Traumatic Rupture of the Diaphragm: Retrospective Study of 27 Cases Operated in Three Hospitals in Yaoundé (Cameroon)

Abstract

Background: Traumatic ruptures of the diaphragm (TRD) are serious lesions that are often part of polytrauma. They pose a real diagnostic and therapeutic challenge in a disadvantaged environment such as ours. Methods: We conducted a descriptive observational study covering a period of 11 years in 3 referral hospitals in the city of Yaoundé (Cameroon). All patients who had undergone surgery for a traumatic rupture of the diaphragm between January 1, 2011 and December 31, 2020, and whose outcome within 30 days of surgery was known were included. Results: A total of 27 patients were collected. Their mean age was 36.4 ± 19.7 years. There was a strong male predominance with 22 cases (81.5%). The TRD occurred mainly after an assault (n = 9, 33.3%), was mainly on the left side (n = 25, 92.6%) and was most often part of a polytrauma (n = 17, 62.9%). The lesions associated with TRD were mainly visceral (n = 11) and bony (n = 6). The diagnosis was made preoperatively in only 13 patients (48.1%). The average length of the diaphragmatic breach was 6.4 ± 4.5 cm and a simple suture was most often used for the repair (26 cases or 96.3%). Four osteosynthesis procedures were performed at the same time as the diaphragmatic repair. The morbidity rate was 51.9%, with surgical site infection as the main complication. Six deaths (22.2%) were recorded; septic shock was the main etiology (n = 4). Conclusion: The hospital incidence of TRD remains low in our context. These lesions remain associated with significant morbidity and mortality and require a multidisciplinary approach.

Share and Cite:

Bang, G. , Motto, G. , Yamben, M. , Chappi, C. , Chopkeng, J. , Biwole, D. and Nonga, B. (2022) Traumatic Rupture of the Diaphragm: Retrospective Study of 27 Cases Operated in Three Hospitals in Yaoundé (Cameroon). Surgical Science, 13, 207-215. doi: 10.4236/ss.2022.134026.

1. Introduction

Diaphragm rupture (DR) is a serious and potentially life-threatening injury [1]. Rarely isolated, they most often occur as part of a polytrauma [2]. TRD may follow an abdominal contusion in 1% to 7% or a thoracoabdominal wound in 10 to 15% [2] [3]. Acute TRD can be difficult to diagnose and because it is often associated with life-threatening injuries to other organs, injury to the diaphragm is considered a marker of severe trauma [4] [5]. The treatment of TRD is surgical. Postoperative mortality for this lesion is between 5% and 18% [5] [6].

Although many studies in sub-Saharan Africa are available on this subject [1] [7] [8], data on TRD are poor and old in our country, Cameroon [9] [10]. Hence, the interest of this study aims to update the data on RTD in our country.

2. Patients and Methods

This was a descriptive observational study with retrospective data collection. It took place in three referral hospitals in the city of Yaoundé (capital of Cameroon): the Yaoundé University Hospital, the Yaoundé Central Hospital, and the Yaoundé Emergency Centre. We included the records of all patients who underwent surgery for a traumatic rupture of the diaphragm between January 1, 2011 and December 31, 2020, and whose outcome was known within 30 days of surgery. The data was collected using a previously established survey form. The study variables were: socio-demographic characteristics of the patients, mechanism and type of injury, surgical technique and postoperative outcome within 30 days of surgery.

Ethical clearance was obtained from the ethics and research committee of the Faculty of Medicine and Biomedical Sciences of the University of Yaoundé I. Study authorisations were obtained from the administrative services of the various health facilities.

Data analysis was conducted using IBM SPSS software for Windows, version 23.0 (IBM Corp., Armonk, N.Y., USA). Means ± standard deviations were calculated for continuous variables and categorical variables were reported using absolute values and percentages. Postoperative complications were classified according to CLAVIEN-DINDO [11].

3. Results

We collected 27 patients, of whom 22 (81.5%) were male. Their average age was 36.4 ± 19.7 years with extremes ranging from 2 to 75 years.

The TRD was the result of an assault in 9 cases (33.3%), a brawl in 7 cases (25.9%), a traffic accident in 7 cases (25.9%) and a work accident in 4 cases (14.8%). Most of the TRDs were the result of a penetrating wound (16 cases, i.e. 59.3%); in the remaining cases, the injury was contusion.

In the 11 cases of contusion, the trauma was strictly thoracic in 5 cases (45.5%), strictly abdominal in 4 cases (36.4%) and thoracoabdominal in 2 cases (18.1%). In the 16 cases of penetrating wounds, the invading agent was a stab wound in 12 cases (75%) and an arrow in 4 cases (25%, Figure 1). The TRD was on the left in 25 cases (92.6%), on the right in one case (3.7%) and bilateral in one case (3.7%).

In 17 cases (62.9%), the TRD was part of a polytrauma. The most frequent associated lesions (Table 1) were digestive (n = 11) and bone (n = 6). The most frequent visceral injury was a splenic wound (n = 5). Among the bone injuries, 4 were surgically indicated (66.67%): 3 diaphyseal fractures of the humerus and one disjunction of the symphysis pubis.

Figure 1. Penetrating thoracoabdominal wound with arrow.

Table 1. Injuries associated with traumatic diaphragm rupture.

The clinical presentation (Table 2) was dominated by haemodynamic instability in 24 patients (88.9%), dyspnoea in 22 patients (81.5%) and abdominal pain in 21 patients (77.8%).

After the first resuscitation measures were made, only 9 patients were able to perform thoracoabdominal scan (33.3%). Standard X-rays (Figure 2) were performed in 18 patients (66.6%) and abdominal ultrasound in 15 patients (55.5%). The diagnosis was made preoperatively in only 13 patients (48.1%).

All patients were operated on under general anaesthesia with orotracheal intubation. All patients were operated on by laparotomy; in 3 cases (11.1%), this laparotomy was associated with a left posterolateral thoracotomy. In 21 cases (77.7%), the intra-thoracic ascension of intra-abdominal viscera was found. The

Table 2. Signs and symptoms of patients with traumatic diaphragm rupture.

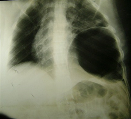
Figure 2. Chest X-ray showing left diaphragmatic hernia.

most frequently herniated organ was the stomach (n = 15); it was associated with the colon in 9 cases and the spleen in 4 cases. In 7 cases (25.9%), there was perforation of the herniated organ. The mean length of the diaphragmatic rupture was 6.4 ± 4.5 cm. The diaphragmatic rupture was repaired with simple sutures in 26 cases (96.3%). The suture was made with an absorbable thread in 16 cases (61.5%). An overlock suture was used in 18 cases (69.2%) and separate stitches in 8 cases (29.7%). A prosthetic cure was performed in one case. Thoracic drainage was performed in all cases.

Patients with fractures (except rib fractures) were operated on at the same time as the diaphragmatic surgery, in the context of simultaneous multidisciplinary management by several teams. Bone fractures were treated with screw plate osteosynthesis in all cases of humerus fractures and with a 4.5 mm reconstruction plate in pubic disjunction. The approaches used for the humerus were anterolateral. For the pubic symphysis, the approach was laparotomy previously performed for diaphragmatic surgery.

Within 30 days of surgery, fourteen patients (51.9%) developed complications and six (22.2%) died. The main complication was surgical site infection (n = 7) and the main cause of death was septic shock from mediastinitis (n = 4). The other two causes of death were cardiac tamponade (n = 1) and hypovolaemic shock (n = 1). Table 3 shows the main postoperative complications.

4. Discussion

Our study confirms the low hospital incidence of TRD in Africa with 2.7 cases operated per year. Indeed, previous African studies have reported annual hospital incidences ranging from 0.8 to 2 cases [8] [10]. As in most series [6] [8] [10] [12], TRD predominantly affects young male adults.

The main occurrence of TRD in our study was personal violence with assaults and fights. This predominance of assaults in the occurrence of TRD had already been highlighted in our context [10] but also in some developed countries [6]. However, these injuries are mostly the result of public road accidents [13] [14], which explain the high proportion of polytraumatized subjects. Paradoxically, in our study, we found 62.9% of patients with polytrauma. This result could be explained by the predominance of diaphragmatic wounds in our study (16 cases out of 27) leading to several visceral, pulmonary or cardiac lesions. In an unfavourable environment such as ours, with numerous technical limitations, the

Table 3. Postoperative complications according to Clavien-Dindo classification.

management of these patients is therefore a real challenge for the teams of carers. This is underlined by the fact that only 33.3% of our patients were able to undergo a thoracoabdominal CT scan before their surgery.

However, the diagnosis of TRD remains difficult to make and was made preoperatively in only 48.1% of our patients. It has been reported in a developed setting that, 43.5% of cases of diaphragmatic rupture were diagnosed pre surgically, 41.4% during surgery or autopsy, and 14.6% post surgically [15]. Diagnosis depends on a high index of suspicion, careful examination of the chest x-ray or CT scan in patients with thoracoabdominal or polytrauma, and systematic inspection of the diaphragm when operating for concurrent injuries [15]. According to the literature [16], 92.6% of the TRDs in our series were on the left side. Possible explanations are: the liver buffered external forces applied to the abdomen or flank and delivered to the diaphragm through the intra-abdominal organs, the diaphragm is naturally stronger on the right side than on the left side, and the detection of diaphragmatic rupture on the right side is more difficult than detection on the left side [16].

The diaphragmatic breach was mostly repaired by laparotomy. Indeed, this approach seems to us to be sufficient to reduce the often associated diaphragmatic hernia, treat the associated visceral digestive injuries and close the diaphragmatic breach. Most studies support this approach [6] [8] [10] [14] [15] [16] [17] although the thoracic approach has been used in several series [12]. If the diaphragmatic rupture is diagnosed as a chronic condition, surgery through should be considered [12].

Fractures were found in 22.2% of our patients. This lesion association with TRDs requires a multidisciplinary approach for better management. Fractures occurring in the context of a polytrauma are essentially dependent on surgical treatment due to the surgical indication of associated vital lesions. The initial emergency management of these patients is based on rapid medical resuscitation and Damage Control Surgery. The aim is to restore normovolaemia, repair vital lesions and temporarily stabilise these fractures; definitive bone interventions are deferred [18] [19]. For other authors, one-stage management is possible provided that rapid osteosynthesis is preferred [20] [21] [22]. Screw plate osteosynthesis of the pubic symphysis was possible in one stage using the laparotomy already performed for diaphragmatic repair. Alternative measures, but not applicable in this case, would have been pelvic lacing or external fixation [18] [19] [20]. Diaphyseal fractures of the humerus can be treated orthopedically even in adults. However, their occurrence in polytrauma patients is an indication for surgical treatment [23] [24] [25]. The choice is therefore limited to the fixation technique, the main ones being external fixation [24] (reserved for open and comminuted fractures), closed pinning [25] (which requires an image intensifier) and plate osteosynthesis [23] [24] [25], which is preferred because of its regular use.

The morbidity rate in this study (51.9%) is higher than in other African studies where it varies from 9.7% to 10% [8] [26]. This could be explained by the fact that in 25.9% of the cases, the organ herniated through the diaphragmatic breach was perforated. The main complication was surgical site infection and mediastinitis was the cause of 4 of the 6 patients who died. This could be due to a delay in management, which we were unable to assess in this work. Another reason may be the high prevalence of knife use in our series with a higher risk of visceral perforation, and abdominal, pleural or mediastinal septic contamination.

The main limitation of this work is the retrospective recruitment method. However, its multicentric nature allows us to have results representative of our population.

5. Conclusion

The hospital incidence of TRD is low in our context and their preoperative diagnosis is a challenge. The management of these patients, often polytraumatized, is a challenge for low-income countries like ours. The morbi-mortality linked to this pathology is important in our context and it is mainly due to septic complications.

Conflicts of Interest

The authors declare no conflicts of interest regarding the publication of this paper.

References

[1] Choua, O., Moussa, K.M., Aboulghassim, O., Sadié, I.G., Mantou, B., Kambel, D., et al. (2019) Les traumatismes diaphragmatiques à l’Hôpital General de reference Natioanle de N’djamena: A propos de 26 cas. RECAC, 3, 30-33.
[2] Favre, J.P. (2005) Traitement chirurgical des ruptures traumatiques du diaphragme. EMC Chirurgie, 2, 242-251.
[CrossRef
[3] Abdellatif, W., Chow, B., Hamid, S., Khorshed, D., Khosa, F., Nicolaou, S., et al. (2020) Unravelling the Mysteries of Traumatic Diaphragmatic Injury: An Up-to-Date Review. Canadian Association of Radiologists Journal, 71, 313-321.
[CrossRef] [PubMed]
[4] Fair, K.A., Gordon, N.T., Barbosa, R.R., Rowell, S.E., Watters, J.M. and Schreiber, M.A. (2015) Traumatic Diaphragmatic Injury in the American College of Surgeons National Trauma Data Bank: A New Examination of a Rare Diagnosis. The American Journal of Surgery, 209, 864-868.
[CrossRef] [PubMed]
[5] Hanna, W.C., Ferri, L.E., Fata, P., Razek, T. and Mulder, D.S. (2008) The Current Status of Traumatic Diaphragmatic injury: Lessons Learned from 105 Patients over 13 Years. The Annals of Thoracic Surgery, 85, 1044-1048.
[CrossRef] [PubMed]
[6] Senturk, M., Cakir, M., Akbulut, M.A. and Yesildag, K. (2021) Approach to Traumatic Diaphragm Injuries: Single Center Experience. Journal of Acute Medicine, 11, 18-21.
[7] Dembélé, B.T., Togo, A., Traoré, A., Sidibé, Y., Konaté, M., Traoré, A.A., et al. (2017) Rupture traumatique du diaphragme au CHU Gabriel Touré de Bamako, Mali. Revue africaine de chirurgie et de spécialités, 11, 17-21.
[8] Soro, K.G., Coulibaly, A., Konan, K.J., Koffi, G., Assohounk, K., Ehau, S.F., et al. (2005) Les traumatismes du diaphragme en urgence clinique et thérapeutique: À propos de 31 cas au Chu de Popougon. Journal de la Recherche Scientifique de l’Université de Lomé, 7.
[CrossRef
[9] Takongmo, S., Amvene, S.N., Juimo, A.G., Nkam, M. and Malonga, E. (1993) Les hernies diaphragmatiques post-traumatiques. A propos de trois observations récentes. Médecine d’Afrique noire électronique, 40, 42-46.
[10] Ngo-Nonga, B., Farikou, I., Fouda, P.J., Pisoh, C.T., Bahebeck, J. and Nkam, M., et al. (2011) Diaphramatic Injuries: A Frequent Missed Diagnosis in a Low Income Country. East African Medical Journal, 88, 171-173.
[11] Dindo, D., Demartines, N. and Clavien, P.A. (2004) Classification of Surgical Complications: A New Proposal with Evaluation in a Cohort of 6336 Patients and Results of a Survey. Annals of Surgery, 240, 205-213.
[CrossRef] [PubMed]
[12] Hwang, S.W., Kim, H.Y. and Byun, J.H. (2011) Management of Patients with Traumatic Rupture of the Diaphragm. Korean Journal of Thoracic and Cardiovascular Surgery, 44, 348-354.
[CrossRef] [PubMed]
[13] Ties, J.S., Peschman, J.R., Moreno, A., Mathiason, M.A., Kallies, K.J., Martin, R.F., et al. (2014) Evolution in the Management of Traumatic Diaphragmatic Injuries: A Multicenter Review. The Journal of Trauma and Acute Care Surgery, 76, 1024-1028.
[CrossRef
[14] Adegboye, V.O., Ladipo, J.K., Adebo, O.A. and Brimmo, A.I. (2002) Diaphragmatic injuries. African Journal of Medicine and Medical Sciences, 31, 149-153.
[15] Shah, R., Sabanathan, S., Mearns, A.J. and Choudhiry, A.K. (1995) Traumatic Rupture of the Diaphragm. The Annals of Thoracic Surgery, 60, 1444-1449.
[CrossRef
[16] Wiencek, R.G., Jr Wilson, R.F. and Steger, Z. (1986) Acute Injuries of the Diaphragm: An Analysis of 165 Cases. The Journal of Thoracic and Cardiovascular Surgery, 92, 989-993.
[CrossRef
[17] Desforges, G., Strieder, J.W., Lynch, J.P., et al. (1957) Traumatic Rupture of Diaphragm. Journal of Thoracic Surgery, 34, 779-799.
[CrossRef
[18] Pape, H.C., Giannoudi, P. and Krettek, C. (2002) The Timing of Fracture Treatment in Polytrauma Patients: Relevance of Damage Control Orthopedic Surgery. The American Journal of Surgery, 183, 622-629.
[CrossRef
[19] Guerado, E., Bertrand, M.L., Cano, J.R., Cerván, A.M. and Galán, A. (2019) Damage Control Orthopaedics: State of the Art. World Journal of Orthopedics, 10, 1-13.
[CrossRef] [PubMed]
[20] Kam, C.W., Lai, C.H., Lam, S.K., So, F.L., Lau, C.L. and Cheung, K.H. (2010) What Are the Ten New Commandments in Severe Polytrauma Management? World Journal of Emergency Medicine, 1, 85-92.
[21] Enninghorst, N., Toth, L., King, K.L., McDougall, D., Mackenzie, S. and Balogh, Z.J. (2010) Acute Definitive Internal Fixation of Pelvic Ring Fractures in Polytrauma Patients: A Feasible Option. The Journal of Trauma and Acute Care Surgery, 68, 935-941.
[CrossRef
[22] Guifo, M.L., Yamben, M.A.N., Ibrahima, F., Ngongang, F.O., Atemkeng, T.F., Fodjeu, G., et al. (2018) Traitement chirurgical des fractures du bassin au CHU de Yaoundé: analyse rétrospective de 13 cas. Revue de Chirurgie Orthopédique et Traumatologique, 104, 632-637.
[CrossRef
[23] Nowak, L.L., Dehghan, N., McKee, M.D. and Schemitsch, E.H. (2018) Plate fixation for management of humerus fractures. Injury, 49, S33-S38.
[CrossRef
[24] Carroll, E.A., Schweppe, M., Langfitt, M., Miller, A.N. and Halvorson, J.J. (2012) Management of Humeral Shaft Fractures. Journal of the American Academy of Orthopaedic Surgeons, 20, 423-433.
[CrossRef
[25] Changulani, M., Jain, U.K. and Keswani, T. (2007) Comparison of the Use of the Humerus Intramedullary Nail and Dynamic Compression Plate for the Management of Diaphyseal Fractures of the Humerus. A Randomised Controlled Study. International Orthopaedics, 31, 391-395.
[CrossRef] [PubMed]
[26] Thiam, O., Konate, I., Gueye, M.L., Toure, A.O., Seck, M., Cisse, M., et al. (2016) Traumatic Diaphragmatic Injuries: Epidemiological, Diagnostic and Therapeutic Aspects. SpringerPlus, 5, Article No. 1614.
[CrossRef] [PubMed]

Copyright © 2026 by authors and Scientific Research Publishing Inc.

Creative Commons License

This work and the related PDF file are licensed under a Creative Commons Attribution 4.0 International License.