Pericardial Cyst Masquerading as Constrictive Pericarditis

Abstract

Background: Constrictive pericarditis is a challenging diagnosis to make because it can mimic heart failure, restrictive myocardial diseases, and massive pericardial effusion. Here we report an unusual case of pericardial cyst masquerading as constrictive pericarditis. Case summary: We present a case of a young gentleman, presenting with progressive shortness of breath, abdominal ascites and signs of right sided heart failure, imaging study with Transthoracic Echo and chest CT scan showed an unusual loculated extracardiac collection compressing on the right ventricle and right atrium, with pericardial wall calcification suggesting chronic pericarditis. Cardiac magnetic resonance (CMR) confirmed a pericardial origin of the mass. Surgical intervention was done as the pericardial cyst was large and causing pressure symptoms leading to quick symptomatic relief and recovery. Conclusion: Pericardial cysts are a rare encounter in clinical practice, which makes their management a clinical challenge. Further research is required to establish a comprehensive approach to managing congenital pericardial cysts.

Share and Cite:

Azaza, N. , Elberry, M. , Agarwal, S. and Hashimi, H. (2025) Pericardial Cyst Masquerading as Constrictive Pericarditis. World Journal of Cardiovascular Diseases, 15, 404-410. doi: 10.4236/wjcd.2025.157034.

1. Introduction

Constrictive pericarditis presents with diagnostic challenges because of its nonspecific presentation which can resemble heart failure with preserved ejection fraction, restrictive myocardial diseases, and cardiac tamponade [1]. Worldwide, the leading cause of constrictive pericarditis is tuberculosis. However, in developed countries the most common causes are idiopathic or post viral infection, accounting for 40% - 60% of the total number of cases. Constrictive pericarditis is a well-known complication following mediastinal radiation therapy with an incidence reaching up to 30%. Pericardial cyst on the other hand is rarely seen in clinical practice with an estimated incidence of 1 in 100,000 [2]. More than half of the pericardial cysts are asymptomatic and discovered incidentally. The potential symptoms depend on the size of the cyst, its location, and its compressive effect on the adjacent structures. Here we present an unusual case of pericardial cyst masquerading as constrictive pericarditis.

2. Case Presentation

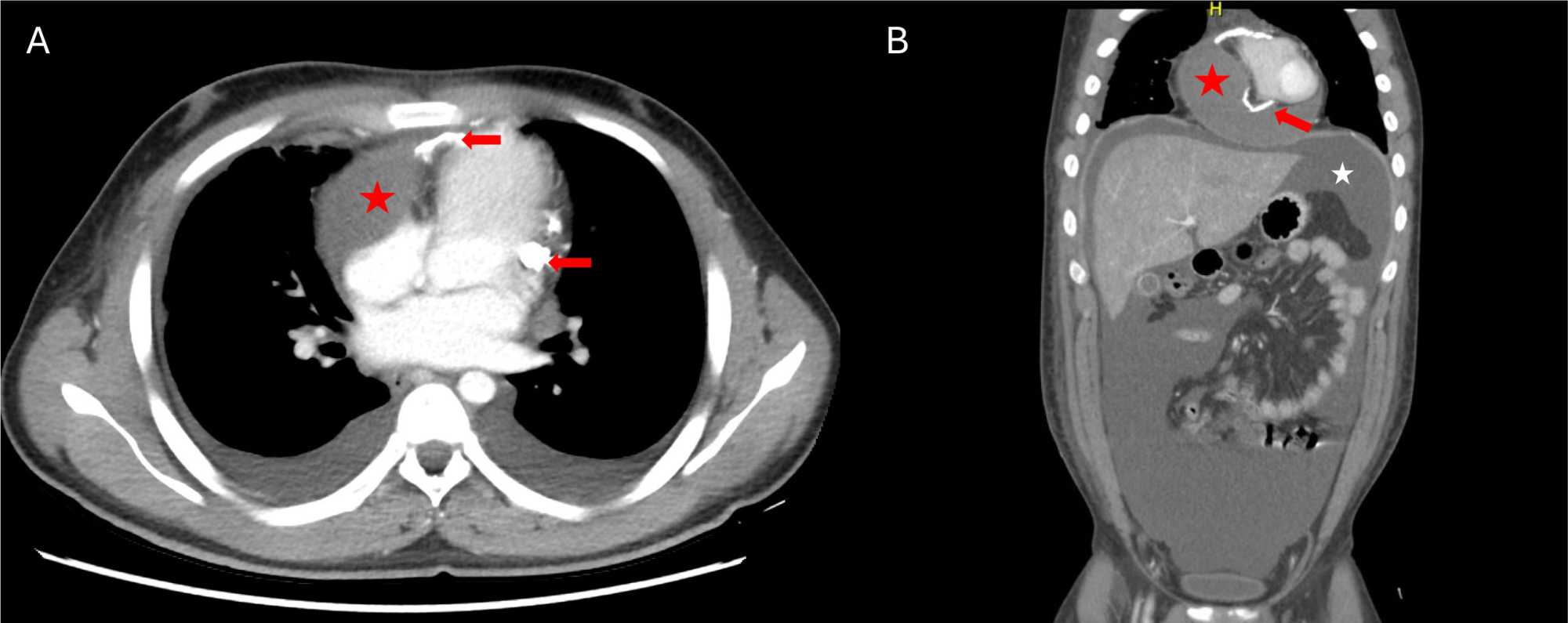
A 19-year male of Indian descent with no past medical history, presented to our emergency department with 2 weeks history of fever and abdominal pain. He also noticed increasing abdominal distention over 1 month. He did not experience any symptoms of chest pain, exertional dyspnoea or orthopnoea. Upon arrival at the emergency, he was hemodynamically stable with blood pressure of 100/74 mmHg, heart rate 87 bpm, regular, and oxygen saturation 98% on room air. His physical examination was significant for pitting pedal edema, tense abdominal ascites, and reduced air entry on auscultation bilaterally. His initial blood workup showed Hemoglobin of 15.7 g/dL, platelets of 304 × 10^3/uL, no leucocytosis and normal differential count. Inflammatory markers were elevated with C-reactive protein of 49 mg/dL and procalcitonin of 0.28 mg/dL. He had normal renal functions and mild hepatic congestion with alanine aminotransferase (ALT) of 89 U/l, aspartate transaminase (AST) 83 U/L and total bilirubin of 2.19 mg/dL with normal serum proteins. His NT-proBNP was 1898 pg/mL and cardiac enzymes were normal. Electrocardiogram was consistent with normal sinus rhythm with normal axis, intervals, and R wave progression. His chest X-ray showed a normal cardiothoracic ratio and right-sided pleural effusion. Differential diagnoses were polyserositis, constrictive pericarditis, or primary liver disease-portal hypertension. Further work-up included a chest and abdominal CT scan. It showed significant abdomino-pelvic ascites and right basal pleural effusion with right lower lobe atelectasis. All abdominal organs appeared normal. An unusual loculated extracardiac collection was noticed on the right side of the heart compressing the right atrium and right ventricle with pericardial wall calcification suggesting chronic pericarditis. Pericardial effusion was not significant. Mediastinal and retroperitoneal lymphadenopathy was not seen (Figure 1).

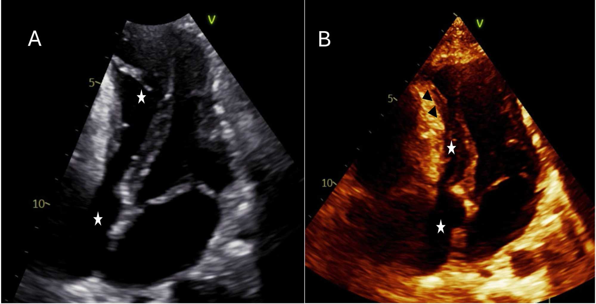
An echocardiogram was performed to confirm the relation and the connection of the mass with cardiac chambers. It showed normal left ventricular (LV) cavity dimensions with normal LV function. Externally, a large cystic mass was present anteriorly, compressing both the right atrium (RA) and right ventricle (RV), and causing turbulence at mid-RV level. The left lateral and anterior pericardium was bright and echogenic (Figure 2).

We performed quantiferon alpha, TB PCR, and AFB smear and culture and all were reported negative. Echinococcus western blot IgG assay was negative. Ascitic tap was consistent with transudative ascites.

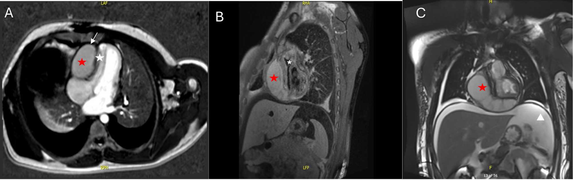
Cardiac MRI was done to determine the anatomical details of the cyst further and to distinguish its origin (pericardial vs pleural). It confirmed a cystic mass as a huge pericardial cyst. It was a capsulated fluid within the pericardium, lateral to the free wall of the RV, extending anterior to the cardiac apex. No septation was seen. Left ventricular function was reduced with an EF of 39%. Septal bouncing was seen. Right ventricular volume was reduced and its function was normal (Figure 3).

Our patient’s pericardial cyst was large and causing pressure symptoms, so surgical intervention was required. Surgery was performed via right thoracotomy. Intraoperatively, there was a huge, thick-walled calcified pericardial cyst compressing the right side of the heart. The cyst was dissected from its surrounding lung and mediastinal structures. The cyst wall was inseparable from the right atrium. Most of the cyst was resected and its inseparable part from cardiac structures was left to avoid chamber perforation and massive bleeding (Figure 4 and Figure 5). A total of 800 ml of dark-colored fluid was drained. Pericardial fluid reports for TB and malignant cells were negative. Postoperatively, the patient made an uncomplicated recovery. His blood pressure improved spontaneously. Ascites and pedal edema were reduced significantly without any diuretic therapy and were not present in the first clinic follow-up.

Figure 1. Panel (A) Chest CT scan with contrast (axial view) shows a loculated extracardiac cyst compressing the right side of heart (Red star), with heavy calcification of the pericardium (Red arrows). Panel (B) Abdomen CT scan with contrast (coronal view) with lower chest cut shows extracardiac cyst (Red star) with cyst wall calcification (Red arrow) and significant abdominopelvic ascites (white star).

Figure 2. Panel (A-B) Transthoracic echo four chamber apical view shows the compressive effect of the cyst on the right side of the heart resulting in slit like right ventricle and right atrium (white stars). Panel (B) hyperechoic cyst wall lateral to the midbasal and midapical RV free wall (Black arrowheads).

Figure 3. Panel (A-C) Cardiac magnetic resonance imaging (CMR). Red stars in all images shows the pericardial cyst. Panel (A) Early phase gadolinium enhanced MRI of the four chamber view showing compressed and slit like right ventricle (white star). Enhnacement of both visceral and parietal pericardium surrounding the capsule of the cyst (white arrows). Panel (B) midventricular short axis-view showing severely compressed right ventricle (white star). Panel (C) coronal view showing abdominal ascites (white arrowhead).

Figure 4. Huge, thick wall calcified pericardial cyst compressing the right side of heart.

Figure 5. Resected pericardial cyst.

3. Discussion

The very first case of a pericardial cyst was reported in the middle of the 19th century in a postmortem examination. However, with the current imaging modalities antemortem diagnosis is now possible [3] [4]. Pericardial cysts develop as a result of the failure of fusion of the pericardial sac during embryogenesis leading to weakness and herniation of the pericardial sac. It may form a diverticulum or a pericardial cyst when the connection with the pericardial sac becomes obliterated. Histologically, a pericardial cyst is a benign congenital mesothelial anomaly which results in defective formation of the coelomic cavity. The common embryonic origin of the pericardial diverticulum and pericardial cyst was first recognized in 1903 by Rohn A [5]. Acquired pericardial cysts can also develop due to pericarditis, inflammatory disorder or as result of post operative complications [6]. It’s a rare cause of mediastinal mass, representing 6% to 7% of cases. It’s congenital in most of the cases where 70% are arising from the right cardio-phrenic angle, and only 22% arise from the left cardio-phrenic angle. Pericardial cysts usually run a benign course and are discovered incidentally during imaging studies for other reasons. However, in rare cases, despite their typically benign course, as illustrated by our patient, these cysts can grow to a considerable size and exert pressure on the heart and surrounding structures, leading to symptoms mimicking constrictive pericarditis. Patients may as well experience symptoms of chest pain, dyspnea or palpitations depending on the size and the compression caused by the pericardial cyst, among the reported cases, the symptoms have been typically noted in the third of fourth decade of life [7]. Currently, there are no protocols established for the diagnosis, management and treatment of pericardial cysts. These cysts are usually suspected on routine chest x ray as it appears as a radio-dense structure near the cardiac border, however the chest x ray cannot differentiate between a pericardial cyst and pericardial diverticulum. Computerized Tomography scan (CT scan) on the other hand is considered to be the imaging modality of choice, as it identifies the precise location of the lesion and delineates its anatomy better [8]. Further imaging studies like MRI scan may give finer details of the structure and the location of the cyst, and its relations with the surrounding structures as seen in our case. In many of the reports Transthoracic two-dimensional echo remains the preferred method of diagnosis as it accurately localizes the cyst, and with the use of colour and spectral doppler, it can differentiate cysts from vascular structures as coronary aneurysm, prominent left atrial appendage or left ventricular aneurysm [9].

Treatment modalities can range between watchful waiting, percutaneous aspiration or surgical resection [10]. The management of the cyst depends mainly on the patient presentation and symptoms. Pericardial cysts are usually asymptomatic and discovered incidentally it can occasionally produce troublesome symptoms as the case with our patient. The compressive effect of the cyst on the right ventricle resulted in significant abdominal ascites and hepatic congestion producing abdominal pain and shortness of breath. The cyst wall can become inflamed resulting in fever and raised inflammatory markers resembling the symptoms of pericarditis. In rare case the cyst can rupture and result in cardiac tamponade with sudden cardiac death [11]. If the patient is free of any symptoms and there is no compressive effect from the pericardial cyst, serial follow-up with transthoracic echo may be sufficient. CT scan with contrast is another modality used in some centres as a diagnostic modality of choice for follow-up of asymptomatic patients, however, there are no studies that show superiority of CT scan with contrast over transthoracic echo or cardiac MRI [12]. When the cyst starts to producing symptoms or becomes large leading to a compressive effect, then resection should be considered. Resection can be carried out via either thoracotomy, sternotomy or video assisted thoracoscopic surgery (VAT) [13]. It is important to note that intact resection is the ideal goal, however, in our patient, it was not possible, as the cyst adhered to the right ventricle and atrium, and fragments of the cyst can be left behind. The remaining cyst fragments require regular follow-up to ensure no recurrence. Given the size of cyst in our patient and with its compressive symptoms, surgical resection was required and resulted in the rapid resolution of his symptoms and he had an uneventful recovery.

4. Conclusion

Pericardial cysts are rarely seen in clinical practice, which makes their detection and management a clinical challenge. Further research is required to establish a comprehensive approach to managing congenital pericardial cysts.

Conflicts of Interest

The authors declare no conflicts of interest regarding the publication of this paper.

References

[1] Imazio, M., Brucato, A., Maestroni, S., Cumetti, D., Belli, R., Trinchero, R., et al. (2011) Risk of Constrictive Pericarditis after Acute Pericarditis. Circulation, 124, 1270-1275. [Google Scholar] [CrossRef] [PubMed]
[2] Komanapalli, C., Schipper, P. and Sukumar, M. (2010) Pericardial Cyst. CTSNet, Inc. Media. [Google Scholar] [CrossRef
[3] Pessinaba, S., Sonhaye, L., Agbétiafa, M., et al. (2019) The Chronic Constrictive Pericarditis, a Real Calcified Gangue Realizing a Mid-Ventricular Bottleneck: A Case Report. Annales de Cardiologie et dangéiologie (Paris), 68, 125-128.
[4] Schweigert, M., Dubecz, A., Beron, M., Ofner, D. and Stein, H.J. (2012) The Tale of Spring Water Cysts: A Historical Outline of Surgery for Congenital Pericardial Diverticula and Cysts. The Texas Heart Institute Journal, 39, 330-334.
[5] Rohn, A. (1903) Ueber divertikel-und cystenbildung am perikard (Article in German). Prager medizinische Wochenschrift, 28, 461-464.
[6] Zhang, W., Maimaitiaili, A., Aizezi, R., Abulimiti, K., Yan, F. and Huo, Q. (2023) Surgical Management of Pericardial Cysts: A Single-Center Retrospective Study. Cureus, 15, e49298. [Google Scholar] [CrossRef] [PubMed]
[7] Elamin, W.F. and Hannan, K. (2008) Pericardial Cyst: An Unusual Cause of Pneumonia. Cases Journal, 1, Article No. 26. [Google Scholar] [CrossRef] [PubMed]
[8] Patel, J., Park, C., Michaels, J., Rosen, S. and Kort, S. (2004) Pericardial Cyst: Case Reports and a Literature Review. Echocardiography, 21, 269-272. [Google Scholar] [CrossRef] [PubMed]
[9] Yared, K., Baggish, A.L., Picard, M.H., Hoffmann, U. and Hung, J. (2010) Multimodality Imaging of Pericardial Diseases. JACC: Cardiovascular Imaging, 3, 650-660. [Google Scholar] [CrossRef] [PubMed]
[10] Kar, S.K. and Ganguly, T. (2017) Current Concepts of Diagnosis and Management of Pericardial Cysts. Indian Heart Journal, 69, 364-370. [Google Scholar] [CrossRef] [PubMed]
[11] Amr, B.S., Dalia, T. and Simmons, A. (2018) Acute Cardiac Tamponade Secondary to Ruptured Pericardial Cyst: Case Report and Literature Review. Journal of Cardiology Cases, 18, 43-46. [Google Scholar] [CrossRef] [PubMed]
[12] Demos, T.C., Budorick, N.E. and Posniak, H.V. (1989) Benign Mediastinal Cysts. Journal of Computer Assisted Tomography, 13, 132-133. [Google Scholar] [CrossRef] [PubMed]
[13] Najib, M.Q., Chaliki, H.P., Raizada, A., Ganji, J.L., Panse, P.M. and Click, R.L. (2011) Symptomatic Pericardial Cyst: A Case Series. European Heart JournalCardiovascular Imaging, 12, E43. [Google Scholar] [CrossRef] [PubMed]

Copyright © 2025 by authors and Scientific Research Publishing Inc.

Creative Commons License

This work and the related PDF file are licensed under a Creative Commons Attribution 4.0 International License.