Three-Dimensional Printing in Dentistry

Abstract

Introduction: The integration of 3D printing in dentistry is revolutionizing the manufacturing of prosthetics and dental medical devices. This article examines the various applications of 3D printing, particularly in the production of removable and fixed prostheses, as well as its use in endodontics and pediatric dentistry. Materials and Methods: A literature review was conducted using databases such as PubMed and Google Scholar, applying specific keywords and Boolean equations to select relevant studies. Inclusion and exclusion criteria were established to ensure the relevance and quality of the analyzed data. Results: The systematic review analyzed numerous studies on the application of 3D printing in dentistry, covering technologies, materials, and clinical applications. The observed benefits include increased customization, improved clinical outcomes, long-term cost reduction, and better communication with patients. Studies have shown that dental devices produced by 3D printing exhibit better clinical performance and increased accuracy compared to conventional methods. Discussion: The integration of 3D printing in dentistry offers more efficient and personalized solutions. The main advantages are increased accuracy and reduced costs and manufacturing time. However, further research is needed to evaluate the long-term impact of these technologies and optimize their use. Conclusion: 3D printing in dentistry presents significant advantages in terms of precision, customization, and efficiency. This technology represents a major advancement, improving clinical outcomes and patient satisfaction. Continued research is essential to maximize its clinical potential.

Share and Cite:

Ziyati, O., Abou-Obeida, S., Zerati, I. and El Boussiri, K. (2025) Three-Dimensional Printing in Dentistry. Open Access Library Journal, 12, 1-1. doi: 10.4236/oalib.1112384.

1. Introduction

In recent years, we have seen a technological revolution in all aspects of daily life, including dentistry. One of the most significant developments in this field is the widespread adoption of the “digital workflow” by professionals. This process involves three essential steps: data acquisition, data creation using Computer Aided Design (CAD) software, and the manufacturing of objects using Computer Aided Manufacturing (CAM) [1].

In the field of CAM, three-dimensional (3D) printing has become essential. It allows objects to be created by depositing layers of materials on top of each other, fused, bonded or solidified according to CAD instructions. This is also called additive manufacturing, rapid prototyping, or layered manufacturing. This technique is used in many sectors, from industry to medicine to art, offering rapid customization and production.

In dentistry, 3D printing is used in a variety of ways, from prosthetics and implantology to orthodontics, endodontics and pedodontics. Benefits include simplifying the procedure, reducing invasiveness, increasing clarity, reducing operating times and improving comfort and aesthetics for patients.

However, despite all these advantages, 3D printing has not yet reached its full potential. The high cost of 3D printers and the need to master CAD software remain obstacles. In this context, this study aims to explore different aspects of 3D printing in dentistry, highlighting the latest trends and current challenges.

2. Materials and Methods

2.1. Literature Identification

Two types of documentary research strategies were used for this literature review to meet the objectives of our subject.

2.2. Strategy of Digital Research

2.2.1. Sources

First, these are articles from computer databases accessible via the Internet. We examined PubMed, the main search engine for bibliographic data in all fields of biology and scientific medicine, which provides access to the MEDLINE bibliographic database. Other search engines examined include: Google Scholar.

2.2.2. Keywords and Boolean Equations

Keywords

To achieve a targeted and precise search, we used the keywords listed below.

3D printing; Additive manufacturing; Laser sintering; Stereolithography; CAD/CAM; Multi-jet modeling; Odontology; Biocompatible materials; Bioprinting.

These terms were used in each database searched separately and cross-searched to identify articles for analysis after inclusion.

Boolean equations

The following equations were used for our research:

3D printing and stereolithography;

3D printing and odontology;

3D printing and additive manufacturing;

3D printing and biocompatible materials;

3D printing and bioprinting;

2.3. Manual-Search Strategy Known as Ascending

This search strategy gave us the opportunity to collect from the already pre-selected reference list a number of articles that would have gone unnoticed in the electronic search of interest to our topic.

2.4. Selection Criteria

2.4.1. Inclusion criteria

We admitted during our bibliographic research:

Articles meeting the objectives of our research;

Articles with a publication date between 2014 and 2024;

Articles published in English;

Articles published in French.

2.4.2. Exclusion Criteria

We have eliminated:

Articles that do not meet the objectives of our research;

Articles with a publication date before 2014;

Articles not dealing with 3D printing.

2.5. Descriptions of Research

2.5.1. PubMed Search

1200 references were obtained from PUBMED using queries including filters defined around our inclusion and exclusion criteria.

2.5.2. Search on Google Scholar

1340 references were obtained from GOOGLE SCHOLAR using queries including filters defined around our inclusion and exclusion criteria.

2.5.3. Processing of bibliographic references and duplicates

This step was performed using Zotero software. The number of duplicates was 1860.

2.5.4. Selection Strategy

The initial selection of articles was based on the title, which determined whether or not they met the research objectives. Then, a second selection was made based on the reading of the abstract. Finally, a third complete reading of the selected articles was carried out by eliminating the articles that did not meet the inclusion criteria cited above. Finally, the database analyzed in the results and discussion sections is represented by the number of selected articles.

3. Result (See Table 1)

Table 1. A list of references.

Title of the article

Authors

Year

Reference

Additive Technology: Update on Current Materials and Applications in Dentistry.

Abdullah Barazanchi, Kai Chun Li PhD, Basil Al-Amleh, Karl Lyons, J. Neil Waddell.

2017

[1]

L’impression 3D ou fabrication additive en odontologie, actualités et perspectives

Julien Palau

2017

[2]

Continuous liquid interface production of 3D objects. Science

Tumbleston JR, Shirvanyants D, Ermoshkin N, Janusziewicz R, Johnson AR, Kelly D, et al.

2015

[3]

Fracture Resistance of Additively Manufactured Zirconia Crowns when Cemented to Implant Supported Zirconia Abutments: An in vitro Study

Amirali Zandinejad, DDS, MSc, 1 Mohammad Mujtaba Methani, BDS, MS, 2 Emet D. Schneiderman, PhD, 2 Marta Revilla-Léon, DDS, MSD, 1 & Dean Morton BDS, MS3

2019

[4]

“Types of 3D Printing Technology Explained”

https://www.protolabs.com/resources/blog/types-of-3d-printing/

2022

[5]

3D Printing: Printing Process

Internet. https://www.ukonline.be/cours/3dprinting/impression-3d/chapitre1-3

2024

[6]

Additive manufacturing (3D printing): A review of materials, methods, applications and challenges.

Ngo TD, Kashani A, Imbalzano G, Nguyen KTQ, Hui D.

2018

[7]

A Review of 3D Printing in Dentistry: Technologies, Affecting Factors, and Applications.

Tian Y, Chen C, Xu X, Wang J, Hou X, Li K, et al.

2021

[8]

Accuracy and reproducibility of dental replica models reconstructed by different rapid prototyping techniques.

Hazeveld A, Huddleston Slater JJR, Ren Y.

2014

[9]

Accuracy and reproducibility of dental replica models reconstructed by different rapid prototyping techniques.

Hazeveld A, Huddleston Slater JJR, Ren Y.

2014

[10]

Presurgical Planning With CT-Derived Fabrication of Surgi cal Guides.

Free SD.

2005

[11]

Precision of sleeveless 3D drill guides for insertion of one-piece ceramic implants: a prospective clinical trial.

Schnutenhaus S, von Koenigsmarck V, Blender S, Ambrosius L, Luthardt RG, Rudolph H.

2018

[12]

Intraosseous Heat Generation During Osteotomy Performed Freehand and Through Template With an Integrated Metal Guide Sleeve: An In Vitro Study.

Barrak I, Joób-Fancsaly Á, Braunitzer G, Varga E, Boa K, Piffkó J.

2018

[13]

Tolerance within the sleeve inserts of different surgical guides for guided implant surgery.

Koop R, Vercruyssen M, Vermeulen K, Quirynen M.

2013

[14]

3D Printing of Clear Orthodontic Aligners: Where We Are and Where We Are Going. Materials.

Maspero C, Tartaglia GM.

2020

[15]

Direct 3D Printing of Clear Orthodontic Aligners: Current State and Future Possibilities.

Tartaglia GM, Mapelli A, Maspero C, Santaniello T, Serafin M, Farronato M, et al.

2021

[16]

Maintenance of space by innovative three-dimensional-printed band and loop space maintainer.

Pawar B.

2019

[17]

Dental Crown Manufacturing using Stereolithography Method.

Bammani SS, Birajdar PR, Metan SS.

2012

[18]

Trueness analysis of zirconia crowns fabricated with 3-dimensional printing.

Wang W, Yu H, Liu Y, Jiang X, Gao B.

2019

[19]

Comparison of Conventional Methods and Laser-Assisted Rapid Prototyping for Manufacturing Fixed Dental Prostheses: An In Vitro Study.

Pompa G, Di Carlo S, De Angelis F, Cristalli MP, Annibali S.

2015

[20]

Marginal and internal fit of provisional crowns fabricated using 3D printing technology.

Chaturvedi S, Alqahtani NM, Addas MK, Alfarsi MA.

2020

[21]

3D Printed Versus Conventionally Cured Provisional Crown and Bridge Dental Materials

Anthony Tahayeri#, 1, MaryCatherine Morgan#, 1, Ana P. Fugolin1, Despoina Bompolaki1, Avathamsa Athirasala1, Carmem Pfeifer1, Jack Ferracane1, and Luiz E. Bertassoni*, 1, 2, 3

2018

[22]

Fit of interim crowns fabricated using photopolymer-jetting 3D printing.

May HN, Lee kyu bok, Lee DH.

2017

[23]

CFAO et microfusion laser: étude de l’adaptation de couronnes métalliques unitaires. Stratégie Prothétique

Vincent Jardel, Elisabeth Leize-Zal, Brice Chauvel

2016

[24]

Clinical marginal and internal fit of metal ceramic crowns fabricated with a selective laser melting technology.

Huang Z, Zhang L, Zhu J, Zhang X.

2015

[25]

CAD-CAM milled versus rapidly prototyped (3D-printed) complete dentures: An in vitro evaluation of trueness.

Kalberer N, Mehl A, Schimmel M, Müller F, Srinivasan M.

2019

[26]

Accuracy and retention of tooth base fabricated by heat curing and additive manufacturing.

Tasaka A, Matsunaga S, Odaka K, Ishizaki K, Ueda T, Abe S, et al.

2019

[27]

Evaluation of the trueness and tissue surface adaptation of CAD-CAM mandibular denture bases manufactured using digital light processing

Yoon HI, Hwang HJ, Ohkubo C, Han JS, Park EJ.

2018

[28]

Rapid manufacture of removable partial denture frameworks.

Bibb R, Eggbeer D, Williams R.

2006

[29]

Materials and Applications of 3D Printing Technology in Dentistry: An Overview.

Jeong M, Radomski K, Lopez D, Liu JT, Lee JD, Lee SJ.

2023

[30]

Endodontic applications of 3D printing.

Anderson J, Wealleans J, Ray J.

2018

[31]

4. Discussion

4.1. History

Since the end of the 20th century, we have been witnessing an unprecedented industrial revolution: the digital revolution. The advent of the Internet has opened the doors to instant and unlimited access to information.

This digital revolution has not spared the field of dentistry. Initially, patient management software, electronic medical records, and electronic agendas were used in our offices. Then, X-rays and scanners became digital [2].

The digitalization of objects, increasingly precise thanks to optical and laser scanners, has allowed the simultaneous development of Computer Aided Design and Manufacturing (CAD/CAM) methods, in tandem with the increased precision of machine tools.

Today, systems such as CEREC allow the production of prostheses without resorting to a physical impression or a wax up, thanks to a machining system. However, although CAD/CAM techniques involving subtraction production systems are widespread, addition systems such as 3D printers remain in the minority and their use remains marginal.

The aim of this research is to take stock of this booming technology and demonstrate its potential for the daily practice of dentistry.

4.2. Processes and Methods of Three-Dimensional Printing

There are several 3D printing techniques, each with its own variations, requiring different equipment and materials, grouped into 4 main categories:

1) 3D printing by photopolymerization.

2) 3D printing by powder bonding.

3) 3D printing by progressive deposition of material (Material Jetting technology offers the possibility of creating objects using a method similar to that of two-dimensional inkjet printers) [3] [4]

4) 3D printing by paper gluing.

The concept of 3D printing groups together different manufacturing methods that consist of building objects by gradually adding layers of material. Each method has its own specificities in terms of creating objects in plastic or metal, with varying options for the materials used, the quality of the finish, the solidity, the speed of manufacturing and the associated cost [5].

These methods share two common characteristics: they are all digitally controlled (through a 3D printer system) and require a 3D model (a computer file created from a 3D scanner, CAD software, or downloaded from file-sharing websites). All 3D models use a single file format, the STL file (for “Solid To Layer”), which is currently the only format accepted by all 3D printers. Thus, printing an object in 3D from a simple sketch or a photo is currently impossible (See Figure 1).

Figure 1. Three-dimensional printing process [6].

4.2.1. 3D Printing by Photopolymerization

The photopolymerization 3D printing technique uses light-sensitive liquid polymers (called photopolymers). This is the basic principle of stereolithography, the first 3D printing method developed. Two other popular techniques also rely on this process: the PolyJet technique and DLP (Digital Light Processing).

4.2.2. Material Jetting

The material is deposited onto a build platform using multiple piezoelectric print heads. UV lamps, synchronized with the x- and y-axis movements of the print head, are used to cure the liquid monomers. By lowering the build platform along the z-axis, components are added from bottom to top. Support structures are also created simultaneously by a second set of jets [3] [4].

This process allows several print heads to operate simultaneously, enabling the creation of objects with different materials, colors and graded properties.

4.2.3. Powder Bed Fusion

Powder bed fusion (PBF) is a 3D printing method that uses a focused energy source, such as a laser or electron beam, to selectively consolidate powder particles into solid objects.

4.2.4. Lamination

Laminated Object Manufacturing (LOM) is one of the first commercially available additive manufacturing methods. It involves cutting and laminating sheets or rolls of material layer by layer. Successive layers are precisely cut using a mechanical cutter or laser and then bonded together, either by forming first and then bonding (form-then-bond) or by bonding first and then forming (bond-then-form) [7].

4.3. Applications of 3D Printing

4.3.1. Printing Models

The most common application of 3D printing is the manufacture of working models. The most commonly used technologies are SLA (Stereolithography), MJ (Material Jetting), FDM (Fused Deposition Modelling), SLS (Selective Laser Sintering), and DLP (Digital Light Processing). Compared with traditional plaster models, 3D printed models have several advantages in accuracy and reproducibility, including light weight, reduced likelihood of material damage, improved durability, greater wear resistance, and the ability to share digital data [8].

Compared with milling, 3D printed models have more advantages in accuracy and reproducibility, and compared with milling, 3D printed models are more accurate. In addition, researchers have conducted extensive research on the accuracy and reproducibility of digital models. They found that the accuracy of digital models was slightly lower than that of original plaster models, but it was clinically acceptable (Figure 2).

The accuracy of working models varied depending on the type of 3D printer used. Hazeveld et al. found that models made by DLP were more accurate than diagnostic models prepared using other types of 3D printers [9].

3D printed models manufactured using SLA, DLP, MJ, and PBP have comparable accuracy to plaster models. Additionally, these models can be colored in post-processing or have various colors and/or textures incorporated during fabrication to help differentiate tissue types. These models can be used in dentistry as a teaching aid for students to improve understanding of tooth, root, and canal morphologies, and to simulate access cavity and root canal preparation, and can also be used to assess skill progression. SLS 3D printed models are autoclavable due to the high melting point of the constituent material. These models are ideal for practicing surgical procedures.

Figure 2. A: Models made by conventional methods B: Models made by DLP C: Models made by SLA [10].

4.3.2. Implantology

In implantology, 3D printing and three-dimensional technologies play a crucial role in evolving traditional practices, based mainly on experience, towards a more precise digital mode. This transition simplifies the treatment process, reduces technical difficulties and risks, and certainly improves the efficiency of practitioners.

The use of surgical guides is highly recommended in implantology to facilitate accurate planning and reduce the risk of complications during procedures. These guides can significantly improve the accuracy and speed of clinical treatment, reduce handling errors, make treatment outcomes more predictable for dentists, and promote a better understanding of treatment by patients [11].

There are two types of surgical guidance systems: dynamic and static. Dynamic guides use optics or optical systems to transmit the surgical plan and provide real-time visualization of the process. In contrast, vertical surgical guides are manufactured in the laboratory using 3D printing.

This lead type, created using a printing process called SLA, remains constant throughout the print run. Traditionally based on panoramic radiographs, these guides were limited by magnification, distortion and poor quality of radiological images, making preoperative planning inaccurate and unreliable. However, the combined use of 3D scanning (Cone Beam CBCT), intraoral scanning technology, computer-aided design (CAD) and the virtual planning environment now makes it possible to create precise surgical guides by combining the digital data obtained. Once treatment planning is completed using specialized software, surgical guides can be produced by 3D printing using the SLA process (Figure 3) [8].

Figure 3. A: Surgical guide design; B: ALS-printed surgical guide [8].

  • Practical production of an implant surgical guide in the office by 3D printing

The elaboration of an implant surgical guide within the dental practice is part of a modernization of our working methods. What we're referring to here is the digital workflow, which involves computerizing a whole series of steps in the management of a patient.

There are different types of surgical guides, classified according to two criteria: their method of guiding the drills through the guide and their support on the tissues.

When it comes to guiding drills during implant surgery, several options are available:

Pilot sleeve surgical guides: These guides are equipped with standard metal sleeves designed to guide a single drill, usually the 2 mm diameter pilot drill. They offer the advantage of being able to be used with any implant system. They are valuable for positioning the upcoming implant, respecting the prosthetic and anatomical criteria studied during implantation planning [12]. However, there is always a risk of deviation when passing the following drills.

Pilot sleeve surgical guides: These guides are equipped with a wide metal sleeve for each implant. They also include metal sleeves of increasing diameters corresponding to the different diameters of the drills in the drilling sequence. They can be used with any implant system, implant with each change in drill diameter.

Surgical guides with specific kits: these guides are equipped with metal sleeves specific to the implant system that developed them, and require the use of a corresponding guided surgery kit.

This kit includes spoons specific to the sleeves of increasing diameter, corresponding to the diameters of the drills. These guides allow to guide the entire drilling sequence as well as the placement of the implant. They offer the greatest precision, with a transfer of the positioning of the implant in relation to the planning of the order of the micron [13].

These different types of sleeves or spoons are generally made of titanium. The issue of tissue heating, due to less efficient irrigation because of the surgical guide and metal-metal contact between the sleeve and the drill, remains a problem.

However, different procedures, such as cooling the area with sterile water between each drill pass, can control this parameter.

To optimize your placement, it is important to choose a bite or spoon of the smallest possible diameter, suitable for the application and of the maximum length [14].

Surgical guides can also be classified according to their support on tissues:

Tooth-supported surgical guide: the most commonly used of the three types, rests on the teeth bordering the edentulous area. It is recommended for single anterior or posterior edentulous areas, as well as for free posterior edentulous areas of less than 30 mm. It is the most accurate guide.

The mucosal-supported surgical guide: used in cases of total or partial edentulism exceeding 30 mm. Less precise than other types because it rests on a potentially deformable surface, it requires the use of stabilizing screws to maintain its position.

Bone-supported surgical guide: used when the surgeon performs a full-thickness flap, it rests on the exposed bone. Like the mucosal-supported guide, it requires stabilizing screws to maintain its position.

4.3.3. Orthodontics

Digital orthodontics takes advantage of 3D printing, which uses oral scanners, handheld cameras, computers, and orthodontic software to create dental models. The most common 3D printing technologies include FDM, PJ, SLA, SLS, and DLP [8].

A concrete example of the use of 3D printing in orthodontics is the manufacturing of clear aligners. These aligners are cast from 3D printed dental models, eliminating the errors and inaccuracies often encountered in traditional plaster impression taking. This method allows for complete identification from the start, which is essential for a good thread connection. 3D printing is also used to create seals and direct connections. Although this technology is becoming increasingly popular and used in various fields, there are few studies examining direct printing.

However, several 3D printing methods can be used for this purpose, such as SLA (stereolithography), SLS (selective laser sintering), SLM (selective laser melting), FDM (fused deposition modelling), and CLIP (continuous liquid interface production). Currently, 3D printing by photopolymerization from transparent resin seems to be the best option.

A recent study compared a successfully 3D printed clear aligner to a traditional thermoformed aligner. The results showed that 3D printed aligners offered better geometric accuracy and superior mechanical strength.

However, it is important to note that there is a lack of clinical data on the durability and long-term performance of these 3D printed aligners [15].

Objectively, direct 3D printing of aligners has several advantages over traditional methods. Because the edges are digitally created, they are smooth and precise, eliminating the need for manual or hand sharpening. In addition, the full development of 3D printing allows for better integration and performance of psychological treatments. It is even possible to reduce the need for glue by modifying the thickness of the aligners and thus avoid light stains [16].

4.3.4. Pedodontics

Premature loss of primary teeth in children is still very common despite technological and scientific advances in dentistry and preventive measures in oral health. Maintaining the length of the arch during the primary, mixed and early permanent dentition after premature loss is of great importance for the normal development of future permanent occlusion.

It is therefore very important to maintain the space present due to the loss of the primary tooth before the normal physiological exfoliation, until the eruption of the next permanent dentition. The use of space maintainers should be advocated, as it prevents tooth movements and perimeter loss, thus avoiding such complications.

Various other drawbacks have been reported in the literature and may lead to failure of the conventional device. In a study by Bhaggyashri A Pawar, the 3D printing technique used in the design of the space maintainer was SLS (selective laser sintering).

The entire process of taking the patient’s impression, casting the mold, scanning it, designing the maintainer, and printing it using the 3D printer helps improve the accuracy of the device and minimize human errors. In addition, the device is printed in a single unit, which minimizes the risk of breakage and reduces device failures.

Compared to a conventional device, a 3D printed model has a more complex structure and a higher level of detail (Figures 4-6) [17].

Figure 4. Digital design of the band space maintainer and loop, similar to the conventional one, on DentalCAD 2.2 Valletta software [17].

Figure 5. (A and B) Metal space maintainer 3D printed on Model [17].

Figure 6. (A) Pre-operative radiograph of 74 revealing coronal radioclarity involving enamel, dentin, pulp and extending to the furcation, (B and C) 3D-printed metal-space maintainer on cast mold after registration, 3D-printed metal-space maintainer on cast mold after registration, 3D-printed metal-space maintainer in mouth (D and E) [17].

4.3.5. In Prosthesis

1) Fixed prosthesis

In dental prosthetics, techniques such as Stereolithography (SLA), Fused Deposition Modeling (FDM), Robocasting or Selective Laser Powder Bed Fusion (SLM) allow the creation of crowns, copings, bridges and inlays-onlays.

In a study conducted by Shruti S. Bammani, crowns manufactured using SLA were compared to those produced using the conventional method. The results indicate that SLA offers superior manufacturing accuracy, resulting in a more comfortable and precise fit of the dental crown. Many advantages are observed over the conventional method: more accurate reproduction of curves, cavities and complex shapes, waste-free production according to the initial design, reduced process time and material costs, and no environmentally harmful waste. In addition, this technique requires minimal training time. It is possible to print up to 50 to 80 units in high quality in just 56 minutes [18].

This suggests that 3D printing technology can be effectively used to fabricate zirconia crowns with similar accuracy to that achieved by milling (Figure 7) [19].

Figure 7. Representative images of crown restorations fabricated using different technologies [10].

Provisional crowns made using 3D printing are distinguished by their excellent margins and internal fit, surpassing in accuracy those designed by computer-aided design and computer-aided manufacturing (CAD/CAM) or traditional milling methods. A study by Pompa et al. observed that the margins and internal fit of temporary crowns produced by casting were the most distinct, followed by 3D printing and milling. Chaturvedi et al. noted improved coordination of the proximal end, margin, and interior of provisional crowns with 3D printing, particularly observed in the occlusal area [20] [21].

Anthony Tahayeri and colleagues demonstrated that 3D printed provisional crown or bridge materials provide sufficient mechanical properties for intraoral use. In their comparative study with two conventional provisional materials, Integrity® from Dentsply and Jet® from LangDental Inc., they found significant differences in the modulus of elasticity and maximum stress, highlighting the clinical viability of 3D printed materials [22].

In a study by Amirali Zandinejad and colleagues, the fracture resistance of ceramic crowns produced by SLA was compared with that of crowns manufactured by milling. No significant differences were observed between the groups, indicating the promising potential of additive manufacturing for all ceramic restorations [4].

Hang-Nga Mai and colleagues used 3D printing to produce provisional crowns and compared them to those made by milling and casting. Overall, 3D printed crowns demonstrated superior accuracy and more consistent results in the proximal, marginal, and internal regions compared to casting and milling methods [23].

Selective Laser Sintering (SLS) and Selective Laser Melting (SLM) are the most advanced technologies for the fabrication of fixed dental prostheses.

A study by V. Jardel and colleagues fabricated cobalt-chrome metal crowns with SLM, revealing efficient production of up to 16–200 elements simultaneously in 4 - 12 hours. The polished crowns exhibit high metal density but may also exhibit some porosities (Figure 8), requiring post-production polishing to improve adaptation and surface quality. This study highlights the limitations of metal crowns and encourages the use of SLM for the fabrication of metal copings and inlay-cores [24].

The SLM-produced Co-Cr crowns had similar marginal fit to the cast Au-Pt crowns, but better marginal fit than the cast Co-Cr crowns. Although the axial fit of the three groups of crowns was similar, the SLM-produced Co-Cr crowns were less precise in occlusal fit than the other two types of cast crowns. The researchers concluded that the SLM technique could advantageously replace the conventional investment casting process for the fabrication of Co-Cr metal-ceramic crowns (Figure 9).

Figure 8. Photographs of plaster reference crowns (left) and polished (middle) and unpolished (right) metal crowns [24].

Figure 9. X-ray of an SLM-printed crown showing porosities [24].

Selective Laser Sintering (SLS) and Selective Laser Melting (SLM) have been validated as technologies that can achieve increased accuracy and time savings in the fabrication of metal crowns. However, their use should be restricted to the fabrication of metal copings and inlay cores [25].

2) In removable prosthesis

In removable prosthetics, three-dimensional printing offers the possibility of manufacturing a resin base for prosthesis without resorting to molds, cutting tools or assemblies.

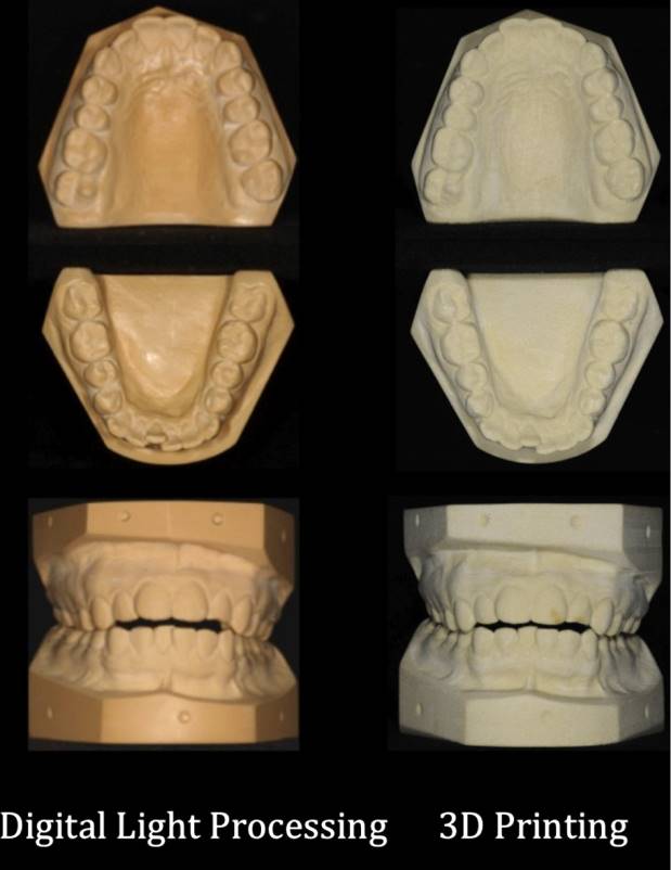
A study by Nicole Kalberer and colleagues used Digital Light Processing (DLP) to fabricate total dentures. The results showed that the milled complete dentures were superior in terms of intaglio surface accuracy compared to 3D-printed complete dentures. However, both techniques were found to be clinically acceptable and better than conventional methods (Figure 10) [26].

No significant differences were observed between the two methods in terms of aesthetics, predictability of the final shape of the prosthesis, stability, comfort or overall satisfaction. However, chair time was significantly higher with the 3D printing method than with the conventional method.

Another advantage of 3D-printed prostheses is the increased precision of their resin base compared to those produced by conventional thermal polymerization, as reported by Tasaka and colleagues [27].

Figure 10. Representative specimens of dental prostheses [26]. A: 3D printing. B: Milling.

Studies by Yoon and colleagues showed that complete denture bases manufactured by 3D printing exhibited better adaptability to the tissue surface compared to bases manufactured by the conventional method, especially in the pressure zone of the maxillary arches [28].

In 2006, Bibb and Eggbeer demonstrated that 3D printing (SLM) can produce fully functional dental stellites that are precisely tailored to specific individual patients. They fabricated dimensionally accurate frameworks from 316 L stainless steel and cobalt-chromium alloy using SLM. Their accuracy of fit and function was evaluated on a plaster model and on the patient in the clinic (Figure 11). They concluded that the use of 3D printing technologies for the fabrication of removable dentures (Stellite) allows the denture base to provide a more uniform contact pressure and thus reduce the risk of long-term bone resorption.

Figure 11. Stellite made by SLM [29].

4.3.6. Endodontics

Three-dimensional printing (3D printing) has several significant advantages for endodontics. The production of surgical guides is the main application of 3D printing in endodontics.

Two types of guides are used depending on the nature of the procedure: surgical or non-surgical. Before their manufacture, a CT X-ray or an intraoral scanner scan is necessary, followed by planning using computer-aided design software.

Non-surgical endodontic guides are particularly useful for locating canals during non-surgical treatments, where the risks of procedural errors, including root perforation, are high. Favorable results have been obtained with the use of 3D printed directional guides to create precise, minimally invasive access cavities, allowing access to root canals with depth-calibrated dental drills or burs (Figure 12).

These guides have helped to reduce operating time, excessive loss of tooth structure and avoid perforations, thus contributing to safe and effective treatment management [30].

Surgical endodontic guides are used in complex cases where it is difficult to determine the osteotomy site and the level of root resection. During the procedure, the position of the guide on the cortical plate allows the osteotomy site to be identified, while depth-calibrated drills or piezoelectric instruments maintain parallelism with the guide, thus limiting the size of the osteotomy.

Figure 12. 3D-printed endodontic guide [31].

In the field of endodontic microsurgery, 3D printing has also demonstrated its usefulness, enabling the performance of targeted osteotomies and precise root resections, based on anatomical landmarks and preoperative measurements (Figure 13).

Figure 13. Endodontic microsurgery guide made by 3D printing [31].

Cone Beam data-derived guides were particularly effective in producing more accurately localized osteotomies than traditional freehand techniques [30] [31].

In conclusion, 3D printing offers innovative and promising possibilities in the field of endodontics, both for non-surgical and surgical interventions, improving precision, safety and patient comfort during procedures.

5. Conclusions

3D printing is an additive process that allows saving material and producing more complex geometries. Therefore, this manufacturing method is a perfect solution for dentistry.

It is surprising how many types of processes are creating new and better ways to make dental products. The dentist can then scan the patient’s mouth and email the 3D printing lab to create a 3D printed model that fits the patient’s mouth. This technology be very useful in complicated cases where the dentist can use different models of surgical guides. Additive manufacturing seems to have the potential to solve various problems in this field. However, operating costs, materials, maintenance and the need for skilled operators are limitations that must be carefully considered. As well as the need for post-processing and adherence to strict health and safety protocols

In this review, we have cited the different categories of the three-dimensional printing, as its applications in different specialties have been explained, including the production of study or working models, endodontics, removable and joint prosthetics, implantology, orthodontics and pedodontics.

In recent years, 3D printing has progressed to the cellular level, and 3D bioprinting offers unlimited possibilities for the creation of various tissues. The application of 3D printing to oral soft tissue biomaterials has been reflected from experimental to clinical.

Conflicts of Interest

The authors declare no conflicts of interest.

Conflicts of Interest

The authors declare no conflicts of interest.

References

[1] Barazanchi, A., Li, K.C., Al‐Amleh, B., Lyons, K. and Waddell, J.N. (2017) Additive Technology: Update on Current Materials and Applications in Dentistry. Journal of Prosthodontics, 26, 156-163. [Google Scholar] [CrossRef] [PubMed]
[2] Palau, J. (2017) L’impression 3D ou fabrication additive en odontologie, actualités et perspectives. Chirurgie.
[3] Tumbleston, J.R., Shirvanyants, D., Ermoshkin, N., Janusziewicz, R., Johnson, A.R., Kelly, D., et al. (2015) Continuous Liquid Interface Production of 3D Objects. Science, 347, 1349-1352. [Google Scholar] [CrossRef] [PubMed]
[4] Zandinejad, A., Methani, M.M., Schneiderman, E.D., Revilla‐León, M. and BDS, D.M. (2019) Fracture Resistance of Additively Manufactured Zirconia Crowns When Cemented to Implant Supported Zirconia Abutments: An in Vitro Study. Journal of Prosthodontics, 28, 893-897. [Google Scholar] [CrossRef] [PubMed]
[5] Types of 3D Printing Technology.
https://www.protolabs.com/resources/blog/types-of-3d-printing/
[6] 3D Printing: Printing Process.
https://www.ukonline.be/cours/3dprinting/impression-3d/chapitre1-3
[7] Ngo, T.D., Kashani, A., Imbalzano, G., Nguyen, K.T.Q. and Hui, D. (2018) Additive Manufacturing (3D Printing): A Review of Materials, Methods, Applications and Challenges. Composites Part B: Engineering, 143, 172-196. [Google Scholar] [CrossRef
[8] Tian, Y., Chen, C., Xu, X., Wang, J., Hou, X., Li, K., et al. (2021) A Review of 3D Printing in Dentistry: Technologies, Affecting Factors, and Applications. Scanning, 2021, Article ID: 9950131. [Google Scholar] [CrossRef] [PubMed]
[9] Hazeveld, A., Huddleston Slater, J.J.R. and Ren, Y. (2014) Accuracy and Reproducibility of Dental Replica Models Reconstructed by Different Rapid Prototyping Techniques. American Journal of Orthodontics and Dentofacial Orthopedics, 145, 108-115. [Google Scholar] [CrossRef] [PubMed]
[10] Hazeveld, A., Huddleston Slater, J.J.R. and Ren, Y. (2014) Accuracy and Reproducibility of Dental Replica Models Reconstructed by Different Rapid Prototyping Techniques. American Journal of Orthodontics and Dentofacial Orthopedics, 145, 108-115. [Google Scholar] [CrossRef] [PubMed]
[11] Ganz, S.D. (2005) Presurgical Planning with CT-Derived Fabrication of Surgical Guides. Journal of Oral and Maxillofacial Surgery, 63, 59-71. [Google Scholar] [CrossRef] [PubMed]
[12] Schnutenhaus, S., von Koenigsmarck, V., Blender, S., Ambrosius, L., Luthardt, R.G. and Rudolph, H. (2018) Precision of Sleeveless 3D Drill Guides for Insertion of One-piece Ceramic Implants: A Prospective Clinical Trial. International Journal of Computerized Dentistry, 21, 97-105.
[13] Barrak, I., Joób-Fancsaly, Á., Braunitzer, G., Varga, E., Boa, K. and Piffkó, J. (2018) Intraosseous Heat Generation during Osteotomy Performed Freehand and through Template with an Integrated Metal Guide Sleeve: An in Vitro Study. Implant Dentistry, 27, 342-350. [Google Scholar] [CrossRef] [PubMed]
[14] Koop, R., Vercruyssen, M., Vermeulen, K. and Quirynen, M. (2013) Tolerance within the Sleeve Inserts of Different Surgical Guides for Guided Implant Surgery. Clinical Oral Implants Research, 24, 630-634. [Google Scholar] [CrossRef] [PubMed]
[15] Maspero, C. and Tartaglia, G.M. (2020) 3D Printing of Clear Orthodontic Aligners: Where We Are and Where We Are Going. Materials, 13, Article 5204. [Google Scholar] [CrossRef] [PubMed]
[16] Tartaglia, G.M., Mapelli, A., Maspero, C., Santaniello, T., Serafin, M., Farronato, M., et al. (2021) Direct 3D Printing of Clear Orthodontic Aligners: Current State and Future Possibilities. Materials, 14, Article 1799. [Google Scholar] [CrossRef] [PubMed]
[17] Pawar, B. (2019) Maintenance of Space by Innovative Three-Dimensional-Printed Band and Loop Space Maintainer. Journal of Indian Society of Pedodontics and Preventive Dentistry, 37, 205-208. [Google Scholar] [CrossRef] [PubMed]
[18] Bammani, S.S., Birajdar, P.R. and Metan, S.S. (2012) Dental Crown Manufacturing using Stereolithography Method. Proceeding of International Conference on Advances in Industrial and Production Engineering Solapur, Maharashtra, 7-10.
[19] Wang, W., Yu, H., Liu, Y., Jiang, X. and Gao, B. (2019) Trueness Analysis of Zirconia Crowns Fabricated with 3-Dimensional Printing. The Journal of Prosthetic Dentistry, 121, 285-291. [Google Scholar] [CrossRef] [PubMed]
[20] Pompa, G., Di Carlo, S., De Angelis, F., Cristalli, M.P. and Annibali, S. (2015) Comparison of Conventional Methods and Laser-Assisted Rapid Prototyping for Manufacturing Fixed Dental Prostheses: An in Vitro Study. BioMed Research International, 2015, Article ID: 318097. [Google Scholar] [CrossRef] [PubMed]
[21] Chaturvedi, S., Alqahtani, N.M., Addas, M.K. and Alfarsi, M.A. (2020) Marginal and Internal Fit of Provisional Crowns Fabricated Using 3D Printing Technology. Technology and Health Care, 28, 635-642. [Google Scholar] [CrossRef] [PubMed]
[22] Tahayeri, A., Morgan, M., Fugolin, A.P., Bompolaki, D., Athirasala, A., Pfeifer, C.S., et al. (2018) 3D Printed versus Conventionally Cured Provisional Crown and Bridge Dental Materials. Dental Materials, 34, 192-200. [Google Scholar] [CrossRef] [PubMed]
[23] Mai, H., Lee, K. and Lee, D. (2017) Fit of Interim Crowns Fabricated Using Photopolymer-Jetting 3D Printing. The Journal of Prosthetic Dentistry, 118, 208-215. [Google Scholar] [CrossRef] [PubMed]
[24] Jardel, V., Leize-Zal, E. and Chauvel, B. (2016) CAD/CAM and Laser Microfu-Sion: Study of the Adaptation of Single Metal Crowns. Stratégie Prothétique, 16.
[25] Huang, Z., Zhang, L., Zhu, J. and Zhang, X. (2015) Clinical Marginal and Internal Fit of Metal Ceramic Crowns Fabricated with a Selective Laser Melting Technology. The Journal of Prosthetic Dentistry, 113, 623-627. [Google Scholar] [CrossRef] [PubMed]
[26] Kalberer, N., Mehl, A., Schimmel, M., Müller, F. and Srinivasan, M. (2019) CAD-CAM Milled versus Rapidly Prototyped (3D-Printed) Complete Dentures: An in Vitro Evaluation of Trueness. The Journal of Prosthetic Dentistry, 121, 637-643. [Google Scholar] [CrossRef] [PubMed]
[27] Tasaka, A., Matsunaga, S., Odaka, K., Ishizaki, K., Ueda, T., Abe, S., et al. (2019) Accuracy and Retention of Denture Base Fabricated by Heat Curing and Additive Manufacturing. Journal of Prosthodontic Research, 63, 85-89. [Google Scholar] [CrossRef] [PubMed]
[28] Yoon, H., Hwang, H., Ohkubo, C., Han, J. and Park, E. (2018) Evaluation of the Trueness and Tissue Surface Adaptation of CAD-CAM Mandibular Denture Bases Manufactured Using Digital Light Processing. The Journal of Prosthetic Dentistry, 120, 919-926. [Google Scholar] [CrossRef] [PubMed]
[29] Bibb, R., Eggbeer, D. and Williams, R. (2006) Rapid Manufacture of Removable Partial Denture Frameworks. Rapid Prototyping Journal, 12, 95-99. [Google Scholar] [CrossRef
[30] Jeong, M., Radomski, K., Lopez, D., Liu, J.T., Lee, J.D. and Lee, S.J. (2023) Materials and Applications of 3D Printing Technology in Dentistry: An Overview. Dentistry Journal, 12, Article 1. [Google Scholar] [CrossRef] [PubMed]
[31] Anderson, J., Wealleans, J. and Ray, J. (2018) Endodontic Applications of 3D Printing. International Endodontic Journal, 51, 1005-1018. [Google Scholar] [CrossRef] [PubMed]

Copyright © 2025 by authors and Scientific Research Publishing Inc.

Creative Commons License

This work and the related PDF file are licensed under a Creative Commons Attribution 4.0 International License.