Angiographic Features of Intracranial Aneurisms in Mali: A Preliminary Study of 105 Patients

Abstract

Introduction: Rupture of intracranial aneurisms leads to severe morbidity and mortality. There are two modalities of treatment surgery and endovascular treatment. The diagnosis is made by angiography (DSA, CTA, RMA). The angiographic features used to assess the risk of the complications and choose the treatment modality are size, location and aneurism morphology. Materials and Methods: We reviewed and analyzed the computed tomographic angiography and magnetic resonance angiography of all patients admitted to the hospital of Mali with IAs from 2015 to 2021 either 7 years. Patients who were less than 18 years old, those with non-aneurysmal SAH, patients who request a discharge and those with an incomplete angiographic description of the IAs were excluded from the analysis. Results: We have collected 105 patients with 109 aneurysms. The sex ratio was 2/1 in favor of females. The mean age was 44.51 years with the range from 18 to 70 years. The presentation mode was subarachnoid hemorrhage (SAH) in 97% of cases. 76.19% had confirmed high blood pressure before the bleeding. 19.04% were diabetics. 98% of our patients have made a CT angiography and 2% have made MR angiography for the aneurysm diagnosis. 97.24% of aneurisms were located in the anterior part of the Willis circle. 39.44% of these aneurisms were the anterior communicating complex aneurysm. 27.52% of aneurysm had a small size, 42.20% had a medium size, 20.18% large size against 5.50% of the giant (Figure 3) and the middle cerebral artery was the most involved in the least. 95.41% of cases were saccular aneurysms against 4.59% fusiform. Conclusion: The angiographic feature of an intracranial aneurism in the Malian population may differ from other populations of the sub-region. The anterior communicating complex aneurysm is more common and the aneurism of the posterior part of the Willis circle is less common. We found the aneurism size ≥ 6 mm, ACA, MCA and Pcom more frequent.

Share and Cite:

Dama, M. , Coulibaly, O. , Diallo, O. , Sissoko, D. , Diarra, H. , Tembine, K. , Diarra, M. , Ouologem, M. and Kanikomo, D. (2023) Angiographic Features of Intracranial Aneurisms in Mali: A Preliminary Study of 105 Patients. World Journal of Neuroscience, 13, 1-11. doi: 10.4236/wjns.2023.131001.

1. Introduction

Rupture of intracranial aneurisms (IAs) leads to severe morbidity and mortality [1] [2] . Choosing the treatment modality that is safest and most efficient for each individual patient is an important therapeutic decision. Digital subtraction angiography (DSA) is the current “gold standard” to evaluate aneurysms. Noninvasive techniques are evolving rapidly and computed tomography angiography (CTA) in particular frequently can provide a useful complement to DSA [3] . The angiographic features used to assess the risk of the complications and choose the treatment modality are size, location and aneurism morphology [4] .

According to the size, aneurisms can be classified by Yasargil classification (Table 1), by Higashida classification (Table 2), or by Szeder V et al. classification (Table 3). For the authors’ convenience, we are preferred the least.

Table 1. Yasargil classification.

Table 2. Higashida classification.

Table 3. Szeder V classification.

For the location, IAs were stratified into 7 different categories as described in the International Study of Unruptured Intracranial Aneurysms (ISUIA): cavernous carotid artery, internal carotid artery, anterior communicating, or anterior cerebral artery (ACOM), middle cerebral artery (MCA), posterior communicating artery (PCOM), vertebrobasilar or posterior cerebral artery, and basilar tip [5] .

For the morphology, aneurysms were classified in 3 categories: “saccular”: IAs with a characteristic dome and neck configuration; “fusiform”: dilated IAs involving the entire circumference of an arterial segment and without a neck; and “blister”: IAs arising from the anterior wall of the internal carotid artery [6] .

In addition, a variety of factors such as whether the aneurysm is intact or ruptured, the patient’s medical condition, and associated factors such as intracerebral hemorrhage (ICH), intraventricular hemorrhage (IVH), and clinical grade after aneurysm rupture can all influence the outcome of attempted aneurysm occlusion [3] .

There are no written reports describing the morphological characteristics of intracranial aneurisms (IAs) in our country (Mali). Until now, the epidemiology of IAs in the Malian population has not been assessed as in other countries of west Africa. In this preliminary study, we aim to describe the morphological features of IAs in Malian patients admitted to the only third-level hospital in Mali where they can be treated surgically.

2. Materials and Methods

2.1. Population

We reviewed and analyzed the computed tomographic angiography and magnetic resonance angiography of all patients admitted to the hospital of Mali with IAs from 2015 to 2021 either 7 years. Patients were referred for evaluation of ruptured IAs or due to the incidental finding of an unruptured IA. Aneurysms were classified as ruptured when a non-contrast head CT demonstrated the presence of subarachnoid hemorrhage (SAH) accompanied by acute symptoms such as: worst headache of their life, loss of consciousness, and neck rigidity. The inclusions criteria were patients aged 18 years or over with complete angiographic description admitted to our department.

Patients who were less than 18 years old, those with non-aneurysmal SAH, patients who request a discharge and those with incomplete angiographic description of the IAs were excluded from the analysis.

2.2. Data Collection

Demographic information was collected from medical records of all the patients referred for ruptured and unruptured IAs evaluation. Comorbidities such as hypertension, diabetes, and smoking were recorded. Angiographic characteristics of every aneurysm such as size, location, and morphology were collected following reporting standards and current consensus [7] [8] . For patients who presented with SAH, when available, we used Fisher modified grading scale that help to evaluate the vasospasm risk (Table 4).

Table 4. Fisher modified classification.

2.3. Statistical Analysis

We used descriptive statistics to estimate overall proportions of the epidemiological characteristics of the sample. When a patient had multiple aneurysms, the largest and/or ruptured aneurysm was used to categorize the patient. In a univariate analysis, the relationship between the location and sex and that between age and morphology were examined using the chi-square test. A p-value of 0.05 was considered significant. Statistical analysis was performed using Statistical Package for the Social Sciences (SPSS) version 23 software.

3. Results

We have collected 105 patients with 109 aneurysms. The sex ratio was 2/1 in favor of females. The mean age was 44.51 years with the range from 18 to 70 years. The presentation mode was subarachnoid hemorrhage (SAH) in 102 (97%) of cases, and the reminder with nerve compression (Table 5).

Ninety-five (90.47%) of patients had elevated blood pressure at admission versus 80 (76.19%) patients who confirmed high blood pressure before the bleeding. 19.04% were diabetics against 17.14% smokers and only four patients drank alcohol.

One hundred and three (98%) of our patients have made a CT angiography and 2% have made MR angiography for the aneurysm diagnosis. We have no DSA in Mali. 2.86% of our patients had multiple aneurysms of which two patients had a double aneurism and one patient had 3 aneurisms (Figure 1).

One hundred and six (97.24%) of aneurisms were located on the anterior part of the Willis cercle. 39.44% of these aneurisms were the anterior communicating complex aneurysm including 4 cases of pericallosal aneurysm and 39 anterior communicating aneurisms. 33.03% were middle cerebral artery aneurisms, 14.70% were posterior communicating artery aneurisms.

Among the carotid aneurysms 0.95% were ophthalmic aneurysm and the remainder were carotid bifurcation aneurysm in their terminal branch to anterior cerebral artery and middle cerebral artery.

One patient had cavernous carotid artery aneurism revealed by a cavernous sinus syndrome.

Only 2.76% were posterior part of the Willis cercle aneurysm and they were fusiform basilar aneurysm, superior cerebellar aneurysm (Figure 2) and posterior inferior cerebellar aneurysm respectively.

Figure 1. Computed tomography angiography showing 3 aneurisms.

Figure 2. CTA of superior cerebellar aneurism.

Table 5. Socio-demographic and clinical characteristics.

Thus, 95.41% of cases were saccular aneurysms against 4.59% fusiform.

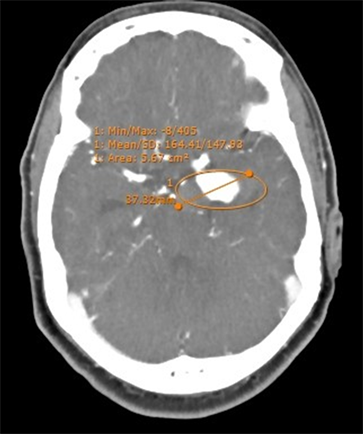
27.52% of aneurysm had small size, 42.20% had the medium size located ACA, MCA and Pcom, 20.18% large size against 5.50% of giant (Figure 3) and the middle cerebral artery was the most involved in the least.

Eighty-two (78%) patients were operated, in which 76% by pterional craniotomy, one patient by suboccipital fossa posterior approach for a posterior inferior cerebellar aneurism and one patient by subtemporal approach for a superior cerebellar aneurism.

Ten patients died by rebleeding before surgery, other ten patients have requested endovascular treatment and were evacuated out of Mali. Three patients refused surgery.

Among the operated patients, twelve patients were in which 5 died by cerebral ischemia, five by hemorrhage after surgery and two by postoperative infection. The overall mortality rate was 20.95% and the surgical mortality was 14.63%.

There was a statistically significant relationship between patient sex and location (p = 0.0001) and there was no statistically significant relationship between patient age and morphology (p = 0.199).

4. Discussion

The epidemiological characteristic of intracranial aneurism is an important key to having a better understanding of the disease process and delivering targeted treatments [9] . Like other West African countries, the epidemiological feature remains a fragmentary study in Mali. The endovascular treatment is still absent and the surgery is only the unique possibility in a single neurosurgical department.

Figure 3. CTA showing giant Pcom aneurysm partially thrombosed.

Despite the relatively low number of cases, 67.61% are female in our study like Vargas et al. study with 74.4% (2010) in Colombia and A E Zouzou et al. with 68% (2021) in Ivory Coast but in Francesco Signorelli et al. study it was lowest with 46.1. We believe that the female sex is predominant but it becomes more obvious the wider the sample.

Age is important to give the prognosis and in a Cuban study the age above 65 was associated with an unfavorable evolution [10] and Wermer et al. of 6556 unruptured aneurysms (4705 patients) found a higher risk of rupture in patients older than 60 years old [11] . The average age of our patients is between the fourth and fifth decade (44.51). In the series of Vargas et al., the average was 51.7, in the Francesco Signorelli et al. serie it was 46 years [12] and Edgar A. S et al. (2019) found 52.29.

Juvela [13] and Ohman [14] also found relatively lower incidences of hypertension in aneurysm patients—26.3% and 27.6%, respectively. However, most clinical studies have emphasized the close correlation between intracranial aneurysms and hypertension [15] . 40% of 218 patients operated by Masaaki Nemoto et al. [16] had hypertension, whereas we had 76.19% of patients with confirmed hypertension at admission. A number of clinical studies have highlighted the strong association between smoking [17] but the exact mechanisms by which smoking and hypertension lead to increased aneurism formation remain controversial [15] .

The gold standard for aneurism radiological study is the DSA [3] but the CTA and RMA with a good software are very sensitive for the diagnose and the angiographic features can be assessed [9] . We used CTA and RMA in this study because we haven’t DSA in Mali (Figure 4 and Figure 5).

Figure 4. Computed tomography angiography.

Figure 5. MRA of a fusiform aneurysm of PCoA.

The discovery mode in 90% of cases was a subarachnoid hemorrhage [9] which is consistent with the results of our studies with 97% and the diagnosis is easy with computed tomography.

As in the literature, the vast majority of aneurysms are the anterior part of the Willis circle, Edgar A. S et al. [9] found 96.6%, Romano Flores et al. [18] found 72% and we had 97.24%.

Depending on the series, the predominant locations of aneurism may vary thus Edgar A. S et al. [9] and Romano Flores et al. [18] found respectively 28.4% and 32.9% of MCA as more frequent locations. Vargas et al. [19] in these series found 18% of ACA and we found 39.44% of anterior communicating complex aneurysm of these 35.77% were ACA. A E Zouzou et al. [20] found the internal carotid artery as more frequent location with 31.16% of cases. In our opinion, there is no demographic nether clinical explanation for these differences.

The posterior part of the Willis cercle aneurysm is rare [5] [9] . In our series the cases were the cerebellar arteries.

The saccular aneurisms are the most frequent in the cerebrum [3] [5] [9] [20] and the blister aneurism less common and more difficult to diagnose, it challenging for surgery or endovascular treatment [6] . We had no blister aneurism case.

In many series, the small aneurysms are the most common and which rupture easily [9] [20] , that the availability of diagnostic means could partly explain before the hemodynamic and degenerative phenomena produce the progressive increase in height. On the other hand, there are series where aneurysms of medium size are the most frequent, such as ours in 42.2% of cases and that of Vargas et al. [19] . Aneurism wall rupture occurs when the transmural pressure exceeds its tensile strength [21] , one of the ways to predict this risk is the evaluation of the mechanical properties of the aneurysm wall [22] using computational fluid dynamics set out to find a correlation between hemodynamic factors and structural changes of aneurysm wall predisposing to rupture.

Limitations

As this is a retrospective study, there are typically drawbacks like lower rate of complete data as well as lower accuracy compared with a prospective study design. But also, there were two types of machines (MRI 1.5 tesla and scanner 32 bars) to evaluate the angiographic characteristics and two other software programs were used for reconstruction and size calculation. However, our data is congruent with most prior published studies [3] [5] [19] [20] .

5. Conclusion

The angiographic feature of an intracranial aneurism in the Malian population may be different from other population sub-region but more inclusive study to affirm with certainty. The anterior communicating complex aneurysm is more common and the aneurism of the posterior part of the Willis circle is less common. We found the aneurism size ≥ 7 mm, ACA, MCA and Pcom are associated with subarachnoid hemorrhage.

Declaration of Patient Consent

The authors state that efforts will be made to conceal the patient’s identity, but anonymity cannot be guaranteed.

Conflicts of Interest

The authors declare no conflicts of interest regarding the publication of this paper.

References

[1] Juvela, S., Poussa, K., Lehto, H. and Porras, M. (2013) Naturalhistory of Unruptured Intracranial Aneurysms: Along-Term Follow-Up Study. Stroke, 44, 2414-2421.
[CrossRef
[2] UCAS Japan Investigators; Morita, A., Kirino, T., Hashi, K., Aoki, N., Fukuhara, S., Hashimoto, N., et al. (2012) The Natural Course of Unruptured Cerebral Aneurysms in a Japanese Cohort. The New England Journal of Medicine, 366, 2474-2482.
[CrossRef
[3] Bohman, L.-E., Winn, H.R. and LeRoux, P.D. (2011) Surgical Decision Making for the Treatment of Intracranial Aneurysms. In: Winn, H.R., Ed., Youmans Neurological Surgery, 6th Edition, Saunders, Philadelphia, 3756-3771.
[CrossRef
[4] Weir, B., Disney, L. and Karrison, T. (2002) Sizes of Ruptured and Unruptured Aneurysms in Relation to Their Sites and the Ages of Patients. Journal of Neurosurgery, 96, 64-70.
[CrossRef] [PubMed]
[5] Thompson, B.G., et al. (2015) Guidelines for the Management of Patients with Unruptured Intracranial Aneurysms. Stroke, 46, 2368-2400.
[CrossRef
[6] Seo, D.H., Lee, W.C., Choe, I.S., Park, S.C. and Ha, Y.S. (2009) Ruptured and Unruptured Aneurysms of the Accessory Anterior Cerebral Artery Combined with a Blood Blister-Like Aneurysm of the Anterior Communicating Artery. Neurol India, 57, 85-87.
[CrossRef] [PubMed]
[7] Wiebers, D.O., Whisnant, J.P., Huston 3rd, J., Meissner, I., Brown Jr., R.D., Piepgras, D.G., et al. (2003) Unruptured Intracranial Aneurysms: Natural History, Clinical Outcome, and Risks of Surgical and Endovascular Treatment. The Lancet, 362, 103-110.
[CrossRef
[8] Meyers, P.M., Schumacher, H.C., Higashida, R.T., et al. (2010) Reporting Standards for Endovascular Repair of Saccular Intracranial Cerebral Aneurysms. AJNR, 31, E12-E24.
[CrossRef] [PubMed]
[9] Edgar, A.S., Jorge, A.R., Braulio, M.B., et al. (2019) Angiographic Features of Intracranial Aneurysms in Ecuador. Journal of Stroke and Cerebrovascular Diseases, 28, 761-767.
[CrossRef] [PubMed]
[10] Rivero Rodríguez, D., Scherle Matamoros, C., Fernández Cúe, L., et al. (2017) Factores asociados a una evolución desfavorable en la hemorragia subaracnoidea aneurismática. Serie de 334 pacientes. Neurología, 32, 15-21.
[CrossRef] [PubMed]
[11] Wermer, M.J., van der Schaaf, I.C., Algra, A. and Rinkel, G.J. (2007) Risk of Rupture of Unruptured Intracranial Aneurysms in Relation to Patient and Aneurysm Characteristics: An Updated Meta-Analysis. Stroke, 38, 1404-1410.
[CrossRef
[12] Francesco, S., Cyril, P.M., Benjamin, G., Pierre, L., Philip, R., Roberto, V., et al. (2018) Biomechanical Characterization of Intracranial Aneurysm Wall: A Multiscale Study. World Neurosurgery, 119, E882-E889.
[CrossRef] [PubMed]
[13] Juvela, S. (1996) Prevalence of Risk Factors in Spontaneous Intracerebral Hemorrhage and Aneurysmal Hemorrhage. Archives of Neurology, 53, 734-740.
[CrossRef] [PubMed]
[14] Ohman, J. (1990) Hypertension as a Risk Factor for Epilepsy after Aneurysmal Subarachnoid Hemorrhage and Surgery. Neurosurgery, 27, 578-581.
[CrossRef
[15] Inci, S. and Spetzler, R.F. (2000) Intracranial Aneurysms and Arterial Hypertension: A Review and Hypothesis. Surgical Neurology, 53, 530-540.
[CrossRef
[16] Nemoto, M., Masuda, H., Sakaeyama, Y., et al. (2018) Clinical Characteristics of Subarachnoid Hemorrhage with an Intracerebral Hematoma and Prognostic Factors. Journal of Stroke and Cerebrovascular Diseases, 27, 1160-1166.
[CrossRef] [PubMed]
[17] Anderson, C.S., Feigin, V., Bennett, D., et al. (2004) Active and Passive Smoking and the Risk of Subarachnoid Hemorrhage: An International Population-Based Case-Control Study. Stroke, 35, 633-637.
[CrossRef
[18] Romano Flores, L., Nieto, A., Corti, M., et al. (2017) Surgical Experience in Cerebral Aneurysms Intervened in the IAHULA, Merida Venezuela, between January 2008 to 2015 December. Avances en Biomedicina, 6, 37-47.
[19] Vargas, S.A., Herrera, D.A. and Cornejo, J.W. (2010) Endovascular Coil Occlusion of 473 Intracranial Aneurysms: Angiographic and Clinical Results. Biomedica, 30, 567-576.
[CrossRef
[20] AE Zouzou, A., Toure, A.P., N’dja, D.T., et al. (2021) Exploration Tomodensitométrique des anévrismes intracraniens (AIC) à Abidjan: A propos de 149 cas. JCCR Africa, 5, 70-78.
[21] Costalat, V., Sanchez, M., Ambard, D., Thines, L., et al. (2011) Biomechanical Wall Properties of Human Intracranial Aneurysms Resected Following Surgical Clipping (IRRAs Project). Journal of Biomechanics, 44, 2685-2691.
[Google Scholar] [CrossRef] [PubMed]
[22] Xiang, J., Natarajan, S.K., Tremmel, M., et al. (2011) Hemodynamic Morphologic Discriminants for Intracranial Aneurysm Rupture. Stroke, 42, 144-152.
[CrossRef

Copyright © 2025 by authors and Scientific Research Publishing Inc.

Creative Commons License

This work and the related PDF file are licensed under a Creative Commons Attribution 4.0 International License.