Protective Effect of Liraglutide on Early Renal Fibrosis in Diabetes Mice

Abstract

Background: In recent years, studies have shown that liraglutide may delay the progression of renal fibrosis by inhibiting renal fibrosis signaling pathways and reducing collagen deposition. TGF-β1 and E-Cadherin play crucial roles in renal fibrosis. Objective: To explore the protective effect of liraglutide on early renal fibrosis in diabetes mice. Methods: Twenty-four 8-week-old healthy male C57BL/6J mice were randomly divided into a normal diet feeding group (NG, n = 8) and a high-fat diet feeding group (HG, n = 16) using a simple random sampling method. Four weeks later, the high-fat diet feeding group received a one-time intraperitoneal injection of STZ diluted with 0.1 mol/L sodium citrate buffer (50 mg/Kg). The diabetes model was established after 7 days of continuous injection. The diabetes model mice were randomly divided into 2 groups, each containing 8 mice. One group received liraglutide (400 ug per kilogram per day, subcutaneous injection), named Liraglutide Intervention Group (LDG); the other group received an equal dose of saline subcutaneously, named the Diabetes Model Non-intervention Group (NDG). NG also received an equal dose of saline subcutaneously, named Normal Control Group (NCG). Renal tissue pathological changes were observed by HE and Masson staining; TGF-βl and E-Cadherin protein expressions were detected by immunohistochemistry; E-Cadherin protein expression was detected by Western blotting. Results: The degree of kidney tissue damage and fibrosis in liraglutide intervention group was milder than that in non-intervention group, and the expression of TGF-β1 and E-Cadherin protein tended to be similar to that in normal control group. Conclusion: Liraglutide can significantly reduce early renal fibrosis in diabetes mice, and its mechanism may be related to the reduction of TGF-β1 expression to induce EMT changes in epithelial cells (for example, up regulation of E-Cadherin).

Share and Cite:

Ke, X. and Ma, T. (2025) Protective Effect of Liraglutide on Early Renal Fibrosis in Diabetes Mice. Journal of Biosciences and Medicines, 13, 84-91. doi: 10.4236/jbm.2025.131008.

1. Background

As people’s living habits and dietary structures change, the global prevalence of diabetes continues to rise, making the management of diabetes complications a significant challenge in public health. Among these, diabetic kidney disease (DKD) is the most common complication of diabetes and one of the primary causes of end-stage renal disease (ESRD). It is estimated that approximately 30%-50% of end-stage kidney diseases are caused by DKD [1]. For a long time, strict control of blood glucose, blood pressure, and blood lipids has been the core strategy for managing diabetic kidney disease. However, with the advancement of research, an increasing amount of evidence suggests that, in addition to traditional treatments, certain new drugs have shown significant renal protective effects [2].

Liraglutide, as a glucagon-like peptide-1 (GLP-I) receptor agonist, was initially approved for improving glycemic control in patients with type 2 diabetes. Recent studies have shown that Liraglutide not only effectively reduces blood glucose levels but also shown that liraglutide may delay the progression of renal fibrosis by inhibiting renal fibrosis signaling pathways and reducing collagen deposition. However, relevant reports are still scarce; therefore, this experiment focuses on exploring the therapeutic effects of Liraglutide on animal models of DKD, aiming to further optimize the treatment strategies for DKD [3]-[5].

TGF-β1 is an important cytokine that is considered one of the key drivers of renal fibrosis by promoting fibroblast activation, inducing epithelial-mesenchymal transition (EMT), and promoting inflammatory responses, causing or exacerbating renal fibrosis. E-cadherin is an important cell adhesion protein that, on the one hand, maintains the polarity and function of epithelial cells by promoting cell-to-cell adhesion and prevents the transformation of epithelial cells into fibroblasts, and on the other hand, delays fibrosis by inhibiting the EMT process.

2. Materials and Methods

2.1. Experimental Animals

Select 24 healthy male C57BL/6J mice of SPF grade at 8 weeks old, weighing 25 ± 3 g, and adaptively feed them for 1 week, and observe for any adverse reactions. All experiments were approved by the Experimental Animal Ethics Committee of Changjiang University, with approval number 202301012.

2.2. Reagents and Instruments

Liraglutide was purchased from Novo Nordisk in Denmark. STZ powder was purchased from Sigma Company. High-fat feed (60% kcal high-fat diet) was purchased from Beijing Pake Biological Co., Ltd. Immunostaining blocking solution, immunostaining primary antibody dilution solution, and peroxidase blocking solution were purchased from Beyotime Biotechnology Co., Ltd. Pathological images were taken using a Leica optical microscope from Company. Western blot detection of target protein expression was performed using Bio-Rad’s chemiluminescence imaging system from the United States.

2.3. Experimental Method

Modeling and Grouping. Using SPF grade 8-week-old C57BL/6J healthy male mice as the research subjects, 28 mice were randomly divided into a normal diet group (NG, n = 8) and a high-fat diet group (HG, n = 16) using a simple random sampling method. Mice in the NG were fed with regular feed, while those in the HG were fed with 60% high-fat feed. After 4 weeks, the HG mice received a single intraperitoneal injection of STZ (50 mg/Kg) diluted in 0.1mol∕L sodium citrate buffer, while the NG mice received an equal volume of 0.1mol∕L sodium citrate buffer via intraperitoneal injection. 72 hours after STZ injection, the tail vein blood glucose level was ≥16.7 mmol/L was taken to determine diabetes mice. After continuous injections for 7 days, the diabetic model mice were randomly divided into two groups, each containing 8 mice. One group received liraglutide (400 ug/(kg∙d), subcutaneously) named the liraglutide intervention group (LDG); the other group received an equal dose of saline subcutaneously, named the diabetic model non-intervention group (NDG). The NG mice also received an equal dose of saline subcutaneously, named the normal control group (NCG). After 8weeks, the mice were euthanized by cervical dislocation, and both kidneys were quickly removed.

Histopathology (HE Staining, Massons Staining). After removing the renal capsule, the kidney was longitudinally sectioned along the renal hilum into 2 sections. Half of the kidney tissue was fixed in 4% paraformaldehyde to make paraffin sections. After dewaxing and hydration of paraffin sections, H&E staining, Masson staining, immunohistochemistry was performed, and renal histopathological changes were observed under an optical microscope.

Immunohistochemical. After dehydration, dewaxing, and antigen repair, the kidney tissue sections were sealed, and then incubated with E-Cadherin (1:100) diluted with primary antibody. After overnight incubation at 4˚C, the secondary antibody was added. Then wash the slices with phosphate buffer and add color reagent, and finally stain with hematoxylin to locate the cell nucleus.

Western Blot. RIPA lysis buffer was used to extract renal tissue protein, and BCA method was used to measure protein concentration. The equivalent protein was electrophoretic on SDS-PAGE gel and transferred to PVDF membrane. Seal with 5% skim milk powder at room temperature for 1 hour, add primary antibody diluent TGF-β1 (1:500) and E-Cadherin (1:1000), and incubate overnight at 4˚C. After washing, the secondary antibody was added and incubated in a shaker at room temperature, and after washing, ECL luminescence solution was added dropwise and exposed to a chemiluminescence imager for photography. The expression of the target proteins was analyzed by ImageJ software for comparison.

Statistical Methods. All data are presented as mean ± standard error (SEM), and statistical significance between groups is validated using one-way ANOVA for multiple group comparisons. Use GraphPad Prism 10.0 software for statistical analysis, with P < 0.05 considered statistically significant.

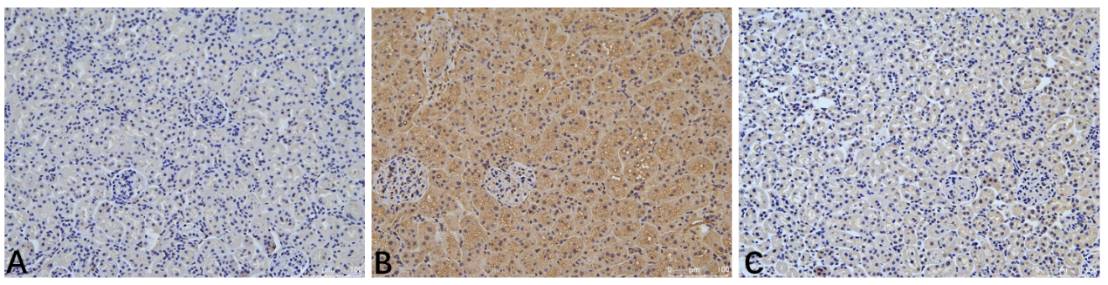
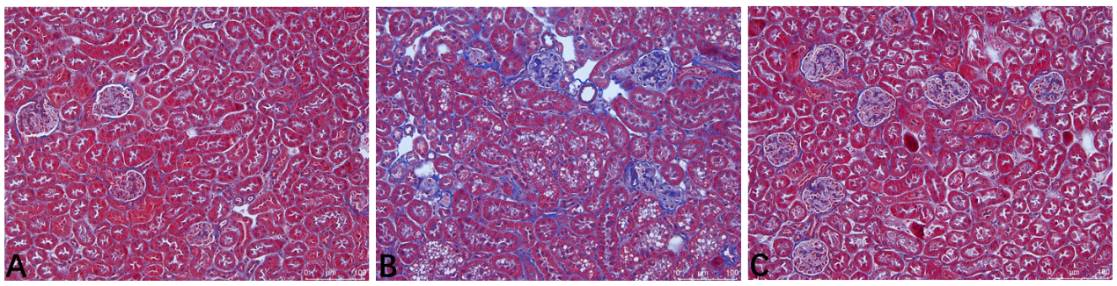
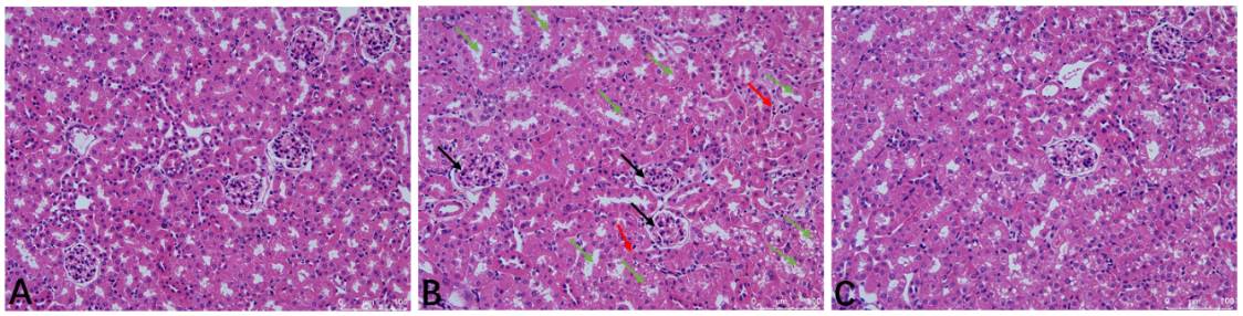
3. Results (Note: A—NCG; B—NDG; C—LDG)

3.1. HE Stains

No significant changes were observed in the renal tissue structure of NCG mice. Renal tissue of NDG mice shows glomerular volume atrophy, glomerular glass like transformation, and glomerular basement membrane damage (black arrow); Flat renal tubular epithelial cells and thickened basement membrane (green arrow); The interstitial blood vessels were significantly dilated and congested (red arrows), and the pathological changes in the kidney tissue of LDG mice were significantly reduced compared to NDG (Figure 1).

Figure 1. HE staining result of kidney tissue (×200).

3.2. Masson Stain

Compared to NCG mice, NDG mice have a significantly increased accumulation of collagen fibers in the glomerular basement membrane and renal tubular interstitium, with structural disorder. The accumulation of collagen fibers in the kidney tissue of LDG mice was significantly improved compared to NDG (Figure 2).

Figure 2. Masson staining result of kidney tissue (×200).

3.3. Immunohistochemical Detection of TGF-β1 and E-Cadherin Protein

The expression of TGF-β1 in the kidneys of LDG mice did not show a significant increase, approaching that of NCG mice (Figure 3). After analysis and statistics using Image J software, it was found that the expression of TGF-β 1 in the kidney tissue of NDG mice was much higher than that of NCG and LDG, and the difference was statistically significant (both P < 0.01). There was no statistically significant difference in the expression of NCG and LDG (P > 0.05) (Figure 5). The expression of E-Cadherin in the kidney tissue of NDG mice was significantly decreased compared to NCG. The expression of E-Cadherin in the kidneys of LDG did not show a significant decrease, approaching that of NCG mice (Figure 4). After analysis and statistics using Image J software, it was found that the expression of E-Cadherin in the kidney tissue of NDG mice was much lower than that of NCG and LDG mice, and the difference was statistically significant (both P < 0.001). There was no statistically significant difference in the expression of E-Cadherin in the kidney tissue of LDG and NCG mice when compared pairwise (P > 0.05) (Figure 6).

Figure 3. Expression of TGF-β1 in renal tissue (IHC ×200).

Figure 4. Expression of E-Cadherin in renal tissue (IHC ×200).

Figure 5. Semi quantitative analysis of TGF-β1 expression (**P < 0.01).

Figure 6. Semi quantitative analysis of E-Cadherin expression (***P < 0.001).

3.4. Western Blot Detection of E-Cadherin

E-Cadherin levels in the kidney tissue of NDG mice were significantly decreased. After analysis and statistics using Image J software, it was found that E-Cadherin in the kidney tissue of NDG mice was lower than that of NCG and LDG, and the difference was statistically significant (both P < 0.01). There was no statistically significant difference in E-Cadherin levels between LDG and NCG mouse kidney tissues (P > 0.05) (Figure 7).

Figure 7. Expression of E-Cadherin in renal tissue (***P < 0.001).

4. Discussion

Diabetes nephropathy is one of the most common chronic complications in diabetes patients, and nearly half of the patients eventually progress to ESRD [6]. The main pathological changes of end-stage renal failure in chronic kidney disease (CKD) include renal interstitial fibrosis, glomerular fibrosis, renal vascular fibrosis and renal tubular fibrosis. More than one-third of mesenchymal fibroblasts originate from the epithelial-mesenchymal transition (EMT) of renal tubular epithelial cells, and EMT has been shown to induce tubular injury and lead to the progression of DKD. The occurrence of EMT is a complex process characterized by intercellular adhesion molecules, including downregulation of E-cadherin [7] [8]. A variety of pathological factors can lead to damage to renal tubular epithelial cells (TEC), and the damaged TEC induces EMT changes in epithelial cells by releasing TGF-β1, so that epithelial cells can obtain a phenotype of mesenchymal cells secreting FN, and changes in extracellular matrix (ECM) components can cause renal interstitial fibrosis [1] [9] [10]. Therefore, inhibition of the EMT process of renal tubular epithelial cell differentiation is an important goal to delay the progression of diabetic nephropathy (DN).

As a GLP-1 receptor agonist, liraglutide has shown remarkable effects in diabetes management by promoting insulin secretion, inhibiting glucagon secretion and enhancing insulin sensitivity [11]-[13]. In the experiment, liraglutide significantly improved the pathological changes in the kidney tissue of diabetic mice, possibly by inhibiting TGF-β1 expression and inducing EMT changes in epithelial cells (e.g., up-regulation including E-cadherin), which led to the alleviation of renal interstitial fibrosis. The results of this experiment: HE staining showed significant pathological changes in the kidney tissue of NDG mice, including glomerular volume atrophy, basement membrane damage and tubular epithelial cell deformation, which was consistent with the severity of diabetes-related renal fibrosis. In contrast, the pathological changes of kidney tissue in LDG mice were significantly reduced, indicating that liraglutide has a certain effect in improving renal fibrosis in diabetic mice. The results of Masson staining further confirmed that the build-up of collagen fibers was significantly increased in the NDG group, while LDG showed a significant improvement. The results of TGF-β1 immunohistochemistry showed that the expression of TGF-β1 in NDG group was significantly higher than that of NCG, and LDG showed a similarly low level of expression as NCG. The immunohistochemistry results and western blot results of E-Cadherin in kidney tissue showed that the expression of E-Cadherin in NDG was significantly lower than that of NCG, and the expression level of LDG was similar to that of NCG group. This study suggests that diabetes may exacerbate the fibrotic process by promoting the dedifferentiation of TEC, and that the intervention of liraglutide may be effective in reversing this process.

In conclusion, the intervention of liraglutide will affect the distribution and content of TGF-β1 and E-Cadherin proteins in the kidney tissue of mice with diabetic nephropathy, thereby delaying the process of renal interstitial fibrosis caused by DN.

Based on the results of this study, liraglutide has shown good application prospects in the prevention and treatment of diabetic renal fibrosis. While the study provides valuable insights, there are several limitations. First, the dose and timing settings for liraglutide administration in the study may not be fully consistent with the clinical application in humans, limiting the extrapolation of the results. Secondly, the specific molecular mechanism of liraglutide on the protective effect of renal fibrosis in the early stage of diabetes is not clear. In addition, existing studies often focus on short-term effects, and there is a lack of assessment of the potential effects of long-term liraglutide use on kidney health. Therefore, more in-depth and systematic studies are still needed before these findings can be applied to clinical practice. Future studies can further explore the efficacy and safety of liraglutide in different stages of diabetes and in different populations, providing a more solid basis for clinical practice.

Conflicts of Interest

The authors declare no conflicts of interest regarding the publication of this paper.

References

[1] Zhang, Y., Jin, D., Kang, X., Zhou, R., Sun, Y., Lian, F., et al. (2021) Signaling Pathways Involved in Diabetic Renal Fibrosis. Frontiers in Cell and Developmental Biology, 9, Article ID: 696542.[CrossRef] [PubMed]
[2] de Boer, I.H., Khunti, K., Sadusky, T., Tuttle, K.R., Neumiller, J.J., Rhee, C.M., et al. (2022) Diabetes Management in Chronic Kidney Disease: A Consensus Report by the American Diabetes Association (ADA) and Kidney Disease: Improving Global Outcomes (Kdigo). Diabetes Care, 45, 3075-3090. [Google Scholar] [CrossRef] [PubMed]
[3] Mann, J.F.E., Ørsted, D.D., Brown-Frandsen, K., Marso, S.P., Poulter, N.R., Rasmussen, S., et al. (2017) Liraglutide and Renal Outcomes in Type 2 Diabetes. New England Journal of Medicine, 377, 839-848.[CrossRef] [PubMed]
[4] Kawanami, D. and Takashi, Y. (2020) GLP-1 Receptor Agonists in Diabetic Kidney Disease: From Clinical Outcomes to Mechanisms. Frontiers in Pharmacology, 11, Article No. 967.[CrossRef] [PubMed]
[5] Rojano Toimil, A. and Ciudin, A. (2021) GLP-1 Receptor Agonists in Diabetic Kidney Disease: From Physiology to Clinical Outcomes. Journal of Clinical Medicine, 10, Article No. 3955.[CrossRef] [PubMed]
[6] Sun, H., Saeedi, P., Karuranga, S., Pinkepank, M., Ogurtsova, K., Duncan, B.B., et al. (2022) IDF Diabetes Atlas: Global, Regional and Country-Level Diabetes Prevalence Estimates for 2021 and Projections for 2045. Diabetes Research and Clinical Practice, 183, Article ID: 109119.[CrossRef] [PubMed]
[7] Gilbert, R.E. and Cooper, M.E. (1999) The Tubulointerstitium in Progressive Diabetic Kidney Disease: More than an Aftermath of Glomerular Injury? Kidney International, 56, 1627-1637.[CrossRef] [PubMed]
[8] Zhou, D. and Liu, Y. (2015) Renal Fibrosis in 2015: Understanding the Mechanisms of Kidney Fibrosis. Nature Reviews Nephrology, 12, 68-70.[CrossRef] [PubMed]
[9] Brosius, F.C. (2008) New Insights into the Mechanisms of Fibrosis and Sclerosis in Diabetic Nephropathy. Reviews in Endocrine and Metabolic Disorders, 9, 245-254.[CrossRef] [PubMed]
[10] Hills, C.E., Siamantouras, E., Smith, S.W., Cockwell, P., Liu, K. and Squires, P.E. (2012) TGFβ Modulates Cell-to-Cell Communication in Early Epithelial-to-Mesenchymal Transition. Diabetologia, 55, 812-824.[CrossRef] [PubMed]
[11] Dejager, S. and Schweizer, A. (2012) Incretin Therapies in the Management of Patients with Type 2 Diabetes Mellitus and Renal Impairment. Hospital Practice, 40, 7-21.[CrossRef] [PubMed]
[12] Tricò, D. and Solini, A. (2021) Glucagon-Like Peptide-1 Receptor Agonists—Use in Clinical Practice. Advances in Chronic Kidney Disease, 28, 328-336.[CrossRef] [PubMed]
[13] Holliday, M.W., Frost, L. and Navaneethan, S.D. (2024) Emerging Evidence for Glucagon-Like Peptide-1 Agonists in Slowing Chronic Kidney Disease Progression. Current Opinion in Nephrology & Hypertension, 33, 331-336.[CrossRef] [PubMed]

Copyright © 2025 by authors and Scientific Research Publishing Inc.

Creative Commons License

This work and the related PDF file are licensed under a Creative Commons Attribution 4.0 International License.