Chronic Subdural Hematoma Associated with an Arachnoid Cyst in Elderly, an Intraoperative Finding after Re-Bleeding: Case Report

Abstract

Intracranial arachnoid cysts (AC) are believed to be congenital and chronic subdural hematomas tend to occur in elderly patients with a history of mild head injury. The association between these two entities sporadically occur in relatively young patients but rare in elderly patients. We report a 65-year-old man who presented with headache and dizziness of 2 months’ duration with a history of head injury. Brain computed tomography (CT) a CSDH in right side and a hygroma in left side. After first operation with burr holes in both sides, the patient underwent an early recurrence of acute subdural hematoma in the right side. The evacuation of this hematoma by a craniotomy allowed seeing an AC that we resected partially with complete recovery of the patient. The association CSDH/AC is rare and possible in elderly patients and there is no consensus on treatment.

Share and Cite:

Egu, K. , Doléagbénou, A. , Ahanogbé, M. , Moumouni, A. , Kpélao, E. and Békéti, K. (2024) Chronic Subdural Hematoma Associated with an Arachnoid Cyst in Elderly, an Intraoperative Finding after Re-Bleeding: Case Report. Open Journal of Modern Neurosurgery, 14, 57-63. doi: 10.4236/ojmn.2024.141006.

1. Introduction

Intracranial arachnoid cysts (AC) are generally considered to be congenital and tend to occur in children [1] [2] . They are benign, intracranial extra-parenchymal cavities with a prevalence of 0.7% to 1.7% of the population [3] [4] . Most AC are asymptomatic, but they could become clinically obvious if the cyst grows and causes a cerebral parenchyma mass effect [3] [5] .

Chronic subdural hematoma (CSDH) tends to occur in elderly patients with a history of mild head injury at a few months prior to the onset of symptoms [1] [6] [7] .

The association between AC and CSDH is well known and often occurs in children and young adults [2] [8] [9] [10] [11] [12] ; but little described in the literature in the elderly [1] [10] .

We report a case of a chronic subdural hematoma in elderly due to an arachnoid cyst.

2. Case Presentation

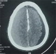
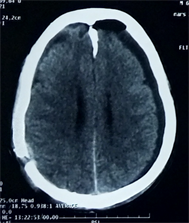
A 65-year-old man presented to the hospital with a 2-month history of recurrent headache requiring oral medication without noticeable improvement, and dizziness. There was an history of head injury from a traffic accident 3 months ago. His vitals parameters were within normal limits with no neurological deficits. The result of the Brain CT scan showed right frontal-parietal CSDH with mass effect associated to left frontal-parietal hygroma (Figure 1). After hospitalization and normal preoperative assessment, CSDH was evacuated through 2 burr holes and hygroma through 1 burr hole. Postoperatively the patient presented with agitation and headaches. CT scan is performed and showed an acute hematoma mimicking an extradural hematoma and frontal pneumocephalus (Figure 2). A

Figure 1. Brain CT scan found: Right frontal-parietal CSDH associated to left frontal-parietal hygroma.

Figure 2. Post operative CT scan: acute hematoma mimicking an extradural hematoma and frontal pneumocephalus.

right parietal craniotomy is carried and a tense dura was opened to reveal a large subdural hematoma (Figure 3) which was evacuated. After evacuation of the hematoma, we discover a tense cyst with a thick outer membrane and thin inner membrane; and its opening allows an outlet of CSF under pressure and slight brain defect (Figure 4). Histopathological examination of the membrane resulted in the diagnosis of AC because of the presence of meningothelial cells and an outer collagenous membrane coincident with normal arachnoid membrane. Postoperative period was uneventful and the patient recovered completely (Figure 5).

Figure 3. Intraoperative view: Subdural hematoma after opening the dura mater.

Figure 4. Intraoperative view: AC membrane (a), after opening the AC membrane (b).

Figure 5. Post operative CT scan found a total evacuation of acute hematoma.

3. Discussion

CSDH tends to occur in elderly patients with a history of mild head injury [1] [6] [7] .

AC generally arise from a developmental aberration involving duplication or splitting of the arachnoid membrane. They are generally considered to be congenital and tend to occur in children [1] [2] . They are benign, intracranial extra-parenchymal cavities with a prevalence of 0.7% to 1.7% of the population [3] [4] . They can present at any age with symptoms that are often mild, even with large lesions. Headache and craniomegaly due to cyst expansion and hydrocephalus can occur at any location, but seizures suggest a supratentorial cyst. AC presenting with symptoms typically occur in patients under the age of 20 years [9] .

The association between AC and CSDH is well known and often occurs in children and young adults; thus, AC are a risk factor for the occurrence of CSDH in children and young adults [2] [8] [9] [10] [11] [12] .

Several hypotheses exist to explain how the two distinct clinical entities sporadically occurred in the same patient. The presence of an AC must increase the compressibility of intracranial contents, and increase subdural space; thus, an AC predisposes the patient to development of CSDH if appropriate trauma occurs [13] . Alternatively, the different composition of arachnoid cyst fluid compared with normal cerebrospinal fluid suggests that pressure may be transferred more readily and in a magnified form. This may lead to the rupture of bridging veins or of vessels within the cyst wall if mild head trauma occurs [14] . Finally, it is possible that a hematoma may result from the traumatic rupture of unsupported bridging veins, because the cyst has lower compliance than normal brain tissue [15] [16] .

In the literature there are some cases reported with no recognizable history of trauma. However, if we consider the high level of physical activeness in young patients, minor traumas could be overlooked and popular sports activities such as soccer or basketball were reported as causes of CSDH associated with AC in young adolescents [17] [18] .

But this association (AC-CSDH) in the elderly is rare and little described in the literature. Xuanxuan Wu et al., in 2017, conducted a retrospective review of medical records (from January 2010 to May 31, 2017) of patients admitted to their department for CSDH, associated with a systematic review of the literature of patients developing CSDH associated with AC in 1980 and thereafter. A total of 182 patients were selected, including their 14 patients. Among these 182 patients, only 8 patients are elderly [8] . Aleksandar Kostic et al. in a multicenter study (conducted in two neurosurgery centers from January 2009 to the end of 2015) found three cases of AC among the one hundred and twenty-two patients older than 60 years of age who had been diagnosed with atraumatic CSDH [19] . Orlando De Jesus et al. reported the case of an 80-year-old patient who presented with an association of bilateral CSDH and suprasellar AC following the use of a Whole-Body Vibration Machine. He was immediately operated with bilateral burr holes at the frontal and parietal areas with total post operative recovery [20] .

Regarding the treatment, there is no consensus in the management of CSDH associated with an AC. Some authors have advocated burr hole drainage of the CSDH as sufficient [1] [7] [8] [9] whereas others have argued that fenestration or partial/subtotal removal of AC membrane through craniotomy is necessary [2] [11] [21] . Xuanxuan Wu et al. in their systematic review found that among the 169 patients with definite description of treatment strategies, eighty-five (50.3%) underwent initial burr hole drainage of CSDH, Sixty-six patients (39.0%) underwent craniotomy or craniectomy with/without AC resection or fenestration, and twelve (7.1%) underwent other surgeries. Six patients (3.6%) experienced spontaneous resolution of the CSDH. About the early recurrence, they found seven (8.2%) in the burr hole group, and one (1.5%) in the craniotomy/craniectomy group. Among their own patients, Xuanxuan et al. treated them using burr holes in seven patients (50%) and craniotomy with AC resection in the other seven patients (50%) [8] .

In our case, we used burr holes first and because of occurrence of an acute subdural hematoma, we performed a craniotomy with AC partial resection.

4. Conclusion

The association between CSDH and AC is well known and described in children and young adult because of the origin of AC. But this association is rare and possible in elderly patients; thus in front of a traumatic or spontaneous CSDH in elderly patient, it is necessary to think of a possible association with an AC specially if an early recurrence is observed.

Conflicts of Interest

The authors declare no conflicts of interest regarding the publication of this paper.

References

[1] Mori, K., Yamamoto, T., Horinaka, N. and Minoru Maeda, M. (2002) Arachnoid Cyst Is a Risk Factor for Chronic Subdural Hematoma in Juveniles: Twelve Cases of Chronic Subdural Hematoma Associated with Arachnoid Cyst. Journal of Neurotrauma, 19, 1017-1027.
[CrossRef] [PubMed]
[2] Benek, H.B. and Akcay, E. (2022) Concomitant Chronic Subdural Hematomas and Arachnoid Cysts in Young Adults. F1000Research, 10, Article 421.
[CrossRef] [PubMed]
[3] Al-Holou, W.N., Terman, S., Kilburg, C. and Garton, H.J.L. (2013) Prevalence and Natural history of Arachnoid Cysts in Adults. Journal of Neurosurgery, 118, 222-231.
[CrossRef
[4] Parsch, C.S., Krauss, J., Hofmann, E., et al. (1997) Arachnoid Cysts Associated with Subdural Hematomas and Hygromas: Analysis of 16 Cases, Long-Term Follow-Up, and Review of the Literature. Neurosurgery, 40, 483-490.
[CrossRef] [PubMed]
[5] Albanese, A., Tuttolomondo, A., Anile, C. and Saba, G. (2005) Spontaneous Chronic Subdural Hematomas in Young Adults with a Deficiency in Coagulation Factor XIII. Report of Three Cases. Journal of Neurosurgery, 102, 1130-1132.
[CrossRef] [PubMed]
[6] Tseng, J.H., Tseng, M.Y., Liu, A.J., Lin, W.H., Hu, H.Y. and Hsiao, S.H. (2014) Risk Factors for Chronic Subdural Hematoma after a Minor Head Injury in the Elderly: A Population-Based Study. BioMed Research International, 2014, Article ID: 218646.
[CrossRef] [PubMed]
[7] Domenicucci, M., Russo, N., Giugni, E. and Pier, A. (2009) Relationship between Supratentorial Arachnoid Cyst and Chronic Subdural Hematoma: Neuroradiological Evidence and Surgical Treatment. Journal of Neurosurgery, 110, 1250-1255.
[CrossRef] [PubMed]
[8] Wu, X., Li, G., Zhao, J., Zhu, X., Zhang, Y. and Hou, K. (2017) Arachnoid Cyst Associated Chronic Subdural Hematoma: Report of 14 Cases and a Systematic Literature Review. World Neurosurgery, 109, e118-e130.
[CrossRef] [PubMed]
[9] Chan, J.Y., Huang, C.T., Liu, Y.K., Lin, C.P. and Huang, J.S. (2008) Chronic Subdural Hematoma Associated with Arachnoid Cyst in Young Adults: Case Report. Kaohsiung Journal of Medical Sciences, 24, 41-44.
[CrossRef
[10] Bounamous, K. and Bouaziz, M. (2017) Kyste Arachnoidien compliqué d’un hématome sous dural chronique chez l’enfant: A propos d’un cas et revue de la littérature. African Journal of Neurological Sciences, 36.
[11] Shrestha, R. and You, C. (2014) Spontaneous Chronic Subdural Hematoma Associated with Arachnoid Cyst in Children and Young Adults. Asian Journal of Neurosurgery, 9, 168-172.
[CrossRef] [PubMed]
[12] Demetriades, A.K., McEvoy, A.W. and Kitchen, N.D. (2004) Subdural Haematoma Associated with an Arachnoid Cyst after Repetitive Minor Heading Injury in Ball Games. British Journal of Sports Medicine, 38, e8.
[CrossRef] [PubMed]
[13] Kushida, Y., Terao, H., Shibata, I., et al. (1983) Chronic Subdural Hematoma Associated with Arachnoid Cyst: Study of the Mechanism of Its Development. Nō shinkei geka, 11, 1211-1217.
[14] Paxton, R.M. and Mohan, D. (1987) A Reappraisal of the Relationship between Arachnoid Cysts of the Middle Fossa and Chronic Subdural Haematoma. Journal of Neurology Neurosurgery and Psychiatry, 50, 1001-1007.
[CrossRef] [PubMed]
[15] Galassi, E., Tognetti, F., Pozzati, E., et al. (1986) Extradural Hematoma Complicating Middle Fossa Arachnoid Cyst. Child’s Nervous System, 2, 306-308.
[CrossRef
[16] Kwak, Y.S., Hwang, S.K., Park, S.H. and Park, J.Y. (2013) Chronic Subdural Hematoma Associated with the Middle Fossa Arachnoid Cyst: Pathogenesis and Review of Its Management. Child’s Nervous System, 29, 77-82.
[CrossRef] [PubMed]
[17] Prabhu, V.C. and Bailes, J.E. (2002) Chronic Subdural Hematoma Complicating Arachnoid Cyst Secondary to Soccer-Related Head Injury: Case Report. Neurosurgery, 50, 195-197.
[CrossRef
[18] Tsuzuki, N., Katoh, H. and Ohtani, N. (2003) Chronic Subdural Hematoma Complicating Arachnoid Cyst Secondary to Soccer-Related Head Injury: Case Report. Neurosurgery, 53, 242-243.
[CrossRef
[19] Kostic, A., Kehayov, I., Stojanovic, N., Nikolov, V., Kitov, B., Milosevic, P., Kostic, E. and Zhelyazkov, H. (2018) Spontaneous Chronic Subdural Hematoma in Elderly People—Arterial Hypertension and Other Risk Factors. Journal of the Chinese Medical Association, 81, 781-786.
[CrossRef] [PubMed]
[20] De Jesus, O. and Fontane, J.L. (2022) Unusual Etiology for a Chronic Subdural Hematoma: Whole-Body Vibration Machine. Cureus, 14, e21359.
[21] Servadei, F., Vergoni, G., Frattarelli, M., Pasini, A., Arista, A. and Fagioli, L. (1993) Arachnoid Cyst of Middle Cranial Fossa and Ipsilateral Subdural Haematoma: Diagnostic and Therapeutic Implications in Three Cases. British Journal of Neurosurgery, 7, 249-253.
[CrossRef] [PubMed]

Copyright © 2025 by authors and Scientific Research Publishing Inc.

Creative Commons License

This work and the related PDF file are licensed under a Creative Commons Attribution 4.0 International License.