Unusual Extra Axial Medulloblastoma in Posterior Fossa: Case Report

Abstract

Background: Cerebellopontine (CP) angle in adults may harbor a number of tumors. The most common tumors in this location include schwannoma, meningioma, and epidermoid tumor followed by metastatic lesions. Cerebellopontine angle (CPA) is an atypical site for adult medulloblastoma (MB) with only 13 cases reported in pure extra-axial location. Cases Présentations: We report a case of 22-year-old male, both presented with headache, vomiting, ataxia Magnetic resonance imaging (MRI) showed an extra-axial Cerebellopontine angle lesion. It was surgically treated with a provisional diagnosis of meningioma. Histopathological diagnosis medulloblastoma. Conclusion: This case report highlights the fact that, although extremely rare, the possibility of an extra-axial CP angle mass being a medulloblastoma still needs to be considered in the differential diagnoses, even in adults.

Share and Cite:

Zahir, I., Stitou, K., Hmamouche, O.M., Hammoud, M., Lakhdar, F., Benzagmout, M., Chakour, K. and Chaoui, M.E.F. (2025) Unusual Extra Axial Medulloblastoma in Posterior Fossa: Case Report . Open Access Library Journal, 12, 1-6. doi: 10.4236/oalib.1112751.

1. Introduction

Medulloblastomas are rarely seen in the adult population, accounting for less than 1% of primary adult brain tumors [1]. It commonly arises from the cerebellar vermis [1] [2]. There are only a few cases of cerebellopontine (CP) angle medulloblastomas. Most of them are intra-axial. Extra-axial site of this tumor is extremely rare [3]. In adults, only 13 cases were found in extra-axial CPA locations [4]. We add our case to this list of extra-axial medulloblastoma.

2. Patient and Observation

A 22-year-old male presented with headache, vomiting, left-sided ataxia, and left-sided mild hearing loss of 1-month duration. The vision was normal. Fundus examination showed papilledema. left-sided mild sensorineural hearing loss, and left cerebellar signs on physical examination.

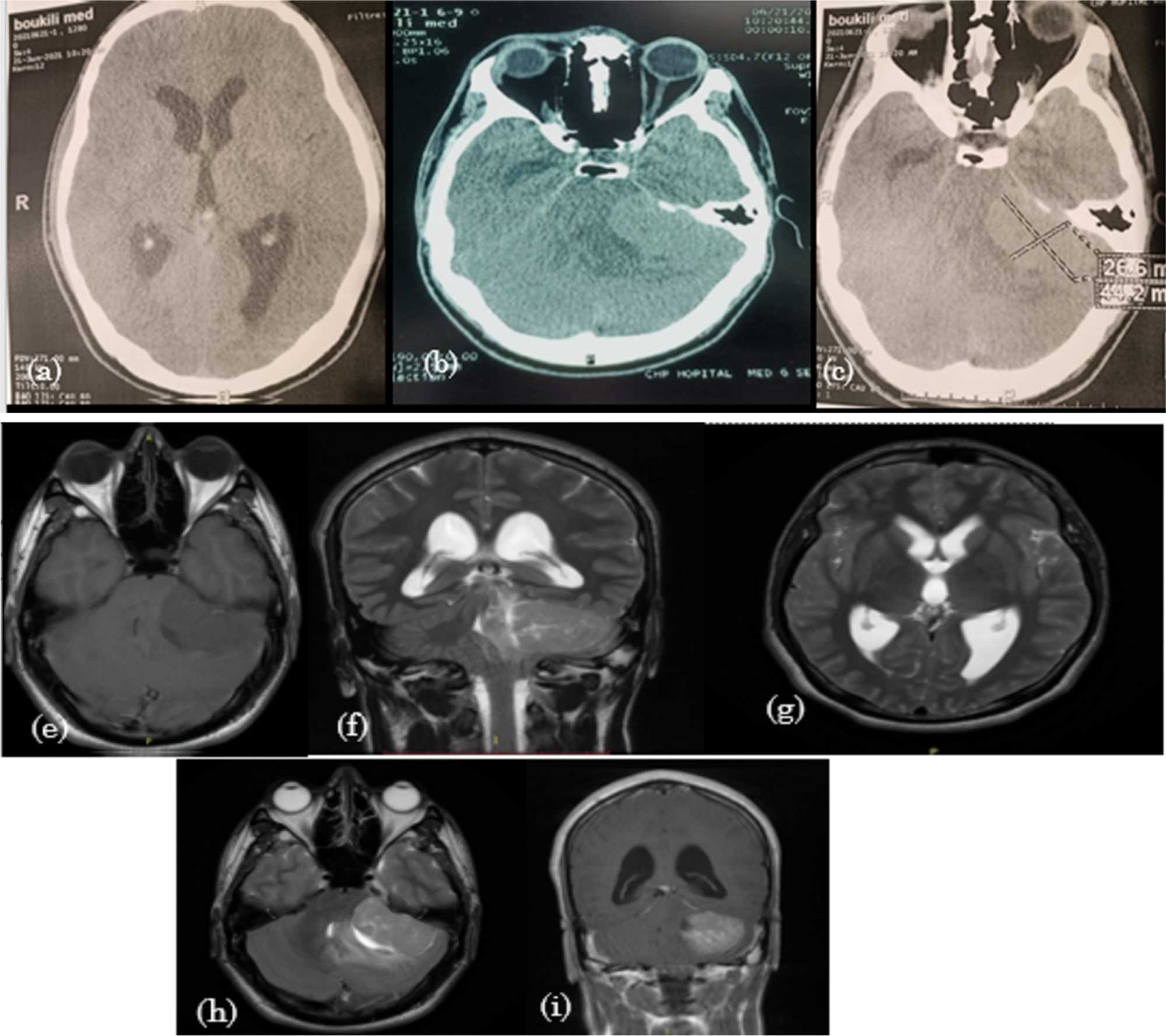
Computed tomography (CT) scan (Figure 1(a)-(c)) and magnetic resonance (MR) imaging of the brain revealed a well-defined extra-axial mass in the left CP angle cistern with a broad dural base causing mass effect on underlying cerebellum and brainstem, with resultant compression and displacement of the fourth ventricle causing upstream obstructive hydrocephalus, there was no metal extension.

The initial management consists of treating the hydrocephalus by performing a ventriculocisternostomy several days before the definitive surgery.

He underwent left retrosigmoid craniectomy and gross total excision of the

Figure 1. Pre-operative brain CT scan (a)-(c) showing an extra-axial mass at the left ponto-cerebellar angle compressing the fourth ventricle and causing tri-ventricular hydrocephalus. Pre-operative brain MRI: (e) Axial T1 showing a hypointense mass and (f) Coronal T2 showing a heterogeneous mass in the left cerebellopontine angle. (g) Axial T2 showing tri-ventricular hydrocephalus. (h) Axial T2 FLAIR showing adjacent cerebellar edema. (i) Coronal T1 after contrast injection showing moderate heterogeneous enhancement and a large tentorial attachment.

lesion. which was grayish white, soft, suckable, and nonvascular. There was clear plane between the tumor and cerebellum.

There was a clear plane between the tumor and cerebellum, whereas it was adherent to tent laterally.

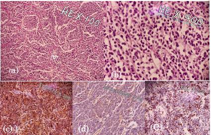
Histopathology showed a highly cellular tumor composed of rosettes of small round cells, with a high nucleus-cytoplasm ratio and increased mitotic figures—suggestive of classical medulloblastoma.

Histopathology showed a highly cellular tumor composed of rosettes of small round cells, with a high nucleus-cytoplasm ratio and increased mitotic suggestive of classical medulloblastoma—WHO grade IV (Figure 2). The immunohistochemical complement: shows diffuse synaptophysin positivity in tumor cells confirming the neuroectodermal nature. The expression of Ki67 was found in 50% of cells, and there was no nuclear expression of betacatenin, suggesting a classic non-wnt type medulloblastoma.

The postoperative course was uneventful, and the patient was referred for radiotherapy. The 7-month follow-up has shown sustained improvement in the patient’s status.

Figure 2. ((a), (b)) Histopathology revealed a highly cellular tumor composed of rosettes of small round cells, with a high nucleus-to-cytoplasm ratio and increased mitotic figures (c)-(e): The immunohistochemical analysis shows diffuse synaptophysin positivity in tumor cells, confirming the neuroectodermal nature. Expression of Ki67 in 50% of cells, with no nuclear expression of beta-catenin, suggesting a classic non-Wnt type medulloblastoma.

3. Discussion

Medulloblastoma (MB) is one of the most common pediatric intracranial tumors, accounting for 25% of all childhood tumors, and the posterior fossa is the most common site of origin. Its etiology is still not fully understood to this day [5]. According to the 2007 World Health Organization (WHO) classification of central nervous system (CNS) tumors, MBs are grade IV malignant embryonal tumors [6] [7] and are distinguished from other Primitive Neuro-Ectodermal Tumors (PNETs). They typically develop in the cerebellar vermis and the apex of the fourth ventricle, with a predilection for leptomeningeal dissemination [8]-[10].

The site of origin of medulloblastomas in the cerebellopontine angle (CPA) is not fully understood [11] [12]. However, it could be due to spreading from the midline cerebellum, the most common site of origin, its lateral extension through the foramina of Luschka, or direct exophytic growth from the surface of the external germinal layer (EGL) of the cerebellum or pons. Adult medulloblastomas arise from the surface of the cerebellum or pons and are laterally located intra-axially or in the tentorial region [13].

The cellular origin of CPA-MB has been proposed as arising from granule cell precursor cells (GCP) from a secondary germinal zone called the external granular layer (EGL) during cerebellar development, and several signaling pathways, such as Hedgehog and Wnt, are involved in this oncogenesis. Therefore, any disruption in these pathways can result in the development of medulloblastoma [13].

Clinically, due to its location in the posterior fossa, MB is characterized by symptoms of increased intracranial pressure and cerebellar dysfunction, both in children and adults, manifesting as headaches, vomiting, diplopia, nystagmus, ataxia, and papilledema [8] [10], which develop and progress rapidly over a short period of time [14]-[16].

In our patient, the clinical course of the tumor was rapidly progressive, starting with symptoms of increased intracranial pressure such as headaches, vomiting, and dizziness. Since the CPA houses the trigeminal, abducent, facial, and vestibulocochlear nerves, a lesion in the CPA can affect these cranial nerves.

Moreover, no specific radiological features for CPA MB have been reported in the literature [8] [14] [17]. The imaging modality of choice is MRI, which typically shows lesions that are iso- to hypointense on T1-weighted images [5] [18], with variable signal on T2-weighted images, and often demonstrate contrast enhancement [5].

Since medulloblastomas are tumors with a high rate of cellular division and densely packed cells, tumor diffusion is restricted, and the tumor generally presents as a homogeneous enhancement after gadolinium contrast administration [9] [11].

Adult medulloblastomas exhibit a male predominance [11]. Female sex, older age, total surgical resection, and lateral tumor location are factors that indicate a better prognosis [14] [15], with 5-year survival rates of 92% for female patients versus 40% for male patients, with gender (favoring females) and age (favoring older patients) being favorable factors [5] [19].

The treatment and prognosis of CPA medulloblastoma remain uncertain due to the small number of reported cases. Currently, the best combination of treatment modalities for medulloblastoma is aggressive surgical resection followed by radiotherapy and closely monitored chemotherapy [14] [20], similar to the treatment approach for pediatric medulloblastomas [11] [21]. The extent of residual disease after surgery may affect the survival of adult patients with MB [5].

In fact, there is insufficient data to compare radiotherapy alone versus radiotherapy combined with adjuvant chemotherapy to establish a treatment protocol and their outcomes for adult CPA-medulloblastoma. However, high-risk adult patients often undergo chemotherapy [18].

4. Conclusion

Cerebellopontine angle medulloblastoma is a rare tumor that primarily occurs in children and is extremely rare in adults. Early diagnosis, along with prompt management using radiotherapy and/or chemotherapy, can significantly improve survival.

Acknowledgements

Avoid the stilted expression, “One of us (R. B. G.) thanks...” Instead, try “R. B. G. thanks”. Do NOT put sponsor acknowledgements in the unnumbered footnote on the first page, but here.

Conflicts of Interest

The authors declare no conflicts of interest.

Conflicts of Interest

The authors declare no conflicts of interest.

References

[1] Millard, N.E. and De Braganca, K.C. (2016) Medulloblastoma. Journal of Child Neurology, 31, 1341-1353.[CrossRef] [PubMed]
[2] Yazigi-Rivard, L., Masserot, C., Lachenaud, J., Diebold-Pressac, I., Aprahamian, A., Avran, D., et al. (2008) Le médulloblastome de l’enfant. Archives de Pédiatrie, 15, 1794-1804.[CrossRef] [PubMed]
[3] Kumar, R., Bhowmick, U., Kalra, S. and Mahapatra, A. (2008) Pediatric Cerebellopontine Angle Medulloblastomas. Journal of Pediatric Neurosciences, 3, 127-130.[CrossRef
[4] Louis, D.N., Ohgaki, H., Wiestler, O.D., Cavenee, W.K., Burger, P.C., Jouvet, A., et al. (2007) The 2007 WHO Classification of Tumours of the Central Nervous System. Acta Neuropathologica, 114, 97-109.[CrossRef] [PubMed]
[5] Pan, E. and Prados, M.D. (2003) Adult Medulloblastomas. In: Hong, W.K., Bast Jr., R.C., Hait, W.N., Kufe, D.W. and Pollock, R.E., Eds., Holland-Frei Cancer Medicine (6th Edition), BC Decker.
https://www.ncbi.nlm.nih.gov/books/NBK12737/
[6] Louis, D.N., Ohgaki, H., Wiestler, O.D., Cavenee, W.K., Burger, P.C., Jouvet, A., et al. (2007) The 2007 WHO Classification of Tumours of the Central Nervous System. Acta Neuropathologica, 114, 97-109.[CrossRef] [PubMed]
[7] Noiphithak, R., Yindeedej, V. and Thamwongskul, C. (2016) Cerebellopontine Angle Medulloblastoma with Extensive Nodularity in a Child: Case Report and Review of the Literature. Childs Nervous System, 33, 839-842.[CrossRef] [PubMed]
[8] Spina, A., Boari, N., Gagliardi, F., Franzin, A., Terreni, M.R. and Mortini, P. (2012) Review of Cerebellopontine Angle Medulloblastoma. British Journal of Neurosurgery, 27, 316-320.[CrossRef] [PubMed]
[9] Fallah, A., Banglawala, S.M., Provias, J. and Jha, N.K. (2009) Extra-Axial Medulloblastoma in the Cerebellopontine Angle. Canadian Journal of Surgery, 52, E101-E102.
[10] Dhall, G. (2009) Medulloblastoma. Journal of Child Neurology, 24, 1418-1430.[CrossRef] [PubMed]
[11] Bahrami, E., Bakhti, S., Fereshtehnejad, S.M., Parvaresh, M. and Khani, M.R. (2014) Extra-Axial Medulloblastoma in Cerebello-Pontine Angle: A Report of a Rare Case with Literature Review. Medical Journal of The Islamic Republic of Iran, 28, 57.
[12] Furtado, S.V., Venkatesh, P.K., Dadlani, R., Reddy, K. and Hegde, A.S. (2009) Adult Medulloblastoma and the “Dural-Tail” Sign: Rare Mimic of a Posterior Petrous Meningioma. Clinical Neurology and Neurosurgery, 111, 540-543.[CrossRef] [PubMed]
[13] Goudihalli, S.R., Pathak, A., Brar, R. and Mundi, I. (2018) Reappraisal of Cerebellopontine Angle Medulloblastomas: Report of a Fatal Case and Lessons Learned. Interdisciplinary Neurosurgery, 12, 20-23.[CrossRef
[14] Akay, K.M., Erdogan, E., Izci, Y., Kaya, A. and Timurkaynak, E. (2003) Medulloblastoma of the Cerebellopontine Angle-Case Report. Neurologia Medico-Chirurgica, 43, 555-558.[CrossRef] [PubMed]
[15] Raimondi, A.J. and Tomita, T. (1979) Medulloblastoma in Childhood. Pediatric Neurosurgery, 5, 310-328.[CrossRef
[16] Tomita, T. (1996) Medulloblastomas. Surgical Neurology, 4, 2570-2592.
[17] Jaiswal, A.K., Mahapatra, A.K. and Sharma, M.C. (2004) Cerebellopointine Angle Medulloblastoma. Journal of Clinical Neuroscience, 11, 42-45.[CrossRef] [PubMed]
[18] Singh, S. and Kumar, N. (2020) Extraaxial Cerebellopontine Angle Medulloblastoma with Multiple Intracranial Metastases in Adult: A Rare Case Report with a Review of Literature. Asian Journal of Neurosurgery, 15, 695-698.[CrossRef] [PubMed]
[19] Le, Q.T., Weil, M.D., Wara, W.M., Lamborn, K.R., Prados, M.D., Edwards, M., et al. (1997) Adult Medulloblastoma: An Analysis of Survival and Prognostic Factors. The Cancer Journal from Scientific American, 3, 238-245.
[20] Duffner, P.K. and Cohen, M.E. (1986) Recent Developments in Pediatric Neuro-oncology. Cancer, 58, 561-568.[CrossRef
[21] Chan, A.W., Tarbell, N.J., Black, P.M., Louis, D.N., Frosch, M.P., Ancukiewicz, M., et al. (2000) Adult Medulloblastoma: Prognostic Factors and Patterns of Relapse. Neurosurgery, 47, 623-632.[CrossRef] [PubMed]

Copyright © 2026 by authors and Scientific Research Publishing Inc.

Creative Commons License

This work and the related PDF file are licensed under a Creative Commons Attribution 4.0 International License.