Status of Cerebrovascular Accidents (CVA) in Bangui, Central African Republic: Contribution of Computerised Tomography (CT)

Abstract

A stroke is a focal or global cerebral deficit lasting more than 24 hours from vascular origin. It is a diagnostic and therapeutic emergency. It is a serious condition because it is potentially fatal or can cause disability. CT plays a key role in the diagnosis of these lesions. The Aim of Our Work was to describe the radiological and clinical aspects of these lesions for better management. Materials and Methods: This was a descriptive cross-sectional study involving patients of both sexes referred for cerebral CT in the medical imaging department in Bangui over a 12-month period from January to December 2022. All patients with a stroke diagnosed by a CT scan were included in the study. Results: During the study period, 550 CT scans were performed, of which 198 strokes were diagnosed by cerebral CT scan, representing a frequency of 36%. There was a male predominance with a sex ratio of 1.4. The average age of onset was 59 ± 12 years. High blood pressure was the predominant risk factor for stroke in 42 cases (52.5%). The clinical signs were dominated by sensory-motor deficits in 74 cases (36.8%), followed by hemiparesis in 50 cases (24.9%). On CT scan, ischaemic stroke predominated with 165 cases (83.3%) and haemorrhagic stroke in 33 cases (16.7%). The topography of the lesions was predominantly supratentorial in 180 cases (90.9%) in the Sylvian artery territory. The correlation between risk factors and this condition revealed a statistically significant link between high blood pressure and the onset of stroke p < 0.00001. Conclusion: CT plays a key role in the diagnosis of stroke. Ischemic stroke is by far the most common type, preferentially located in the capsulo-lenticular or capsulo-thalamic region.

Share and Cite:

Mobima, T. , Kette, J. , Kouzou, S. , Soulet, H. , Tambala, B. , Tapiade, E. and Songrou, F. (2026) Status of Cerebrovascular Accidents (CVA) in Bangui, Central African Republic: Contribution of Computerised Tomography (CT). Open Journal of Radiology, 16, 81-86. doi: 10.4236/ojrad.2026.162009.

1. Introduction

A stroke is the sudden onset of focal or global clinical signs of cerebral dysfunction lasting more than 24 hours and of vascular origin [1]. It is a diagnostic and therapeutic emergency. It is a serious condition because it is potentially fatal or can cause disability. In developed countries, its incidence is estimated at between 100 and 200 per 100,000 inhabitants per year [2]. In Africa, several hospital studies have been devoted to the clinical and epidemiological aspects of this condition. They indicated that strokes accounted for 30% to 37% of hospitalisations in neurology and were responsible for one-third of deaths, with a predominance of ischaemic forms [3] [4]. Cerebral computed tomography (CT) plays a key role in determining the type of lesion. Given the scale and severity of this condition in the Central African Republic, the CT scan profile is poorly understood in current practice, hence the choice of this study. The aim of the study was to describe the radiological and clinical aspects of the lesions with a view to improving management.

2. Materials and Methods

This was a cross-sectional study conducted at the Bangui Medical Imaging Centre from January to December 2022 (12 months). All patients with a stroke confirmed by brain scan were included.

Demographic data (identity, age and sex), the patient’s history to identify risk factors, and the results of the neurological or other clinical examinations were collected on a pre-established survey form. A brain scan was requested for all patients suspected of having a stroke, but whether it was performed depended on the financial means of the patient or their family. An examination cost 40,000 CFA francs (60 euro), compared to the minimum wage of 30,000 CFA francs, or 48 euro per month in the Central African Republic, and there is no health insurance or mutual insurance system to cover healthcare costs.

The device used was a TOSHIBA 16-slice scanner. The scan consisted of a helical acquisition of the brain in thin slices without contrast injection, with coronal and sagittal reconstruction. The images were read in parenchymal and bone windows. The diagnosis of ischaemic stroke was made in the presence of hypodensity in a vascular territory. The diagnosis of haemorrhagic stroke was made in the presence of spontaneous hyperdensity in the cerebral parenchyma, whether or not it spread to the ventricular system or subarachnoid spaces.

Statistical analysis of epidemiological, clinical and CT data was performed using Word and Epi Info version 3.5.4 software.

3. Results

3.1. Epidemiological Data

During the study period (12 months), 550 brain CT scans were performed, 198 of which were for stroke, representing 36%. The average age of patients was 59 ± 12, with a predominance of males (sex ratio of 1.4).

The over-60 age group was the most represented, accounting for 50% (97/198) of cases, as shown in Table 1.

Table 1. Distribution of patients by age and gender.

n = 198%

Age

˂ 20

00

00

21-40

21

10.1

41-60

81

40.9

˃ 60

97

50

Gender

Male

115

58.1

Female

83

41.9

3.2. Risk Factors

High blood pressure was the main risk factor, accounting for 52.5% (42/80) of cases, followed by type 2 diabetes, accounting for 25% (20/80) of cases then alcoholism for 22.5% (18/80) of cases.

3.3. Clinical Aspects

Motor or sensorimotor hemiplegia accounted for 36.8%, followed by hemiparesis in 24.9%. Dysarthria and aphasia accounted for 15.9% and 8.4%, respectively.

3.4. Computed Tomography Findings

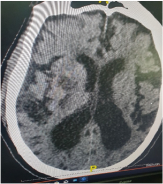
Ischemic stroke was predominant, accounting for 83.3% represented by Figure 1 of cases, consisting mainly of lacunar infarcts and established ischemic strokes, most often located in the superficial or deep Sylvian territory represented by Figure 2. Haemorrhagic lesions accounted for 16.7% and were often distributed as capsulolenticular and capsulothalamic haematomas. Shown in Table 2.

One case of cerebral venous thrombosis was noted.

Regarding the topography of the lesions, 90.9% (180/198) were supratentorial and 9.1% (18/198) were infratentorial.

The correlation between risk factors and this pathology revealed a statistically significant link between high blood pressure (HBP) and the onset of a stroke, as shown in Table 3.

Source. Bangui Medical Imaging Centre.

Figure 1. Right capsulolenticular hypodensity in the deep Sylvian territory consistent with ischaemic stroke.

Source: Bangui Medical Imaging Centre.

Figure 2. Left capsulo-thalamic hyperdensity surrounded by perilesional oedema and ventricular contamination suggestive of haemorrhagic stroke.

Table 2. Distribution of patients according to CT scan findings.

Diagnosis of lesions

n = 198

%

Ischemic stroke

165

83.3

Haemorrhagic stroke (haematoma and subarachnoid haemorrhage)

33

16.7

Table 3. Correlation between risk factors and stroke.

Stroke risk factors

Ischemic

Haemorrhagic

Total

High blood pressure, whether or not associated with alcoholism and diabetes

64

16

80

No history of high blood pressure or diabetes

101

17

118

Total

165

33

198

Chi-square = 97.9, p < 0.05.

4. Discussion

During the study period, we observed a stroke incidence of 36% at the Bangui Medical Imaging Center. This result is slightly lower than the incidence reported in Senegal, where the authors noted a hospital incidence in Cote d’Ivoire, which is 30% [5]. In Nigeria population found a prevalence of 58 per 100,000 inhabitants.

However, in an epidemiological survey conducted in Tunisia in 1993, the authors estimated that strokes did not represent a public health problem.

In our series, we noted a male predominance. A male predominance was also found in Senegal, Cote d’Ivoire and Switzerland: 60% men and 40% women [6].

High blood pressure is the most common risk factor, found in 52.5% of cases, which is roughly identical to the result of a study in Sierra Leone [7]: 60%.

In Chad, strokes accounted for 10.5% of complications from hypertension [8]. Despite the low recruitment of diabetic patients, our study found proportions similar to those found in Burkina Faso [9], 7.3%. In Nigeria, 50% [10] of deaths among hypertensive diabetics are thought to be attributable to strokes.

On CT scans, Sylvian lacunar ischaemic strokes predominated, which was practically similar to the results observed in Côte d’Ivoire [11]. Haemorrhagic strokes consisted mainly of intraparenchymal haematomas, preferentially located in the capsulo-lenticular or capsulo-thalamic regions.

The topography of the lesions was often supratentorial in 90.9% of cases, corroborating the findings of several African authors.

Study limitations

The sample size of our study, 198 patients, is underestimated and therefore constitutes a selection bias, as some patients lacking financial resources cannot access this examination. Furthermore, some patients with severe pain were not referred to the imaging center. Our result cannot be extrapolated to the entire Central African Population. However, these results provide a statistical overview of strokes at the National Medical Imaging Center in Bangui.

5. Conclusion

Strokes remain a daily concern in the Central African Republic, as in other African countries. In this study, computed tomography improved the diagnosis of strokes, enabling a better distinction between ischaemic and haemorrhagic strokes and identifying the topography of the lesions. The vast majority of these strokes were ischaemic in nature, occurring in the superficial or deep Sylvius territory. Haemorrhagic lesions were dominated by intraparenchymal haematomas, preferentially capsulo-lenticular or capsulo-thalamic.

Conflicts of Interest

The authors declare no conflicts of interest regarding the publication of this paper.

References

[1] N’Dakena, K., Adjeunou, K., Sonhaye, L., et al. (2019) Clinical Radiology Course. 2nd Edition, 2: 89.
[2] Diagana, M., Traore, H., Bassima, A., et al. (2002) Contribution of Computed Tomography to the Diagnosis of Cerebrovascular Accidents (CVA) in Nouakchott, Mauritania. Médecine Tropicale, 62, 145-149.
[3] Dumas, M., Girard, P.L., N’Diaye, I.P., et al. (1973) Strokes in Senegal. Bulletin de la Societe Medicale Dafrique Noire de Langue Francaise, 18, 256-257.
[4] N’Diaye, I.P. (1989) Cerebral Vascular Accidents. Epidemiological aspects in Senegal. African Journal of Neurological Sciences, 8, 12-16.
[5] Kouassibe, R.J., Piquemal, M., et al. (1992) Cerebral vascular accidents in Côte d’Ivoire. Cardiologie Tropicale, 18, 151.
[6] Romdhane, N.A., Ben Hamida, M., Mrabet, A., Larnaout, A., Samoud, S., Ben Hamda, A., et al. (1993) Prevalence Study of Neurologic Disorders in Kelibia (Tunisia). Neurology Epidemiology, 12, 285-299. [Google Scholar] [CrossRef] [PubMed]
[7] Lisk, D.R. (1993) Hypertension in Sierra Leone Stroke Population. East African Medical Journal, 70, 284-287.
[8] Mouanodji, M., Mahamat, H., Djikoloum, D., et al. (200) High Blood Pressure in the Medical and Surgical Emergency Department. Based on 139 Cases Observed at N’Djamena General Hospital. Archives des Maladies du Coeur et des Vaisseaux, 93, 997-1001.
[9] Zabsonre, P., Yameogo, A., Mollogo, D., et al. (1997) Etude des facteurs de risque et de gravité des Accidents Vasculaires Cérébraux chez des Noirs Africains au Burkina Faso. Médecine Tropicale, 57, 147-152.
[10] Kolawole, B.A. and Ajayi, A.A. (2000) Prognostic Indices for Intra-Hospital Mortality in Nigerian Diabetic NIDDMA Patients. Role of Gender and Hypertension. Journal of Diabetes and its Complications, 14, 84-89.[CrossRef] [PubMed]
[11] Balogou, A.A.K. (1995) Infractus Sylviens totaux dans le service de Neurologie du CHU de Cocody, à propos de 20 cas. Mémoire CES de Neurologie, Université de Cocody, 26 p.

Copyright © 2026 by authors and Scientific Research Publishing Inc.

Creative Commons License

This work and the related PDF file are licensed under a Creative Commons Attribution 4.0 International License.