Inflammatory Fibroid Polyp: About Four Observations Including an Appendicular Localization
Franck Auguste Hermann Adémayali Ido1*orcid, Souleymane Ouattara2, Rakiswendé Alexis Ouedraogo3, Ibrahim Savadogo4, Aimé Sosthène Ouedraogo5, Assita Lamien-Sanou6, Olga Melanie Lompo6
1Department of Anatomy and Pathological Cytology, CHU Tengandogo, Ouagadougou, Burkina Faso.
2Department of Anatomy and Pathological Cytology, CHU-R Fada N’gourma, Fada N’gourma, Burkina Faso.
3Department of Histo-Embryo-Cytogenetics, Bogodogo University Hospital, Ouagadougou, Burkina Faso.
4Department of Anatomy and Pathological Cytology, CHU-R of Ouahigouya, Ouahigouya, Burkina Faso.
5Department of Anatomy and Pathological Cytology, CHU Bogodogo, Ouagadougou, Burkina Faso.
6Department of Anatomy and Pathological Cytology, CHU Yalgado Ouédraogo, Ouagadougou, Burkina Faso.
DOI: 10.4236/ojpathology.2025.153012   PDF    HTML   XML   59 Downloads   297 Views  

Abstract

We report four observations of inflammatory fibroid polyps, including a rare case of appendicular localization. Two of our patients were female and two were male. They were aged 19, 24, 39, and 4 years, respectively. These were four cases discovered on surgical specimens after acute digestive episodes requiring laparotomy. Macroscopically, they were polypoid masses that developed at the expense of the submucosa. The polyp size ranged from 9 to 4 cm on the long axis. Microscopically, the masses were composed of spindle and/or star-shaped cells in a richly vascularized fibromyxoid chorion, reworked by a polymorphic infiltrate of predsominantly eosinophilic polynuclear cells. Immunohistochemically, tumor cells expressed high levels of CD34 with a very low Ki67 proliferation index. Inflammatory adenoid polyp is a rare benign lesion that can affect all segments of the digestive tract. Its pathogenesis is poorly understood and remains controversial. Its diagnosis can be difficult, especially on endoscopic biopsy, leading to its discussion with inflammatory lesions and certain spindle cell tumors of the digestive tract. It is treated surgically, with a good prognosis and no recurrence after total excision.

Share and Cite:

Ido, F.A.H.A., Ouattara, S., Ouedraogo, R.A., Savadogo, I., Ouedraogo, A.S., La-mien-Sanou, A. and Lompo, O.M. (2025) Inflammatory Fibroid Polyp: About Four Observations Including an Appendicular Localization. Open Journal of Pathology, 15, 126-135. doi: 10.4236/ojpathology.2025.153012.

1. Introduction

The inflammatory fibroid polyp is a rare entity of the digestive tract. It accounts for only 1% - 2% of polyps in the digestive tract. In literature, this entity has been known by various names: “submucosal granuloma with eosinophilic infiltrate”, “gastric fibroma with eosinophilic infiltrate”, “polyp with eosinophilic granuloma” [1]. Inflammatory fibroid polyp is a mesenchymal pseudo tumoral lesion whose histogenesis is controversial. It consists of a mixture of spindle-shaped stromal cells, small blood vessels and inflammatory cells [1] [2]. The most common sites are the stomach and small intestine, but all segments of the digestive tract can be affected. It is usually not very symptomatic but can sometimes be revealed during acute complications. We report four cases of inflammatory fibroid polyps diagnosed during acute intestinal complications, including one original appendicular case [1] [2].

2. Observations

Case 1

This was a 19-year-old male patient with a history of intermittent dyspepsia with episodic abdominal pain alternating with diarrhea and constipation. He presented with an acute intestinal intussusception and underwent an ileo-colic resection. The surgical specimen was sent to the pathology laboratory.

The macroscopic examination revealed an intestinal resection specimen consisting of an ileal segment measuring 15 × 3 cm and a colonic segment measuring 12 × 4 cm. On opening, an intussusception flange was found in the cecum. Dissection of the intussusception bladder revealed a large, small bowel polyp obstructing the bowel lumen. The polyp was pedunculated with a head of 9 × 8 × 7 cm and a foot of 3 × 2 cm. The section was homogeneously fibrous with hemorrhage.

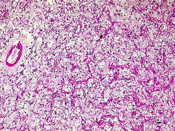
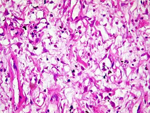
Histological examination revealed sparse cellular areas. These were short bundles of spindle cells concentrically wrapped around capillaries. The chorion was rather loosely edematous and fibromyxoid. There were hemorrhagic changes and a marked polymorphic inflammatory infiltrate with numerous eosinophilic polynuclear. The contralateral mucosa was regular and partially abraded. The lesion was poorly circumscribed, unencapsulated, and developed at the expense of the submucosa, suppressing the muscularis mucosae and muscularis (Figure 1).

(a)

(b)

(c)

(d)

Figure 1. (a) Macroscopic view of a voluminous, pedunculated polyp in the small intestine measuring 9 cm in length, which is obstructing the intestinal lumen. (b) G50 microscopy with HE staining showing an intestinal wall in which the submucosa is the site of sparsely dense spindle cell patches within a loose fibro myxoid chorion with hemorrhagic remodeling and a polymorphic inflammatory infiltrate. G200 and G400 microscopy with HE staining better show cellular detail (c and d).

Case 2

The patient was a 24-year-old woman with no known past medical history. She underwent laparotomy with resection of an ileal fragment after acute intestinal intussusception. The surgical specimen was sent for pathology.

Macroscopically, the specimen was a 6 × 4 cm ileal segment with a pedunculated polyp at one end, the head measuring 4 × 3 × 3 cm and the foot 1 × 1 cm. The section of the polyp was whitish fibrous with hemorrhagic changes.

Histological examination at low magnification showed moderately dense cellular areas consisting of short bundles of spindle-shaped cells concentrically wrapped around capillaries. The chorion was rather loosely edematous, fibromyxoid, reworked by hemorrhagic infarction and a marked polymorphic inflammatory infiltrate with numerous eosinophilic polynuclear cells. The contralateral mucosa was regular and partially abraded (Figure 2).

(a)

(b)

Figure 2. (a) Macroscopic view of a 6 × 4 cm ileal segment with a 4 × 3 × 3 cm pedunculated polyp at one end. (b) The polyp section is whitish and fibrous, with hemorrhagic changes.

Case 3

This is a 39-year-old man with no known past medical history who was urgently admitted for an occlusive syndrome. He underwent laparotomy with resection of an invaginated ileal fragment. The operative specimen sent to the pathology laboratory showed macroscopically a 40 × 4 cm intestinal fragment with a 15 cm long infarcted bulge. On opening, a pedunculated polyp with a head of 5 × 3 × 3 cm and a foot of 2 × 2 cm was observed in the bulging area. The section of the polyp was fibrous with hemorrhagic changes.

Histological examination of the sections showed a partially abraded, congested intestinal mucosa overlying a fibrous lesion with fibroblasts organized in short bundles. There was associated edema, vascular congestion, hemorrhagic suffusion, and a polymorphous inflammatory infiltrate with numerous eosinophilic polynuclears (Figure 3).

Figure 3. shows a 40 × 4 cm ileal intestinal fragment with a pedunculated polyp measuring 5 × 3 × 3 cm.

Case 4

A 04-year-old girl presented with an abdominal mass in the right iliac fossa without signs of acute appendicitis. Ultrasound suggested a mesenteric cystic lymphangioma. The patient underwent laparotomy with monobloc excision of the mass, which had actually developed at the expense of the appendix.

(a)

(b)

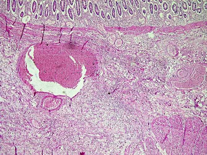
Figure 4. (a) A macroscopic view of an 8 cm appendix with a 6 × 4 × 4 cm mass on the shiny surface of the terminal portion. (b) The cross-section shows a homogeneous, grayish-white, fibrous mass that developed at the expense of the intestinal wall.

Macroscopic examination of the surgical specimen revealed an 8 cm long appendix with a 6 × 4 × 4 cm mass at its terminal portion. The surface of the mass was uniformly smooth and shiny. In cross section, the mass developed on the intestinal wall with a homogeneous gray-white area. The mucosa was regular and unremarkable.

Microscopically, the mucosa was congested, with regular glands and no atypia. The submucosa showed abundant fibrous tissue consisting of spindle-shaped cells organized in short bundles. The stroma was loose edematous fibromyxoid with congested vessels and areas of hemorrhagic suffusion. There was an inflammatory infiltrate of lymphocytes and numerous eosinophilic polynuclear cells (Figure 4).

3. Immunohistochemistry

In our four cases, spindle cells expressed CD34 strongly and diffusely on immunohistochemistry. Spindle cells were negative for smooth muscle actin, desmin, H-caldesmone, PS100, AE1/AE3, cytokeratins, CD117 and CD1a. The Ki67 proliferation index was very low, estimated to be less than 5%.

4. Diagnosis

In all our cases, the pathological examination led to the diagnosis of an inflammatory fibroid polyp.

5. Evolution

For our four patients, the postoperative course was straightforward. No complications or recurrences were observed during follow-ups ranging from 4 years for the first patient to 1 year for the last patient.

6. Discussion

Inflammatory fibroid polyps are rare benign mesenchymal lesions of the digestive tract. It was first described in the stomach by Vanek in 1949 as a submucosal granuloma with eosinophilic infiltration. The term inflammatory fibroid polyp was proposed by Helwig and Ranier in 1953 [1] [2]. Inflammatory fibroid polyps are most found in the stomach, small intestine, and colon. Other uncommon sites include the esophagus, gallbladder, duodenum, rectum, and appendix [3]. The appendix is a particularly rare site, with only a handful of cases reported in the literature [2] [4]-[7]. Three of our cases developed in the small intestine, confirming the frequency of this site [2] [3]. Our fourth case was in the appendix. The rarity of this location means that the diagnosis of inflammatory fibroid polyp is rarely made preoperatively. In its appendicular location, the inflammatory fibroid polyp is often mistaken preoperatively for an appendicular mucocele or cystic lymphangioma, as in our case. Inflammatory fibroid polyps are more common in women and can affect all age groups [2] [4] [5].

Little is known about the pathogenesis of inflammatory fibroid polyps and several hypotheses have been proposed. Some authors have suggested a pseudo tumoral, inflammatory or reactionary origin, since inflammatory fibroid polyps are sometimes associated with a background of allergy, parasitosis or even viral infection (HIV, EBV, HHV8) [2] [3] [8]. One study demonstrated the efficacy of medical treatment in eradicating Helicobacter pylori in the case of inflammatory fibroid polyp [9]. This study therefore supports a reactionary and inflammatory origin. Some authors suggest a true tumor process derived from dendritic cells [10]. In fact, inflammatory polyp cells also express fascin and CD35. Spindle cells are also reported to have the same perivascular arrangement as dendritic cells [2] [3] [10]. The reported focal and low intensity positivity of smooth muscle actin may suggest a possible myofibroblastic differentiation. Recent molecular studies have demonstrated the presence of mutations in exons 12 and 18 of the PDGFRA gene and thus a possible link to the pathogenesis of GIST [11] [12].

Clinical symptoms are not very specific and vary with the size and location of the polyp. For small polyps, symptoms are not very pronounced and most small polyps are often discovered incidentally during endoscopy. Larger polyps may present with abdominal pain, gastroesophageal reflux, dysphagia, digestive bleeding, intestinal obstruction, or acute intestinal intussusception [2] [3].

On imaging, the endoscopic, ultrasound and CT aspects are superimposed on those of gastrointestinal stromal tumors (GIST) [2].

The outcome is generally benign with no recurrence if surgical resection is complete [2]-[6].

Pathologically, macroscopic examination usually reveals a well-defined, solitary polypoid mass of variable size, averaging 2 to 5 cm in length, but sometimes exceeding 20 cm. Several familial forms have been described [8]. Polyps tend to be sessile in early lesions and pedunculated in older lesions. [3]. On section, the inflammatory fibroid polyp is usually beige in color and develops at the expense of the submucosa, elevating the surface mucosa, which may sometimes be congested, hemorrhagic, and ulcerated.

Histologically, the inflammatory fibroid polyp consists of patches of spindle cells with few atypia. Mitosis is rare. The cells are organized in short bundles of variable density, typically concentrically wrapped around vessels with thickened, hyalinized “onion bulb” walls. The supporting connective tissue is fibrous and myxoid, the site of an inflammatory infiltrate rich in eosinophilic polymorphs [2] [3]. Some authors describe histologic variations that may complicate the diagnosis. The main variants reported are the fibrovascular variant, the nodular variant, the sclerosing variant and the edematous variant, depending on the appearance of the chorion [1]-[3]. These variations appear to be related to the age of the lesion and may coexist within the same polyp. Some studies suggest that microscopic appearance also varies with lesion location and clinical context. The edematous, congested appearance seen in some tumors may be artifactual, the result of mechanical phenomena associated with obstruction of the digestive lumen. Despite these variations, two (02) pathognomonic features remain constant. These are the eosinophilic polynuclear infiltrate and the characteristic vessels.

On immunohistochemistry, the cells classically express vimentin, CD34 and, exceptionally, smooth muscle actin. They are negative for desmin, H-caldesmon, PS100 and CD117 [1]-[3].

The differential diagnosis of inflammatory fibroid polyps includes benign spindle cell tumors of the digestive tract that are transformed by inflammation and digestive inflammatory pathologies rich in eosinophilic polynuclei.

Among the gastrointestinal spindle cell tumors, the main diagnosis to be discussed is the inflammatory myofibroblastic tumor (or inflammatory pseudotumor). This tumor is most common in children and young adults. It is mainly described in a mesenteric or epiploic location in the digestive tract, much less commonly in the intestinal wall. It consists of relatively large spindle cells with enlarged, vesicular, nucleolated nuclei. Cytoplasm is quite abundant. Three different histological types have been described. The loose type with a myxoid stroma, the fasciculated type in a fibromyxoid network and the sclerosing type with dense collagenous trousseaux, with aspects close to fibromatosis. The inflammatory myofibroblastic tumor, as its name suggests, is associated with a lymphoplasmacytic inflammatory infiltrate of variable size, with some eosinophilic polynuclears in some cases. Spindle cells are positive for anti-ALK1 and negative for CD34 in half of the cases [2] [3].

Other spindle cell tumors are also worthy of discussion. These include leiomyoma, which has a more fascicular architecture and is also clearly positive for muscle markers (actin, desmin, H-caldesmone). Schwannoma, although rare in a digestive location, can be discussed. It consists of spindle-shaped cells expressing PS100 and may be associated with a typical peripheral lymphocytic infiltrate. As for gastrointestinal stromal tumors (GIST), their similarities to inflammatory adenocarcinoma are more pronounced on imaging and macroscopy. Histologically, GISTs do not show the characteristic vascular appearance with “onion bulb” arrangements, nor the infiltrate of eosinophilic polynuclei described in inflammatory adenocarcinoma. In addition, GIST cells typically express CD117 (C-kit) in addition to CD34 [1]-[3].

Differential diagnosis of inflammatory fibroid polyp with inflammatory digestive disease is particularly difficult on biopsy. The inflammatory fibroid polyp may have the appearance of a fleshy bud on the surface, which can mislead the pathologist in superficial samples. Depending on its location, the inflammatory fibroid polyp may also be confused with esophagitis or eosinophilic gastroenteritis. However, the clinical context and endoscopic presentation, which are quite different, can help in the diagnosis [13].

7. Conclusion

Inflammatory fibroid polyps are benign lesions of the gastrointestinal tract whose pathogenesis is still poorly understood. Their macroscopic and histological appearance varies according to location and clinical presentation. This morphologic variability explains the diagnostic difficulties in certain clinical contexts with edematous or hemorrhagic remodeling, especially in superficial digestive biopsies. Treatment is surgical, with a good prognosis and no recurrence after complete excision.

Consent Statement

Written informed consent was obtained from the patient for publication of this article.

Conflicts of Interest

The authors declare no conflicts of interest regarding the publication of this paper.

References

[1] Pavageau, A., Valo, I., Lavoine, É., Bourgois, J. and Verrièle, V. (2009) Le polype fibroïde inflammatoire: À propos de trois observations dont une localisation œsophagienne. Annales de Pathologie, 29, 499-503.[CrossRef] [PubMed]
[2] Turner, J.R. and Odze, R.D. (2015) Polypes de l’estomac. In: Odze, R.D. and Gold-blum, J.R., Eds., Odze et Goldblum, Surgical Pathology of the GI Tract, Liver, Biliary Tract, and Pancreas, Saunders/Elsevier, 415-425.
[3] Genevay, M. and Lauwers, G.Y. (2013) Polyps and Tumour-Like Lesions of the Stomach. In: Shepherd, N.A., Warren, B.F., Williams, G.T., Greenson, J.K., Lauwers, G.Y. and Novelli, M.R., Eds., Morson and Dawsons Gastrointestinal Pathology, 5th Edition, Wiley-Blackwell, 412-423.
[4] Chatelain, D., Brevet, M., Fuks, D., Yzet, T., Verhaeghe, P., Regimbeau, J., et al. (2008) Le polype fibroïde inflammatoire, une tumeur rare de l’appendice. Gastroentérologie Clinique et Biologique, 32, 274-277.[CrossRef] [PubMed]
[5] Sy, A., Vo, D., Friedel, D., Grendell, J. and Hanna, I. (2020) Incidental Finding of Inflammatory Fibroid Polyp of the Appendix in a Patient with Acute Appendicitis. The Turkish Journal of Gastroenterology, 31, 831-834.[CrossRef] [PubMed]
[6] Godey, S.K. and Diggory, R.T. (2005) Inflammatory Fibroid Polyp of the Oesophagus. World Journal of Surgical Oncology, 3, Article No. 30.[CrossRef] [PubMed]
[7] Wysocki, A.P., Taylor, G. and Windsor, J.A. (2007) Inflammatory Fibroid Polyps of the Duodenum: A Review of the Literature. Digestive Surgery, 24, 162-168.[CrossRef] [PubMed]
[8] Anthony, P.P., Morris, D.S. and Vowles, K.D. (1984) Multiple and Recurrent Inflammatory Fibroid Polyps in Three Generations of a Devon Family: A New Syndrome. Gut, 25, 854-862.[CrossRef] [PubMed]
[9] Hirasaki, S., Matsubara, M., Ikeda, F., Taniguchi, H. and Suzuki, S. (2007) Gastric Inflammatory Fibroid Polyp Treated with Helicobacter Pylori Eradication Therapy. Internal Medicine, 46, 855-858.[CrossRef] [PubMed]
[10] Pantanowitz, L., Antonioli, D.A., Pinkus, G.S., Shahsafaei, A. and Odze, R.D. (2004) Inflammatory Fibroid Polyps of the Gastrointestinal Tract. The American Journal of Surgical Pathology, 28, 107-114.[CrossRef] [PubMed]
[11] Schildhaus, H., Cavlar, T., Binot, E., Büttner, R., Wardelmann, E. and Merkelbach‐Bruse, S. (2008) Inflammatory Fibroid Polyps Harbour Mutations in the Platelet-Derived Growth Factor Receptor Alpha (PDGFRA) Gene. The Journal of Pathology, 216, 176-182.[CrossRef] [PubMed]
[12] Maccagno, A., Sander, B., Dintner, S., Harloff, M., Füzesi, L. and Märkl, B. (2023) Inflammatory Fibroid Polyp: A Series of 29 Cases and a Systematic Review of the Literature. Human Pathology Reports, 32, Article ID: 300703.[CrossRef
[13] Deschamps, L., Bretagnol, F., Couvelard, A., Corcos, O., Bedossa, P. and Panis, Y. (2008) Inflammatory Fibroid Polyp in Crohnʼs Disease Revealed by Ileoileal Intussusception: Case Report and Review of the Literature. Inflammatory Bowel Diseases, 14, 1317-1320.[CrossRef] [PubMed]

Copyright © 2025 by authors and Scientific Research Publishing Inc.

Creative Commons License

This work and the related PDF file are licensed under a Creative Commons Attribution 4.0 International License.