Rare Antenatal Fetal Malformations of the Anterior Abdominal Wall in Mali: About a Case
Ousmane Traore1,2*orcid, Ouncoumba Diarra3, Mamadou N’Diaye4, Souleymane Sanogo5, Ilias Guindo6, Abdoulaye Kone7, Hamady Sissoko3, Mahamadou Diallo8, Siaka Sidibe2,7, Adama Diaman Keita2
1Radiology Department of the Medical Clinic “Marie Curie”, Bamako, Mali.
2Department of Radiology, Center Hospital-University “Le Point G”, Bamako, Mali.
3Radiology Department, Commune III Reference Health Center of Bamako, Bamako, Mali.
4Radiology Department of the Military Camp of Bamako, Bamako, Mali.
5Department of Radiology, Center Hospital-University “Le Luxembourg”, Bamako, Mali.
6Radiology Department, Center Hospital-University de Kati, Bamako, Mali.
7Radiology Department of the Medical Clinic “Pasteur”, Bamako, Mali.
8Department of Radiology, Center Hospital-University “Gabriel Toure”, Bamako, Mali.
DOI: 10.4236/ojmi.2022.124022   PDF    HTML   XML   200 Downloads   962 Views  

Abstract

Abdominal wall malformations correspond to a wide spectrum of congenital anomalies that are due to a defect in the closure of the anterior abdominal wall and can be fatal. We report the case of laparoschisis associated with a poly malformation syndrome in the same fetus at the reference health center of commune III of the district of Bamako. The objective is to clarify the interest of antenatal ultrasound in the diagnosis and prognosis of these malformations. It was a 19-year-old prim gravid woman received as part of the prenatal check-up. Antenatal ultrasound had allowed the diagnosis of malformation of the anterior abdominal wall of the gastroschisis type associated with abnormalities of the neural tube, the urogenital system and the bone skeleton. The antenatal diagnosis of the malformations had motivated the realization of a therapeutic termination of pregnancy at 19 weeks of amenorrhea and 3 days by triggering and vaginal delivery, allowing the confirmation of the diagnosis of gastroschisis and the poly malformation syndrome which is extremely rare. Antenatal ultrasound remains an ideal means of imaging for monitoring pregnancy and had made it possible to make the prognosis and antenatal diagnosis of multiple malformations in association, and to indicate better therapeutic decision-making.

Share and Cite:

Traore, O. , Diarra, O. , N’Diaye, M. , Sanogo, S. , Guindo, I. , Kone, A. , Sissoko, H. , Diallo, M. , Sidibe, S. and Keita, A. (2022) Rare Antenatal Fetal Malformations of the Anterior Abdominal Wall in Mali: About a Case. Open Journal of Medical Imaging, 12, 208-214. doi: 10.4236/ojmi.2022.124022.

1. Introduction

Laparoschisis, also called “gastroschisis”, are congenital anomalies characterized by a defect in the closure of the abdominal wall of the fetus, associated with an exteriorization (hernia) of part of its abdominal viscera [1] [2]. There is no membrane surrounding the intestines. These malformations require specialized care at birth and surgery to reintegrate the viscera into the abdomen. But the association with a poly malformation syndrome is extremely rare and constitutes a bad factor [1] [2] [3]. It is estimated between 1.7 and 3.6 out of 10,000 births and the young age of the mother is an important risk factor. The risk of having a child with this malformation is 16 times greater before age 20 than at age 30, there are also environmental factors [2] [3] [4]. According to Public Health France, in the six French registers of congenital anomalies, over the period 2011-2015, omphalocele concerned between 3.8 and 6.1 births out of 10,000 and gastroschisis between 1.7 and 3.6. births per 10,000 [2]. We report a case of laparoschisis associated with a poly malformation syndrome in a fetus, one of the first described in Mali with the aim of clarifying the interest of antenatal ultrasound in the diagnosis and prognosis of fetal malformations.

2. Observation

It was a young 19-year-old woman received as part of the prenatal consultation, first ultrasound. The patient had no medical and surgical history. The examination was carried out at the radiology department of the reference health center of commune III of the district of Bamako in Mali using a GE (General Electric) type device (General Electric) brand LOGIQ P3 with color Doppler equipped with 3 multi-frequency probes ( convex, endovaginal and barrette) and put into service in 2008. Obstetric ultrasound performed with the convex probe (2-5 MHz) found: a defect in the closing of the anterior abdominal wall with herniation of the viscera floating freely in the liquid amniotic (liver, gallbladder, intestines and stomach) whose neck was 31 mm in diameter. This is associated with moderate dilation of the right lateral ventricle at brain level (Figure 1).

Discovery also in antenatal ultrasound of other malformative abnormalities of the bony skeleton such as exaggeration of the dorsal kyphosis with lumbar hyperlordosis, of the urogenital apparatus of the type major dilation of the pyelocalicielles cavities of the two kidneys without visualization of the bladder (Figure 2).

The heart rate was normal estimated at 147 beats/minute; the amniotic fluid was of an acceptable quantity with the presence of linear fibrous tissue related to the amniotic band (Figure 3).

The umbilical Doppler made it possible to find the umbilical vessels at the level of its base of implantation close to the viscera but not in the same plane (Figure 4).

All three segments of upper limbs and lower limbs were visible. The sex of the fetus was female. Despite the presence of the semiology of gastroschisis described

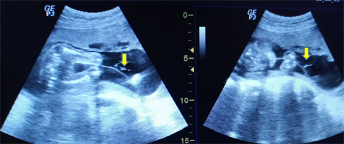
Figure 1. Mode B ultrasound showing the viscera floating in the amniotic fluid without membrane ((A) yellow arrow) and the dilation of the right lateral ventricle ((B) yellow arrow).

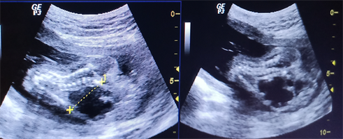
Figure 2. Obstetrical ultrasound showing the dilation of the bilateral renal cavities more marked on the right with the exaggeration of the dorsal kyphosis and the lumbar lordosis.

Figure 3. B-mode obstetric ultrasound showing yellow arrow amniotic bands (yellow arrow).

Figure 4. Color Doppler ultrasound showing the umbilical vessels (yellow arrow).

above, we also thought we had eliminated a ruptured omphalocele. And the presence of the polymalformative syndrome grouping the anomaly of the brain, the bony skeleton and the urogenital system, a decision to terminate the pregnancy was taken. The interruption was made by induction and vaginal delivery which confirmed with certainty the laparoschisis associated with a poly malformation syndrome and the visibility also of the position anomalies of the right foot and the left hand (Figure 5).

The evolution was favorable for the mother who is doing well. And the fetus was dead seconds after delivery.

3. Discussion

Socio-epidemiological characteristics:Laparoschisis is a rare malformative pathology affecting 1.6/10,000 live births in France in 2015 [5] [6]. It is defined as the issue of free viscera in the amniotic fluid by a parietal defect most often right latero-umbilical. It is most often made up of small bowel or colonic loops but can sometimes include the externalization of other organs such as the liver or the stomach [5] [7]. Our case is one of the rare malformative anomalies discovered in our service. Its frequency is increasing and is thought to be linked to the action of a teratogen on the embryonic mesenchyme preventing normal closure of the anterior abdominal wall [1] [8]. Gastroschisis is often isolated and not associated with chromosomal abnormalities and seems to be linked to young maternal age and teratogenic factors [9]. Our patient was really young 19 years old but without environmental factors (no tobacco or cocaine). Exceptionally, other associated malformations have been found, which one of the first in the literature is.

Radiological characteristics:In gastroschisis, ultrasound shows several herniated intestinal loops through a right Para umbilical orifice not covered by a

Figure 5. Photo of the fetus after delivery showing gastroschisis with dorsolumbar anomalies, limbs and viscera outside the abdominal cavity.

membrane and floating freely in the amniotic fluid [1] [5]. The umbilical cord is normally inserted at the left edge of the parietal orifice [10]. In our case, we had great difficulty in highlighting the implantation base of the umbilical cord, which is why the idea of a ruptured omphalocele was discussed and especially the presence of the poly malformation syndrome.The omphalocele is a midline opening of the anterior abdominal wall involving muscle and skin [1] [11]. The herniated organs, intestinal loops and sometimes stomach and liver, are covered by a sac which is continued by the umbilical cord [12]. The loops, stomach and liver floated freely in the amniotic fluid without being covered by a membranous sac in our case. The omphalocele presents on antenatal ultrasound as an anterior midline mass of the abdominal wall with sharp outlines, surrounded by a membrane, containing the intestines and sometimes the stomach and the liver [10]. Certain sonographic aspects allow better definition of the contents of the malformation: the intestine is more hyper echoic than the hepatic parenchyma, the umbilical vein bypasses the herniated viscera when it is only a question of intestines and remains median through the parietal opening to the top of the omphalic sac, when the liver is herniated due to its intrahepatic course [12]. It is frequently associated with chromosomal aberrations (trisomy’s 18, 21 and 13) and is often accompanied by other morphological abnormalities [1] [10]. These morphological abnormalities may be part of syndromic associations. We had also found a poly malformation syndrome in our fetus which made us think of a ruptured omphalocele. In gastroschisis, prolonged exposure of the herniated loops to amniotic fluid and compression of the mesenteric vessels at the level of the parietal opening are the cause of prenatal digestive complications (atresia, stenosis, obstruction, perforation and peritonitis) [12] [13]. Our case of laparoschisis which was correctly diagnosed on the antenatal ultrasound associated other malformations which were interrupted. Indeed, obstetric ultrasound, an accessible, non-invasive technique that does not use ionizing radiation, is a capital and safe method in the antenatal diagnosis of congenital malformations. Its sensitivity is particularly high in case of malformation of the anterior wall of the abdomen from the first trimester of pregnancy and especially in case of malformative associations and it improves with the term of pregnancy [1]. Ultrasound can also be used to perform chorionic villus sampling or amniocentesis with a view to studying the karyotype in search of chromosomal aberrations [1]. We had not done amniosynthesis in our fetus because the examination is not too available in Bamako. The main contribution of antenatal diagnosis by ultrasound in our work was to detect and determine the type of malformation of the anterior abdominal wall and to draw up a complete malformative picture of the other associated morphological anomalies.

Treatment and evolution:Our 19-year-old patient benefited from an abortion by induction and vaginal delivery, which passed without complications. In the literature, the detection on antenatal ultrasound of certain complications specific to the malformation of the anterior wall of the abdomen such as the rupture of the sac of an omphalocele or signs of intestinal pain in the loops resulting from laparoschisis (dilatation and disparity in the caliber of the intestinal loops, thickening of the intestinal wall, hyper echogenicity of the contents of the intestines, polyhydramnios, Doppler abnormalities of the intestinal arteries) may constitute the indication for an emergency cesarean section [1].

4. Conclusion

Laparoschisis or gastroschisis associated with other malformations are rare. It can be confused with ruptured omphalocele. Antenatal ultrasound had made it possible to make a precise diagnosis by eliminating the ruptured omphalocele. It had made it possible to indicate a therapeutic decision-making by termination of pregnancy by triggering and thus allowing the confirmation of the diagnosis of certainty of gastroschisis and poly malformation syndrome. Antenatal ultrasound is still the best imaging examination for diagnostic, prognostic and therapeutic management during pregnancy.

Informed Consent

The patient and her husband gave their informed consent for the scientific publication.

Conflicts of Interest

The authors declare that they have no conflict of interest and confidentiality has been respected.

References

[1] El Mhabrech, H., et al. (2017) Antenatal Diagnosis of Anomalies of the Anterior Abdominal Wall. Archives of Pediatric, 30, 917-924.
[2] Mayo, M. (2018) Omphalocele and Laparoschisis: Congenital Anomalies. PasseportSante/Maladie.
https://www.passeportsante.net
[3] Byrne, J.L. and Feldkamp, M.L. (2008) Seven-Week Embryo with Gastroschisis, Multiple Anomalies, and Physiologic Hernia Suggests Early Onset of Gastroschisis. Birth Defects Research Part A: Clinical and Molecular Teratology, 82, 236-238.
[CrossRef] [PubMed]
[4] Sekabira, J. and Hadley, G.P. (2009) Gastroschisis: A Third World Perspective. Pediatric Surgery International, 25, 327-329.
[CrossRef] [PubMed]
[5] Maisant, C., et al. (2019) Correlation between Prenatal and Postnatal Observations in Case of Gastroschisis: Experience in a Prenatal Referral Diagnosis Center. Gynéco- logie Obstétrique Fertilité & Sénologie, 47, 841-845.
https://www.sciencedirect.com/science/article/pii/S2468718919303150
[CrossRef] [PubMed]
[6] French Registers of Congenital Anomalies; Inslee for Births in 2011-2015.
http://invs.santepubliquefrance.fr/fr/Dossiers-thematiques/Maladies
[7] Ducellier, G., Moussy, P., Sahmoune, L., Bonneau, S., Alanio, E. and Bory, J.P. (2016) Laparoschisis: Ultrasound and Obstetrical Factors Predicting an Unfavorable Postnatal Evolution. Gynécologie Obstétrique Fertilité & Sénologie, 44, 461-467.
[CrossRef] [PubMed]
[8] Curry, J.I., Kinney, P.M., Thornton, J.G., et al. (2000) The Aetiology of Gastroschisis. BJOG, 107, 1339-1346.
http://refhub.elsevier.com/S0929-693X(17)30295-6/sbref0050
[CrossRef] [PubMed]
[9] Frolov, P., Alali, J. and Klein, M.D. (2010) Clinical Risk Factors for Gastroschisis and Omphalocele in Humans: A Review of the Literature. Pediatric Surgery International, 26, 1135-1148.
[CrossRef] [PubMed]
[10] Baulon, E., Köhler, M., Vasière, C., et al. (2005) Ultrasound Diagnosis of Fetal Abnormalities in the First Trimester of Pregnancy (Chromosomal Screening by Nuchal Translucency Measurement Excluded). EMC-Gynecology-Obstetrics, 17, 329-342.
[11] Fisher, R., Attah, A., Partington, A., et al. (1996) Impact of Antenatal Diagnosis on Incidence and Prognosis in Abdominal Wall Defects. Journal of Pediatric Surgery, 31, 538-541.
[CrossRef
[12] Brun, M., Maugey-Laulom, B., Rauch-Chabrol, F., et al. (1998) Antenatal Ultrasound Diagnosis of Malformations of the Anterior Wall of the Fetus. Journal of Radiology, 79, 1461-1468.
[13] El Mhabrech, H., Zrig, A., Ksiaa, A., et al. (2014) Antenatal Diagnosis of Gastrointestinal Tract Abnormalities. Feuillets de Radiologie, 54, 339-348.
[CrossRef

Copyright © 2025 by authors and Scientific Research Publishing Inc.

Creative Commons License

This work and the related PDF file are licensed under a Creative Commons Attribution 4.0 International License.