Massive Epistaxis Revealing a Post-Traumatic Aneurysm of the Internal Carotid Artery: A Clinical Case and Review of the Literature

Abstract

Internal carotid artery (ICA) aneurysms are an unusual but serious cause of epistaxis. This epistaxis is massive and sometimes uncontrollable threatening the vital prognosis of patients. We report the case of a 16-year-old adolescent received in emergency with severe bilateral epistaxis, asthenia and grade-3 left exophthalmos. In his history, the subject had been the victim of an assault six months before consultation. He had received blows on the cephalic extremity with light but repeated epistaxis. The treatment consisted to blood products transfusion and local compression by sterile gazes. An ICA aneurysm in sphenoid sinus has been confirmed in a craniofacial CT scan coupled to vascular opacification. Although the ICA has a variable course in contact with the sphenoid sinus, massive epistaxis would be the consequence of a pronounced dehiscence of the ICA in the sphenoid sinus, particularly in a traumatic context. In front of this type of epistaxis in our context, general practitioners must be able to suspect a ruptured ICA aneurysm in the presence of exophthalmos and a notion of old or recent cranio-encephalic injury. Additionally, due to the high morbidity and mortality of this condition, a monitoring algorithm is necessary for patients with head trauma to facilitate early detection.

Share and Cite:

Mossus, Y. , Mbede, M. , Biouélé, R. , Atanga, L. , Nyeki, A. , Zogo, P. , Djomou, F. and Ndjolo, A. (2024) Massive Epistaxis Revealing a Post-Traumatic Aneurysm of the Internal Carotid Artery: A Clinical Case and Review of the Literature. International Journal of Otolaryngology and Head & Neck Surgery, 13, 120-125. doi: 10.4236/ijohns.2024.132011.

1. Introduction

Carotid-cavernous aneurysms are a very rare condition, with 2% - 9% of intracranial aneurysms and 15% of ICA aneurysms [1] . Traumatic aetiologies are found in 72 to 90% of cases compared to 30% for spontaneous forms [2] [3] [4] . These aetiologies lead to a major diagnostic challenge because the initial trauma may be minor or even forgotten by the patient if it occurred without incident. The triad of head trauma, epistaxis and blindness, described for the first time by Barth in 1924 [5] should lead to the search for an ICA aneurysm, especially of the cavernous type. Erosion of the wall of the sphenoid sinus and rupture of the aneurysm in the sinus lumen lead to fatal epistaxis [1] . CT scan or MRI coupled with a vascular opacification technique constitute complementary diagnosis [6] . Closure of the abnormal arteriovenous communication is done by occlusion of the cavernous sinus, preserving the patency of the internal carotid artery [4] [6] . The technique of choice is embolization by catheterization of the ipsilateral primary carotid artery in neuroradiology with more than 90% success [4] [6] [7] . We report the case of a 16-year-old adolescent received in emergency with severe bilateral epistaxis, asthenia and grade-3 left exophthalmos. In his history, the subject had been the victim of an assault six months before consultation. He had received blows on the cephalic extremity with light but repeated epistaxis. We discuss this condition with regard to its rarity, the vital emergency it constitutes and the means of prevention and management in our context of practice.

2. Observation

It was a 16-year-old student referred from a local hospital for better management of uncontrollable epistaxis in great abundance evolving suddenly for approximately two hours before the consultation. No Recent trauma, fever or rhinitis had been noted before the bleeding. He did not mentioned any convulsions, dizziness or vomiting contemporaneous with the epistaxis.

In the pass medical history, and six months before the current consultation, the patient was the victim of a physical assault with blows received on the cephalic extremity followed by severe epistaxis neglected by the family. Management was conservative without any exploration. Some minimal epistaxis marked the evolution and never conducted to a specialist consultation. The patient has never complaint of previous abnormal bleeding and there is no haemophilia in his family.

On clinical examination, the patient was conscious, pale and asthenic with stable hemodynamic parameters. The patient had blood-tinged endonasal strands and regularly coughed up blood into a makeshift container. Facial asymmetry was noted with pulsatile left exophthalmos. Ocular motility was preserved and decrease of ipsilateral visual acuity was noted. The patient was classified as level 3 of the Canadian Triage Acuity Scale.

Immediate treatment consisted to resuscitation measures with a venous filling line. A transfusion of two units of whole blood was done after an emergency full-blood count showing severe anaemia (5.5 g/dl). Local care consisted to the nasal strands removal. A nasal endoscopy after kind blowing revealed bleeding coming from the nasal orifice of the left sphenoid sinus. The vascular spots were healthy. Blocked antero-posterior wicking is done with gazes soaked by Xylocaine with naphazoline 5%® and HEC® ointment and the patient is placed in the Trendelenburg position.

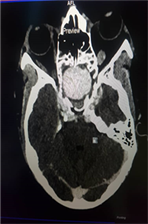
A cranio-cerebral CT scan with injection of contrast product found a rounded mass at the level of the sphenoid sinus, measuring 30 × 27 × 22 mm (9.26 cc) This mass was strongly enhanced after injection of contrast product, communicating with the left ICA at level of its cavernous part. There was a mass effect on the left superior orbital fissure with an increase in the size of the left ophthalmic artery. Furthermore, we noted grade II exophthalmos and left frontal cortico-subcortical hypodensity and discontinuity of the ethmoid cells and the lateral wall of the sphenoid sinus, probably residual. At finally, we have concluded to a left carotid-cavernous fistula on aneurysm, type A according to the angiographic classification of Barrow et al. (Figure 1).

In the follow-up, we noted headaches of various intensities, progressive left blindness noted on day 7 on ophthalmological examination, sepsis from ENT call point with fever (38.5˚C - 40˚C) and four episodes of bleeding, one of which was very heavy. In total, the patient received six units and was transferred on day 16 to the neurosurgery unit with high-level facilities for better management.

3. Discussion

Carotid-cavernous aneurysms are a very rare condition, 2% - 9% of intracranial aneurysms and 15% of ICA aneurysms [1] . Traumatic aetiologies are found in 72 to 90% of cases compared to 30% for spontaneous forms [2] [3] [4] . Reported traumatic aneurysms account for 14% - 39% of all paediatric aneurysms [8] . Cases of bilateral aneurysms after head trauma have been reported in the literature [7] [9] [10] . Traumatic forms lead to pseudoaneurysms, a hematoma surrounded by a thin fibrous layer and not by a true arterial wall [9] . These aetiologies

(a) (b) (c)

Figure 1. Craniocerebral CT scan of the patient (a): Axial section through the orbital apexes. Grade II exophthalmos (b) and (c): Sagittal sections. Contrast, bone lysis.

lead to a major diagnostic challenge because the initial trauma may be minor or even forgotten by the patient if it occurred without incident.

Typically, the aneurysm is asymptomatic or shows signs of rupture or compression. The triad of head trauma, epistaxis and blindness, described for the first time by Barth in 1924 [5] , should lead to the search for an ICA aneurysm, especially of the cavernous type. The cavernous type associates ophthalmoplegia (cranial nerves III, IV and VI), facial sensory loss, subarachnoid haemorrhage, epistaxis due to erosion in the sphenoid sinus, and carotid-cavernous fistula [1] [11] .

Epistaxis is rare in carotid-cavernous fistulas and occurs most often in traumatic forms [12] . Erosion of the wall of the sphenoid sinus and rupture of the aneurysm in the sinus lumen lead to fatal epistaxis [1] . Epistaxis sometimes occurs after the initial trauma, a few months to years, and depends on the location of the aneurysm. Nearly nine out of 10 patients with a traumatic ICA aneurysm will experience epistaxis within three weeks to six months after the initial trauma, although cases have been reported 10 to 30 years later [1] [13] .

CT scan or MRI coupled with a vascular opacification technique constitute complementary diagnosis [6] . These imaging modalities will make it possible to quantify exophthalmos (oculo-orbital index), to look for dilation of the superior ophthalmic vein and the cavernous sinus (indirect signs of fistula) and an associated fracture. The carotid-cavernous fistula can be isolated or associated with other locations (supra-clinoid, petrous or cervical) in 20% of cases. Ultimately, this imaging should lead to the angiographic classification of carotid-cavernous fistulas according to Barrow et al in 1985 [14] :

Type A: direct shunt between the ICA and the cavernous sinus; Type B: dural shunt between the meningeal branches of the ICA and the cavernous sinus; Type C: dural shunt between the meningeal branches of the ACE and the cavernous sinus; Type D: dural shunt between the meningeal branches originating from both the ACE and ICA and the cavernous sinus.

Closure of the abnormal arteriovenous communication is done by occlusion of the cavernous sinus, preserving the patency of the internal carotid artery [4] [6] . Different techniques are possible depending on the size of the breach. The technique of choice is embolization by catheterization of the ipsilateral primary carotid artery in neuroradiology with more than 90% success [4] [6] [7] . Embolization can be done over several sessions to achieve complete occlusion. The evolution of post-traumatic aneurysms of the ICA associated with epistaxis can be fatal with a mortality of 30% to 50% due to massive bleeding [7] . Repeat angiography is the gold standard for confirming obliteration of CCFs. However, magnetic resonance (MRI) angiography has also been used for this purpose [9] .

4. Conclusion

Post-traumatic ICA aneurysms are rare but serious causes of epistaxis. The challenge is diagnostic because the epistaxis is sometimes distant from the trauma. This should also be considered in the front of any massive epistaxis associating exophthalmos (pulsatile or not) with progressive loss of vision or ophthalmoplegia occurring as a result of head trauma. The positive diagnosis is made on imaging (CT scan, MRI) with vascular opacification. The care must involve neuroradiologists, neurosurgeons and ENT surgeons in structures with adequate technical facilities. The outcome can be fatal in order of 30% to 50% of cases.

Informed Consent

The patient consent was asked in the aim to share our experience on this uncommon condition. The patient’s family gave and signed the consent to use patient information after fully explanations.

Authors’ Contributions

Yannick Mossus, Maggy Mbede and Roger Christian Méva’a Biouélé have collected data and wrote the manuscript.

All authors have read and approved the final version of the manuscript.

Conflicts of Interest

The authors declare no competing interest.

References

[1] Menon, G., Hegde, A. and Nair, R. (2018) Post-Traumatic Cavernous Carotid Pseudoaneurysm with Delayed Epistaxis. Cureus, 10, 3-7.
[CrossRef] [PubMed]
[2] Desal, H., Leaute, F., Auffray-Calvier, E., Martin, S., Guillon, B., Robert, R. and De Kersaint-Gilly, A. (1997) Direct Carotid-Cavernous Fistula. Clinical, Radiologic and Therapeutic Studies. Apropos of 49 Cases. Journal of Neuroradiology, 24, 141-154.
[3] Ikhloufi, M.E., Boutimzine, N., Cheikh, E., El Hassani, M. and Cherkaoui, O. (2020) Fistule Carotido-Caverneuse Geante Post-Traumatiquegiant Traumatic Carotid-Cavernous Sinus Fistula. International Journal of Advanced Research, 8, 922-925.
[CrossRef
[4] Kohli, G.S. and Patel, B.C. (2022) Carotid Cavernous Fistula. Treasure Island (FL): StatPearls Publishing, San Diego.
[5] Barth, G. (1924) Tödliche Spätblutung aus der Carotis interna nach Schädeltrauma. Deutsche Medizinische Wochenschrift, 50, 875-876.
[CrossRef
[6] Zanini, M.A., Tahara, A., Dos Santos, G.S., De Freitas, C.C.M., Jory, M., Caldas, J.G.M.P., et al. (2008) Pseudoaneurysm of the Internal Carotid Artery Presenting with Massive (Recurrent) Epistaxes: A Life-Threatening Complication of Craniofacial Trauma. Arquivos de Neuro-Psiquiatria, 66, 268-271.
[CrossRef
[7] Liang, J., Xie, X., Sun, Y., Wei, X. and Li, A. (2021) Bilateral Carotid Cavernous Fistula after Trauma: A Case Report and Literature Review. Chinese Neurosurgical Journal, 7, Article No. 46.
[CrossRef] [PubMed]
[8] Ventureyra, E.C.G. and Higgins, M.J. (1994) Traumatic Intracranial Aneurysms in Childhood and Adolescence—Case Reports and Review of the Literature. Child's Nervous System, 10, 361-379.
[CrossRef
[9] Briggs, R.G., Bonney, P.A., Algan, O., Patel, A.D. and Sughrue, M.E. (2019) Bilateral Carotid-Cavernous Fistulas Treated with Partial Embolization and Radiosurgery. Cureus, 11, e5886.
[CrossRef] [PubMed]
[10] Belhachmi, A. (2017) Fistules carotido-caverneuses bilatérales spontanées: à propos d’un cas et revue de la littérature. The Pan African Medical Journal, 27, Article No. 91.
[CrossRef] [PubMed]
[11] Kupersmith, M.J., Hurst, R., Berenstein, A., Choi, I.S., Jafail, J. and Ransohoff, J. (1992) The Benign Course of Cavernous Carotid Artery Aneurysms. Journal of Neurosurgery, 77, 690-693.
[CrossRef] [PubMed]
[12] Wang, A.N., Winfield, J.A. and Güçer, G. (1986) Traumatic Internal Carotid Artery Aneurysm with Rupture into the Sphenoid Sinus. Surgical Neurology, 25, 77-81.
https://pubmed.ncbi.nlm.nih.gov/3941974/
[CrossRef] [PubMed]
[13] Nakamura, A., Tabuse, M. and Miyazaki, H. (2017) Late-Onset Massive Epistaxis Due to a Ruptured Traumatic Internal Carotid Artery Aneurysm: A Case Report. NMC Case Report Journal, 4, 33-36.
[CrossRef] [PubMed]
[14] Barrow, D.L., Spector, R.H., Braun, I.F., Landman, J.A., Tindall, S.C. and Tindall, G.T. (1985) Classification and Treatment of Spontaneous Carotid-Cavernous Sinus Fistulas. Journal of Neurosurgery, 62, 248-256.
[CrossRef] [PubMed]

Copyright © 2025 by authors and Scientific Research Publishing Inc.

Creative Commons License

This work and the related PDF file are licensed under a Creative Commons Attribution 4.0 International License.