Conservative Management of an Odontogenic Myxoma of the Mandible: A Case Report and Literature Review

Abstract

Odontogenic myxoma (OM) is a rare benign tumor originating from the odontogenic mesenchyme, characterized by locally aggressive behavior in the jaw bones. We present a case report of a 36-year-old female patient who presented with swelling and discomfort in the left mandibular region. Radiographic imaging revealed a radiolucent lesion with well-defined margins, consistent with an odontogenic myxoma. Surgical enucleation and curettage were performed, aiming for complete removal of the lesion while preserving mandibular function and aesthetics. Histopathological examination confirmed the diagnosis of odontogenic myxoma. Postoperative follow-up revealed no evidence of recurrence after 9 months. This case highlights the importance of prompt diagnosis, conservative management, and long-term surveillance in achieving successful outcomes in patients with odontogenic myxoma of the mandible.

Share and Cite:

Mahfoud, W., Bouya, M., Haitami, S. and Ben Yahya, I. (2025) Conservative Management of an Odontogenic Myxoma of the Mandible: A Case Report and Literature Review. Open Access Library Journal, 12, 1-1. doi: 10.4236/oalib.1112980.

1. Introduction

Odontogenic myxoma (OM) is a rare but locally aggressive intraosseous lesion primarily found in the jaws, originating from the mesenchymal portion of the tooth germ. It ranks as the third most common odontogenic tumor, constituting approximately 3% - 6% of all odontogenic tumors. While it rarely occurs in bones other than the jaws and peripherally, its clinical and radiological presentations vary widely, demanding thorough evaluation.

Despite its benign nature, OM exhibits locally invasive behavior, with a propensity for recurrence ranging from 10% to 33%. Surgical resection with a minimum bone margin of 1  cm has traditionally been advocated. However, emerging evidence suggests that a more conservative surgical approach may yield acceptable recurrence rates, particularly with long-term follow-up. This underscores the importance of ongoing monitoring and tailored treatment strategies to balance effective tumor control with minimizing patient morbidity.

In this report, we detail the case of a mandibular odontogenic myxoma that underwent conservative surgery, followed by a 9-month postoperative follow-up period.

2. Case Presentation

A 36-year-old female patient presented to the Clinical Department of Oral Surgery and Pathology with the chief complaint of a slowly progressing, painless swelling over the left side of the lower jaw for the last year.

On examination, no extraoral swelling was present. There was no cervical lymphadenopathy, and the findings from the general examination were not significant. Intraorally, we found an enlargement of the alveolar process in the left mandibular molar region, with swelling extending from the first premolar to the second molar. On palpation, the swelling was non-tender, it expanded the mandible only buccally, causing obliteration of the labial sulcus, as the lingual palpation revealed no abnormalities (Figure 1).

Figure 1. Preoperative intraoral views showing expansion and obliteration of buccal vestibule.

A panoramic radiograph revealed the presence of an unilocular radiolucent lesion extending from the first premolar to the second molar on the left side around the unerupted second premolar tooth (Figure 2). A cone beam computed tomography (CBCT) depicted a well-defined unilocular osteolytic lesion and showed the extent of the bone destruction. (Figure 3)

Based on the clinical and imaging findings, an ameloblastoma and an odontogenic myxoma were suspected.

Enucleation of the lesion and curettage with the extraction of the impacted premolar was done intraorally under local anaesthesia. (Figure 4)

Figure 2. Initial orthopantomography (OPG) showed a unilocular radiolucent lesion encompassing the impacted second lower premolar.

Figure 3. Cone beam computed tomography (CBCT) of the left horizontal branch of the mandible reveals the lesion’s extent. Notice the buccal cortex destruction and the impacted second premolar.

Figure 4. Excision of the lesion mass, including the impacted premolar.

Grossly, the mass was whitish, without encapsulation, gelatinous in consistency, and friable during the excision process. (Figure 5)

Figure 5. Resected tumor fragments.

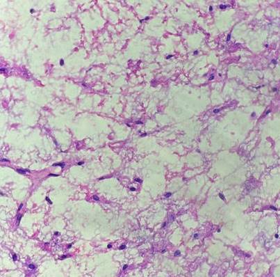
Histopathological examination showed an unencapsulated tumor mass showing spindle and stellate-shaped cells in loose connective tissue stroma with delicate collagen fibers and rich vascularization, concluding an odontogenic myxoma (OM). (Figure 6)

Figure 6. Microscopic appearance of the lesion showing stellate and spindle-shaped cells in a myxoid matrix (original magnification × 40).

The first follow-up was done at 15 days after surgery.

At 9 months follow-up, there was no sign of recurrence at both clinical and radiological examination. An orthopantomograph showed new bone formation in the resected zone. (Figure 7)

At 20 months of follow-up, our patient showed radiological signs of recurrence while being asymptomatic. We referred her to the maxillo-facial surgery department.

Figure 7. 9 months postoperative follow‐up OPT revealed a good amount of bone formation and no traces of recurrence.

3. Discussion

Myxomas are rare benign tumors of mesenchymal origin. They arise from the mesenchymal portion of the tooth germ, the dental papilla, the follicle, or the periodontal ligament. [1]

They are locally invasive and occur in various tissues, including cardiac, skeletal, cutaneous, and skeletal muscles.

They account for 3% - 6% of all odontogenic tumors, and they most frequently occur in the second to fifth decade of life. Women are more commonly affected than men, with a ratio of 1.5:1. [2]

Myxomas can occur anywhere in the jaws, but have a predilection for the molar and premolar regions of the mandible and maxilla. [3]

However, there have been a few new case reports of a peripheral odontogenic myxoma occurring solely on the soft tissue with no effect on the underlying bone. [4]

Clinically, odontogenic myxoma is a painless, usually slow‐growing, with late-appearing symptoms, benign but locally aggressive lesion that displaces and/or resorbs its adjacent structures, including teeth roots and cortical bone. It might be discovered fortuitously on a radiograph or result in a painless facial swelling or deformation, regularly increasing in volume, which was the case for our patient. [2] [5]

Cases of rapidly expanding odontogenic myxomas of the jaw have been reported in the literature. [2]

Different imaging techniques can be used to explore the extension and the origin of odontogenic myxoma. A panoramic radiograph is usually performed at first and completed by a 3D imaging exam. [5]

Radiographically, odontogenic myxoma’s appearance can vary from uniloculated to multiloculated and from completely radiolucent to mixed radiolucent‐radiopaque. [2] When it occurs pericoronally with an impacted tooth, it is most likely to have a cyst-like unilocular outline, like the radiographic presentation of our case. [6]

In multiloculated OM, the bony septa located inside the lesion are thin and elongated. The cortical bone is thinned and deformed. In advanced lesions, this cortex is ruptured, leading to invasion of the adjacent soft tissues. [7]

Macroscopically, OM presents as a soft, grayish, gelatinous, and non-encapsulated lesion. Microscopically, it is hypocellular and composed of loosely arranged, dispersed spindle-shaped, rounded, and stellate cells, with lightly eosinophilic cytoplasm in the abundant mucoid intercellular matrix that contains only a few collagen fibrils. [5]-[7]

There are currently no clear surgical management guidelines for OM, and a variety of approaches may be used. [8]

But, the typical treatment of myxoma consists of surgical resection. The overall recurrence rate is approximately 25% and usually occurs during the first 2 years after removal, which was the case for our patient. On the basis of histopathology, it should be differentiated from chondromyxoid fibroma and myxoid neurofibroma.

The differential diagnosis of myxoma based on radiographic findings differs depending on the location status of the lesion. And it includes ameloblastoma, intraosseous hemangioma, central giant cell granuloma, metastatic tumor, simple cysts, odontogenic keratocyst, and osteosarcoma. [2] [7] [9]

Conflicts of Interest

The authors declare no conflicts of interest.

Conflicts of Interest

The authors declare no conflicts of interest.

References

[1] Vered, M. and Wright, J.M. (2022) Update from the 5th Edition of the World Health Organization Classification of Head and Neck Tumors: Odontogenic and Maxillofacial Bone Tumours. Head and Neck Pathology, 16, 63-75. [Google Scholar] [CrossRef] [PubMed]
[2] Sohrabi, M. and Dastgir, R. (2021) Odontogenic Myxoma of the Anterior Mandible: Case Report of a Rare Entity and Review of the Literature. Clinical Case Reports, 9, e04609. [Google Scholar] [CrossRef] [PubMed]
[3] Chaudhary, Z., Sharma, P., Gupta, S., Mohanty, S., Naithani, M. and Jain, A. (2015) Odontogenic Myxoma: Report of Three Cases and Retrospective Review of Literature in Indian Population. Contemporary Clinical Dentistry, 6, 522-528. [Google Scholar] [CrossRef] [PubMed]
[4] Mascitti, M., Togni, L., Pirani, F., Rubini, C. and Santarelli, A. (2018) Peripheral Odontogenic Myxoma: Report of Two New Cases with a Critical Review of the Literature. The Open Dentistry Journal, 12, 1079-1090. [Google Scholar] [CrossRef
[5] Ngham, H., Elkrimi, Z., Bijou, W., Oukessou, Y., Rouadi, S., Abada, R.L., et al. (2022) Odontogenic Myxoma of the Maxilla: A Rare Case Report and Review of the Literature. Annals of Medicine & Surgery, 77. [Google Scholar] [CrossRef] [PubMed]
[6] Kumar, N., Kohli, M., Pandey, S. and Agarwal, P. (2010) Odontogenic Myxoma. Journal of Maxillofacial and Oral Surgery, 13, 222-226. [Google Scholar] [CrossRef] [PubMed]
[7] Kharbouch, J., Aziz, Z., Lahrach, M., Bennaoui, Y., Aboulouidad, S., EL Bouihi, M., et al. (2022) Mandibular Nerve Schwannoma: A Case Report. Pan African Medical Journal, 42, Article No. 24. [Google Scholar] [CrossRef] [PubMed]
[8] Shivashankara, C., Nidoni, M., Patil, S. and Shashikala, K.T. (2017) Odontogenic Myxoma: A Review with Report of an Uncommon Case with Recurrence in the Mandible of a Teenage Male. The Saudi Dental Journal, 29, 93-101. [Google Scholar] [CrossRef] [PubMed]
[9] Tarjan, A., Rezaee, M., Danesteh, H. and Samirani-Nezhad, N. (2021) Odontogenic Myxoma with Pain and Uncommon Histological Feature in the Mandible. Journal of Oral and Maxillofacial Pathology, 25, 356-360. [Google Scholar] [CrossRef] [PubMed]

Copyright © 2025 by authors and Scientific Research Publishing Inc.

Creative Commons License

This work and the related PDF file are licensed under a Creative Commons Attribution 4.0 International License.