Study on the Protective Mechanism of Acupuncture Regulating ICAM-5 mRNA Expression in Rats with Ischemic Stroke

Abstract

Objective: The objective is to investigate whether acupuncture can protect brain by regulating the expression of ICAM-5 mRNA in brain tissue. Methods: Male SD rats were used to construct a middle cerebral artery occlusion reperfusion injury (Middle cerebral artery occlusion, MCAO) model, and the rats were randomly divided into 4 groups, namely the normal group (group A) and the sham operation group (group B), MCAO group (group C), MCAO + acupuncture group (group D); real-time fluorescent quantitative PCR (RT-qPCR) was used to detect the expression of ICAM-5 mRNA in the brain tissue of the ischemic area, and HE staining and TUNEL were used to detect the level of neuronal apoptosis to evaluate the therapeutic effect. Results: Acupuncture can improve neuronal morphology and reduce neuronal apoptosis in rats with ischemic stroke. RT-qPCR: compared with group A and group B, the expression level of ICAM-5 mRNA in the brain tissues of group C and group D decreased, while compared with group C, The expression of ICAM-5 mRNA in the brain tissue of group D was significantly up-regulated (P < 0.05). There was no statistical difference between group A and group B (P > 0.05). Conclusion: The effectiveness of acupuncture in the treatment of ischemic stroke may achieve neuroprotection by up-regulating the expression level of ICAM-5 mRNA.

Share and Cite:

Shen, Y. , Xie, X. , Bai, X. , Bai, H. , Chang, X. , Tang, Y. and Li, Q. (2021) Study on the Protective Mechanism of Acupuncture Regulating ICAM-5 mRNA Expression in Rats with Ischemic Stroke. Journal of Behavioral and Brain Science, 11, 313-321. doi: 10.4236/jbbs.2021.1112026.

1. Introduction

Stroke is the second leading cause of death in adults after cancer worldwide, and it is also the main cause of adult disability. Up to 87% of global stroke is attributed to ischemic stroke, which is a serious hazard to human health [1] [2]. The pathophysiology of ischemic stroke is extremely complex and involves multiple processes. Its occurrence is due to the disorder of brain blood supply and the decrease of cerebral blood flow below the critical level, resulting in insufficient delivery of oxygen and glucose, which triggers a series of pathophysiological events after acute stroke, mainly including energy failure, excitotoxicity, destruction of blood-brain barrier, inflammation and apoptosis, Eventually, it will lead to irreversible neuronal death [3] [4] [5]. Intercellular adhesion molecule-5 (ICAM-5) is a member of the immunoglobulin superfamily of adhesion molecules, which is expressed only on the surface of nerve cells. It plays an important role in promoting neuronal growth, nourishing nerves, and anti-neuronal apoptosis. It has a protective effect on neurons under the condition of ischemia and hypoxia [6] [7]. Guo et al. found that the level of ICAM-5 decreased in the brain tissue of the ischemic area of mice [8]. Through cell experiments, Zhou showed that the expression of ICAM-5 could be inhibited in the hypoxic-ischemic environment, and the expression of ICAM-5 protein has a neuroprotective effect in the hypoxic-ischemic environment, which can reduce the apoptosis caused by ischemia and hypoxia and promote cell survival [9].

Studies have shown [10] [11] that acupuncture is an effective means of traditional Chinese medicine in the treatment of ischemic stroke. It has a good effect on anti-oxidative stress and brain protection. It can save the necrotic neurons around the ischemic penumbra and promote the recovery of nerve function after injury. It works by improving blood flow in ischemic regions of the brain, inhibiting inflammatory processes, promoting central nervous system and cell proliferation of the central nervous system, and fighting apoptosis. Therefore, this study takes ischemic stroke rats as the research carrier, selects the classic MCAO model, observes the effects of acupuncture on neuronal morphology, neuronal apoptosis and ICAM-5 mRNA expression in brain tissue after ischemic stroke, and discusses the mechanism of acupuncture in the treatment of ischemic stroke, so as to provide the scientific theoretical basis for clinical and research workers.

2. Materials and Methods

2.1. Material

2.1.1. Animals

Adult male SD rats of SPF-grade, with a bodyweight of 250 ± 30 g were selected, and they were adaptively fed for 1 week before the experiment. Animals were provided by the Animal Experiment Center of Xi’an Jiaotong University, license No.: SCXK (Shaanxi) 2018-001. It was raised in the Central Laboratory of Shaanxi University of traditional Chinese medicine. All operations were carried out in strict accordance with the guiding principles of China Ethics Committee on Animal Research.

2.1.2. Main Reagents and Instruments

HE staining solution (Zhuhai Besso BASO BA4025); TUNEL, DAPI staining solution (AR1177); Tunel apoptosis kit-FITC (MK1018); TBS buffer (AR0031); anti-fluorescence quenching PVP mounting solution (AR0036), The above reagents were purchased from Boster Bio; PCR, Trizol reagent (Invitrogen, United States, 15596018); Loading buffer (Shanghai Vitro Biotechnology Co., Ltd., WH1192); First-strand cDNA synthesis kit (Invitrogen, United States, K1622); qRT-PCR primers (QIAGEN, Germany, 208052); incubator (Sanyo, Japan, MIR-262); fluorescence microscope light microscope (Olympus, Japan, BX51); purchase of full-wavelength microplate reader (ThermoFisher, USA, Mutiskan GO), gradient PCR instrument (ThermoFisher, USA, Veriti DX); gel imaging system (Shanghai Tianneng Technology Co., Ltd., GIS-1600); fluorescence quantitative PCR instrument (Roche, Switzerland, Roche480II Real Time PCR System).

2.2. Method

2.2.1. Preparation and Evaluation of Ischemic Stroke Model

The modified middle cerebral artery suture method was used to prepare an ischemic stroke model [12]. The specific method was as follows: The method was as follows: the rats were anesthetized by intraperitoneal injection of 10% chloral hydrate (3.5 mL/kg), the skin was incised along the anterior median line of the neck, and the common carotid artery, internal carotid artery and external carotid artery were bluntly separated, the proximal end of common carotid artery was ligated, the external carotid artery was ligated near the bifurcation of common carotid artery, and the distal end of the internal carotid artery was ligated with a clip, then cut a “V”-shaped incision near the bifurcation of the common carotid artery, insert the thread through the incision, release the artery clamp, and slowly push it toward the direction of the internal carotid artery into the skull, until it is about (18.0 ± 0.5) mm away from the bifurcation of the common carotid artery and feel resistance. Stop the insertion of the thread, pull off the thread plug after 1 hour of ischemia, and suture the neck wound. After the animal was naturally awakened, the neurological disorder was evaluated according to Zea-Longa’s [13] 5-level 4-point scoring standard. Grade 0 (0 points) no neurological loss; Grade 1 (1 point) the contralateral forelimb cannot fully extend; Grade 2 (2 points) circular movement to the contralateral side, mild focal neurological loss; Grade 3 (3 points) Dumping to the side of hemiplegia, moderate focal neurological loss; grade 4 (4 points) unable to walk naturally, loss of consciousness. The sign of the success of the model is that the experimental rats have a Longa score of 1-3 points and no subarachnoid hemorrhage after awakening.

2.2.2. Acupuncture Treatment Method and Grouping

A total of 92 rats were recruited. A total of 12 rats died during or after the operation and failed to make the model. The rest were divided into group A (n = 10), group B (n = 24), group C (n = 23) and group D (n = 23) according to the block randomization method.

Group A: normal feeding, no intervention;

Group B: only the common carotid artery, external carotid artery and internal carotid artery were separated, without ligation and thread insertion. The other operations were the same as those in group C;

Group C: ischemic stroke Model was established by modified middle cerebral artery occlusion (see 2.2.1 for details);

Group D: on the basis of successful modeling, acupuncture was given;

The acupoint location and operation were referred to the rat acupoint atlas developed by Hua Xingbang et al. [14], the acupoints of “Baihui”, “Fengchi”, “Quchi”, “Hegu”, “Zusanli”, “Yinlingquan” and “Sanyinjiao” were selected. All acupuncture operations were performed by acupuncturists who had received unified training. The acupuncture needle is a disposable sterile Huatuo brand acupuncture needle produced by Suzhou Medical Products Factory, the specification is 0.40 mm × 13 mm, the execution standard No. GB2024-1994; Operation method: routine disinfection of acupoints, using the method of flat-reinforcing, flat-reducing, once a day, the needle is kept for 30 minutes every time, the needle is executed once for 15 minutes, treatment started on the 2nd day after successful modeling as shown in Figure 1, 5 days was a course of treatment, rest for 2 days after one course of treatment, and then carry out the next course of treatment, a total of 2 courses of treatment as shown in Figure 2. Rats in the non-acupuncture group were fed routinely until the end of the acupuncture course prescribed in Group D.

Figure 1. After molding.

Figure 2. Treatment.

2.2.3. Indicators and Methods

1) HE staining

The rats were perfused with 4% paraformaldehyde solution through the heart, about 100 mL. after the muscles of the limbs twitched and stiffened, the ischemic penumbra tissue of the cerebral cortex was taken, fixed in 4% paraformaldehyde overnight, and embedded and sectioned in conventional paraffin (thickness 8) μm). Paraffin section, Dewaxing to water: put the slices into xylene I, II, 20 minutes each; absolute alcohol I, II, 75% alcohol, 5 minutes each; rinse with tap water and then dry. Hematoxylin was dipped in water for 3 minutes, and then the alcohol solution differentiated for 2 seconds after washing, and dried after washing. Eosin staining was done for 1 s, and 100% alcohol was dehydrated for 2 s after washing for 3 s. Finally, the film is sealed with neutral gum. The infarct was observed and photographed under ordinary light microscope.

2) TUNEL

Paraffin sections of brain tissue were taken and routinely dewaxed to water. Freshly diluted protein K was added to the specimen, digested at room temperature for 10 min, and washed with 0.01 M TBS for 5 min × 3 times; Labeling buffer was added to the specimen to keep the slices moist. Place it in the sample wet box, mark it at 37˚C for 2 h, and wash it with 0.01 M TBS for 5 min × 3 times; Drip the blocking solution, incubate at 37˚C for 30 min, shake off the blocking solution and do not wash; Dilute biotinylated anti digoxin antibody with antibody diluent 1:100, mix well and add it to the specimen. Place it in the sample wet box, mark it at 37˚C for 2 h, and wash it with 0.01 M TBS for 5 min × 3 times; Dilute sabc-fitc with antibody diluent 1:100, mix well, add it to the section, react at 37˚C for 30 min, and wash with 0.01 M TBS for 5 min × 4 times; DAPI staining solution was dyed at room temperature for 3 min and washed with distilled water. Anti-Fluorescence Quenching Mounting Tablet Mounting Researchers who were unaware of the grouping used a 400 fold fluorescence microscope to randomly observe 2 - 3 different visual fields in each section.

3) Real-time quantitative PCR

The total RNA was extracted according to the TRIZOL reagent instructions, and loaded on ice using the First Strand cDNA synthesis Kit (Invitrogen K1622) reverse transcription kit. Take the above reverse transcription product to PCR amplify ICAM-5: sense: 5’-CTCATCCGAACTTTCCAGCG-3’, antisense: 5’-CAAGGTCAATGTGAGGCTCG-3’, and the length of the amplified product is 135 bp. The internal reference β-actin primer sequence: sense: 5’-CTAAGGCC AACCGTGAAAAG-3’, antisense: 5’-TACATGGCTGGGGTGTTGA-3’, and the length of the amplified product is 64 bp. PCR amplification used a 10 μL reaction system (including 1.5 μL H2O, 5 μL 2 × SYBGEEN PCR mix, 1 μL Primer, 2.5 μL cDNA), and the reaction conditions were: denaturation 95˚C, 2 min, annealing 95˚C, 5 s, extension 60˚C, 10 s The reaction is carried out for 45 cycles. After the PCR reaction is completed, the PCR reaction solution is slowly heated from 60˚C to 95˚C to obtain the melting curve. The transcription level of ICAM-5 was quantified by the cycle threshold (Ct) method, and the result was normalized by the ratio to β-actin.

2.3. Statistical Methods

The experimental data obtained were analyzed by SPSS25.0 statistical software. All measurement data were expressed by mean ± standard deviation ( x ¯ ± S ). The comparison between groups was performed by one-way analysis of variance. P < 0.05 indicates that the difference is statistically significant.

3 Results

3.1. Effect of Acupuncture on Morphology and Apoptosis of Neurons in Ischemic Stroke Rats

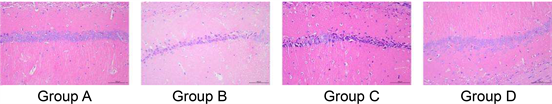
1) HE staining results show: at high magnification (×200), the brain structure of rats in Group A and Group B was clear and complete, the arrangement and morphology of nerve cells were normal, the membrane was intact, the cytoplasm was abundant and the nucleolus was clear, compared with Group A, in Group C, there were obvious ischemic and infarct foci in the brain, the structure of the neurons in the brain was changed obviously, the intercellular space was enlarged, the cell body was swollen and deformed, the arrangement was disordered, the nucleolus became shallow or absent, and the pathological changes were obvious, in Group D, there were normal and necrotic cells intermingled with each other, the outline of cells was clear, only a few cells were out of order, and the morphology of cells was improved significantly (Figure 3).

2) TUNEL staining results: as shown in Figure 4, almost no apoptotic cells were found in the cerebral cortex of rats in Group A and group B (P > 0.05); Compared with Group B, the apoptosis of nerve cells in Group C was significantly increased, and compared with Group C, the apoptosis of nerve cells in Group D was significantly reduced (P < 0.05).

Figure 3. HE staining of neurons in brain tissue of rats in each group (×200).

Figure 4. Apoptosis in brain tissue of rats in each group was detected by TUNEL staining.

3.2. Effect of Acupuncture on ICAM-5 Gene Transcription Level in Ischemic Brain Tissue of Stroke Rats

The expression of ICAM-5 mRNA was detected by RT-qPCR. The results showed that there was no significant difference in the expression level of ICAM-5 mRNA between Group A and Group B (P > 0.05); The expression level of ICAM-5 mRNA in Group C and D was lower than that in Group A and Group B, but the expression level of ICAM-5 mRNA in Group D was significantly higher than that in Group C (P < 0.05) (Figure 5).

Figure 5. Relative expression of ICAM-5 mRNA in ischemic brain tissue of rats in each group.

4. Discussion

The pathological mechanism of ischemic stroke is very complicated, in which apoptosis plays a crucial role in the occurrence and development of ischemic stroke. Therefore, inhibiting apoptosis through neuroprotective therapy is an important target for the treatment of ischemic brain injury. Studies have confirmed the neuroprotective effect of acupuncture on ischemic brain injury.At the same time, ICAM-5 has been found to be involved in the pathophysiological process of stroke, it can protect neurons under the condition of ischemia and hypoxia.

This study found that He staining showed that there were signs of nerve cell necrosis in the ischemic side of brain tissue in Group C, and the range of deformed and necrotic tissue in Group D was smaller and less severe than that in Group C; TUNEL showed that there were almost no apoptotic cells in the cerebral cortex of rats in Group A and Group B; Compared with Group A and Group B, the apoptosis of nerve cells in Group C and Group D increased significantly, and the apoptosis of nerve cells in Group D decreased significantly compared with Group C (P < 0.05). This shows that acupuncture can improve the morphology of nerve cells and the degree of neuronal apoptosis in ischemic stroke rats. The results of RT qPCR showed that the expression level of ICAM-5 mRNA in Group C and Group D decreased compared with Group A and Group B, while the expression of ICAM-5 mRNA in Group D was significantly up-regulated compared with Group C (P < 0.05), suggesting that acupuncture can improve the apoptosis of rats with cerebral ischemia-reperfusion injury by regulating the expression level of ICAM-5 with neuroprotective effect in the brain. The results of this study are consistent with those of previous studies [8] [9].

5. Conclusion

To sum up, acupuncture can improve cerebral ischemic injury in rats, and its mechanism may be related to up-regulating the expression of ICAM-5 mRNA, thereby enhancing neuroprotective effect and reducing apoptosis. These results provide new evidence for ICAM-5 to participate in the physiological and pathological process of stroke and provide an objective basis for the efficacy of acupuncture in the treatment of stroke.

Fund Project

Natural Science Foundation of Shaanxi Province (NO. 2020JM-699); Shaanxi University of Traditional Chinese Medicine Project (NO. 2020FS04); Xi’an Municipal Health Commission Project (NO. 2020yb26); Hospital-level Project of Xi’an Traditional Chinese Medicine Hospital (NO. YJ201941); Shaanxi Provincial Administration of Traditional Chinese Medicine Key Specialty in Traditional Chinese Medicine, funded by Shaanxi Traditional Chinese Medicine [2012] No. 55 and other funds.

Conflicts of Interest

The authors declare no conflicts of interest regarding the publication of this paper.

References

[1] Feigin, V.L., Krishnamurthi, R.V., Parmar, P., et al. (2015) Update on the Global Burden of Ischemic and Hemorrhagic Stroke in 1990-2013: The GBD 2013 Study. Neuroepidemiology, 45, 161-176.
[CrossRef] [PubMed]
[2] Amarenco, P., Bogousslavsky, J., Caplan, L.R., et al. (2013) The ASCOD Phenotyping of Ischemic stroke (Updated ASCO Phenotyping). Cerebrovascular Diseases, 36, 1-5.
[Google Scholar] [CrossRef] [PubMed]
[3] Deb, P., Sharma, S. and Hassan, K.M. (2010) Pathophysiologic Mechanisms of Acute Ischemic Stroke: An Overview with Emphasis on Therapeutic Significance beyond Thrombolysis. Pathophysiology, 17, 197-218.
[CrossRef] [PubMed]
[4] Moskowitz, M.A., Lo, E.H. and Iadecola, C. (2010) The Science of Stroke: Mechanisms in Search of Treatments. Neuron, 67, 181-198.
[CrossRef] [PubMed]
[5] Moustafa, R.R. and Baron, J.C. (2008) Pathophysiology of Ischaemic Stroke: Insights from Imaging, and Implications for Therapy and Drug Discovery. British Journal of Pharmacology, 153, S44-S54.
[CrossRef] [PubMed]
[6] Yang, H. (2012) Structure, Expression, and Function of ICAM-5. Comparative and Functional Genomics, 2012, Article ID: 368938.
[CrossRef] [PubMed]
[7] Yang, H.P., Zhang, G.Q., Xie, R.H., et al. (2016) Analysis of Intercellular Adhesion Molecule 5 against Cytarabine Inhibition. Electronic Journal of Integrated Traditional Chinese and Western Medicine Cardiovascular Disease, 4, 75-76.
[8] Guo, H., Tong, N., Turner, T., et al. (2000) Release of the Neuronal Glycoprotein ICAM-5 in Serum after Hypoxic-Ischemic Injury. Annals of Neurology, 48, 590-602.
[CrossRef
[9] Zhou, W.J. (2011) Study on the Protective Effect and Mechanism of Intercellular Adhesion Molecule 5 on Paju Cells in Ischemic and Hypoxic Environment. Central South University, Changsha.
[10] Zhong, J.Q. and Wang, L.C. (2020) Research Progress on the Mechanism of Acupuncture in the Treatment of Ischemic Stroke. Chinese Journal of traditional Chinese medicine, 35, 823-826.
[11] Li, G.D. and Han, Y.S. (2019) Advances in the Study of Neurovascular Unit Mechanism of Acupuncture Treatment of Ischemic Stroke. Acupuncture Research, 44, 863-866.
[12] Liu, X.D., Yang, X.Q., Tang, S., et al. (2019) Effect of Borneol on the Distribution of Compatible Active Components of Astragaloside IV and Panax Notoginseng Saponins in Brain Tissue of Rats with Cerebral Ischemia/Reperfusion. Chinese Herbal Medicine, 50, 1649-1656.
[13] Longa, E.Z., Weinstein, P.R. and Carlson, S., et al. (1989) Reversible Middle Cerebral Artery Occlusion without Craniectomy in Rats. Stroke, 20, 84-91.
[CrossRef
[14] Hua, X.B., Li, Z.R., Zhou, H.L., et al. (1991) Development of Acupoint Atlas of Rats. Experimental Animals and Animal Experiments, No. 1, 1-3.

Copyright © 2025 by authors and Scientific Research Publishing Inc.

Creative Commons License

This work and the related PDF file are licensed under a Creative Commons Attribution 4.0 International License.