Prevalence and Spatial Distribution of Badnavirus in the Banana (Musa spp) Major Growing Areas in Burkina Faso

Abstract

Banana streak virus (BSV) and Sugarcane bacilliform virus (SCBV) are two badnaviruses commonly found in all banana growing areas of the world. It is a threat to the production and improvement of Musa germplasm. In Burkina Faso, the presence of badnaviruses was reported in banana producing regions. The objective of this study was to determine the prevalence of BSV and SCBV in banana production areas of Burkina Faso. A survey followed by a symptomatologic study was conducted in banana plantations in 27 localities of the nine main banana producing regions from July to October 2018 and September to December 2020. In all, 251 leaf samples were collected and analysed for BSV and SCBV infection by Indirect Antigen Coated Plate Assay-ELISA followed by amplification of the RT/RNase H region using Polymerase chain reaction with Badna FP/RP and SCBV F/R primers, respectively. A variety of symptoms were observed on almost all plant organs which were revealed due to BSV by symptomatologic study. The results of serological and molecular diagnosis revealed a high overall prevalence of BSV in 80.48% of the samples tested. BSV was distributed in seven survey regions out of nine with prevalence ranging from 10% to 100% in North, Centre, Centre West, Hauts Bassins, Cascades, Centre East and Boucle of Mouhoun regions. Very low prevalence was recorded for SCBV in Cascades and East Centre region with 4.35 and 12.5%, respectively. Species detection using specific primers to each species revealed three main species: Banana streak Obino l’ewaï virus (BSOLV), Goldfinger virus (BSGFV) and Imové virus (BSIMV) in the samples tested, respectively in the proportions of 23%, 8% and 0.8%. Co-infection between BSV species was also detected.

Share and Cite:

Ouattara, B. , Sérémé, D. , Koala, M. , Nitiéma, L.W. , Koïta, K. , Kaboré, E. and Wonni, I. (2023) Prevalence and Spatial Distribution of Badnavirus in the Banana (Musa spp) Major Growing Areas in Burkina Faso. American Journal of Plant Sciences, 14, 427-447. doi: 10.4236/ajps.2023.144028.

1. Introduction

Banana is one of the important fruit crops grown in the tropics, subtropics and worldwide. Cultivation and trade of banana are sources of jobs and income for rural communities and also play a central role in food security and in reducing rural poverty [1] [2] . In Burkina Faso, banana is produced in all agro-ecological areas and is of great socio-economic and nutritional importance.

Production of banana and plantain appears to be negatively influenced by biotic and abiotic factors. Like most crops, banana is under pressure from numerous pathogens (viruses, bacteria, fungi) and pest (mainly nematodes and weevils) [3] [4] , which cause losses ranging from 20% to 100%. Viruses are one of the major constraints to banana (Musa spp) production and limit the exchange of banana germplasm worldwide, in addition to their effects on yield and quality. Disease severity and losses depend upon several factors, including banana varieties, virus species and climatic conditions [5] [6] . Their overall economic impact can be catastrophic. Banana production suffers from Badnavirus such as Banana streak virus (BSV) and Sugarcane bacilliform virus (SCBV), severe diseases that can lead to a reduction in production and hinders international germplasm trade. Among these viruses, Banana streak virus (BSV) is currently considered as a major constraint to banana improvement, and causes a threat to Musa production world large. BSV epidemics have been reported in many countries such as Vietnam and Uganda [7] . Economic losses in infected banana may range between 6% - 100% [8] [9] .

Banana streak virus (BSV) was first reported in Ivory Coast in Côte d’Ivoire in 1966 [10] . BSV is a Pararetrovirus belonging to the genus Badnavirus of the family Caulimoviridea [11] . To date, more than 10 species of BSV have been recorded. The major species are Banana streak MY virus (BSMYV), Banana streak GF virus (BSGFV), Banana streak IM virus (BSIMV), Banana streak OL virus (BSOLV) and Banana streak CA virus (BSVCavV) [12] [13] . The virus’s species have the particularity to exist in two forms: episomal, which corresponds to the virion, responsible for the disease and endogenous (eBSV) integrated into the genome of the host plant [14] . BSV is a non-enveloped bacilliform virus. Its genome consists of a circular double-stranded DNA of 7.2 to 7.8 Kbp with three open reading frames (ORF) [15] .

BSV is only found on Musa banana and its different species. However, it is experimentally shown that BSV infects the genus Ensete [16] . The symptoms of the disease consist of yellow streaks on leaves, mosaics, chlorosis pitcher necrosis, cracking of the collar of the pseudo stem, abnormal bunch development and death of the cigar leaf and distortion of the fruit [17] . Disease-symptom expression is controlled, however, by many factors, such as host genotype, virus isolates, level of management, and temperatures. These factors have complicated the diagnosis of disease [18] [19] .

Sugarcane bacilliform virus (SCBV) is a pathogen of sugarcane (Saccharum officinarum, S. barberi, S. sinense, S. robustum and Saccharum L. Interspecific hybrids), which was reported for the first time in 1985 in Cuba [20] . A closer serological and phylogenetic relationship has been revealed between SCBV and BSV. The polyphylogenetic structure of SCBV and BSV phylogeny suggests that sugarcane and banana could be the original source of BSV [21] . SCBV can also mechanically infect rice (Oryza sativa), banana (Musa sp.), and sorghum (Sorghum vulgare L.) using partially purified extracts or by Agrobacterium mediated inoculation, but not by use of cutting implements or machinery [22] [23] . Infected plant exhibits symptoms similar to those of BSV in banana, rice and sorghum [24] . Recently, a natural infection of SCBV has been reported in China [25] .

SCBV viral particles are non-enveloped and bacilliform 30 nm × (130 - 150) nm and contain a circular dsDNA genome 7.5 - 8.0 kb in length [26] . Southern analysis indicated that SCBV sequences are not integrated into the sugarcane genome. The SCBV genome possesses typical Badnavirus genomic characteristics, with three open reading frames (ORFs). The conserved RT/RNase H domains and sequences have been frequently used for viral detection and taxonomy in Badnavirus [27] .

Musa spp are vegetatively propagated either by tissue culture or the production of suckers. Viruses are readily transmitted by vegetative propagation. In the case of BSV, the risk of transmission through vegetative propagation is increased due to the potential activation of endogenous sequences integrated into the genome of Musa balbisiana, one of the progenitors of synthetic and natural hybrids. The virus is also transmitted by several mealybug species in a semipersistent mode. Although found in most banana growing regions, BSV is the most frequently observed viral disease of banana in the Americas and most of Africa [28] . This is partly due to the transmission and spread mode of the virus. In many countries, including Burkina Faso, SCBV have been reported in banana growing close to sugarcane. Though, the transmission of SCBV by Saccharicoccus sacchari from sugarcane to banana was experimentally proven [29] . On bananas in Burkina Faso, we reported for the first time BSV [30] . Unfortunately, this virus is not well documented in banana producing areas in Burkina Faso. No further work was performed to investigate the prevalence and geographical distribution of BSV and SCBV in the country. Yet, investigating on the prevalence and geographical distribution of BSV are critical for assessing and managing the risk of spreading BSV through the distribution of vegetatively propagated planting material. Therefore, the objective of this study was to determine the prevalence and distribution of Badnavirus on banana in the main banana producing areas of Burkina Faso. The information gathered may be useful for developing strategies for the improvement of bananas resistance to BSV in Burkina Faso.

2. Material and Methods

2.1. Sampling and Collection Samples

A survey was conducted from July to October 2018 and September to December 2020 in banana and plantain production plantations in nine main producing regions of Burkina Faso (see Figure 1). The collection of samples was done following the random method based on the presence of viral symptoms. One to 25 samples were collected on each type of symptom depending on the size of the plantation, number of symptomatic plants observed in the plantation and diversity of symptoms. Samples were also collected from asymptomatic plants. During the survey, the collected samples were kept in a cooler until they were transported to the laboratory where they were divided into two parts: the first part was kept in a freezer at −20˚C and the second part was dried with granulated silica gel (Carlo Erba, France) and stored at 4˚C.

2.2. Serological Diagnosis

In order to determine the presence/absence of badnaviruses, the collected samples were subjected to the Indirect Antigen Coated Plate Assay (IACP-ELISA) as described by Voller and Bidwel in 1977. For this purpose, 0.2 g of each fresh sample was weighed and ground in coating buffer (1.59 g Na2CO3, 2.93 g NaHCO3, 0.2 g NaN3 per 1 L buffer at pH 9.6) at a dose of 1:10 (1 g per 10 ml of

Figure 1. Map of survey and sample collection locality.

coating buffer). Then, these samples were transferred to 2 ml tubes, centrifuged at 10,000 rpm at 10˚C for 10 min and stored at 4˚C for assay. The IACP-ELISA test consisted of incubating these leaf extracts in the plate at 37˚C for 2 hours. After three washes with PBS-T buffer (8 g NaCl, 0.2 g KH2PO4, 0.2 KCl, 1.148 g Na2HPO4, 0.2 g NaN3, 0.05% Tween-20 per 1 L of buffer at pH 7.4), the plates were blocked with 3% bovine serum albumin (BSA) diluted in PBS-T for 30 minutes at 37˚C. After serum containing the anti-BSV antibody (developed in-house at CIRAD, kindly provided by Serge GALZI) diluted (1:1000) with PBS-T containing 2% polyvinylpyrrolidone 40 (PVP 40) was loaded on the plates and incubated at 37˚C for 2 h followed by three washes with PBS-T. Goat anti-rabbit IgG-AP conjugate (Cat. A3687, Sigma-Aldrich, St. Louis, MO 63103 USA) at a dilution of 1:30,000 in PBS-T supplemented with 2% PVP 40 and 0.3% bovine serum albumin (BSA) was added and incubated at 37˚C for 2 h. Finally, the plates were washed three times with PBST and para-nitrophenyl phosphate (pNPP, Sigma Diagnosis) substrate (0.5 mg/ml pNPP dissolved in 9.7% diethanolamine buffer, pH 9.6) was added. OD405 values were measured by EPSON ELISA reader (Type 357, ref 51119000, China) after 30 min and 1 h of substrate addition. Tests were considered positive when the absorbance (A405) value of each sample was at least three times the detection limit.

2.3. Molecular Diagnosis

DNA extraction

Viral DNA was isolated using the modified CTAB extraction protocol of Permingeat et al. [31] . A quantity of 100 mg of fresh leaves was introduced into a 2 ml tube with 2 beads and placed under mechanical agitation for 1 min in the TissueLyser II mill (QIAGEN). The beads were subsequently removed and the shreds were treated in 1 ml of CTAB buffer (2% Cetyl Trimethyl Ammonium Bromide; 1.4 M NaCl; 0.2% β-mercapto-ethanol; 20 mM EDTA; 100 mM Tris-HCl pH 8 in water for a final volume of 100 ml) preheated in a water-bath at 60˚C to allow lysis of the cells while maintaining DNA integrity. An equal volume of CIA (Chloroform Isoamylic Alcohol) in the proportions 24:1 was added to the mixture. The mixture was gently shaken for 5 min and centrifuged at 12,000 rpm for 10 min at 4˚C to get rid of debris that will be suspended in the aqueous phase. Then, the supernatant was transferred to a new 1.5 ml Eppendorf tube and 0.8 volume of cold isopropanol was added and mixed gently to precipitate the nucleic acids. The mixture was incubated at −20˚C for 30 min, centrifuged for 10 min at 12000 rpm and the pellet was recovered. The DNAs were washed by adding 500 µl of 70% ethanol to the pellet, vortexed and left at room temperature for at least 20 min. Centrifugation at 12,000 rpm was performed and the DNA pellet was dried briefly to remove ethanol after carefully emptying the supernatant. Finally, the DNA was eluted into Eppendorf tubes by adding 40 µl of sterile water to be used in PCR assays.

RT/RNase H Amplification

Molecular detection of BSV and SCBV is based on amplification of nucleic acid sequences of the conserved domain reverse transcriptase/ribonuclease H (RT/RNase H) of the virus by PCR [32] [33] . The PCR reaction for BSV detection was performed using degenerate primers of BSV and SCBV, and for the major species using specific primers (Table 1). The PCR mix contained 1 µl of DNA, 0.2 µl of 10 × PCR reaction buffer (Affymetrix), 1.5 µl of MgCl2, 1 µl of dNTP, 1 µl of each primer, 0.2 µl of Taq polymerase (Affymetrix), and sterile water to complete the volume to 25 µl. Amplification was performed using the following program: initial denaturation (2 min, 94˚C) followed by 35 cycles of denaturation (30 sec, 94˚C), annealing (30 sec, T˚C) elongation (30 sec, 72˚C) and final elongation (5 min, 72˚C).

Agarose gel electrophoresis

The amplification products were separated on a 1% agarose gel prepared in Tris-Acetate-EDTA (TAE) buffer containing ethidium bromide (BET) at 0.5 μg/ml. A volume of 10 μl of each PCR product was deposited in the gel wells for migration at 100 V for 30 min. A molecular weight marker was deposited in parallel to assess band size. After migration under an electrical voltage of 100 V in 0.5x TAE buffer, the DNA fragments were visualized using an MS UVDI 129-0323 gel reader.

2.4. Calculation of the Prevalence

Prevalence was calculated using the formula described by Carboney-Mejía et al. [35] :

Prevalence ( % ) = Numberofpositivesamples Numberofsamplestested × 100

Table 1. Lists of primers used for PCR tests.

3. Results

3.1. Sampling Obtained Data

The survey and collection of banana leaf samples was carried out in 65 plantations in 27 localities of nine main production regions (Figure 1). A total of 251 samples, 209 symptomatic and 42 asymptomatic, were collected. A sample consisted of fragments of one symptomatic banana leaf or several symptomatic leaves from the same banana plant. In case different types of symptoms were observed in the plantation, the leaf fragments were collected taking into account each type thus constituting different samples.

3.2. Symptomatology

Typology of symptoms

The observed, collected symptoms from banana fields in nine regions were diverged (Figure 2). The most prevalent symptom manifestation ranged from continuous and discontinuous chlorotic streaks on leaves 76.9%, chlorosis on 25.9% and necrosis on 20% of samples (Table 2). Other streak variants, such as necrotic streaks and large chlorotic streaks and mosaic, were also observed on 4.8%, 2% and 2.4% of the sample, respectively. On the other organs, these symptoms sometimes included cigar leaf rot 0.4%, leaf curl 0.8%, stem distortion 0.4%, fruit 0.4% and pseudo stem 4.8% splitting. Various types of symptoms could be observed on the same plant. The symptoms were similar from one locality to another but in different proportions.

Symptom indexing of BSV

Figure 2. Symptoms observed in the surveyed banana plantations. (A) Healthy leaf; (B) discontinuous chlorotic streaks; (C) continuous chlorotic streaks; (D) large chlorotic streaks; (E) chlorosis; (F) mosaic; (G) cigar leaf rot; (H) necrotic streaks; (I) fruit splitting; (J) pseudo stem splitting; (K) stem distortion; (L) necrosis.

Table 2. Proportion of samples with symptoms observed during the survey.

(SCD-C) Discontinuous and continuous chlorotic streaks, (SCL) Large chlorotic streaks, (SN) Necrotic streaks (C) Chlorosis, (M) Mosaic, (EcF) Fruit splitting, (EnF) Leaf curl, (EPt) Pseudo stem splitting, (PFc) Cigar leaf rot, (DR) Stem distortion, (A) Asymptomatic.

The presence of BSV was found in samples showing all types of symptoms observed and collected during survey. A high proportion, 66.7% to 100% of samples showing continuous and discontinuous chlorotic streaks, necrosis, chlorosis, large chlorotic streaks, necrotic streaks, and mosaic respectively were positive for BSV (Figure 3). The only samples showing symptoms of pseudo stem and fruit splitting, cigar leaf rot and the three samples showing stem distortion were positive for BSV as were 25% of the asymptomatic samples.

3.3. Prevalence of Badnavirus in the Study Area

The serological and molecular tools used for the diagnosis allowed the presence of badnaviruses to be demonstrated in samples collected from banana plantations in Burkina Faso. The IACP-ELISA test carried out using rabbit serum containing polyclonal anti-BSV antibodies allowed the detection of badnaviruses in symptomatic and asymptomatic samples with optical densities between 0.8 and 2.1 A450. Thus, 82.77% of symptomatic and 14.28% of asymptomatic samples were positive for badnaviruses detection (Table 3).

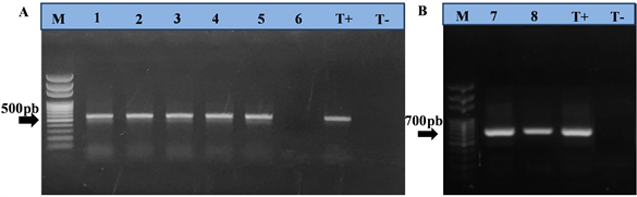
Figure 4 below shows in part the electrophoretic migration profiles of the diagnosed viruses. The Badna FP/RP and SCBV F/R primer pair used for BSV and SCBV detection generated DNA fragment about 579 bp (Figure 4(A)) and 726 pb (Figure 4(B)) of the RT/RNase H region, respectively. PCR using these primers produced amplicons of the expected size in the samples tested and positives control, whereas no amplification was observed in the negative control (healthy plant). It was characterised by fairly strong amplification bands with almost no spurious bands. This clearness of the amplification bands was obtained for almost all the samples tested.

Figure 3. Proportion of BSV positive samples for each symptom type. (SCD-C) Discontinuous and continuous chlorotic streaks, (SCL) Large chlorotic streaks, (SN) Necrotic streaks (C) Chlorosis, (M) Mosaic, (EcF) Fruit splitting, (EnF) Leaf curl, (EPt) Pseudo stem splitting, (PFc) Cigar leaf rot, (DR) Stem distortion, (A) Asymptomatic.

Figure 4. Agarose gel electrophoresis (1%) of RT/RNase H region amplification products detection. M: 100 bp molecular weight marker (Solis Biodyne, Cat. No. 07-11-00050); (A) Lane 1 - 5, BSV positive samples; T+: positive control, T−: negative control; (B) Lane 7 - 8, SCBV positive samples, T+: positive control, T−: negative control.

Table 3. Result of Badnavirus diagnosis in samples collected in Burkina Faso.

Molecular diagnosis proved to be more efficient as it revealed, in addition to the serologically positive samples, other cases of BSV infection in the samples collected. A strong presence of BSV was reported in the surveyed localities (Table 3). Out of 27 surveyed localities the presence of BSV was reported in 18 localities of the seven regions with an overall infection rate of 80.48%. Almost all symptomatic samples, i.e. 91.87%, were positive for BSV. Symptomless infections were also detected with 23.8% of the asymptomatic samples being positive. Localities in the Boucle of Mouhoun, Hauts Bassins, Cascades, Centre East and Centre West regions recorded the highest infection rates ranging from 50% to 100%; low in Banakeledaga with 17%, but no cases of infection (0%) were detected in Leo and Banarodougou. South Centre, South West, Centre and North localities was recorded low infection rates (0% to 25%).

SCBV was found in low prevalence 12.5% and 4.35% in Cascades and Central East regions, respectively; with overall infection rate of 0.8% (Table 3).

3.4. Prevalence of the Main BSV Species

The use of specifics primers to the main BSV species resulted in amplification bands of the expected size (Figure 5). Three main species Banana streak Obino l’ewaï virus (BSOLV), Imové virus (BSIMV) and Goldfinger virus (BSGFV) were identified in the samples tested. PCR test indicated that BSOLV was the most frequent with 23% of the positive samples followed by the BSGFV with 8% and then lower by BSIMV in 0.8% of the samples (Table 4). The simultaneous presence of these three species was demonstrated in Hauts Bassins and Boucle of

Table 4. Prevalence of the main BSV species in samples from plantations in Burkina Faso.

Figure 5. Agarose gel electrophoresis (1%) of RT/RNase H region amplification products for the detection of major BSV species. M: Molecular weight marker 50 - 1000 bp (Canvax, Cat. No. L0009), T−: negative control; (A) 1 - 4: samples positives for BSOLV species; (B) 6 - 7: samples positives for BSGFV species; (C) 10: samples positives for BSIMV species.

Mouhoun regions. Cases of species mixed infection have also been identified. Cases of mixed infection of BSOLV and BSGFV were most frequent in 4.4% of samples and with one case of mixed infection of BSOLV and BSIMV, i.e., 0.4% were reported in the survey areas of Burkina Faso.

4. Discussion

This document reports the first study on the prevalence and distribution of Badnavirus in Burkina Faso. The study conducted a survey in banana dessert and plantain areas and provided new information on viral infections associated with banana cultivation, particularly Banana streak virus (BSV) and Sugarcane bacilliform virus (SCBV) in nine (09) producing regions out of 13 of Burkina Faso. In total, 251 samples in 65 banana plantations were collected during survey. It revealed the presence of symptoms characteristic of virus diseases in the country’s banana plantations with 209 symptomatic samples collected. Forty-two (42) asymptomatic samples were also collected to verify the existence of infection without apparent BSV and SCBV symptoms. However, no symptoms were observed on the plantain plantation surveyed.

A variety of symptoms were observed on almost all plant organs in the plantations visited during our study. The presence of BSV was found in samples showing all types of symptoms observed during the survey in proportions varying from 66.7% to 100%. These symptoms correspond to the usual symptoms of BSV reported by several authors [29] [36] . According to these authors, BSV is known to cause a diversity of symptoms corresponding to those observed during our survey and sample collection. Foliar symptoms range from simple yellow streaks on the leaf limb to a chlorotic mosaic evolving to necrosis. In addition to leaf symptoms, affected plants may show cigar leaf rot, central meristem necrosis, pseudo stem splitting, fruit distortion or splitting. In severe cases, the fruit does not fill and shows a ripening defect [37] . The divergence in disease symptom expression observed in different localities could be the result of environmental conditions on virus expression reported by several authors [8] [18] . Dahal et al. [18] showed the effect of cool temperature (e.g. 22˚C) on the stimulation of virus expression. According to Dahal et al. [8] BSV symptoms are more pronounced in the rainy season than in the warm season. However, in our case, no correlation was found between the type of symptoms and the banana cultivar or locality of the country which indicates that in addition to the temperature effect the presence of factor may offer a plausible explanation to symptom diversity. Indeed, in an earlier study Lockhart [38] observed that streaks were more pronounced during periods of high temperature, thus highlighting the intervention of other factors on symptom expression. For Wambulwa et al. [39] , BSV symptoms can vary according to genotype. The high nucleotide diversity, sometimes reaching 40% [40] , mentioned by several authors [29] [36] [41] could explain this result. The observation of symptoms of pronounced chlorotic streaks on banana in the collected samples could be due in part to the mixed infection between two BSV species or with another virus. According to Lockhart [42] and Caruana [43] , BanMMV could amplify the severity of symptoms caused by BSV when it is in co-infection. As a result, the detection of BSV by symptoms alone is unreliable as symptomless infections can occur and any of several viruses may be involved [18] . The symptoms described above, though diverged, were however typical of those mentioned by Daniells et al. [44] Harper et al. [36] Furuya et al. [45] . It is, therefore, necessary to complete the symptomatologic diagnosis with serological and/or molecular tests.

In contrast, 8.2% of the symptomatic samples, including chlorotic, necrotic streaks and mosaic collected, were negatively indexed to BSV and SCBV. This might be due to less virus titer in the collected samples. The symptoms could also be due to other unidentified viruses such as Cucumber mosaic virus (CMV) [46] not targeted in this study or abiotic stress whose symptoms can be mistaken for those caused by BSV.

The results of the survey carried out in nine main banana producing regions of Burkina Faso revealed a high presence of Banana streak virus (BSV) in 80.48% of samples. The presence of BSV was detected in the samples tested from 18 out of 27 localities surveyed in the seven regions as a result of the serological and molecular tests used during our study. This rate is higher than those of Kouadio et al. [46] with 78% and Javer-Higginson et al. [47] with 64% recorded in Côte d’Ivoire and Cuba, respectively. The high prevalence of BSV in the surveyed banana production fields could be explained by favourable agro-climatic conditions, the mode of transmission of the virus and the propagating material. Indeed, the spread of the disease is partly ensured by the use of infected planting material (in vitro plants, suckers), given that banana is mainly propagated vegetatively. Agricultural practices among use of planting material of diverse origin that may already be contaminated. Banana streak virus is one of the most damaging viruses on banana (Musa sp.) and it is expanding in Africa including as Côte d’Ivoire [46] , Ghana, Nigeria [48] , Benin [49] and Togo [50] . Yet, farmers often use planting material from these countries to establish plantation. In addition, transmission is ensured by several insect vectors, including aphids, thrips, whitefly, leafhoppers, nematodes, fungi and mainly mealybugs [51] . The rather short mobility of mealybugs is very often increased by the help of ants which then take over [52] . Surveyed agroclimatic zones soudanian and soudano sahelian, are favourable to the buildup of insect vector populations and virus symptom expressed. In addition, BSV sequences integrated into the genome of the Musa genus are able to, under stress, of being expressed and of inducing virus particles and consequently the development of the disease. The use of banana plants with eBSVs poses the problem of their potential uncontrolled expression [14] [53] .

A low presence of Sugarcane bacilliform virus was found in 0.8% of the samples from Cascades and Centre Est, on plants showing streak symptoms. SCBV causes the same symptoms as BSV [54] [55] . Cascades is the main sugarcane producing region of the country. The presence of SCBV on banana in this region could be due to infection from sugarcane plantations. Similar case of natural infection of banana by SCBV was recently reported in China by Rao et al. [25] . Several authors [54] [55] suggest that these two viruses have the same ancestor. According to Gayral P and Iskra-Caruana [56] , banana could have been the ancestral host plant of SCBV as well as for other badnaviruses like KTSV and TMCV. The distinction between BSV and SCBV is due to the infection of banana by SCBV or vice versa [57] . As for the SCBV isolate present in the Centre East, it could be the result of exchanges of plant material between producers in different regions.

Indexing with BSV species-specific primers confirmed the presence in Burkina Faso of the three main species were identified Banana streak Obino l’ewaï virus (BSOLV), Goldfinger virus (BSGFV) and Imove virus (BSIMV) in 23%, 8% and 0.8% of the sample, respectively. These species are among the main BSV species with a global distribution [7] [12] . These species have already been detected on banana in countries bordering or near to Burkina Faso such as Ghana, Nigeria [48] , Côte d’Ivoire [46] , Benin [49] [58] and Togo [50] . In Côte d’Ivoire, [46] in 2016 was detect BSOLV in 78% of sample tested. Low levels of prevalence of BSOLV, BSGFV and BSIMV did not exceed 3.1% was report by Javer-Higginson et al. [47] and Perefarres et al. [59] in Cuba and Guadeloupe, respectively. Authors explain these results by the dessert banana certified planting (vitroplants) scheme and low levels of transmission by mealybugs. BSOLV is predominant species in the different survey areas of Burkina Faso. Formerly known as BSV Onne, BSOLV is consider to a major BSV species originating from Nigeria (Tamil Nadu) and is large spread in West, Central and Southern Africa [48] [58] [60] . In contrast, BSGFV is most present in Bas-Congo with a prevalence of 14% and BSOLV with 5.7%.

Cases of mixed infections were found between BSV species during this study. The majority of mixed infections were between BSOLV and BSGFV species in 4.4% of samples and between BSOLV and BSIMV species in 0.4% of samples. Similar cases of mixed infection between BSV species have been reported by several authors [37] [59] [61] . Fidan and Koç [60] highlighted the presence of mixed infection between three species BSOLV, BSGFV and BSIMV in Guadeloupe. Mukwa [37] report mixed infection of BSOLV and BSGFV in Bas-Congo province of RDC. In Cuba mixed infection between BSMYV-BSIMV and between BSIMV-BSGFV [47] has been reported, but the BSGFV-BSOLV combination was not observed there.

No correlation could be found between the distribution of the species and the localities surveyed. We also note the presence of all three species in Hauts Bassins and Boucle of Mouhoun regions. All these facts can be explained by the uncontrolled exchange of planting material between the different localities. Kabore [62] , in his study on the molecular diversity of the virus, explained the presence of Rice stripe necrosis virus (RSNV) isolate from Colombia in the same group as those from Burkina Faso by the uncontrolled exchange of plant material. Although present in countries close to Burkina Faso, the species BSMysV and BSCavV were not detected in this study. The absence of these species could be due to their absence in the surveyed areas or to insufficient sample collection.

Our results show that 14.28% and 23.8% of samples taken from symptomless plants were positive in the serological and molecular detection test, respectively. These results highlight the presence of asymptomatic BSV infections. Indeed, the appearance of symptoms is mostly dependent on environmental factors such as temperature conditions and water content [18] , so that banana plants can be infected without symptoms appearing. Other factors such as the genotype of the BSV strain and the genotype of the host can influence the appearance of BSV symptoms [18] [29] [38] [63] . According to Dahal et al. [18] , asymptomatic infections are common on some cultivars (cv. Mimi Abue, AAB plantain; cvs. Bluggoe, Cardaba, ABB cooking banana) at temperatures between 28˚C and 35˚C. The low rate of ELISA-positive asymptomatic samples compared to PCR suggests a low virus titter in the samples. This could be the cause of the non-appearance of symptoms on these plants. These data confirm the importance of asymptomatic infections and remind us of the insufficiency of the symptom-based study and serological test for the diagnosis of BSV. It is therefore necessary to complement the data from the symptomatologic study with serological and/or molecular detection tests. Similar situation was reported in Cuba and Guadeloupe during nationwide BSV prevalence surveys [59] [64] . In addition to BSV, asymptomatic infections have already been reported in Banana bunchy top virus [65] , Cucumber mosaic virus [46] , Banana mild mosaic virus [66] and Rice yellow mottle virus [67] . The fact that most BSV infected plants are asymptomatic underlines the outermost importance of accurate serological and molecular diagnostic methods to prevent the spread of BSVs.

The diagnostic technique Polymerase chain reaction (PCR) used in this study is a specific and sensitive method that can be used for the detection of most viruses including BSV and SCBV [25] [60] [68] [69] [70] . But this method does not allow us to distinguish between the episomal form of BSV that is responsible for the appearance of symptoms and the endogenous (eBSV) viral sequences present within the B genome that also reacts integrated into the plant genome [71] . However, the importance of these endogenous sequences is no longer in question, as they are able to inducing infectious genomes under specific stress conditions (in vitro culture, water or heat stress) [53] [72] . According to some authors [37] [73] , eBSVs have been responsible for the occurrence of BSV epidemics. However, there are several factors that support the presence of episomal particles that would have been amplified using PCR in our study. The samples were collected on the basis of symptoms characteristic of virus diseases and serological test (ELISA) that detect episomal particules of virus. However, it would be interesting to develop Rolling circle amplification (RCA) or Immunocaptur-PCR (IC-PCR) to target and amplify only episomal BSV particles.

In order to tackle the issue of BSV detection in Burkina Faso, we used a degenerate primer for Badnavius Badna FP/RP that used by several authors [32] [74] . The use of this approach to detect BSV in our study is justified by the fact that degenerate primers allow characterisation of BSV species [75] . A majority of the samples tested were not positive for the main BSV species. Investigations should be carried out on these samples to identify other BSV species already studied or new species of the virus typical of Burkina Faso.

Our work revealed a diversity of symptoms in the banana producing areas surveyed. It was investigated that infection of banana plants caused in majority by Banana streak virus occurred. In general, the BSV prevalence was high in most localities’ occasional cases of symptomless infection. Three major BSV species were detected in single or mixed infection. A low prevalence of SCBV was detected in survey regions. The present study supplied important information for the management control to be set up for banana disease in the areas. Phytosanitary and legislative measures should be undertaken to eradicate these viruses in the area where they are present and to prevent their spread to areas where they are absent. As a long-term solution to the virus problem, there is a need to renew the banana germplasm with healthy plants of BSV and SCBV resistant/tolerant varieties. Serological and molecular diagnostics revealed the presence of SCBV in two samples from Cascades and Central East regions. Although SCBV has already been identified in banana in China [25] , it has a strong serological relationship and nucleotide identity with BSV. Therefore, it would be interesting to sequence both isolates with specific primers and then clone them to obtain the complete genome to ensure the identity of the virus.

Acknowledgements

We gratefully acknowledge S. GALZI for providing BSV antiserum used in this study. We thank G. Konaté for constructive criticisms of the manuscript.

This work was supported by the National Fund for Research and Innovation for Development (FONRID) and partially by the International joint laboratory Patho-Bios.

Conflicts of Interest

The authors declare no conflicts of interest regarding the publication of this paper.

References

[1] Vuylsteke, D., Hartman J. and Tenkouao A. (1999) Point de vue de l’améliorateurs sur l’utilité des biotechnologies pour l’amélioration des Musa. Infomusa, 8, 9.
[2] Lassoudière, A. (2007) Le Bananier et sa culture. Edition Quae, Versailles, 383 p.
[3] Ploetz, R. (1997) Banana Diseases in the Subtropics: A Review of Their Importance, Distribution and Management. ISHS Acta Horticulturae 490: II International Symposium on Banana: I International Symposium on Banana in the Subtropics, Vol. 1, 263-276.
http://www.actahort.org/books/490/490_26.htm
https://doi.org/10.17660/ActaHortic.1998.490.26
[4] Jones, D.R. (2000) Diseases of Banana, Abaca and Enset. CABI Publishing, Wallingford, 544 p.
[5] Muturi, S.M., Wachira, F.N., Karanja, L.S., Wambulwa, M.C. and Macharia, E. (2013) Paracoccus burnerae (Homoptera; Planococcidae) as a Vector of Banana Streak Virus. Journal of Experimental Biology Agricultural Science, 1, 406-414.
[6] Muturi, S.M., Wachira, F.N., Karanja, L.S. and Njeru, L.K. (2016) The Mode of Transmission of Banana Streak Virus by Paracoccus burnerae (Homiptera; Planococcidae) Vector Is Non-Circulative. British Microbiology Research Journal, 12, 1-10.
https://doi.org/10.9734/BMRJ/2016/21574
[7] James, A.P., Geijskes, R.J., Dale, J.L. and Harding, R.M. (2011) Molecular Characterisation of Six Badnavirus Species Associated with Leaf Streak Disease of Banana in East Africa. Annals of Applied Biology, 158, 346-353.
https://doi.org/10.1111/j.1744-7348.2011.00466.x
[8] Dahal, G., Ortiz, R., Tenkouano, A., Hughes, J.A., Thottappilly, G., Vuylsteke, D. and Lockhart, B.E.L. (2000) Relationship between Natural Occurrence of Banana Streak Badnavirus and Symptom Expression, Relative Concentration of Viral Antigen, and Yield Characteristics of Some Micropropagated Musa sp. Plant Pathology, 49, 68-79.
https://doi.org/10.1046/j.1365-3059.2000.00420.x
[9] Makokha, M. (2007) Report on Banana Survey on Banana Virus Indexing in East Africa. KARI, Nairobi.
[10] Yot-Dauthy, D. and Bové, J.-M. (1966) Mosaïque du bananier. Identification et purification de diverses souches du virus. Fruits, 21, 449-466.
[11] Selvarajan, R., Sheeba, M.M. and Balasubramanium, V. (2011) Simultaneous Detection of Episomal Banana Streak Mysore Virus and Banana Bunchy Top Virus Using Multiplex RT-PCR. Current Science, 100, 31-34.
[12] Geering, A.D.W., Parry, N.J. and Thomas, E.J. (2011) Complete Genome Sequence of a Novel Badnavirus, Banana Streak Imove Virus. Archives of Virology, 156, 733-737.
https://doi.org/10.1007/s00705-011-0946-7
[13] James, A.P., Geijskes, R.J., Dale, J.L. and Harding, R.M. (2011a) Development of a Novel Rolling Circle Amplification Technique to Detect Banana Streak Virus That Also Discriminates between Integrated and Episomal Virus Sequences. Plant Disease, 95, 57-62.
https://doi.org/10.1094/PDIS-07-10-0519
[14] Chabannes, M., Gabriel, M., Aksa, A., Galzi, S., Dufayard, Iskra-Caruana, M.-L. and Muller, E. (2020) Badnaviruses and Banana Genomes: A Long Association Sheds Light on Musa Phylogeny and Origin. Molecular Plant Pathology, 22, 216-230.
https://doi.org/10.1111/mpp.13019
[15] Lockhart, B.E.L. (1990) Evidence for a Double-Stranded Circular DNA Genome in a Second Group of Plant Viruses. Phytopathology, 80, 127-131.
https://doi.org/10.1094/Phyto-80-127
[16] Dieckmann, D.R. and Putter, C.A.J. (1996) Musa. FAO/IPGRI Technical Guidelines for the Safe Movement of Germplasm. 2ème Edition, n° 15, FAO, Rome, 28 p.
[17] Carnelossi, P.R., Bijora, T., Facco, C.U., Silva, J.M., Picoli, M.H.S., Souto, E.R. and De Oliveira, F.T. (2014) Episomal Detection of Banana Streak OL Virus in Single and Mixed Infection with Cucumber Mosaic Virus in Banana “Nanicão Jangada”. Tropical Plant Pathology, 39, 342-346.
https://doi.org/10.1590/S1982-56762014000400010
[18] Dahal. G., D’Hughes, J.A., Thottappilly, G. and Lockhart, B.E.L. (1998) Effect of Temperature on Symptom Expression and Reliability of Banana Streak Badnavirus Detection in Naturally Infected Plantain and Banana (Musa spp.). Plant Disease, 82, 16-21.
https://doi.org/10.1094/PDIS.1998.82.1.16
[19] Iskra-Caruana, M.-L., Baurens, F.-C., Gayral, P. and Chabannes, M. (2010) A Four-Partner Plant-Virus Interaction: Enemies Can Also Come from within. Molecular Plant-Microbe Interaction, 23, 1394-1402.
https://doi.org/10.1094/MPMI-05-10-0107
[20] Rodriguez, L.E., Rodriguez, D., Fernandez, E., Acevado, R. and Lopez, D. (1985) Report of a New Sugarcane Virus. Ciencias de la Agricultura, 23, 130.
[21] Muller, E., Dupuy, V., Blondin, L., Bauffe, F., Daugrois, J., Nathalie, L. and Iskra-Caruana, M. (2011) High Molecular Variability of Sugarcane Bacilliform Viruses in Guadeloupe Implying the Existence of at Least Three New Species. Virus Research, 160, 414-419.
https://doi.org/10.1016/j.virusres.2011.06.016
[22] Viswanathan. R., Alexander, K.C. and Garg, I.D. (1996) Detection of Sugarcane Bacilliform Virus in Sugarcane Germplasm. Acta Virology, 40, 5-8.
[23] Lockhart, B.E.L., Irey, M.J. and Comstock, J.C. (1996) Sugarcane Bacilliform Virus, Sugarcane Mild Mosaic Virus, and Sugarcane Yellow Leaf Syndrome. In: Croft, B.J., Piggin, C.T., Wallis, E.S. and Hogarth, D.M., Eds., Sugarcane Germplasm Conservation and Exchange, Australian Centre for International Agricultural Research (ACIAR), Brisbane, 108-112.
[24] Sharma, S.K., Vignesh, K.P., Geetanjali, A.S., Pun, K.B. and Baranwal, V.K. (2015) Subpopulation Level Variation of Banana Streak Viruses in India and Common Evolution of Banana and Sugarcane Badnaviruses. Virus Genes, 50, 450-465.
https://doi.org/10.1007/s11262-015-1179-8
[25] Rao, X.Q., Wu, Z.L., Wang, W., Zhou, L., Sun, J. and Li, H.P. (2020) Genetic Diversity Analysis Reveals New Badnaviruses Infecting Banana in South China. Journal of Plant Pathology, 102, 1065-1075.
https://doi.org/10.1007/s42161-020-00646-8
[26] Sun, S.R., Damaj, M.B., Alabi, O.J., Wu, X.B., Mirkov, T.E., Fu, H.Y., Chen, R.K. and Gao, S.J. (2016) Molecular Characterization of Two Divergent Variants of Sugarcane Bacilliform Viruses Infecting Sugarcane in China. European Journal of Plant Pathology, 145, 375-384.
https://doi.org/10.1007/s10658-015-0851-0
[27] Bousalem, M., Douzery, E.J. and Seal, S.E. (2008) Taxonomy, Molecular Phylogeny and Evolution of Plant Reverse Transcribing Viruses (Family Caulimoviridae) Inferred from Full-Length Genome and Reverse Transcriptase Sequences. Archives of Virology, 153, 1085-1102.
https://doi.org/10.1007/s00705-008-0095-9
[28] Geering, A.D.W. (2009) Viral Pathogens of Banana: Outstanding Question and Options for Control. Acta Horticulturae, 828, 39-50.
https://doi.org/10.17660/ActaHortic.2009.828.2
[29] Lockhart, B.E.L. and Jones, D.R. (2000) Banana Streak. In: Jones, D.R., Ed., Diseases of Banana, Abaca and Enset, CAB International, Wallingford, 263-274.
[30] Ouattara, B, Sereme, D., Wonni, I., Koïta, K., Koala, M., Nitiema, L., Kabore, E., Bonkoungou, Y., Dakouo, T.K. and Dao, M. (2022) First Report of Banana Streak Virus Infecting Banana in Burkina Faso. Manuscript Submitted for Publication.
[31] Permingeat, H.R., Romagnoli, M.V. and Vallejos, R.H. (1998) A Simple Method for Isolating High Yield and Quality DNA from (Gossypium hirsutum L.) Leaves. Plant Molecular Biology Reporter, 16, 1-6.
[32] Yang, I.C., Hafner, G.J., Revill, P.A., Dale, J.L. and Harding, R.M. (2003) Sequence Diversity of South Pacific Isolates of Taro Bacilliform Virus and the Development of a PCR Based Diagnostic Test. Archives of Virology, 148, 1957-1968.
https://doi.org/10.1007/s00705-003-0163-0
[33] Wu, X.B., Alabi, O.J., Damaj, M.B., Sun, S.R., Mirkov, T.E., Fu, H.Y., Chen, R.K. and Gao, S.J. (2016) Prevalence and RT/RNase H Genealogy of Sugarcane Bacilliform Virus Isolates from China. Journal of Phytopathology, 164, 595-607.
https://doi.org/10.1111/jph.12483
[34] Geering, A.D.W., McMichael, L.A., Dietzgen, R.G. and Thomas, J.E. (2000) Genetic Diversity among Banana Streak Virus Isolates from Australia. Phytopathology, 90, 921-927.
https://doi.org/10.1094/PHYTO.2000.90.8.921
[35] Carboney-Mejía, I.G., Ruíz-Toledo, J., Hernández-Reyes, J., Lucio-Castillo, H., Hernandez-Robledo, V., Torres-Castillo, J.A., Torres-de los and Santos, R. (2020) Prevalence of Begomoviruses in Trigona fuscipennis and Trigona fulviventris Visitors of Jatropha curcas. Journal of Apicultural Research, 62, 311-314.
https://doi.org/10.1080/00218839.2020.1756181
[36] Harper, G., Hart, D., Moult, S. and Hull, R. (2002) Detection of Banana Streak Virus in Field Samples of Bananas from Uganda. Annals of Applied Biology, 141, 247-257.
https://doi.org/10.1111/j.1744-7348.2002.tb00216.x
[37] Mukwa, F.T.L. (2016) Les virus du bananier et plantain (Musa spp.) en République démocratique du Congo: Occurrence, identification de nouveaux virus et diversité génétique. Thèse de doctorat, Université Catholique de Louvain, Belgique, 257 p.
[38] Lockhart, B.E.L. (1986) Purification and Serology of a Bacilliform Virus Associated with a Streak Disease of Banana. Phytopathology, 76, 995-999.
https://doi.org/10.1094/Phyto-76-995
[39] Wambulwa, M.C., Wachira, F.N., Karanja, L.S. and Muturi, S.M. (2012) Rolling Circle Amplification Is More Sensitive than PCR and Serology-Based Methods in Detection of Banana Streak Virus in Musa Germplasm. American Journal Plant Sciences, 3, 1581-1587.
https://doi.org/10.4236/ajps.2012.311191
[40] Lheureux, F., Laboureau, N., Muller, E., Lochart, E.L. and Iskra-Caruana, M.L. (2007) Molecular Characterization of Banana Streak Acuminata Vietnam Virus Isolated from Musa acuminata Siamea (Banana Cultivar). Archive of Virology, 152, 1409-1416.
https://doi.org/10.1007/s00705-007-0946-9
[41] Gauhl, F. and Pasberg-Gauhl, C. (1994) Virus Symptoms in Musa Germplasm: Report on Observations from 1991-1994. Research Report, IITA, 40 p.
[42] Lockhart, B.E.L. (2002) Management of Viral Diseases of Banana, Acorbat. Memorias XV Reunion, 217-222.
[43] Caruana, I.M-L. (2003) Analyse de Risque Phytosanitaire (ARP): Banana Bunchy Top Babuvirus-BBTV. CIRAD, Montpellier, 31 p.
[44] Daniells, J., Geering, A. and Thomas, J. (1998) Banana Streak Virus Investigations in Australia. Infomusa, 7, 20-21.
[45] Furuya, N., Suastika, G. and Natsuaki, K. (2012) First Report and Molecular Characterization of Exogenous Banana Streak Mysore Virus from Banana in Indonesia. Asian Journal of Plant Pathology, 6, 41-47.
https://doi.org/10.3923/ajppaj.2012.41.47
[46] Kouadio, K.T., De Clerck. C., Agneroh, T.A., Lassois, L., Parisi, O., Massart, S., Lepoivre, P. and Jijakli, M.H. (2016) Prevalence of Viruses Infecting Plantain (Musa sp. AAB Genome) in the Major Growing Regions in Cote d’Ivoire. African Journal of Agricultural Research, 11, 4532-4541.
https://doi.org/10.5897/AJAR2016.11421
[47] Javer-Higginson, E., Acina-Mambole, I., Gonzalez, J.E., Font, C., Gonzalez, G., Echemendia, A.L., Muller, E. and Teycheney, P.Y. (2014) Occurrence, Prevalence and Molecular Diversity of Banana Streak Viruses in Cuba. European Journal of Plant Pathology, 138, 156-166.
https://doi.org/10.1007/s10658-013-0319-z
[48] Agindotan, B., Winter, S., Lesemann, D., Uwaifo, A., Mignouna, J., Hugues, J. and Thottapilly, G. (2006) Diversity of Banana Streak-Inducing Viruses in Nigeria and Ghana: Twice as Many Sources Detected by Immunoelectron Microscopy (IEM) than by TAS-ELISA or IC-PCR. African Journal of Biotechnology, 5, 1194-1203.
[49] Pasberg-Gauhl, C., Gauhl, F., Schill, P., Lockhart, B.E.L., Afreh-Nuamah, K., Osei, J.K. and Zuofa, K. (1996) First Report of Banana Streak Virus in Farmers’ Fields in Benin, Ghana and Nigeria. West African Plant Disease, 80, 224.
https://doi.org/10.1094/PD-80-0224H
[50] Lockhart, B.E. (1995) Banana Streak Badnavirus Infection in Musa: Epidemiology, Diagnosis, and Control. Food and Fertilizer Technology Center, Taiwan, Technical Bulletin 143, 1-11.
[51] Meyer, J.B. (2008) Banana Streak Badnavirus, Incidence, Transmission and the Development of a Serologically Based Detection Method. M.Sc. Thesis, University of Pretoria, Pretoria.
[52] Duroy, P.O. (2012) Quels sont les enjeux au cours de l’évolution du bananier qui conduit au maintien de séquences virales de Banana streak virus dans son génome? Université de Montpellier II, Montpellier, Biologie Intégrative des plantes, 191 p.
[53] Cote, F.-X., Galzi, S., Folliot, M., Lamagnere, Y., Teycheney, P.-Y. and Iskra-Caruana, M.-L. (2010) Micropropagation by Tissue Culture Triggers Differential Expression of Endogenous Banana Streak Virus (eBSV) in the B Genome of Natural and Synthetic Interspecific Banana Plantain. Molecular Plant Pathology, 11, 137-144.
https://doi.org/10.1111/j.1364-3703.2009.00583.x
[54] Bouhida, M., Lockhart, B.E.L. and Olszewski, N.E. (1993) An Analysis of the Complete Sequence of a Sugarcane Bacilliform Virus Genome Infectious to Banana and Rice. Journal of General Virology, 74, 15-22.
https://doi.org/10.1099/0022-1317-74-1-15
[55] Frison, E.A. and Putter, C.A.J. (1993) FAO/IBPGR Technical Guidelines for the Safe Movement of Sugarcane Germplasm. FAO/IBPGR, Roma.
[56] Gayral, P. and Iskra-Caruana, M.L. (2009) Phylogeny of Banana Streak Virus Reveals Recent and Repetitive Endogenization in the Genome of Its Banana Host (Musa sp.). Journal of Molecular Evolution, 69, 65-80.
https://doi.org/10.1007/s00239-009-9253-2
[57] Jaufeerally-Fakim, Y., Khorugdharry, A. and Harper, G. (2006) Genetic Variants of Banana Streak Virus in Mauritius. Virus Research, 115, 91-98.
https://doi.org/10.1016/j.virusres.2005.06.015
[58] Kumar, P.L., Selvarajan, R., Iskra-Caruana, M.L., Chabannes, M. and Hanna, R. (2014) Biology, Etiology and Control of Virus Diseases of Banana and Plantain. Advances in Virus Research, 91, 229-269.
https://doi.org/10.1016/bs.aivir.2014.10.006
[59] Perefarres, F., Le Provost, G., Acina, I., Lockhart, B.E.L., Allah Dghim, A., Iskra-Caruana, M.L., Candresse, T. and Teycheney, P.Y. (2009) Detection, Prevalence and Diversity of Banana Streak Virus (BSV), Banana Mild Mosaic Virus (BanMMV) and Banana Virus X (BVX) in Guadeloupe. Acta Horticulturae, 828, 205-212.
https://doi.org/10.17660/ActaHortic.2009.828.20
[60] Fidan, H. and Koç, G. (2019) Occurrence, Ecology and Phylogeny of Banana Streak Badnavirus (BSV) and Cucumber Mosaic Cucumovirus (CMV) in Musa sp. Production Areas of the Mediterranean Coastline of Turkey. Applied Ecology and Environmental Research, 17, 5935-5951.
https://doi.org/10.15666/aeer/1703_59355951
[61] Javer, E., Acina-Mambole, I., Font, C., Quiala, I., González, G., Echemendía, A.L. and Teycheney, P.-Y. (2009) Identification of Banana Streak Virus Species Goldfinger, Imové, Mysore and Obino l’Ewaï in Musa spp. in Cuba. Plant Pathology, 58, 787.
https://doi.org/10.1111/j.1365-3059.2009.02054.x
[62] Kabore, E. (2022) Caractérisation et aspects épidémiologiques des virus de la panachure jaune du riz et de la nécrose à rayure du riz pour un développement de stratégies de lutte au Burkina Faso. Thèse de doctorat, Université Joseph KI-ZERBO, Burkina Faso, 146 p.
[63] Gauhl, F., Pasberg-Gauhl, C., Bopda-Waffo, A., Hughes, J.D.A. and Chen, J.S. (1999) Occurrence of Banana Streak Badnavirus on Plantain and Banana in 45 Villages in Southern Cameroon, Central Africa. Zeitschrift fur Pflanzenkran Kheiten und Pflanzenschutz, 106, 174-180.
https://doi.org/10.1080/096708799227752
[64] Javer-Higginson, E., AcinaMambole, I., Gonzalez, J.E., Font, C., Gonzalez, G., Echemendia, A.L., Muller, E. and Teycheney, P.Y. (2014) Occurrence, Prevalence and Molecular Diversity of Banana Streak Viruses in Cuba. European Journal of Plant Pathology, 138, 156-166.
https://doi.org/10.1007/s10658-013-0319-z
[65] Kumar, L.P., Hanna, R., Alabi, O.J., Soko, M.M., Oben, T.T., Vangu, G.H.P. and Naidu, R.A. (2011) Banana Buchy Top Virus in Sub-Saharan African: Investigations on Virus Distribution and Diversity. Virus Research, 159, 171-182.
https://doi.org/10.1016/j.virusres.2011.04.021
[66] Thomas, J.E., Lockhart, B.E.L. and Iskra-Caruana, M.L. (2000) Banana Mild Mosaic. In: Jones, D.R., Ed., Diseases of Banana, Abaca and Ensete, CAB International, Wallingford, 275-278.
[67] Traore, O., Traore, E.V.S., Gumedzoe, M.Y.D. and Konate, G. (2008) Diagnostic sérologique des isolats soudano-saheliens du virus de la panachure jaune du riz (Rice Yellow Mottle Virus, RYMV). Burkina Faso. Tropicultura, 26, 74-77.
[68] Cherian, A.K., Baranwal, V.K., Malathi, V.G., Pant, R.P. and Ahlawat, Y.S. (2004) Banana Streak Virus from India and Its Detection by Polymerase Chain Reaction. Indian Journal of Biotechnology, 3, 409-413.
[69] Manoranjitham, S.K., Kavino, M., Thiribhuvanamala, G., Ganapathy, T., Rabindran, R. and Kumar, N. (2012) Detection of Banana Streak Virus (BSV) Tamil Nadu Isolate (India) and Its Serological Relationship with Other Badnaviruses. African Journal of Biotechnology, 11, 14632-14637
[70] Janiga, P.K., Nithya, K. and Viswanathan, R. (2021) Dynamics of Genetic Diversity among Indian Sugarcane Bacilliform Virus Species and Implications of Associated Recombination Events in the Virus.
https://doi.org/10.21203/rs.3.rs-713719/v2
[71] Geering, A.D.W. and Hull, R. (2012) Family Caulimoviridae. In: King, A.M.Q., Adams, M.J., Carestens, E.B. and Lefkowitz, E.J., Eds., Virus Taxonomy: Classification and Nomenclature of Viruses: Ninth Report of the International Committee on Taxonomy of Viruses, Elsevier, San Diego, 424-443.
[72] Lheureux, F., Careel, F., Jenny, C., Lockhart, B.E.L. and Iskra-Caruana, M.L. (2003) Identification of Genetic Markers Linked to Banana Streak Disease Expression in Inter-Specific Musa Hybrids. Theoretical and Applied Genetics, 106, 594-598.
https://doi.org/10.1007/s00122-002-1077-z
[73] Oben, T.T., Hanna, R., Ngeve, J., Alabi, O.J., Naidu, R.A. and Kumar, P.L. (2009) Occurrence of Banana Bunchy Top Virus in Cameroon. Plant Disease, 93, 1076.
https://doi.org/10.1094/PDIS-93-10-1076C
[74] Abdel-Salam, A.M., Dawoud, R.A., Aly, A.M.E. and El Saghir, S.M. (2014) The Detection and Diversity of Banana Streak Virus Isolates in Egypt. Egyptian Journal Virology, 11, 136-149.
[75] Geering, A.D.W., Poogin, M.M., Olszewski, N.E., Lockhart, B.E.L. and Thomas, J.E. (2005) Characterization of Banana Streak Mysore Virus and Evidence That Its DNA Is Integrated in the Genome of Cultivated Musa. Archives of Virology, 150, 787-796.
https://doi.org/10.1007/s00705-004-0471-z

Copyright © 2025 by authors and Scientific Research Publishing Inc.

Creative Commons License

This work and the related PDF file are licensed under a Creative Commons Attribution 4.0 International License.