Photobiomodulation in Managing Post-Surgical Injuries of Branches of the Trigeminal Nerve: Insights from Four Clinical Cases

Abstract

Trigeminal nerve injuries, particularly to the inferior alveolar and lingual nerves, are recognized complications of dentoalveolar surgery, often leading to sensory disturbances such as paresthesia, dysesthesia, and taste alterations. This study explores the therapeutic potential of photobiomodulation (PBM) in four clinical cases involving post-surgical nerve injuries. A 980 nm diode laser was used in extra- and intra-oral applications over 8 to 15 sessions. Patients reported progressive sensory recovery, with complete resolution of symptoms in all cases. PBM therapy, a non-invasive technique, appears to enhance nerve regeneration by promoting blood flow, stimulating Schwann cell activity, and reducing fibrosis. These findings align with existing literature supporting PBM’s efficacy in peripheral nerve recovery. While conservative approaches and surgical options exist, PBM offers a safe and effective alternative. Further large-scale studies are needed to standardize parameters and validate their use in clinical practice for managing trigeminal nerve injuries.

Share and Cite:

Benhaioun, H., Fahim, O., Haitami, S., Bouzoubaa, S. and Ben Yahya, I. (2025) Photobiomodulation in Managing Post-Surgical Injuries of Branches of the Trigeminal Nerve: Insights from Four Clinical Cases. Open Access Library Journal, 12, 1-11. doi: 10.4236/oalib.1113618.

1. Introduction

Nerve injury is a potential complication of dentoalveolar surgery, leading to altered sensation in the lower lip, chin, tongue, and gingiva. Most cases involve the trigeminal nerve, particularly the inferior alveolar nerve (IAN) and lingual nerve (LN) [1]. These injuries can result in numbness, hypoesthesia, paresthesia, and sometimes neuropathic pain such as dysesthesia or hyperalgesia [2]-[4]. LN injuries may also affect taste perception, causing dysgeusia or ageusia [5].

Common causes include third molar extractions, implant surgery, ostectomy, incisions, orthognathic surgery, trauma, postoperative infection, and anesthetic injections [6] [7]. The incidence of IAN injury ranges from 0.26% to 8.4%, and LN injury from 0.1% to 22% [1]. Third molar extractions account for 0.4% - 5.5% of IAN and up to 10% of LN injuries [4]. Nerve damage from block anesthesia, dental implants, and orthognathic surgery may occur at rates of 0.15%, 30%, and 60%, respectively [4] [8] [9].

While most injuries resolve within eight weeks, persistent symptoms beyond six months are likely to be permanent [5]. Treatments include conservative approaches (analgesics, corticosteroids, phytochemicals, photobiomodulation) or surgery (nerve repair, grafts, conduits, fibrin glue) [4]. Photobiomodulation (PBM) therapy, a non-invasive and side-effect-free technique, has shown promising results in promoting nerve regeneration in both clinical and in vitro studies [2].

Consequently, this study aims to demonstrate the effectiveness of PBM in treating post-surgical injuries of the IAN and LN through clinical cases, highlighting its therapeutic potential and exploring its underlying mechanisms as a conservative treatment option.

2. Clinical Observation

2.1. Case 1

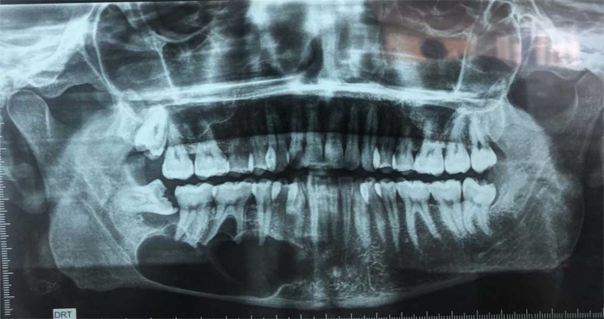
A 28-year-old male patient, a non-smoker in good general health, was referred to the Department of Surgical Odontology with complaints of persistent numbness in the right lower lip and chin following the surgical extraction of the right mandibular third molar. The patient reported no improvement in symptoms 10 days after the procedure. Clinically, he presented with complete numbness and loss of sensation affecting the right half of both the lower lip and the chin. A panoramic radiograph revealed close proximity between the extraction site and the inferior alveolar nerve (IAN) (Figure 1).

Neurosensitivity Assessment:

The Visual Analogue Scale (VAS) was used to subjectively assess the patient’s altered sensation. The scale consisted of a 10-centimeter ruler, marked at 2.5-centimeter intervals to represent five levels of sensation: 1 (no sensation), 2 (almost no sensation), 3 (reduced sensation), 4 (almost normal sensation), and 5 (completely normal sensation). The patient was asked to mark an “X” on the scale corresponding to their sensation level for each tested area. A thin needle was used to test both sides of the oral cavity—left (unaffected) and right (affected).

A diagnosis of ipsilateral IAN anesthesia of the lower lip and hypoesthesia of the chin was made. The patient was referred for PBM therapy.

Figure 1. Panoramic radiograph: contact of the site of the right mandibular tooth with IAN.

Anesthesia and Hypoesthesia Management:

Extra-oral PBM application points were placed perpendicularly on the right chin and lower lip area (Figure 2). The patient underwent 10 PBM sessions in total, three times per week. Progressive recovery of normal sensation was observed from the fifth session. A gradual decrease in the area of paresthesia was noted after each session, with full recovery by the eighth session. The lower lip anesthesia resolved completely after the tenth session (Figure 3).

Figure 2. Extra-oral irradiation with Diode Laser 980 nm.

Figure 3. Application points and mapping of the decrease of the hypoesthesia and anesthesia throughout the PBM therapy sessions. A: Initial affected area. B: At the 5th session, beginning of recovery of the chin area. C: At the 9th session, total recovery of chin area and initiation of reduced sensation in lower lip area.

Recovery Evaluation:

Initially, the patient rated the sensation in the extra-oral regions as follows: right lower lip—total absence of sensation (score 1); chin—almost no sensation (score 2). After completing the PBM therapy, the patient rated all affected regions as a 5 on the VAS, indicating complete recovery.

2.2. Case 2

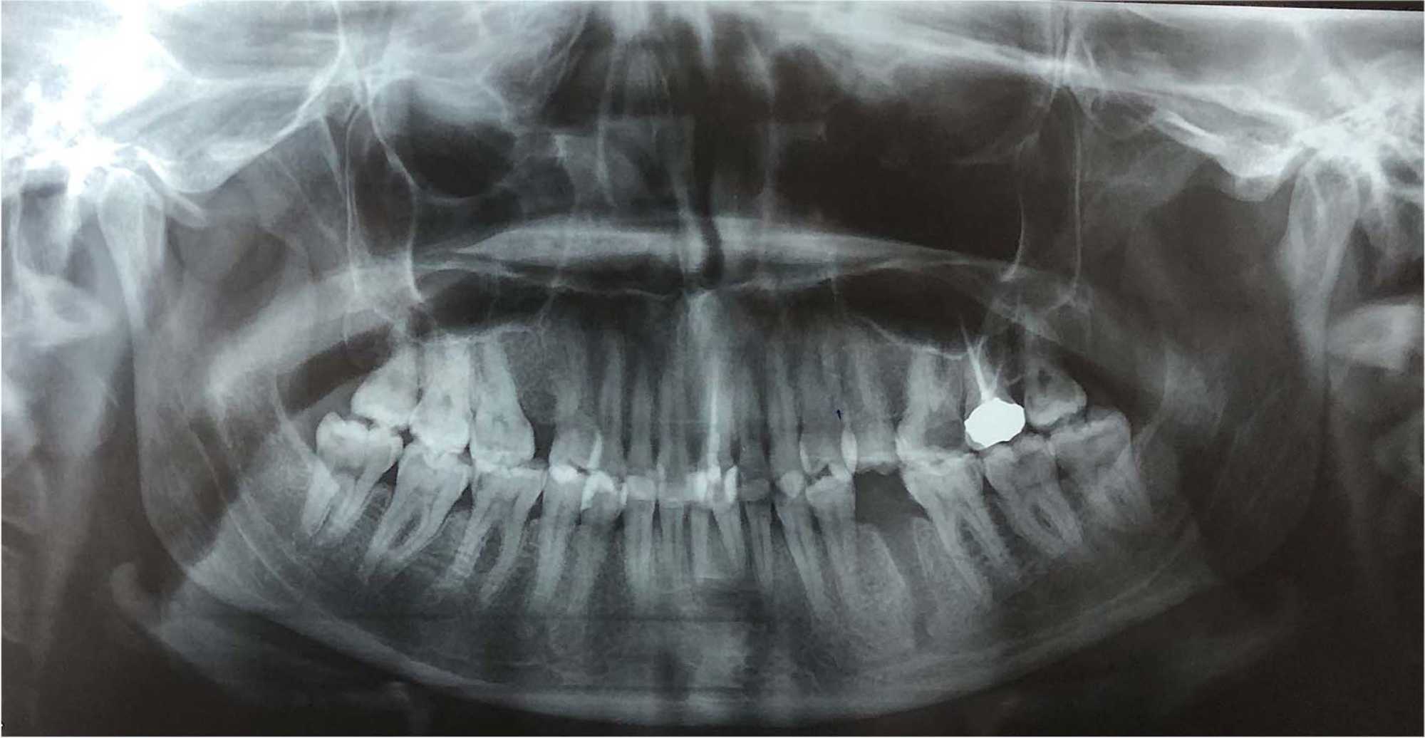
A 35-year-old female patient with no medical history presented to the Department of Surgical Odontology complaining of burning pain and a tingling sensation in the left mandibular region following the recent extraction of tooth 35.

Symptoms included:

  • Spontaneous or provoked burning pain in the vestibular mucosa and gingiva of the extraction site.

  • Tingling sensation in the ipsilateral extra-oral region.

A panoramic radiograph showed contact between the mental foramen and the site of tooth 35 (Figure 4).

Figure 4. Panoramic radiograph: contact of the site of extraction of tooth 35 with the mental foramen.

Neurosensitivity Assessment:

Testing was performed using a short sterile needle, applied perpendicularly along the IAN pathway to the mental foramen area, both intra- and extra-orally, on the affected and unaffected sides.

A diagnosis of IAN dysesthesia in the left mandibular area was established, and the patient underwent PBM therapy.

Dysesthesia Management:

PBM was applied extra-orally at the mental foramen and intra-orally on the buccal mucosa and gingiva of the affected region. The patient underwent 15 sessions, three times per week. By the eighth session, a reduction in burning and tingling sensations was noted; complete symptom resolution was achieved after the fifteenth session (Figure 5).

Recovery Evaluation:

Post-treatment neurosensitivity tests showed complete healing and restoration of normal sensation.

2.3. Case 3

A 52-year-old female patient presented with complete sensory loss on the tongue and altered taste perception, persisting since the extraction of the right lower third molar three months earlier.

Figure 5. Mapping of the extra oral dysesthesia.

A panoramic radiograph confirmed the absence of tooth 48 and showed evidence of bone healing (Figure 6).

Figure 6. Panoramic radiograph: Absence of tooth 48 with signs of healing bone.

Neurosensitivity Assessment:

Sensory testing of the tongue using the VAS revealed a level 2 (almost no sensation) on the affected right lateral side, and level 5 (normal) on the unaffected side. Taste perception was also rated a 2 compared to the unaffected side. The taste scale used was: 1 (complete loss), 2 (almost no perception), 3 (reduced), 4 (almost normal), and 5 (normal perception).

A diagnosis of lingual nerve hypoesthesia and hypogeusia in the right lateral tongue was made, and PBM therapy was initiated.

Hypoesthesia and Hypogeusia Management:

The patient received 12 PBM sessions, three times per week. By the ninth session, improved taste and sensitivity were noted in the posterior two-thirds of the tongue. Full recovery was achieved by the eleventh session (Figure 7).

PBM application points are shown in Figure 7.

Figure 7. Mapping of the decrease of the area of hypoesthesia of the right LN and hypogeusia throughout PBM sessions with application points. A: initial state of the affected area. B: At the 9th session, the affected area is limited to the 3rd anterior lateral portion of the tongue.

Recovery evaluation:
Neurosensitivity tests confirmed restoration of normal function compared to the unaffected side.

2.4. Case 4

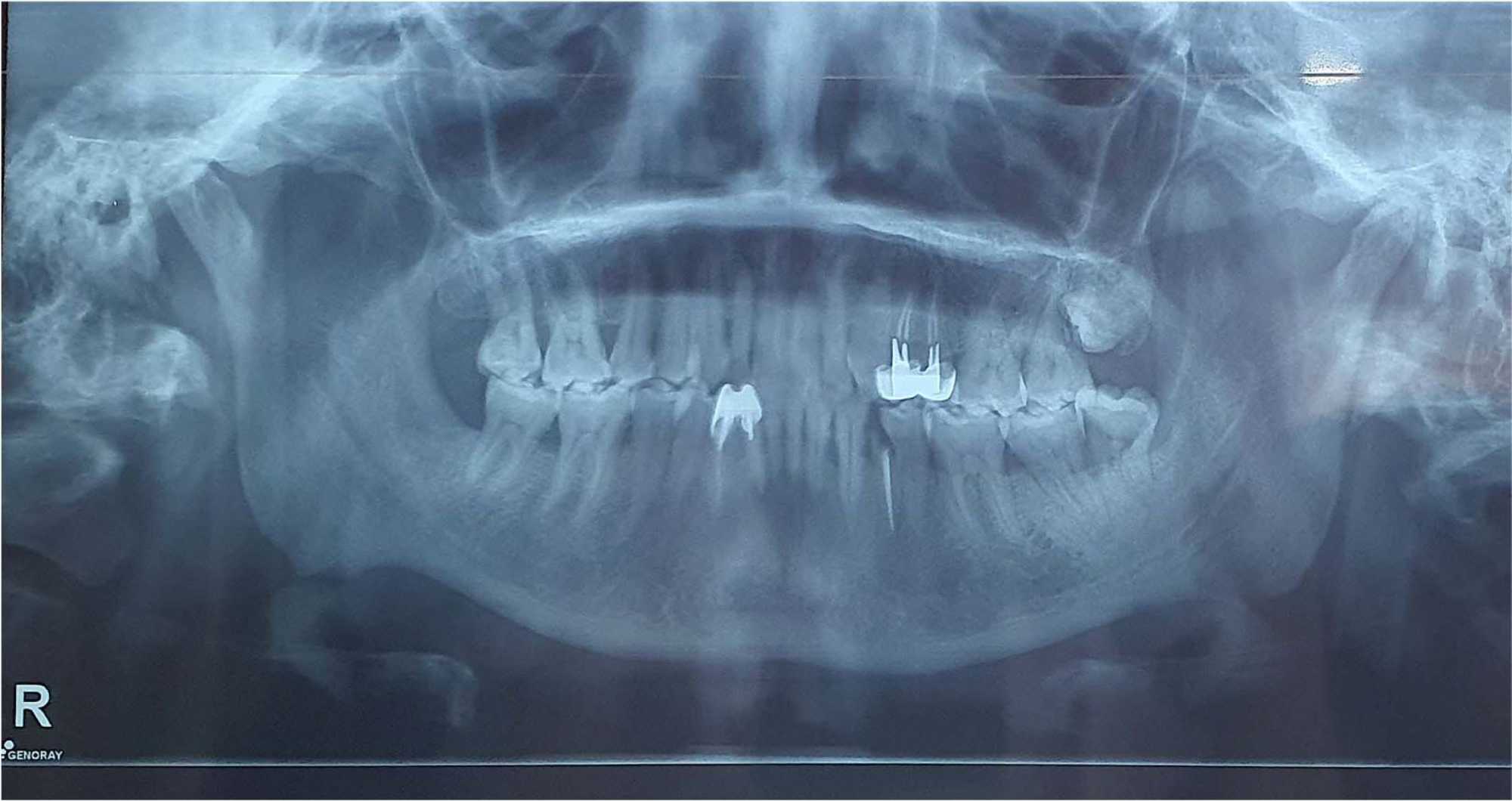
A 30-year-old male patient in good general health was referred for enucleation of a right mandibular inflammatory cyst. Within the first few days postoperatively, he reported numbness in the right extra-oral mandibular area, with no other symptoms.

A panoramic radiograph showed involvement of the IAN within the cystic lesion (Figure 8).

Figure 8. Panoramic radiograph showing the disappearance of IAN canal and its submergence in the radiolucent lesion from tooth 48 to the roots of tooth 43.

Neurosensitivity Assessment:

The patient scored a 2 (almost no sensation) on the VAS. A diagnosis of postoperative IAN hypoesthesia was made, and PBM therapy was started.

Hypoesthesia Management:
PBM was applied extra-orally on the affected area. The patient underwent 10 PBM sessions, three times per week. Recovery signs appeared from the third session. The area of hypoesthesia gradually decreased, with full recovery by the tenth session (Figure 9).

Figure 9. Application points and mapping of the decrease of the hypoesthesia area throughout the PBM sessions. A: initial state. B: At session 3, a decline of the affection is noted. C: At session 6, regression of the affection until only a part of the chin area is left.

Recovery Evaluation:

At the end of therapy, the patient rated sensation as a 5 on the VAS, indicating full recovery.

PBM Parameters:
The PBM parameters are summarized in Table 1. A diode laser with a wavelength of 980 nm was used. Intra- and extra-oral PBM was performed with a flat-top handpiece using 0.1 W power, 1 cm2 spot size, 10 J/cm2 energy density, and 10 J of energy per point, applied for 30 seconds.

The four patients have shown full recovery with the PBM protocol used for each case of nerve injury. Table 2 highlights symptoms, diagnosis, PBMT details, and full sensory recovery outcomes.

Table 1. PBM parameters used for the cases.

Parameters

PBM

Wavelength

980 nm

Tip

Flat top

Irradiation mode

Continuous wave

Output power

0.3 W

Spot size

1 cm2

Energy density

10 J/cm2

Energy per point

10 J

Exposure duration

30 s

Application technique

10 to 15 sessions: 3 times a week

Table 2. Summary of the treatment of the four cases through PBM therapy.

Patient info

Type of nerve injury

Number of PBM therapy sessions

Final outcome

Case 1

28 year-old male

Lower lip anesthesia; Chin hypoesthesia

10

Full recovery

Case 2

35 year-old female

IAN Dysesthesia

15

Full recovery

Case 3

52 year-old female

Tongue hypoesthesia and hypogeusia

12

Full recovery

Case 4

30 year-old male

IAN hypoesthesia

10

Full recovery

3. Discussion

Trigeminal nerve injuries are common complications of oral surgeries such as third molar extractions, nerve block anesthesia, and dental implant procedures. These injuries often result in sensory disturbances, including paresthesia, dysesthesia, and even neuropathic pain.

Treatment options vary. While surgical approaches can effectively improve sensory function and reduce pain, they are invasive and not always the preferred choice [10]. Conservative treatments—such as topical analgesics, corticosteroids, vitamins, and antidepressants—are widely used and often serve as first-line management [11].

More recently, innovative therapies like electrical stimulation, magnetic fields, and PBM therapy have shown encouraging results. PBM, in particular, supports nerve regeneration by increasing blood circulation, stimulating Schwann cell proliferation, and promoting axonal fiber growth. It also helps limit scar tissue formation, making it a promising non-invasive alternative for managing nerve injuries [2] [12].

However, determining the optimal application protocol remains an area of debate. Parameters such as the type of laser, wavelength, energy density, power, delivery mode, exposure duration, and number of sessions may be critical. Although some guidance exists from prior studies, the range of effective parameters remains broad [13].

According to Scribante et al., the use of diode or GaAlAs lasers has similar effects, inducing significant improvements in pain relief, quality of life, and accelerated healing [2].

Regarding laser wavelength, De Oliveira Martins et al. found that a 904 nm wavelength improved nociception and increased NGF expression by 53%. Gomes et al. observed increased mRNA and NGF expression—peaking at 21 days—along with enhanced functional recovery and reduced inflammation markers (HIF-1α, TNF-α, IL-1β) when using wavelengths of 632.8 nm and 660 nm [14].

Hakimiha et al. reported that wavelengths between 808 and 830 nm provide good penetration depth, suitable for deeply located targets like the inferior alveolar nerve (IAN), making them useful for neurorehabilitation purposes [15].

Similarly, Shirani et al. and Hakguder et al. used wavelengths ranging from 650 to 1000 nm, known for their high penetration capability (20 - 40 mm) and effectiveness in addressing deep-seated pain [16] [17].

Most studies employ an output power not exceeding 0.3 W. More powerful lasers may generate heat within tissues, potentially causing damage or discomfort—particularly risky for sensitive neural structures [16] [18].

Regarding irradiation mode, continuous wave (CW) is commonly used in most studies. Due to the accessible anatomical location of the IAN, it can be effectively targeted by the laser beam. Utilizing less than 0.3 W of power in CW mode has been shown to produce favorable outcomes [16].

To ensure the effective delivery of therapeutic doses, appropriate dosimetry during PBM must be selected. Hakimiha et al. highlighted the efficacy of an energy density between 6 and 10 J/cm2. Doses below 10 J/cm2 tend to induce positive biostimulatory responses, whereas doses above 20 J/cm2 may exert inhibitory effects [15].

For most nerve injuries, PBM exposure duration typically ranges from 20 to 120 seconds per point, depending on the desired energy and output power settings [14].

The optimal treatment window for nerve injuries is within the first six months, during which there is the greatest potential for functional recovery. Beyond this period, the likelihood of full nerve regeneration diminishes, and treatment goals shift toward managing chronic symptoms and adapting to long-term deficits [19].

In our cases, the effectiveness of PBM was demonstrated in treating sensory disturbances following oral surgeries. PBM, using a 980 nm diode laser at 0.1 W with an energy dose of 10 J in continuous wave mode for 30 seconds, improved sensation in patients experiencing numbness, burning pain, and altered taste perception after procedures such as wisdom tooth extractions, tooth extractions, and cyst enucleations. Recovery typically occurred gradually over 8 to 15 sessions, with full restoration of normal sensation observed in all patients. These results underscore PBM’s potential in enhancing nerve recovery and effectively managing postoperative nerve damage.

4. Conclusion

Photobiomodulation has emerged as a promising therapeutic option for the treatment of post-surgical paresthesia of the trigeminal nerve. The results observed in these four cases illustrate the effectiveness of PBM in promoting nerve recovery, with notable improvements beginning from the very first sessions and complete recovery achieved after 10 to 15 sessions. However, further research involving larger, randomized clinical studies is needed to standardize PBM protocols and validate these findings in broader patient populations.

Conflicts of Interest

The authors declare no conflicts of interest.

Conflicts of Interest

The authors declare no conflicts of interest.

References

[1] Auyong, T.G. and Le, A. (2011) Dentoalveolar Nerve Injury. Oral and Maxillofacial Surgery Clinics of North America, 23, 395-400.[CrossRef] [PubMed]
[2] Scribante, A., Pellegrini, M., Pulicari, F., Porrini, M., Bosotti, M. and Spadari, F. (2023) Nerve Injury and Photobiomodulation, a Promising Opportunity: A Scoping Review on Laser Assisted Protocols for Lesions in the Oral Region. Applied Sciences, 13, Article No. 9258.[CrossRef
[3] Garcia-Blanco, M., Gualtieri, A.F., Lovaglio-Rivas, A.C., Ruffini, J.M. and Puia, S.A. (2021) Trigeminal Nerve Injuries. Four Years’ Experience at a Single Argentine Referral Center and a Literature Review. Acta Odontologica Latinoamericana: AOL, 34, 263-270. https://dx.doi.org/10.54589/aol.34/3/263[CrossRef] [PubMed]
[4] Kämmerer, P.W., Heimes, D., Hartmann, A., Kesting, M., Khoury, F. and Schiegnitz, E. (2024) Clinical Insights into Traumatic Injury of the Inferior Alveolar and Lingual Nerves: A Comprehensive Approach from Diagnosis to Therapeutic Interventions. Clinical Oral Investigations, 28, 1-14. https://dx.doi.org/10.1007/s00784-024-05615-4[CrossRef] [PubMed]
[5] Coulthard, P., Kushnerev, E., Yates, J.M., Walsh, T., Patel, N., Bailey, E., et al. (2014) Interventions for Iatrogenic Inferior Alveolar and Lingual Nerve Injury. Cochrane Database of Systematic Reviews, 2014, CD005293.[CrossRef] [PubMed]
[6] Joachim, M., Tabib, R., Laviv, A., Pikovsky, A., Zadik, Y. and Zeltser, R. (2019) Trigeminal Neuropathy after Mandibular Fractures: Epidemiology and Neurophysiologic Diagnosis. Journal of Craniofacial Surgery, 30, 1113-1117.[CrossRef] [PubMed]
[7] Kaleem, A., Amailuk, P., Hatoum, H. and Tursun, R. (2020) The Trigeminal Nerve Injury. Oral and Maxillofacial Surgery Clinics of North America, 32, 675-687. https://dx.doi.org/10.1016/j.coms.2020.07.005[CrossRef] [PubMed]
[8] Libersa, P., Savignat, M. and Tonnel, A. (2007) Neurosensory Disturbances of the Inferior Alveolar Nerve: A Retrospective Study of Complaints in a 10-Year Period. Journal of Oral and Maxillofacial Surgery, 65, 1486-1489.[CrossRef] [PubMed]
[9] Greenstein, G., Carpentieri, J.R. and Cavallaro, J. (2015) Nerve Damage Related to Implant Dentistry: Incidence, Diagnosis, and Management. Compendium of Continuing Education in Dentistry, 36, 652-660.
[10] Renton, T. (2013) Oral Surgery: Part 4. Minimising and Managing Nerve Injuries and Other Complications. British Dental Journal, 215, 393-399. https://dx.doi.org/10.1038/sj.bdj.2013.993[CrossRef] [PubMed]
[11] Gabriel, A.F., Breda, S.J., Borges, K.L., et al. (2024) Treatment of Lingual Nerve Paresthesia through Photobiomodulation Therapy: A Case Report Employing an Approach Integrating Extraoral and Intraoral Modalities. Journal of Research in Dentistry, 12, 29-34. https://dx.doi.org/10.59306/jrd.v12e1202429-34[CrossRef
[12] El Mobadder, M., Nammour, S., Ortega, M. and Grzech-Leśniak, K. (2021) Photobiomodulation Therapy Applied after 6 Months for the Management of a Severe Inferior Alveolar Nerve Injury. Life, 11, Article No. 1420.[CrossRef] [PubMed]
[13] Midamba, E.D. and Haanaes, H.R. (1993) Effect of Low Level Laser Therapy (LLLT) on Inferior Alveolar, Mental and Lingual Nerves after Traumatic Injury in 15 Patients. A Pilot Study. Laser Therapy, 5, 89-94.[CrossRef
[14] Rosso, M.P.d.O., Buchaim, D.V., Kawano, N., Furlanette, G., Pomini, K.T. and Buchaim, R.L. (2018) Photobiomodulation Therapy (PBMT) in Peripheral Nerve Regeneration: A Systematic Review. Bioengineering, 5, Article No. 44.[CrossRef] [PubMed]
[15] Hakimiha, N., Rokn, A.R., Younespour, S. and Moslemi, N. (2020) Photobiomodulation Therapy for the Management of Patients with Inferior Alveolar Neurosensory Disturbance Associated with Oral Surgical Procedures: An Interventional Case Series Study. Journal of Lasers in Medical Sciences, 11, S113-S118.[CrossRef] [PubMed]
[16] Abdelkarim Elafifi, H., Acevedo Carrero, M., Parada Avendaño, I., España-Tost, A. and Arnabat-Domínguez, J. (2021) Effect of Photobiomodulation (Diode 810 nm) on Long-Standing Neurosensory Alterations of the Inferior Alveolar Nerve: A Case Series Study. Photobiomodulation, Photomedicine, and Laser Surgery, 39, 4-9.[CrossRef] [PubMed]
[17] Amanat, D., Ebrahimi, H., Lavaee, F. and Alipour, A. (2013) The Adjunct Therapeutic Effect of Lasers with Medication in the Management of Orofacial Pain: Double Blind Randomized Controlled Trial. Photomedicine and Laser Surgery, 31, 474-479.[CrossRef] [PubMed]
[18] Andreo, L., Soldera, C.B., Ribeiro, B.G., de Matos, P.R.V., Bussadori, S.K., Fernandes, K.P.S., et al. (2017) Effects of Photobiomodulation on Experimental Models of Peripheral Nerve Injury. Lasers in Medical Science, 32, 2155-2165.[CrossRef] [PubMed]
[19] MacKay, B.J., Cox, C.T., Valerio, I.L., Greenberg, J.A., Buncke, G.M., Evans, P.J., et al. (2021) Evidence-Based Approach to Timing of Nerve Surgery: A Review. Annals of Plastic Surgery, 87, e1-e21.[CrossRef] [PubMed]

Copyright © 2025 by authors and Scientific Research Publishing Inc.

Creative Commons License

This work and the related PDF file are licensed under a Creative Commons Attribution 4.0 International License.