Origin of Candida albicans in Human Oral Cavity
Akira Fukatsu1*, Osamu Tsuzukibashi1, Mana Fuchigami1, Yoshinori Ono2, Satoshi Uchibori3, Yuji Takahashi4, Chiaki Komine1, Koji Umezawa5, Sachiyo Hayashi5, Takashi Asano3, Taira Kobayashi3, Masanobu Wakami3, Hiroshi Murakami4, Masahiko Fukumoto1
1Department of Laboratory Medicine for Dentistry for the Compromised Patient, Nihon University, School of Dentistry at Matsudo, Chiba, Japan.
2Department of Laboratory Medicine for Dentistry, Nihon University Graduate School of Dentistry at Matsudo, Chiba, Japan.
3Department of Fixed Prosthodontics, Nihon University School of Dentistry at Matsudo, Chiba, Japan.
4Department of Special Needs Dentistry, Nihon University School of Dentistry at Matsudo, Chiba, Japan.
5Department of Oral Implantology, Nihon University School of Dentistry at Matsudo, Chiba, Japan.
DOI: 10.4236/ojst.2022.124014   PDF    HTML   XML   255 Downloads   1,273 Views   Citations

Abstract

Purpose: Candida albicans is regarded as a part of normal flora in the human oral cavity. However, it remains unclear whether the genus Candida, especially C. albicans, is an oral resident microorganism and causes marital infection or not. The purpose of the present study was to elucidate the origin of oral C. albicans by investigating the colonization and infection route to oral cavities of this organism with arbitrarily primed polymerase chain reaction (AP-PCR). Methods: After C. albicans was isolated from four subjects (average age: 42.2, range: 33 - 56), the isolations of this organism from them were performed six months later again. To investigate whether C. albicans is an oral resident microorganism, the genotype homology of each C. albicans isolates that were isolated twice from the same subjects was compared. Moreover, C. albicans was isolated from five pairs of married couples (average period of cohabitation: 12.4 years, range: 5 - 31). To investigate whether C. albicans causes marital infection, the genotype homology of C. albicans isolates that were isolated from each pair of married couples was compared. Results: AP-PCR patterns of C. albicans that were isolated from each subject at o month and after 6 months showed the identical genotypes among each individual. C. albicans isolates from five pairs of married couples showed the identical genotypes between a husband and wife of each pair on AP-PCR. Conclusion: These results indicated that C. albicans was an oral resident microorganism and caused the marital infection.

Share and Cite:

Fukatsu, A. , Tsuzukibashi, O. , Fuchigami, M. , Ono, Y. , Uchibori, S. , Takahashi, Y. , Komine, C. , Umezawa, K. , Hayashi, S. , Asano, T. , Kobayashi, T. , Wakami, M. , Murakami, H. and Fukumoto, M. (2022) Origin of Candida albicans in Human Oral Cavity. Open Journal of Stomatology, 12, 137-145. doi: 10.4236/ojst.2022.124014.

1. Introduction

As oral Candida is often isolated from the oral cavity of healthy humans, this organism is regarded as a part of the normal oral flora [1] [2] [3]. The most common Candida species that harbors the oral cavity is Candida albicans. Although oral Candida remains dormant under physiologic conditions; however, under opportunistic conditions, this organism may transform into contagious pathogens and induce oral diseases such as oral candidiasis [4] [5]. Results from a recent clinical study reported that the subgingival oral biofilm was a reservoir for increased Candida colonization [6]; and in susceptible patient groups (such as individuals with poor oral hygiene status), oral Candida growth can contribute to the progression of periodontal diseases such as chronic periodontitis [7].

It is difficult to derive a precise oral carriage rate for C. albicans, since it depends on the age and health of the research population. A compilation of data from a number of reports showed that the mean carrier rate of C. albicans in healthy individuals (no known underlying disease) was 17.7% (range: 1.9% - 62.3%), whereas the mean carrier rate in hospitalized individuals (without clinical candidiasis) was 40.6% (range: 6.0% - 69.6%) [8]. These data indicate that the health of an individual is a predisposing factor for C. albicans colonization. A large number of sites in the oral cavity can be colonized; in healthy individuals, C. albicans is most commonly isolated from the mid-line of the middle and posterior thirds of the tongue, the cheek, or the palatal mucosa [9] [10] [11]. It is of interest that only a proportion of the population is colonized by C. albicans, and only a subset of these individuals develops candidiasis. Few longitudinal studies have been carried out on healthy individuals to see if Candida colonization was continuous. However, daily sampling has shown that C. albicans carriage persisted in a proportion of healthy people and that colonization recurred in a majority of the remaining subjects [12] [13]. In a study of 163 neonates in an intensive care and surgical unit, 21 of the neonates initially carried C. albicans in their mouths, but only five yielded 6 or more yeast-positive cultures over the 17-week study period [14]. These neonates were colonized by C. albicans for periods of between 7 and 63 days. The biotypes of C. albicans strains were investigated, and there was unequivocal evidence that more than two biotypes were detected in only 8.1% of colonized neonates. In immune-compromised hosts, candidiasis is often caused by a resident strain [15] [16], and the same strain can cause recurrent infections [17]. Some of the factors involved in the development of candidiasis have been reviewed previously [18]. However, little is known about the transmission of the isogenic C. albicans strain within a married couple.

Arbitrarily primed polymerase chain reaction (AP-PCR) is a polymerase chain reaction-based method developed for genetic analysis of eukaryotic and prokaryotic cells [19] [20]. This method has been used for fingerprinting individual strains of pathogenic microorganisms and has been proven to be a useful tool for distinguishing microorganism strains.

Candida albicans is regarded as a part of normal flora in the human oral cavity; however, it remains unclear whether the genus Candida, especially C. albicans, is an oral resident microorganism and causes marital infection or not. The purpose of the present study was to elucidate the origin of oral C. albicans by investigating the colonization and infection route to oral cavities of this organism with AP-PCR.

2. Materials and Methods

2.1. Subjects

Eighteen volunteers participated in the present study. The volunteers consisted of five pairs of married couples (average period of the cohabitation: 12.4 years; range: 5 - 31) and other eight volunteers (average age: 42.2; range: 33 - 56). They had no systemic disease and received no antibiotic therapy for at least 3 months, and also none wore a denture. All participants were asked not to brush, rinse, or smoke immediately prior to the assessment and not to eat or drink for at least 2 h beforehand. The present study was approved by the Ethics Committee of Nihon University School of Dentistry at Matsudo, Japan (EC 20-022). Informed consent was obtained from all volunteers.

2.2. Clinical Samples

Paraffin-stimulated whole saliva samples were collected in a sterile microcentrifuge tube. All samples were dispersed by sonication for 30 s in an ice bath (50 W, 20 kHz, Astrason® System model XL 2020, NY., USA). Portions (100 μl) of appropriate dilutions of these samples were inoculated on CHROMagarTM Candida (CHROMagar, Paris), a commercial selective medium for the genus Candida. Selective medium plates were cultured at 30˚C for 2 days under aerobic conditions. After the cultivation, C. albicans was isolated from five pairs of married couples. Likewise, after C. albicans was isolated from other eight subjects, the isolations of this organism from four of them were performed six months later again.

2.3. Identification of C. albicans Isolated from Clinical Samples

Ten of the approximately 50 green colonies that grew on the selective medium plate per subject were randomly isolated and subcultured, and their species identifications were then confirmed by a multiplex PCR analysis [21]. Subcultured isolates were suspended in 1.0 McFarland standard in 100 μl of distilled water, and 5.6 μl of the suspension was used as a template for AP-PCR. The multiplex PCR condition and PCR primers used in this study were performed as described previously [21]. Briefly, the multiplex PCR mixture contained 0.2 μM of each primer, 10 μl of 2 × MightyAmp Buffer Ver.3 (Takara Bio Inc., Shiga, Japan), 0.4 μl of MightyAmp DNA Polymerase (Takara), and 5 μl of the template in a final volume of 20 μl. PCR reactions were performed in a DNA thermal cycler (Applied Biosystems 2720 Thermal Cycler; Applied Biosystems, CA, USA). PCR conditions included an initial denaturation step at 98˚C for 2 min, followed by 30 cycles consisting of 98˚C for 10 s and 68˚C for 1 min. PCR products were analyzed by 2.0% agarose gel electrophoresis before being visualized by electrophoresis in 1 × Tris-borate-EDTA on a 2% agarose gel stained with ethidium bromide. A 100-bp DNA ladder (Takara Biomed, Shiga, Japan) was used as a molecular size marker. When the amplicon of 1009 bp was detected, the isolate was identified with C. albicans.

2.4. Genotyping by AP-PCR Analysis

AP-PCR analysis for genotyping of C. albicans isolates was performed as follows. Subcultured C. albicans isolates were suspended in 1.0 McFarland standard in 100 μl of distilled water, and 7.6 μl of the suspension was used as a template for AP-PCR. AP-PCR was performed as described previously [22]. Briefly, the PCR mixture contained 0.2 μM of OPG-19 primer (5’-GTCAGGGCAA-3’), 10 μl of 2 × MightyAmp Buffer Ver.3 (Takara Bio Inc., Shiga, Japan), 0.4 μl of MightyAmp DNA Polymerase (Takara), and 7.6 μl of the template in a final volume of 20 μl. AP-PCR was carried out in a DNA thermal cycler (Applied Biosystems 2720 Thermal Cycler). AP-PCR conditions included an initial denaturation step at 98˚C for 2 min, 50˚C for 2 min, and 35˚C for 1 min, followed by 30 cycles consisting of 72˚C for 2.5 min, 92˚C for 1.5 min, and 35˚C for 1 min and final extension period of 72˚C for 5 min. PCR products were analyzed by 2.0% agarose gel electrophoresis and visualized by gel staining with ethidium bromide. A 100-bp DNA ladder was used as a molecular size marker (Takara Biomed).

3. Results

3.1.Comparison of Genotype of Each C. albicans Isolate at 0 Month and after 6 Months

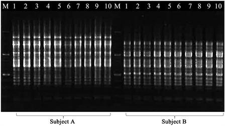
Figure 1 shows the results of genotyping by AP-PCR using OPG-19 primer of each C. albicans isolate from subject A and B. Figure 2 shows the results of those from subject C and D. Oral C. albicans isolates of each subject were classified as one genotype among each individual; however, the AP-PCR patterns of oral C. albicans isolates were not identical among each subject. Figure 3 shows the results of genotyping by AP-PCR using OPG-19 primer of each C. albicans isolate from subject E, F, G and H at 0 month and after 6 months. The AP-PCR patterns of C. albicans that were isolated from each subject at o month and after 6 months showed identical genotypes among each individual.

3.2. Comparison of Genotypes of C. albicans Isolates between Husband and Wife of Each Pair of Married Couples

C. albicans isolates from five pairs of married couples showed the identical genotypes between a husband and wife of each pair on AP-PCR (Figure 4).

4. Discussion

The genetic diversity among clinical C. albicans isolates is investigated by molecular typing techniques amenable to high-throughput capability for epidemiological purposes. These studies have occasionally identified small outbreaks inside hospitals which escaped identification by routine hospital infection control measures [23] [24].

Figure 1. Genetic differences among C. albicans isolates from subject A and B with AP-PCR. Left lanes: 1 - 10,C. albicans isolates from subject A; right lanes: 1-10, C. albicans isolates from subject B; M, molecular size marker (100-bp DNA ladder).

Figure 2. Genetic differences amongC. albicans isolates from subject C and D with AP-PCR. Left lanes: 1 - 10, C. albicans isolates from subject C; right lanes 1-10, C. albicans isolates from subject D; M, molecular size marker (100-bp DNA ladder).

Figure 3. Genetic differences among C. albicans isolates from each subject at 0 month and after 6 months with AP-PCR. Lane: 0, C. albicans isolates from each subject at 0 month; Lane 6, C. albicans isolates after 6 months; Lane M, molecular size maker (100 bp DNA ladder).

Figure 4. Genetic differences among C. albicans isolates from five pairs of married couples with AP-PCR. Lane: H, C. albicans isolate from each husband; Lane: W, C. albicans isolate from each wife; Lane M, molecular size maker (100 bp DNA ladder).

AP-PCR is distinct from classical PCR in the use of a single primer and low annealing temperature and has been to detect genomic polymorphisms at the strain level [19] [20] [25] [26]. AP-PCR has several advantages over phenotyping and other genotyping methods: it is universally applicable, as it requires no prior knowledge of DNA sequence, and it yields fast and reliable results at a low cost. Slots et al. [25] and Pres et al. [26] suggested the usefulness of AP-PCR in fingerprinting bacterial strains. In this study, AP-PCR using OPG-19 primer was performed to compare the genetic differences among C. albicans isolates of each subject.

Candida albicans is regarded as a part of normal flora in the human oral cavity; however, it remains unclear whether the genus Candida, especially C. albicans, is an oral resident microorganism and causes marital infection or not. The purpose of the present study was to elucidate the origin of oral C. albicans by investigating the colonization and infection route to oral cavities of this organism with AP-PCR. In this study, oral C. albicans isolates of each subject were classified as one genotype among each individual; however, the AP-PCR patterns of oral C. albicans isolates were not identical among each subject. Because plural genotypes were detected from each individual, there may not be many opportunities to be infected with C. albicans, in daily life. Also, AP-PCR using OPG-19 primer was useful to compare the genetic differences among C. albicans isolates of each subject. In this study, the AP-PCR patterns of C. albicans that were isolated from each subject at o month and after 6 months showed identical genotypes among each individual. This result indicated that C. albicans was an oral resident microorganism. Our result was similar to that of the previous studies [12] [13] reporting that Candida colonization in the healthy individuals was continuous. In this study, C. albicans isolates from five pairs of married couples showed the identical genotypes between a husband and wife of each pair on AP-PCR.This result indicated that C. albicans caused the marital infection. Our results support several previous studies [27] [28] [29] demonstrating that indirect and direct human-to-human transmission of Candida species was possible. However, because unfortunately the mechanisms and preventions of transmission still remain unclear, it was considered that further exploration would be needed in the future.

5. Conclusion

The present study focused on the origin of oral C. albicans by investigating the colonization and infection route to oral cavities of this organism with AP-PCR. Our results indicated that C. albicans was an oral resident microorganism and caused the marital infection. The finding of the present study might contribute toward taking preventive measures for in-home infection.

Authors’ Contributions

Akira Fukatsu, Mana Fuchigami, Yoshinori Ono, Satoshi Uchibori, Yuji Takahashi, Chiaki Komine, Koji Umezawa, Sachiyo Hayashi, Taira Kobayashi and Hiroshi Murakami corrected the data. Akira Fukatsu, Osamu Tsuzukibashi, Masanobu Wakami and Masahiko Fukumotodrafted wrote the manuscript. The concept of this manuscript was devised by Akira Fukatsu. All authors read and approved the final manuscript.

Conflicts of Interest

The authors declare no conflicts of interest regarding the publication of this paper.

References

[1] Akram, Z., Al-Kheraif, A.A., Kellesarian, S.V., Vohra, F. and Javed, F. (2018) Comparison of Oral Candida Carriage in Waterpipe Smokers, Cigarette Smokers, and Non-Smokers. Journal of Oral Science, 60, 115-120.
https://doi.org/10.2334/josnusd.17-0090
[2] Alrabiah, M., Alshagroud, R.S., Alsahhaf, A., Almojaly, S.A., Abduljabbar, T. and Javed, F. (2019) Presence of Candida Species in the Subgingival Oral Biofilm of Patients with Peri-Implantitis. Clinical Implant Dentistry and Related Research, 21, 781-785.
https://doi.org/10.1111/cid.12760
[3] Mokeem, S.A., Abduljabbar, T., Al-Kheraif, A.A., Alasqah, M.N., Michelogiannakis, D., Samaranayake, L.P. and Javed, F. (2019) Oral Candida Carriage among Cigarette- and Waterpipe-Smokers, and Electronic Cigarette Users. Oral Diseases, 25, 319-326.
https://doi.org/10.1111/odi.12902
[4] Javed, F., Klingspor, L., Sundin, U., Altamash, M., Klinge, B. and Engstrom, P.E. (2009) Periodontal Conditions, Oral Candida albicans and Salivary Proteins in Type 2 Diabetic Subjects with Emphasis on Gender. BMC Oral Health, 9, Article No. 12.
https://doi.org/10.1186/1472-6831-9-12
[5] Javed, F., Samaranayake, L.P. and Romanos, G.E. (2014) Treatment of Oral Fungal Infections Using Antimicrobial Photodynamic Therapy: A Systematic Review of Currently Available Evidence. Photochemical & Photobiological Sciences, 13, 726-734.
https://doi.org/10.1039/C3PP50426C
[6] Matic Petrovic, S., Radunovic, M., Barac, M., Kuzmanovic Pficer, J., Pavlica, D., Arsic Arsenijevic, V. and Pucar, A. (2019) Subgingival Areas as Potential Reservoirs of Different Candida Spp in Type 2 Diabetes Patients and Healthy Subjects. PLOS ONE, 14, Article ID: e0210527.
https://doi.org/10.1371/journal.pone.0210527
[7] Canabarro, A., Valle, C., Farias, M.R., Santos, F.B., Lazera, M. and Wanke, B. (2013) Association of Subgingival Colonization of Candida albicans and Other Yeasts with Severity of Chronic Periodontitis. Journal of Periodontal Research, 48, 428-432.
https://doi.org/10.1111/jre.12022
[8] Odds, F.C. (1988) Candida and Candidosis. 2nd Edition, Bailliere Tindall, London.
[9] Arendorf, T.M. and Walker, D.M. (1979) Oral Candidal Populations in Health and Disease. British Dental Journal, 147, 267-272.
https://doi.org/10.1038/sj.bdj.4804344
[10] Arendorf, T.M. and Walker, D.M. (1980) the Prevalence and Intra-Oral Distribution of Candida albicans in Man. Archives of Oral Biology, 25, 1-10.
https://doi.org/10.1016/0003-9969(80)90147-8
[11] Borromeo, G.L., McCullough, M.I. and Reade, P.C. (1992) Quantitation and Morphotyping of Candida albicans from Healthy Mouths and from Mouths Affected by Erythematous Candidosis. Journal of Medical and Veterinary Mycology, 30, 477-480.
https://doi.org/10.1080/02681219280000641
[12] Gergely, L. and Uri, J. (1966) Day-by-Day Variation in the Mycotic Flora of the Mouth. Archives of Oral Biology, 11, 15-19.
https://doi.org/10.1016/0003-9969(66)90113-0
[13] Williamson, J.J. (1972) A Study of Extent of Variation in Daily Counts of Candida albicans in Saliva. Australian Dental Journal, 17, 106-109.
https://doi.org/10.1111/j.1834-7819.1972.tb02762.x
[14] Sharp, A.M., Odds, F.C. and Evans, E.G.V. (1992) Candida Strains from Neonates in a Special Care Baby Unit. Archives of Disease in Childhood, 67, 48-52.
https://doi.org/10.1136/adc.67.1_Spec_No.48
[15] Powderly, W.G., Robinson. K. and Keath, E.L. (1993) Molecular Epidemiology of Recurrent Oral Candidiasis in Human Immunodeficiency Virus-Positive Patients: Evidence for Two Patterns of Recurrence. The Journal of Infectious Diseases, 168, 463-466.
https://doi.org/10.1093/infdis/168.2.463
[16] Voss, A., Hollis, R.J., Pfaller, M.A., Wenzel, R.P. and Doebbeling, B.N. (1994) Investigation of the Sequence of Colonization and Candidemia in Nonneutropenic Patients. Journal of Clinical Microbiology, 32, 975-980.
https://doi.org/10.1128/jcm.32.4.975-980.1994
[17] Miyasaki, S.H., Hicks, J.B., Greenspan, D., Polacheck, I., MacPhail, L.A., White, T.C., Agabian, N. and Greenspan, J.S. (1992) The Identification and Tracking of Candida albicans Isolates from Oral Lesions in HIV-Seropositive Individuals. Journal of Acquired Immune Deficiency Syndromes, 5, 1039-1046.
[18] Cannon, R.D., Holmes, A.R., Mason, A.B. and Monk, B.C. (1995) Oral Candida: Clearance, Colonization, or Candidiasis? Journal of Dental Research, 74, 1152-1161.
https://doi.org/10.1177/00220345950740050301
[19] Welsh, J. and McClelland, M. (1990) Fingerprinting Genomes Using PCR with Arbitrary Primers. Nucleic Acids Research, 18, 7213-7218.
https://doi.org/10.1093/nar/18.24.7213
[20] Williams, J.G.K., Kubelik, A.R., Livak, K.J., Rafalski, J.A. and Tingey, S.V. (1990) DNA Polymorphisms Amplified by Arbitrary Primers Are Useful as Genetic Markers. Nucleic Acids Research, 18, 6531-6535.
https://doi.org/10.1093/nar/18.22.6531
[21] Fukatsu, A., Tsuzukibashi, O., Suzuki. H., Asaka, K., Ono, Y., Fuchigami, M., Kobayashi, T., Uchibori, S., Takahashi, Y., Komine, C., Konishi, Y., Ogura, Y., Omori, H., Wakami, M., Murakami, H. and Fukumoto, M. (2021) One-Step Multiplex PCR for Simultaneous Detection and Identification of Eight Medically Important Candida Species. Open Journal of Stomatology, 11, 14-24.
https://doi.org/10.4236/ojst.2021.111002
[22] Soares, C.M., Madlun, E.E., Da Silva, S.P., Pereira, M. and Felipe, M.S. (1995) Characterization of Paracoccidioides brasiliensis Isolates by Random Amplified Polymorphic DNA Analysis. Journal of Clinical Microbiology, 33, 505-507.
https://doi.org/10.1128/jcm.33.2.505-507.1995
[23] Song, E.S., Shin, J.H., Jang, H.C., Choi, M.J., Kim, S.H., Bougnoux, M.E., D’Enfert, C. and Choi, Y.Y. (2014) Multilocus Sequence Typing for the Analysis of Clonality among Candida albicans Strains from a Neonatal Intensive Care Unit. Medical Mycology, 52, 653-658.
https://doi.org/10.1093/mmy/myu028
[24] Tsai, M.H., Wang, S.H., Hsu, J.F., Lin, L.C., Chu, S.M., Huang, H.R., Chiang, M.C., Fu, R.H., Lu, J.J. and Huang, Y.C. (2015) Clinical and Molecular Characteristics of Bloodstream Infections Caused by Candida albicans in Children from 2003 to 2011. Clinical Microbiology and Infection, 21, 1018.e1-1080.e8.
https://doi.org/10.1016/j.cmi.2015.06.024
[25] Slots, J., Liu, Y.B., Di Renzo, J.M. and Chen, C. (1993) Evaluating Two Methods for Fingerprinting Genomes of Actinobacillus actinomycetemcomitans. Oral Microbiology and Imunology, 8, 337-343.
https://doi.org/10.1111/j.1399-302X.1993.tb00608.x
[26] Preus, H.R., Haraszthy, V.I., Zambon, J.J. and Genco, R.J. (1993) Differentiation of Strains of Actinobacillus actinomycetemcomitans by Arbitrarily Primed Polymerase Chain Reaction. Journal of Clinical Microbiology, 31, 2773-2776.
https://doi.org/10.1128/jcm.31.10.2773-2776.1993
[27] Cliff, P.R., Sandoe, J.A., Heritage, J. and Barton, R.C. (2008) Use of Multilocus Sequence Typing for the Investigatioin of Colonisation by Candida albicans in Intensive Care Unit Patients. Journal of Hospital Infection, 69, 24-32.
https://doi.org/10.1016/j.jhin.2008.02.006
[28] Bliss, J.M., Basavegowda, K.P., Watson, W.J., Sheikh, A.U. and Ryan, R.M. (2008) Vertical and Horizontal Transmission of Candida albicans in Very Low Birth Weight Infants Using DNA Fingerprinting Techniques. The Pediatric Infectious Disease Journal, 27, 231-235.
https://doi.org/10.1097/INF.0b013e31815bb69d
[29] Lupetti, A., Tavanti, A. and Davini, P. (2002) Horizontal Transmission of Candida parasilosis Candidemia in a Neonatal Intensive Care Unit. Journal of Clinical Microbiolology, 40, 2363-2369.
https://doi.org/10.1128/JCM.40.7.2363-2369.2002

Copyright © 2025 by authors and Scientific Research Publishing Inc.

Creative Commons License

This work and the related PDF file are licensed under a Creative Commons Attribution 4.0 International License.