Reversible Posterior Encephalopathy Syndrome (PRES)

Abstract

Introduction: Reversible posterior encephalopathy syndrome (PRES) is considered benign and potentially reversible, the mortality and morbidity of which remains unknown until now in Guinea. This under-diagnosed pathology in tropical environments is becoming increasingly recognized due to the increased availability of brain imaging. The aim of this study was to determine the epidemiological, clinical, radiological and evolutionary characteristics of PRES in Guinea. Material and methods: This was a retrospective descriptive study, lasting two (2) years from November 1, 2021 to October 31, 2023 at the Neurology Department of the University Hospital of Conakry. All patients with a diagnosis of PRES were included, based on the following criteria: an acute onset neurological sign or symptom explained by vasogenic edema on brain imaging. Incomplete patient records were excluded. Results: Of 1393 patient files studied, seventeen (17) were diagnosed with PRES, representing a hospital frequency of 1.2%. The mean age was 39.3 ± 10.7 years, with extremes of 26 and 52 years. Females were predominant, with a sex ratio of 0.2. The clinical presentation was dominated by headache in 76.4% of cases, followed by visual and consciousness disturbances (64.7% and 35.2% respectively). The topography of cerebral lesions was essentially occipital (100%), parietal (82.3%) and frontal (58.8%). We observed 58.8% complete reversibility of symptoms, but 35.2% of patients retained sequelae, and we recorded 17.6% deaths. Conclusion: PRES is generally benign, with the possibility of sequelae and mortality.

Share and Cite:

Camara, M. , Barry, S. , Toure, L. , Sacko, A. , Camara, K. , Sanni, Y. , Camara, A. , Camara, B. , Lamah, E. , Sall, A. , Diallo, M. , Camara, M. , Conde, M. , Konate, I. , Youla, S. and Cisse, F. (2024) Reversible Posterior Encephalopathy Syndrome (PRES). Voice of the Publisher, 10, 188-197. doi: 10.4236/vp.2024.102016.

1. Introduction

Reversible posterior encephalopathy syndrome (PRES) is an essentially benign and potentially reversible clinicoradiological syndrome (Barai & Aher, 2022). This pathology is underdiagnosed in tropical environments, but is now increasingly recognized due to the improvement and availability of brain imaging (Fischer & Schmutzhard, 2017; Sudulagunta et al., 2017). PRES is characterized by a variety of neurological symptoms of acute or subacute onset (Fugate & Rabinstein, 2015). Neuroimaging, particularly MRI, is the most important diagnostic tool (Kastrup et al., 2012). In typical forms, imaging reveals vasogenic edema predominantly in the posterior circulation (Chaudhuri et al., 2023). The exact pathophysiology of PRES is incompletely understood, but endothelial dysfunction and autoregulation appear to be almost always present (Lamy et al., 2014; Parasher & Jhamb, 2020). There are many documented causes of PRES (Anderson et al., 2020). Treatment of PRES is generally aimed at controlling the underlying etiology (Granata et al., 2015). Reversibility is usually complete, although there is a risk of neurological sequelae and even death (Striano et al., 2005).

In view of the severe after-effects such as physical disability, loss of vision and cognitive disorders suffered by patients after their stay in a neurology department in our context, knowledge of all neurological pathologies and their differential diagnoses through imaging is a vital asset for reducing them and diagnosing hitherto quiescent pathologies such as PRES.

The aim of this study was to determine the epidemiological, clinical, radiological and evolutionary characteristics in Guinea.

2. Material and Methods

This was a retrospective descriptive study lasting two (2) years, from November 1, 2021 to October 31, 2023. The study was carried out at the Neurology Department of Conakry University Hospital. We targeted all patients hospitalized during the study period and included the records of patients with a diagnosis of PRES, based on the following criteria: an acute-onset neurological sign or symptom (motor deficit, headache, epileptic seizure, visual disturbance, disturbance of consciousness of sudden onset and lasting less than 4 days) explained by vasogenic edema on brain imaging. Incomplete patient records were excluded.

Quantitative variables were expressed as mean ± standard deviation and qualitative variables as percentages. Epidemiological data included age, sex and occupation. Clinical data included time to consultation, neurological symptoms, systolic (SAP) and diastolic (DBP) blood pressures on admission, and etiologies. Radiological data included topography and lesion type. The evolution was divided into complete regression, the presence of sequelae and death.

Our data were analyzed using Epi-Info 7.1 software. And the data from the excluded files has not been analyzed, nor used for any comparison. Our study protocol was approved by the Ethics Committee of Conakry University Hospital.

3. Résultats

Out of 1393 patient files studied, twenty-four (24) were diagnosed with PRES, of which seven (7) were excluded, representing a hospital frequency of 1.7%. Exclusion of incomplete files reduces the hospital frequency to 1.2%. The mean age was 39.3 ± 10.7 years, with extremes of 26 and 52 years. Females were predominant, with a sex ratio of 0.2. Professionally, 47% were housewives, 23.5% shopkeepers and 17.6% graduates. These socio-demographic characteristics are presented in (Table 1).

Table 1. Socio-demographic characteristics.

Socio-demographic characteristics

Effective (%)

Average age (extremities)

39. 3 ± 10.7 ans (26 - 52 ans)

Gender


Male

3 (17.6%)

Female

14 (82.3%)

Sex ratio

0.2

Profession


Housewife

8 (47.0%)

Shopkeeper

4 (23.5%)

Graduate

3 (17.6%)

Civil servant

1 (5.8%)

Worker

1 (5.8%)

The average consultation time was 24.3 ± 14.4 hours, with extremes of 7 hours and 44 hours. Clinical presentations were headache (88.2%), visual disturbance (64.7%), disturbed consciousness (35.3%), epileptic seizures (23.5%) and motor deficit (29.4%) (Table 2). Mean systolic blood pressure was 190 ± 5.7 mmHg (extremes 150 - 24 mmHg), mean diastolic blood pressure 110 ± 5.1 mmHg (extremes 80 - 160 mmHg). Neuroradiological lesions (Figure 1) were edematous (88.2%), hemorrhagic (23.5%) and ischemic (11.7%). The topography of cerebral lesions was occipital (100%), parietal (82.3%), frontal (58.8%), temporal (47%), cerebellar (29.4%) and basal ganglia (23.5%) (Table 3).

The etiology was mainly hypertension (52.9%), followed by eclampsia and infection (17.6% and 11.7% respectively) (Table 4).

We observed 58.8% complete reversibility of neurological symptoms, however 35.2% of patients retained sequelae, and we recorded 17.6% deaths.

Figure 1. Breakdown of cases by neuroradiological lesions.

Table 2. Breakdown of patient files by clinical presentation.

Clinical presentation

Effective (%)

Motor deficit

5 (29.4%)

Headache

15 (88.2%)

Epileptic seizure

4 (23.5%)

Visual disturbance

11 (64.7%)

Consciousness disorder

6 (35.3%)

Table 3. Breakdown of patient files by brain lesion topography.

Topography of brain lesions

Effective (%)

Parietal

14 (82.3%)

Temporal

8 (47%)

Frontal

10 (58.8%)

Cerebellar

5 (29.4%)

Central gray nuclei

4 (23.5%)

Occipital

17 (100%)

Table 4. Breakdown of patient files by etiology.

Etiologies

Effective (%)

HTA

9 (52.9%)

Eclampsia

3 (17.6%)

Infection

2 (11.7%)

HUS

1 (5.8%)

RA

1 (5.8%)

Toxic

1 (5.8%)

4. Discussion

More than twenty years after PRES was first described, its overall incidence remains unknown, as no randomized controlled trial has been conducted on the subject (Fischer & Schmutzhard, 2017; Fugate et al., 2010). At other times, due to a lack of knowledge about this pathology and the absence of a technical platform, it was not under-diagnosed. To the best of our knowledge, we report the first data from a tropical setting.

PRES affects all age groups, from children to the elderly, but is more frequent in adults, with a predominance of women, as observed in our study (Fugate et al., 2010; Yamamoto et al., 2015). Mostly, housewives, our results testify to the difficult socio-economic conditions of women in our context, as well as to the difficulties they face in finding work and the fact that they are dependent on their husbands for those who are married and on their sons for widows and others without any care.

The clinical presentation of PRES is polymorphous, with headache being the most frequent symptom, which may be associated with other neurological symptoms such as visual disturbances, consciousness disorders, seizures, nausea, vomiting or focal neurological deficit (Cozzolino et al., 2015; Fugate et al., 2010; Granata et al., 2015; Hinduja, 2020). The frequency of signs varies from one study to another, with headaches in 88.2% of cases, visual disturbances in 64.7% and disorders of consciousness in 35.2%.

Neuroimaging is essential for diagnosis, with MRI representing the gold standard (Anderson et al., 2020; Hugonnet et al., 2013).

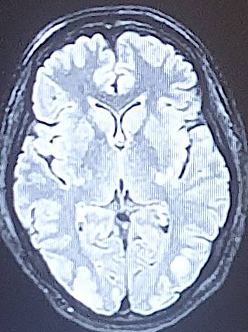
Imaging is characterized by bihemispheric white matter and gray matter abnormalities preferentially affecting posterior regions (Hugonnet et al., 2013). In atypical forms, lesions may be asymmetric or cortical (Bartynski, 2008a).

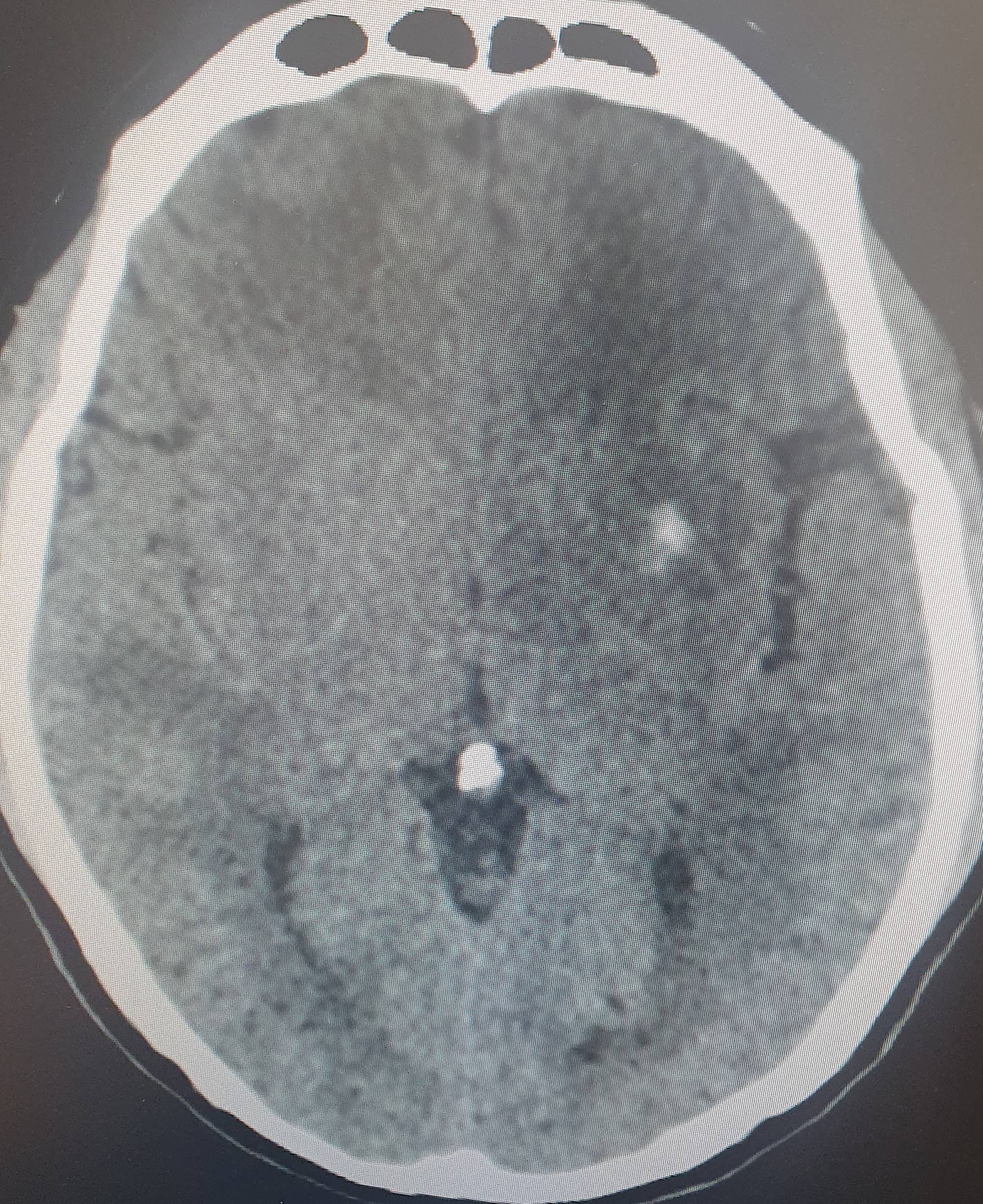
Our findings on lesion topography (Figure 2 and Figure 3) are similar to those in the literature, which report that the parieto-occipital, frontal and temporal regions are most involved. More rarely, lesions may extend to the basal ganglia (14%), brain stem (13%) and splenium of the corpus callosum (10%) (Leroux et al., 2008). A normal CT scan does not exclude the diagnosis of PRES (Poma et al., 2014). Intracerebral hemorrhage is observed in 5% - 30% of PRES cases (Aracki-Trenkić et al., 2016; McKinney et al., 2012).

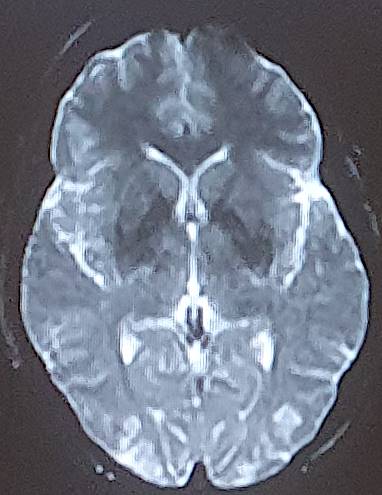
Figure 2. Bilateral occipital vasogenic edema.

Figure 3. Bilateral frontal-parietal-occipital edema with left lenticular hemorrhage.

Approximately 60% of PRES cases are secondary, with multiple etiologies, but hypertension, eclampsia and renal failure are the most frequent causes (Legriel et al., 2011; Striano et al., 2005; Tawati & Chan, 2023). In our study, hypertension was the leading cause of PRES, followed by eclampsia.

In general, mean arterial pressure (MAP) is higher in cases of infection, eclampsia and autoimmune disorders associated with PRES, while a lower MAP is found in chemotherapy and immunosuppression (Liman et al., 2012). Sustained MAP above 150 - 160 mm Hg results in a breakdown of autoregulatory mechanisms leading to hyper-perfusion and damage to cerebral vessels, resulting in vasogenic edema. Above 200 mm Hg MAP, the changes begin to become irreversible (Bartynski, 2008b). Mean SBP and mean DBP was well above the upper threshold of cerebral autoregulation, i.e. 190 ± 5.7 mmHg and 110 ± 5.1 mmHg respectively. The degree of hypertension was not associated with the extent of brain damage, and edema can also occur at lower blood pressure levels (Gao et al., 2012). Around 30% of patients with PRES have normal or slightly elevated blood pressure values below the upper limit of autoregulation (Feske, 2011).

The association between PRES and severe pre-eclampsia or eclampsia has been established, but the frequency is uncertain (Tawati & Chan, 2023). Renal failure is observed in around 55% of PRES cases (Fugate & Rabinstein, 2015). Nearly half of PRES patients have an associated autoimmune disease, but it is unclear whether the cause of this association is the autoimmune disease itself, or rather the high incidence of renal damage and the immunosuppressive drugs frequently used in these conditions (Magaña et al., 2009).

Infections can be an important cause of PRES, particularly in relation to infection with Gram-positive organisms (Bartynski et al., 2006). Neuroimaging of patients with COVID-19 has revealed up to 4% of RPRMS. Infections accounted for 11.7% of etiologies in our series.

Treatment is based on control of the underlying cause, with particular attention to blood pressure monitoring (Cozzolino et al., 2015). The therapeutic objective is to maintain a mean arterial pressure between 105 and 125 mmHg, without reducing this pressure by more than 25% during the first hour (Servillo et al., 2007). A gradual reduction in blood pressure is recommended to avoid secondary cerebral ischemia (Brickman et al., 2010). In pre-eclampsia or eclampsia, in addition to blood pressure management, treatment combines rapid delivery of the fetus and magnesium sulfate for seizure prophylaxis (Poma et al., 2014). In the case of PRES induced by chemotherapeutic or other immunosuppressive agents, gradual reduction or absolute discontinuation of the drug has shown clinical and radiological improvement (Masetti et al., 2015). There is no benefit to corticosteroid therapy in the treatment of vasogenic edema associated with PRES (Farooq & Testai, 2019).

With early and appropriate treatment, symptoms disappear on average after 7.5 days (Roth & Ferbert, 2010).

Poor prognostic factors include late diagnosis and treatment of PRES, severe encephalopathy, chronic hypertension, neoplastic etiology, late diagnosis of the causative factor, multiple comorbidities, elevated C-reactive protein (CRP) and coagulopathy (Siebert et al., 2017; Striano et al., 2005).

Almost half of our patients had a poor outcome, with 35.2% suffering sequelae and 17.6% dying. This could be explained by the long delay in consulting patients, with an average consultation time of 24.3 ± 14.4 hours. But also by the lack of medical care due to the lack of medicines or the late availability of medicines, all of which are due to the low socio-economic standard of living.

Some 40% - 70% of PRES require intensive care hospitalization due to serious complications such as status epilepticus, cerebral ischemia, intracerebral hemorrhage or intracranial hypertension (Hinchey et al., 1996; Hinduja, 2020).

Recurrence of PRES is not uncommon in patients with repeated episodes or relapses of hypertensive crisis, renal failure, autoimmune diseases and multi-visceral failure (Hinduja, 2020). Mortality in PRES can be as high as 20% (Goyal & Jeswani, 2022; Lee et al., 2008).

5. Conclusion

Reversible posterior encephalopathy (PRES) is a clinical-radiological syndrome that is increasingly diagnosed in tropical environments, thanks to the growing availability of neuroimaging. Our study reports the first data on this subject in Guinea. Despite the retrospective methodology and the small size of our sample, which may be constraints that will influence the scope of application of our results, we are able to draw the attention of medical staff to the existence of this diagnosis, to show the consequences of the vagaries of its medical management and the need for subsidized management by the institutions required in the tropics. In particular the important role of infections, the long delay in management and the considerable neurological sequelae during PRES in our context and the variability of its benign character. Future multicenter randomized analytical studies in tropical areas could be beneficial in determining its prevalence and understanding its clinical forms and etiologies and its lethality.

Conflicts of Interest

The authors declare no conflicts of interest regarding the publication of this paper.

References

[1] Anderson, R., Patel, V., Sheikh-Bahaei, N., Liu, C. S. J., Rajamohan, A. G., Shiroishi, M. S. et al. (2020). Posterior Reversible Encephalopathy Syndrome (PRES): Pathophysiology and Neuro-Imaging. Frontiers in Neurology, 11, Article No. 463. [Google Scholar] [CrossRef] [PubMed]
[2] Aracki-Trenkić, A., Stojanov, D., Trenkić, M., Radovanović, Z., Ignjatović, J., Ristić, S. et al. (2016). Atypical Presentation of Posterior Reversible Encephalopathy Syndrome: Clinical and Radiological Characteristics in Eclamptic Patients. Bosnian Journal of Basic Medical Sciences, 16, 180-186. [Google Scholar] [CrossRef] [PubMed]
[3] Barai, S., & Aher, A. (2022). To Study Clinicoradiological Profile and Outcome of Posterior Reversible Encephalopathy Syndrome (PRES). Journal of the Association of Physicians of India, 70, 11-12.
[4] Bartynski, W. S. (2008). Posterior Reversible Encephalopathy Syndrome, Part 1: Fundamental Imaging and Clinical Features. American Journal of Neuroradiology, 29, 1036-1042. [Google Scholar] [CrossRef] [PubMed]
[5] Bartynski, W. S. (2008). Posterior Reversible Encephalopathy Syndrome, Part 2: Controversies Surrounding Pathophysiology of Vasogenic Edema. American Journal of Neuroradiology, 29, 1043-1049. [Google Scholar] [CrossRef] [PubMed]
[6] Bartynski, W. S., Boardman, J. F., Zeigler, Z. R., Shadduck, R. K., & Lister, J. (2006). Posterior Reversible Encephalopathy Syndrome in Infection, Sepsis, and Shock. American Journal of Neuroradiology, 27, 2179-2190.
[7] Brickman, A. M., Reitz, C., Luchsinger, J. A., Manly, J. J., Schupf, N., Muraskin, J. et al. (2010). Long-Term Blood Pressure Fluctuation and Cerebrovascular Disease in an Elderly Cohort. Archives of Neurology, 67, 564-569. [Google Scholar] [CrossRef] [PubMed]
[8] Chaudhuri, J., Basu, S., Roy, M. K., & Chakravarty, A. (2023). Posterior Reversible Leucoencephalopathy Syndrome: Case Series, Comments, and Diagnostic Dilemma. Current Neurology and Neuroscience Reports, 23, 433-449. [Google Scholar] [CrossRef] [PubMed]
[9] Cozzolino, M., Bianchi, C., Mariani, G., Marchi, L., Fambrini, M., & Mecacci, F. (2015). Therapy and Differential Diagnosis of Posterior Reversible Encephalopathy Syndrome (PRES) during Pregnancy and Postpartum. Archives of Gynecology and Obstetrics, 292, 1217-1223. [Google Scholar] [CrossRef] [PubMed]
[10] Farooq, S., & Testai, F. D. (2019). Neurologic Complications of Sickle Cell Disease. Current Neurology and Neuroscience Reports, 19, Article No. 17. [Google Scholar] [CrossRef] [PubMed]
[11] Feske, S. (2011). Posterior Reversible Encephalopathy Syndrome: A Review. Seminars in Neurology, 31, 202-215. [Google Scholar] [CrossRef] [PubMed]
[12] Fischer, M., & Schmutzhard, E. (2017). Posterior Reversible Encephalopathy Syndrome. Journal of Neurology, 264, 1608-1616. [Google Scholar] [CrossRef] [PubMed]
[13] Fugate, J. E., & Rabinstein, A. A. (2015). Posterior Reversible Encephalopathy Syndrome: Clinical and Radiological Manifestations, Pathophysiology, and Outstanding Questions. The Lancet Neurology, 14, 914-925. [Google Scholar] [CrossRef] [PubMed]
[14] Fugate, J. E., Claassen, D. O., Cloft, H. J., Kallmes, D. F., Kozak, O. S., & Rabinstein, A. A. (2010). Posterior Reversible Encephalopathy Syndrome: Associated Clinical and Radiologic Findings. Mayo Clinic Proceedings, 85, 427-432. [Google Scholar] [CrossRef] [PubMed]
[15] Gao, B., Liu, F., & Zhao, B. (2012). Association of Degree and Type of Edema in Posterior Reversible Encephalopathy Syndrome with Serum Lactate Dehydrogenase Level: Initial Experience. European Journal of Radiology, 81, 2844-2847. [Google Scholar] [CrossRef] [PubMed]
[16] Goyal, G., & Jeswani, J. (2022). Study of Clinicoradiological Profile in Posterior Reversible Encephalopathy Syndrome: An Experience from North India. Indian Journal of Critical Care Medicine, 26, 503-507. [Google Scholar] [CrossRef] [PubMed]
[17] Granata, G., Greco, A., Iannella, G., Granata, M., Manno, A., Savastano, E. et al. (2015). Posterior Reversible Encephalopathy Syndrome—Insight into Pathogenesis, Clinical Variants and Treatment Approaches. Autoimmunity Reviews, 14, 830-836. [Google Scholar] [CrossRef] [PubMed]
[18] Hinchey, J., Chaves, C., Appignani, B., Breen, J., Pao, L., Wang, A. et al. (1996). A Reversible Posterior Leukoencephalopathy Syndrome. New England Journal of Medicine, 334, 494-500. [Google Scholar] [CrossRef] [PubMed]
[19] Hinduja, A. (2020). Posterior Reversible Encephalopathy Syndrome: Clinical Features and Outcome. Frontiers in Neurology, 11, Article No. 71. [Google Scholar] [CrossRef] [PubMed]
[20] Hugonnet, E., Da Ines, D., Boby, H., Claise, B., Petitcolin, V., Lannareix, V. et al. (2013). Syndrome d’encéphalopathie postérieure réversible (EPR): Aspects en imagerie TDM et IRM. Journal de Radiologie Diagnostique et Interventionnelle, 94, 44-51. [Google Scholar] [CrossRef
[21] Kastrup, O., Gerwig, M., Frings, M., & Diener, H. (2011). Posterior Reversible Encephalopathy Syndrome (PRES): Electroencephalographic Findings and Seizure Patterns. Journal of Neurology, 259, 1383-1389. [Google Scholar] [CrossRef] [PubMed]
[22] Lamy, C., Oppenheim, C., & Mas, J. (2014). Posterior Reversible Encephalopathy Syndrome. In Handbook of Clinical Neurology (Vol. 121, pp. 1687-1701). Elsevier.
[23] Lee, V. H., Wijdicks, E. F. M., Manno, E. M., & Rabinstein, A. A. (2008). Clinical Spectrum of Reversible Posterior Leukoencephalopathy Syndrome. Archives of Neurology, 65, 205-210. [Google Scholar] [CrossRef] [PubMed]
[24] Legriel, S., Pico, F., & Azoulay, E. (2011). Understanding Posterior Reversible Encephalopathy Syndrome. In J. L. Vincent (Ed.), Annual Update in Intensive Care and Emergency Medicine (pp. 631-653). Springer.
[25] Leroux, G., Sellam, J., Costedoat-Chalumeau, N., Le Thi Huong, D., Combes, A., Tieulié, N. et al. (2008). Posterior Reversible Encephalopathy Syndrome during Systemic Lupus Erythematosus: Four New Cases and Review of the Literature. Lupus, 17, 139-147. [Google Scholar] [CrossRef] [PubMed]
[26] Liman, T. G., Bohner, G., Heuschmann, P. U., Endres, M., & Siebert, E. (2011). The Clinical and Radiological Spectrum of Posterior Reversible Encephalopathy Syndrome: The Retrospective Berlin PRES Study. Journal of Neurology, 259, 155-164. [Google Scholar] [CrossRef] [PubMed]
[27] Magana, S. M., Matiello, M., Pittock, S. J., McKeon, A., Lennon, V. A., Rabinstein, A. A. et al. (2009). Posterior Reversible Encephalopathy Syndrome in Neuromyelitis Optica Spectrum Disorders. Neurology, 72, 712-717. [Google Scholar] [CrossRef] [PubMed]
[28] Masetti, R., Cordelli, D. M., Zama, D., Vendemini, F., Biagi, C., Franzoni, E. et al. (2015). PRES in Children Undergoing Hematopoietic Stem Cell or Solid Organ Transplantation. Pediatrics, 135, 890-901. [Google Scholar] [CrossRef] [PubMed]
[29] McKinney, A. M., Sarikaya, B., Gustafson, C., & Truwit, C. L. (2012). Detection of Microhemorrhage in Posterior Reversible Encephalopathy Syndrome Using Susceptibility-Weighted Imaging. American Journal of Neuroradiology, 33, 896-903. [Google Scholar] [CrossRef] [PubMed]
[30] Parasher, A., & Jhamb, R. (2020). Posterior Reversible Encephalopathy Syndrome (PRES): Presentation, Diagnosis and Treatment. Postgraduate Medical Journal, 96, 623-628. [Google Scholar] [CrossRef] [PubMed]
[31] Poma, S., Delmonte, M. P., Gigliuto, C., Imberti, R., Delmonte, M., Arossa, A. et al. (2014). Management of Posterior Reversible Syndrome in Preeclamptic Women. Case Reports in Obstetrics and Gynecology, 2014, Article ID: 928079. [Google Scholar] [CrossRef] [PubMed]
[32] Roth, C., & Ferbert, A. (2009). Posterior Reversible Encephalopathy Syndrome: Long-Term Follow-Up. Journal of Neurology, Neurosurgery & Psychiatry, 81, 773-777. [Google Scholar] [CrossRef] [PubMed]
[33] Servillo, G., Bifulco, F., De Robertis, E., Piazza, O., Striano, P., Tortora, F. et al. (2006). Posterior Reversible Encephalopathy Syndrome in Intensive Care Medicine. Intensive Care Medicine, 33, 230-236. [Google Scholar] [CrossRef] [PubMed]
[34] Siebert, E., Bohner, G., Liebig, T., Endres, M., & Liman, T. G. (2017). Factors Associated with Fatal Outcome in Posterior Reversible Encephalopathy Syndrome: A Retrospective Analysis of the Berlin PRES Study. Journal of Neurology, 264, 237-242. [Google Scholar] [CrossRef] [PubMed]
[35] Striano, P., Striano, S., Tortora, F., De Robertis, E., Palumbo, D., & Elefante, A. (2005). Clinical Spectrum and Critical Care Management of Posterior Reversible Encephalopathy Syndrome (PRES). Medical Science Monitor, 11, 549-553.
[36] Sudulagunta, S. R., Sodalagunta, M. B., Kumbhat, M., & Settikere Nataraju, A. (2017). Posterior Reversible Encephalopathy Syndrome (PRES). Oxford Medical Case Reports, 2017, omx011. [Google Scholar] [CrossRef] [PubMed]
[37] Tawati, D. A., & Chan, W. (2023). A Systematic Review of Posterior Reversible Encephalopathy Syndrome in Pregnant Women with Severe Preeclampsia and Eclampsia. Obstetric Medicine, 16, 236-241. [Google Scholar] [CrossRef] [PubMed]
[38] Yamamoto, H., Natsume, J., Kidokoro, H., Ishihara, N., Suzuki, M., Tsuji, T. et al. (2015). Clinical and Neuroimaging Findings in Children with Posterior Reversible Encephalopathy Syndrome. European Journal of Paediatric Neurology, 19, 672-678. [Google Scholar] [CrossRef] [PubMed]

Copyright © 2026 by authors and Scientific Research Publishing Inc.

Creative Commons License

This work and the related PDF file are licensed under a Creative Commons Attribution 4.0 International License.