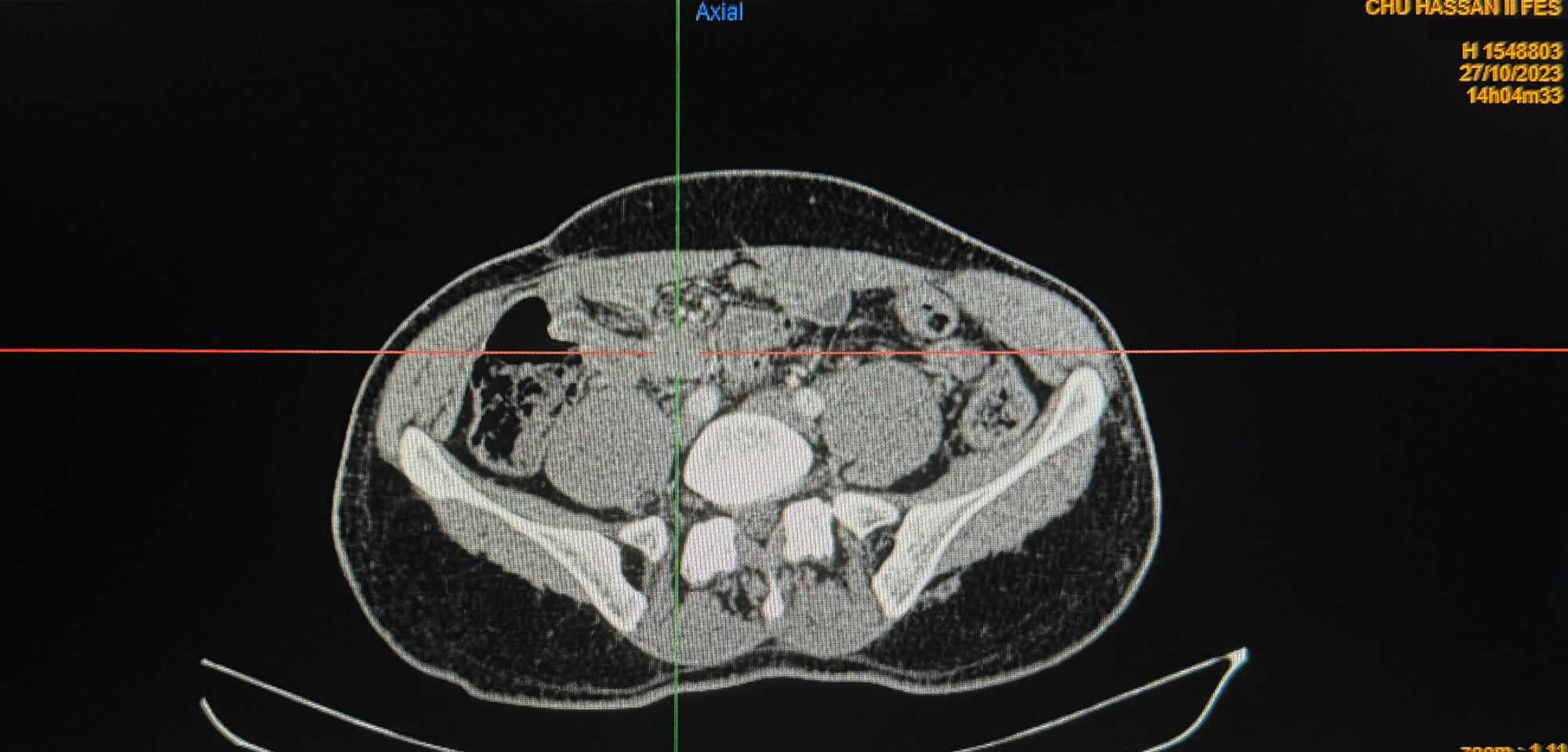
A reassessment CT scan performed on October 27, 2023 (Figures 1-4), after a year of treatment, showed partial regression of the tumor mass measuring then 30 × 18 × 34 mm.

Based on this response, Sorafenib continued for an additional three months to complete a total of 18 months of treatment.

A follow-up CT scan on September 5, 2024, showed complete radiological regression of the mesenteric tumor, with no suspicious lesions in the thoraco-abdominopelvic (TAP) region.

Figure 1. Axial CT scan showing partial tumor regression (~30 mm) after 12 months of sorafenib therapy.

Figure 2. Partial tumor regression on axial CT following 12-month sorafenib treatment.

Figure 3. Partial tumor regression on parasagittal CT after 12 months of sorafenib treatment.

Figure 4. Coronal CT demonstrating tumor reduction following 12 months of sorafenib.

Given the complete radiological response and total duration of 18 months of Sorafenib, it was decided to discontinue the treatment and place the patient under clinical and radiological surveillance.

The latest CT scan, performed on May 23, 2025, (Figure 5, Figure 6) showed persistent complete response with no evidence of mass effect or newly emerged suspicious lesions at the thoracic, abdominal, or pelvic levels.

Figure 5. Follow-up axial CT scan showing no evidence of disease-persistent complete response.

Figure 6. Parasagittal CT scan from latest follow up showing persistent complete response.

3. Discussion

Desmoid tumors (DT), also called aggressive fibromatosis, are rare benign mesenchymal neoplasms. Their incidence is estimated at 2 - 4 per million persons per year, representing ~0.03% of all neoplasms [1]. Sporadic cases are frequently linked to CTNNB1 exon3 mutations, inducing βcatenin accumulation and driving fibroblastic proliferation [2]. Mutational analysis, especially in mesenteric cases, is therefore essential for diagnosis and prognostication [3].

Mesenteric DT often presents with nonspecific abdominal symptoms or may mimic common surgical conditions—such as appendicitis—leading to incidental discovery, as seen in our patients. A retrospective series of 56 mesenteric cases reported a CTNNB1 mutation frequency of 91%, predominantly the T41A variant [3]. Differential diagnosis can include gastrointestinal stromal tumors, highlighting the need for molecular confirmation.

Contemporary guidelines recommend active surveillance for stable, asymptomatic lesions, as spontaneous regression occurs in up to 20% - 40% of cases. Intervention is indicated only for documented progression or clinical symptoms [4]. This strategy avoids unnecessary morbidity associated with surgery, particularly in intra-abdominal locations.

Sorafenib, an oral multi-kinase inhibitor targeting VEGFR, PDGFR, and RAF kinase, has demonstrated efficacy in desmoid tumors. The landmark phase III trial reported a hazard ratio of 0.13 for progression or death, and a 33% partial response rate (including one complete response) compared to placebo [5]. Side effects were manageable and generally low-grade, the most frequent grade ≥3 adverse events included rash, hypertension, diarrhea, and fatigue. [5]. Real-world reports, including case series and registries, corroborate these findings—highlighting symptomatic improvement and durable responses [4] [6].

Our patient tolerated 400  mg/day over 18 months without significant toxicity, achieving complete radiological response—a finding in line with other long-term sorafenib users, where treatment durations up to several years yield sustained remission [6].

CTNNB1 mutation subtype influences recurrence risk and possibly treatment response. A meta-analysis of 637 cases found that S45F mutations carried a higher recurrence rate compared to T41A or wild-type tumors [7]. Mechanistically, T41A results in moderate β-catenin stabilization, leading to lower activation of proliferative target genes, whereas S45F confers greater β-catenin accumulation and more aggressive clinical behavior. In our case, the T41A mutation correlated with durable response and long-term remission.

Guidelines suggest continuing systemic therapy until maximum tumor regression, followed by structured discontinuation and surveillance [4]. Our patient’s cessation after 18 months, despite a brief selfinterruption, was followed by confirmed complete response on CT scans up to May 2025, with no evidence of recurrence.

4. Conclusion

The remarkable and durable response observed in this case illustrates the promise of sorafenib in treating desmoid tumors, particularly those in anatomically challenging locations. As our understanding of the molecular and clinical behavior of these tumors evolves, targeted therapies like sorafenib may increasingly play a central role. Larger studies and long-term follow-up data are still needed to better define optimal treatment duration and identify which patients are most likely to benefit.

Conflicts of Interest

The authors declare no conflicts of interest regarding the publication of this paper.

References

[1] Alman, B.A., Pajerski, M.E., Diaz-Cano, S., et al. (1997) Aggressive Fibromatosis (Desmoid Tumor) Is a Monoclonal Disorder. Diagnostic Molecular Pathology, 6, 98-101.
[2] Dufresne, A., Akladios, C., et al. (2010) CTNNB1 Mutation in Desmoid-Type Fibromatosis: Relationships with Clinical Characteristics and Recurrence-Free Survival. Annals of Oncology, 21, 562-567.
[3] Tsukamoto, S., Takahama, T., Mavrogenis, A.F., et al. (2023) β-Catenin Mutation and Clinicopathological Features of Mesenteric Desmoid-Type Fibromatosis. The American Journal of Surgical Pathology, 47, 542-550.
[4] Desmoid Tumor Working Group (2020) The Management of Desmoid Tumors: A Joint Global Consensus Guideline Approach for Adult and Pediatric Patients. European Journal of Cancer, 127, 96-107.
[5] Gounder, M.M., Mahoney, M.R., Van Tine, B.A., Ravi, V., Attia, S., Deshpande, H.A., et al. (2018) Sorafenib for Advanced and Refractory Desmoid Tumors. New England Journal of Medicine, 379, 2417-2428. [Google Scholar] [CrossRef] [PubMed]
[6] Mastoraki, A., Duchi, S., et al. (2019) Efficacy and Safety of Sorafenib in Aggressive Mesenteric Desmoid Tumors: Real-World Outcomes. World Journal of Clinical Oncology, 10, 183-191.
[7] Tsukamoto, S., Takahama, T., Mavrogenis, A.F., et al. (2024) Meta-Analysis: Prognostic Significance of CTNNB1 Mutation in Recurrence of Sporadic Desmoid Tumors. Journal of Clinical Oncology, 42, 11556.

Copyright © 2025 by authors and Scientific Research Publishing Inc.

Creative Commons License

This work and the related PDF file are licensed under a Creative Commons Attribution 4.0 International License.