Extracting a Mandibular Incisior for an Orthodontic Purpose: A Case Series

Abstract

Although there are ongoing controversies, tooth extraction as a solution for various malocclusions has been a well-established practice for decades. While premolar extractions are the most common, there are cases where atypical extractions are indicated. While decision-making can be challenging, when cases are carefully selected, the treatment outcomes are comparable to, and sometimes better than, those achieved with conventional extraction patterns. This article presents three clinical cases successfully managed through the extraction of a single lower incisor. Given the limited scientific research on this topic, we provide a clear and practical clinical framework that orthodontists can use as a reference in their daily practice, highlighting the advantages, indications, limitations, and stability of this therapeutic approach.

Share and Cite:

Ousehal, L., Mansy, H., Majid, A. and El Quars, F. (2025) Extracting a Mandibular Incisior for an Orthodontic Purpose: A Case Series. Open Access Library Journal, 12, 1-1. doi: 10.4236/oalib.1112965.

1. Introduction

The main goal of orthodontic treatment is to obtain well-aligned teeth, functional occlusion and balanced facial structures. In some cases, where there is a severe discrepancy between the teeth and the skeleton, achieving these therapeutic objectives may not be possible without dental extractions [1] [2]. Indeed, this radical approach facilitates the biomechanics and increases the long term-stability with a more stable dental position [3].

Historically, the orthodontic pendulum has shifted predominantly from a non-extraction philosophy in the early 1900’s to extraction-oriented treatment plans in the middle of the century [1] [4] [5]. The necessity of tooth extractions in orthodontics was a contentious issue, with notable contributions from Sheldon Friel and Edward H. Angle [6]. Today, differing approaches persist between advocates of nonextraction expansion and those who support extractions. In fact, orthodontists often face uncertainty about whether to extract or not in order to treat ‘borderline’ cases.

Typically, premolars—either the first or second—are the most commonly extracted permanent teeth for orthodontic purposes, with a prevalence reaching 20% of cases [7]. Atypical extractions, such as molar or canine extractions, may be proposed in certain clinical situations. However, lower incisor extractions have gained increasing acceptance among orthodontists.

Currently, 1.1% - 6% of orthodontic treatment plans involve the extraction of a lower incisor [8]. The main indications for mandibular incisor extraction (MIE) include tooth size discrepancies, ectopic eruption of mandibular incisors, and moderate Class III malocclusions [3] [9].

Extraction of a lower incisor for an orthodontic purpose may be tempting as it may simplify the biomechanics and reduce the overall time treatment. Nevertheless, this atypical extraction scheme remains controversial because of its side-effects. In fact, it has been reported that MIE may increase the overbite and overjet beyond acceptable limits, and also lead to a space re-opening, partially unsatisfactory posterior occlusion, relapse of crowding and loss of the interdental gingival papillae in the remaining lower incisors [1] [8].

The aim of this work is to present clinical cases of young Moroccan patients treated successfully, with whom one mandibular incisor extraction was selected as a treatment option. Moreover, it aims to emphasis on the advantages, indications, limitation and the stability of results of this therapeutic approach. Understanding these aspects allows clinicians to make a well-informed and prudent decision about whether to incorporate this approach into their patients’ treatment plans.

2. Case Reports

2.1. Case 1

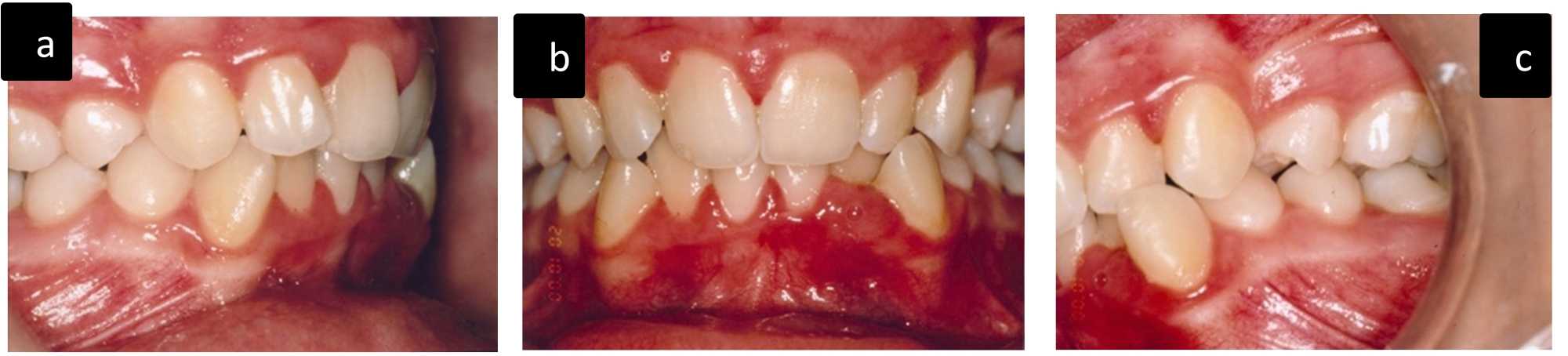
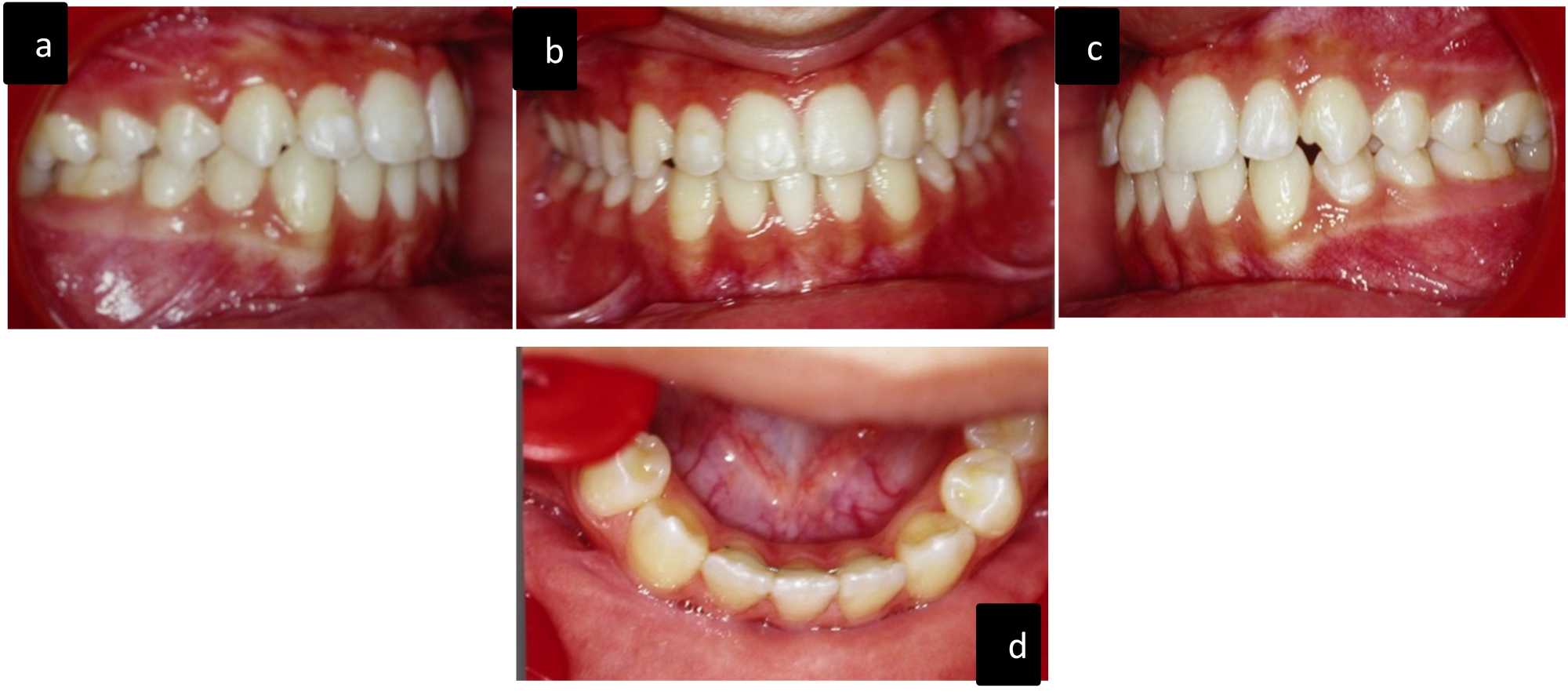
Intraoral examination revealed that the hygiene was adequate. The maxillary and mandibular dental midlines did not coincid with the maxillary midline deviated to the right side. The patient had a significant overbite with an inclined occlusal plane. Moreover, they presented a rotation of the maxillary right lateral incisor, a linguo-version of the maxillary incisor.

Figure 1. Pretreatment intraoral photographs. (a) Right lateral, (b) Frontal, (c) Left Lateral.

A class II canine and molar on the left side and a class I molar and canine class on the right side were anoted. The mandibular arch presented a moderate crowding (See Figure 1).

The adapted treament plan involved the extraction of extraction of 32 due to excess mandibular dental material.

TREATMENT PROGRESS:

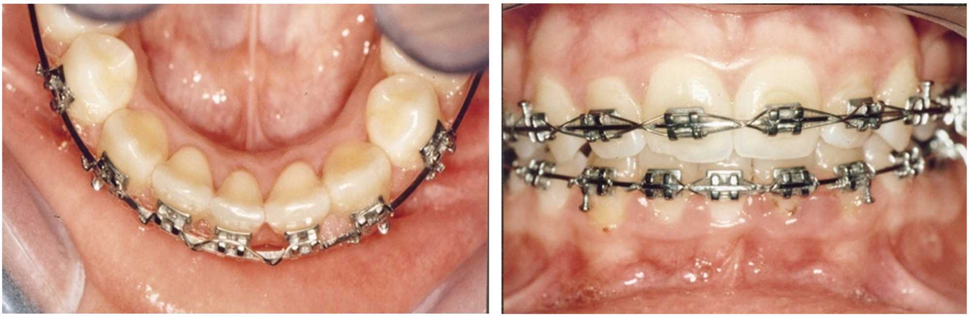
Treatment was initiated with 0.022” × 0.028” appliance. Alignment and leveling were accomplished in 6 months with sequential nickel-titanium arch wires (014”, 016”, 016 × 022” and 017 × 025”). After the alignment the 32 space was consumed (See Figure 2)

Figure 2. Intraoral photographs in progress after closure of the 32 space.

TREATMENT RESULTS

After 24 months of treatment, brackets were debonded. A fixed retainer wire was placed on both maxillary and mandibular arches.

At the end of orthodontic treatment, the treatment objectives set at the beginning of the treatment were achieved. Improved alignment and arch coordination were observed, the deep bite and class II malocclusion were corrected. (See Figure 3)

Figure 3. Final intraoral photographs. (a) frontal, (b) mandibular occlusal.

2.2. Case 2

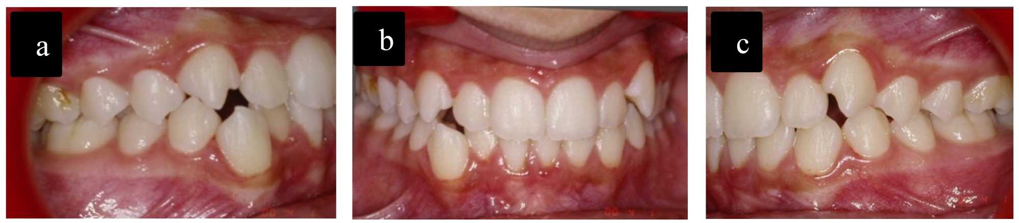
Intraoral examination revealed that the hygiene was adequate. The maxillary and mandibular dental midlines did not coincid with the mandibular midline deviated to the right side. The patient had an overbite of 2 mm with inclination of occlusal plane. Moreover, they presented a maxillary canine with vestibular ectopy.

A class III canine and molar on the left side and on the right side were noted. The mandibular arch presented a moderate crowding as well as a deep curve of Spee (See Figure 4).

Figure 4. Pretreatment intraoral photographs. (a) Right lateral, (b) frontal, (c) left lateral.

The adapted treament plan involved the extraction of Extraction of 32 due to excess mandibular dental material.

TREATMENT PROGRESS

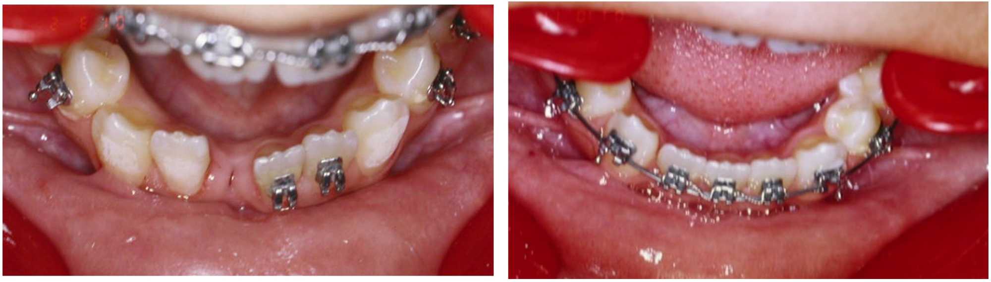
Treatment was initiated with 0.022” × 0.028” appliance. Alignment and leveling were accomplished in with sequential nickel-titanium arch wires (014”, 016”, 016 × 022” and 017 × 025”). Space 32 has been closed, giving space for alignment and the installation of a Class I canine and molar occlusion (See Figure 5).

Figure 5. Intraoral photographs in progress after closure of the 32 space.

TREATMENT RESULTS

After 24 months of treatment, brackets were debonded. A fixed retainer wire was placed on both maxillary and mandibular arches.

At the end of orthodontic treatment, the treatment objectives set at the beginning of the treatment were achieved. In the dental relationship: Alignment is ensured by extracting the 32, reduction of the overjet and overbite and of the interincisal angle. (See Figure 6)

Figure 6. Final intraoral photographs. (a) Right lateral, (b) frontal, (c) left lateral, (d) mandibular occlusal.

2.3. Case 3

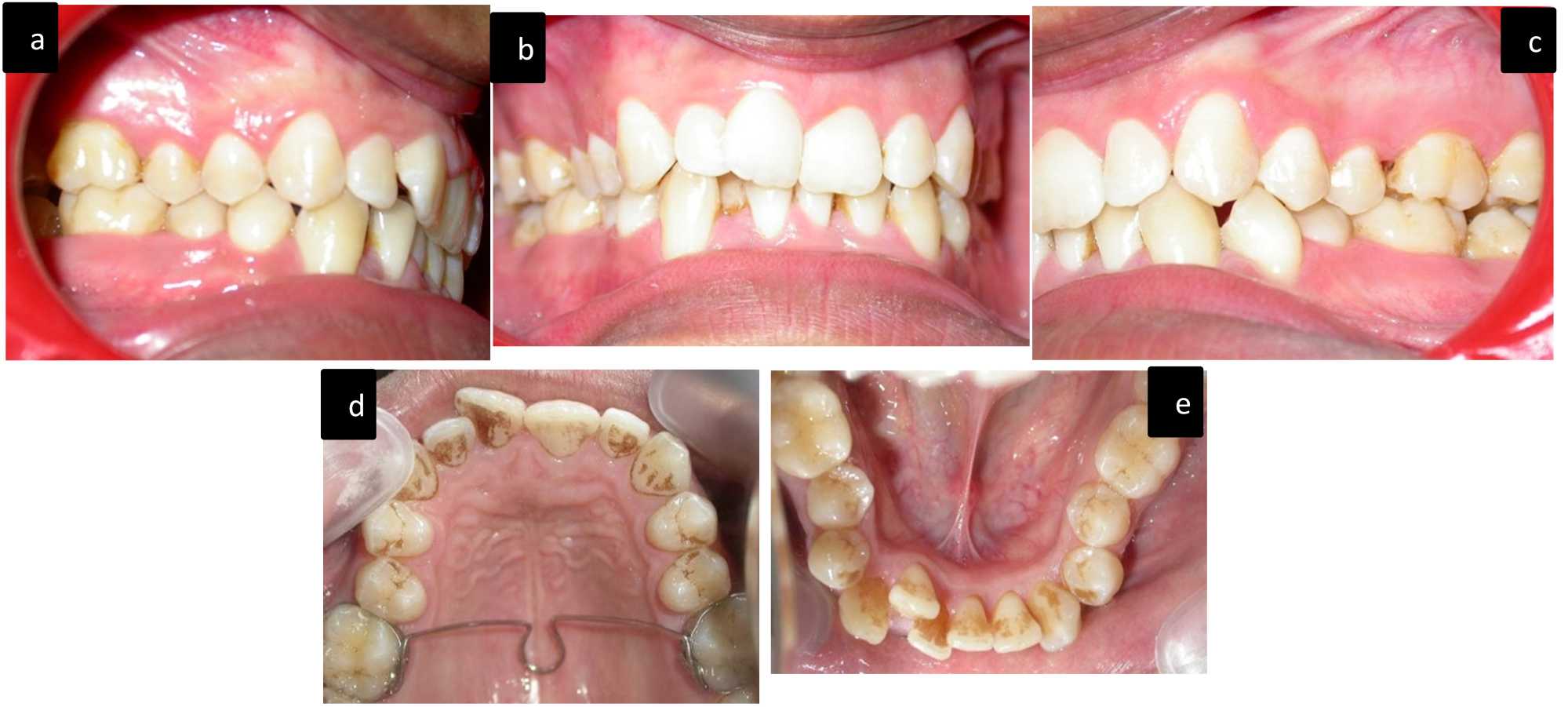
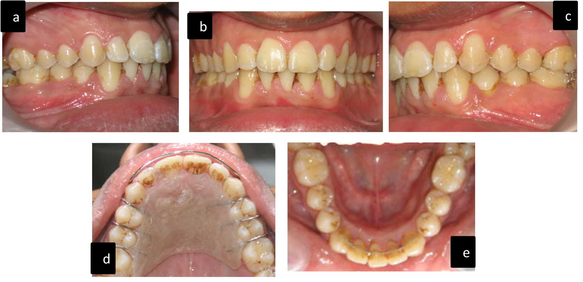
An adult patient reported to the orthodontic department with a chief complaint of anterior crowding and presented with periodontal problems. Intraoral examination revealed a Class I canine and Class III molar on the left side, and a Class I canine and molar on the right side. The mandibular arch exhibited significant crowding, and the patient had a deep curve of Spee. (See Figure 7)

Figure 7. Pretreatment intraoral photographs. (a) Right lateral, (b) frontal, (c) left lateral, (d) maxillary occlusal, (e) mandibular occlusal.

The radiographic examination shows that the patient presents bone lysis suggestive of aggressive periodontitis. The bone loss was pronounced in the lower incisor region. (See Figure 8)

Figure 8. Pretreatment radiographs.

The adapted treatment plan involved the extraction of tooth 32 due to the presence of aggressive periodontitis.

TREATMENT RESULTS

After 24 months of treatment, brackets were debonded. A fixed retainer wire was placed on both maxillary and mandibular arches.

At the end of orthodontic treatment, the treatment objectives set at the beginning of the treatment were achieved; In the dental relationship: There was a Class I canine and molar correction due to the extraction of the 32, reduction of the overjet and overbite and of the interincisal angle (See Figure 9).

Figure 9. Final intraoral photographs. (a) Right lateral, (b) frontal, (c) left lateral, (d) maxillary occlusal, (e) mandibular occlusal.

3. Discussion

The present case series demonstrates the effectiveness of one incisor extraction in specific clinical situations. It is well known that this therapeutic approach is indicated in particular cases [2].

First, the relative size of the mandibular teeth, including cases with small or missing maxillary incisors, as well as situations involving a large maxillary midline diastema [10]. Moreover, cases of mild-to-moderate mandibular tooth size excess are most commonly treated using lower incisor extractions [8].

Next, the mandibular tooth size-arch length discrepancy especially in class I malocclusions (case 1). The extraction of one mandibular incisor associated with an interproximal reduction (IPR) of maxillary teeth can resolve severe mandibular incisor crowding (tooth size–arch length discrepancy of 5 mm or more), including also cases of relapse. So is the case of minor to mild class II misalignment. Although it is highly controversial, in class II division 1 malocclusion, the extraction of a single mandibular incisor may resolve lower anterior crowding without the need for maxillary premolar extraction. Class II can then be corrected using conventional methods, such as maxillary molar distalization or Class II elastics.

Lastly, this approach is recommended for mild to moderate Class III malocclusions, especially in cases with edge-to-edge occlusion of the incisors or anterior crossbite. As a result, the dimensions of the mandibular arch decrease, allowing for an improvement in overbite and overjet.

When faced with a case that meets one of these indications, the orthodontist must decide which of the four lower incisors to extract [2] [8] [11]. The choice depends on the incisor’s size, intrinsic value, and position. The central incisor is most often preferred, as this allows treatment to finish with two lateral incisors of equal width, leaving a central incisor that is typically slightly smaller. Furthermore, the choice between the 31 and 41 is based on proximity to the midline, retaining the more centrally positioned tooth.

Nevertheless, in some cases, extraction of a lateral incisor may be required, especially if it has a low intrinsic value (2,8) due to caries, pathological root resorption, or advanced periodontitis, as demonstrated in case 3. Additionally, a lingually or buccally displaced lateral incisor, as seen in case 2, may be chosen for extraction.

As previously mentioned, the extraction of a lower mandibular incisor for orthodontic purposes is an atypical treatment choice, but it has shown excellent results for our patients. By the end of the active treatment, the smile had become wider and aesthetically pleasing, with well-aligned gingival margins. Moreover, thanks to proximal enamel reduction of the maxillary incisors and the adopted biomechanics, the overjet obtained did not compromise anterior guidance at the end of treatment.

Comparing pre- and post-treatment smile attractiveness between mandibular incisor extraction (MIE) cases and non-extraction (NE) controls, Lee et al. noted in a recent study [12] that there were no significant differences in treatment outcomes between orthodontic cases treated with MIE or NE.

Considering the particularities of each clinical case, some difficulties may occur during the orthodontic treatment especially: increased overjet at the end of the active treatment, mesial tipping of the canines and its impact on the functional canine guidance, and aesthetic consequences such as midline discrepancies and gingival papilla loss at the extraction site [2] [13]. A recent systematic review published in 2021 by Ajwa et al. [1], suggested that the probability of such periodontal concerns can be significantly reduced by lingually tipping the mandibular incisor prior to extraction, though this may extend the overall treatment duration by 2 to 6 months.

Treatment results with one mandibular incisor extraction have been supported by numerous case reports to date [2]-[5] [7] [9] [10] [13] [14]. This atypical treatment choice, despite the aforementioned challenges, enables clinicians to achieve good occlusal and aesthetic harmony with minimal orthodontic manipulation. Advantages of this approach include preserving more teeth—extracting only one incisor instead of four premolars—and shortening treatment duration, as the required tooth movement is minimal. Furthermore, it is seen as a suitable solution for adults seeking relatively quick results with minimal adverse effects on the soft tissue profile [2] [13].

According to Zhylich and Suri [8], several factors are associated with successful outcomes following mandibular incisor extraction:

Firstly, careful case selection and planning, including tooth-size analysis and diagnostic set-up.

Secondly, interproximal enamel reduction (IPR) of the maxillary and mandibular incisors. In mandibular incisor extraction cases, IPR of the superior teeth is usually necessary to resolve Bolton discrepancy between maxillary and mandibular teeth thereby normalizing the overbite and overjet. That being said, orthodontists may be tempted to choose only interproximal enamel reduction to treat borderlines cases. Almeida et al. [15] conducted a systematic review to determine the best treatment for resolving anterior lower crowding in Class I patients with permanent dentition, concluding that both IPR and mandibular incisor extraction are effective for addressing moderate anterior crowding. Hence, the clinical decision should be made taking into consideration dental characteristics (teeth shape, thickness of the enamel, presence of interproximal restorations and root proximity), crowding, and general oral health and hygiene [8] [9] [15].

Thirdly, optimal angulation of the remaining mandibular incisors. The likelihood of open interproximal embrasures increases when the remaining incisors are mesially inclined. Properly paralleling the roots of these teeth reduces this risk.

Finally, equilibration of the mandibular canines is compulsory to maintain occlusal contact in centric occlusion, even when the canines are slightly mesially tipped.

Regarding the stability of mandibular incisor extraction treatment [2] [8] [16], there is still a lack of solid scientific evidence due to the limited number of studies. In some of the reported cases, the initially severe inferior crowding may slightly relapse. Consequently, prolonged fixed retention is often necessary to prevent space reopening [10].

Nonetheless, this therapeutic approach is claimed to be more stable compared to premolar extraction cases [8]. This increased stability is attributed to the decrease in intercanine width following lower incisor extraction, contrary to its increase in non-extraction or premolar extraction cases.

4. Conclusion

Based on data from the literature and the three clinical cases we presented, it can be concluded that the therapeutic extraction of a lower incisor can yield satisfactory outcomes. However, longitudinal studies conducted on a wide range of patients are needed to better understand and assess the long-term outcomes of this treatment modality, as well as to explore its advantages and risks, including gingival papilla loss, crowding recurrence, and space reopening. Moreover, this article serves as a guide to help clinicians accurately select favorable cases, wisely choose the tooth to be extracted, meticulously plan the treatment, and promptly anticipate and manage problems and difficulties during orthodontic management.

Ethical Considerations

We have submitted the work for the approval of the department manager and the centre through the main supervisor. We sought and obtained the verbal informed consent of the patient’s guardian for the publication of the result of our work with the scientific community.

Conflicts of Interest

There is no conflict of interest in this work.

Conflicts of Interest

There is no conflict of interest in this work.

References

[1] Ajwa, N., Albarkheel, H., Alammar, L., Alwoseamer, A., Alhassoun, A. and Aljoudi, J. (2021) The Considerations of Mandibular Incisor Extraction in Orthodontic Treatment: A Systematic Review. Annals of Dental Specialty, 9, 42-51. [Google Scholar] [CrossRef
[2] Matsumoto, M.A.N., Romano, F.L., Ferreira, J.T.L., Tanaka, S. and Morizono, E.N. (2010) Extração de incisivo inferior: uma opção de tratamento ortodôntico. Dental Press Journal of Orthodontics, 15, 143-161. [Google Scholar] [CrossRef
[3] Goel, M., Maheshwari, A., Raju, D.S., Veereshi, A., Naidu, D.L. and Raju, B.R. (2012) Therapeutic Extraction of Lower Incisor for Orthodontic Treatment. The Journal of Contemporary Dental Practice, 13, 574-577. [Google Scholar] [CrossRef] [PubMed]
[4] Sah, J.K., Mishra, P., Shrestha, R.M. and Gupta, A. (2018) Treatment of Class I Malocclusion with a Lower Incisor Extraction: A Case Report. Orthodontic Journal of Nepal, 8, 58-62. [Google Scholar] [CrossRef
[5] Bayram, M. and Özer, M. (2007) Mandibular Incisor Extraction Treatment of a Class I Malocclusion with Bolton Discrepancy: A Case Report. European Journal of Dentistry, 1, 54-59. [Google Scholar] [CrossRef
[6] Peck, S. (2017) Extractions, Retention and Stability: The Search for Orthodontic Truth. European Journal of Orthodontics, 39, 109-115. [Google Scholar] [CrossRef] [PubMed]
[7] Palone, M., Casella, S., Bastianoni, D., Siciliani, G. and Lombardo, L. (2020) Lower Incisor Extraction Therapy in a Complex Case with an Ankylosed Tooth in an Adult Patient: A Case Report. International Orthodontics, 18, 850-862. [Google Scholar] [CrossRef] [PubMed]
[8] Zhylich, D. and Suri, S. (2011) Mandibular Incisor Extraction: A Systematic Review of an Uncommon Extraction Choice in Orthodontic Treatment. Journal of Orthodontics, 38, 185-195. [Google Scholar] [CrossRef] [PubMed]
[9] Beycan, K. and Acar, A. (2016) Mandibular Incisor Extraction: 5-Year Follow-Up. Journal of Istanbul University Faculty of Dentistry, 50, 62-66. [Google Scholar] [CrossRef] [PubMed]
[10] Hakami, Z. and Cherian, R. (2019) Mandibular Incisor Extraction: A Treatment Alternative for Large Maxillary Midline Diastema. International Orthodontics, 17, 596-605. [Google Scholar] [CrossRef] [PubMed]
[11] Chaqués Asensi, J. (2012) Extraction d’une incisive mandibulaire en orthodontie: Indication, plan de traitement et gestion clinique pour différentes malocclusions. LOrthodontie Française, 83, 183-200. [Google Scholar] [CrossRef] [PubMed]
[12] Lee, S., Firth, F.A., Bennani, F., Harding, W., Farella, M. and Antoun, J.S. (2019) Evaluation of Objective and Subjective Treatment Outcomes in Orthodontic Cases Treated with Extraction of a Mandibular Incisor. The Angle Orthodontist, 89, 862-867. [Google Scholar] [CrossRef] [PubMed]
[13] Barbosa, V.L.T. (2013) Angle Class I Malocclusion Treated with Lower Incisor Extraction. Dental Press Journal of Orthodontics, 18, 150-158. [Google Scholar] [CrossRef] [PubMed]
[14] Machado, G.B. (2015) Treating Dental Crowding with Mandibular Incisor Extraction in an Angle Class I Patient. Dental Press Journal of Orthodontics, 20, 101-108. [Google Scholar] [CrossRef] [PubMed]
[15] Almeida, N.V.D., Silveira, G.S., Pereira, D.M.T., Mattos, C.T. and Mucha, J.N. (2015) Interproximal Wear versus Incisors Extraction to Solve Anterior Lower Crowding: A Systematic Review. Dental Press Journal of Orthodontics, 20, 66-73. [Google Scholar] [CrossRef] [PubMed]
[16] Gandhi, R., Jnaneshwar, P., Venkatesan, K., Devasahayam, D., Rajaram, K., Mohamed Azharudeen, R., et al. (2023) Assessment of the Outcomes and Stability after Mandibular Incisor Extraction in Orthodontic Patients: A Systematic Review and Meta-Analysis. Journal of Dental Research, Dental Clinics, Dental Prospects, 17, 71-80. [Google Scholar] [CrossRef] [PubMed]

Copyright © 2025 by authors and Scientific Research Publishing Inc.

Creative Commons License

This work and the related PDF file are licensed under a Creative Commons Attribution 4.0 International License.