Paratesticular Rhabdomyosarcoma in a 30 Months Old Child at the Lagoon Mother and Child Teaching Hospital (CHUMEL) in Cotonou

Abstract

Introduction: Rhabdomyosarcoma is the most common soft tissue tumor in children. Modern multidisciplinary approaches make it possible to better characterize the different entities and to adapt the treatment accordingly. Paratesticular localization is rare and aggressive. We report here a case of paratesticular localization in a 30 months old boy. Observation: The parents would have noticed a small, painless and rapidly evolving testicular mass in the 6 months old child. Not having health insurance, they went to the hospital only 5 months later. This was followed by a total ablation of the mass (without orchidectomy) and a pleiomorphic rhabdomyosarcoma had been concluded. No chemotherapy was performed and the mass recurred 2 months later. This time, its ablation was followed by a series of non-adapted chemotherapy sessions with irregular follow-ups leading 8 months later to the child’s admission at our department. He presented with a degraded general condition, associating an infectious and anemic syndrome, an important increase of the scrotal mass and the occurrence of a tumoral mass in the left iliac fossa. The tumoral nature of these masses was confirmed on abdominal ultrasound and scan. The tumor was classified stage II (TNM: initial Tumors, Nodes, Metastasis). The multidisciplinary medical staff indicated a total ablation of the two masses, followed by a new session of adapted chemotherapy, in the absence of radiotherapy means. The child died in the immediate surgery follow-ups due to cardiac arrest. Conclusion: In our context of insufficient technical facilities, only early detection and adapted imperative chemotherapy, would have enabled a durable remission in front of the paratesticular rhabdomyosarcoma.

Share and Cite:

Gilles, B. , Joseph, A. , Medard, G. , Edson, S. , Dominique, K. , Séraphin, G. and Maroufou, A. (2022) Paratesticular Rhabdomyosarcoma in a 30 Months Old Child at the Lagoon Mother and Child Teaching Hospital (CHUMEL) in Cotonou. Open Journal of Pediatrics, 12, 245-251. doi: 10.4236/ojped.2022.121027.

1. Introduction

Rhabdomyosarcoma is a malignant mesenchymal tumor characterized by the presence of cells with striated muscle differentiation similar to rhabdomyoblasts. Paratesticular locations account for 7% of all rhabdomyosarcomas in children [1]. Embryonal and alveolar histological types are the most frequent in children, the pleiomorphic type exclusively occurring in adults [2] [3]. Modern multidisciplinary approaches make it possible to better characterize the different entities and to adapt the treatment accordingly. We report here a case of pleiomorphic paratesticular rhabdomyosarcoma in a 30 months old boy. Our aim in presenting this case was to emphasize the prognostic value of early diagnosis and adequate multidisciplinary management.

2. Observation

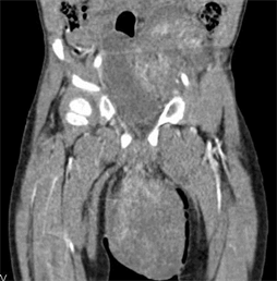
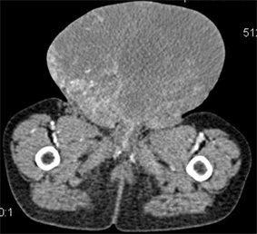
H.G. was a 30 months old boy admitted for the management of a testicular mass fortuitously discovered by the parents at the age of 6 months. It was then a small, painless and rapidly evolving testicular mass. A management had initially been started in a health facility, which consisted of a first excision of the mass that would have been total and a second one six months later as the mass recurred. An orchidectomy had not been performed. The anatomopathological investigation had found a proliferation of multinucleated cells of variable shape with eosinophilic cytoplasm; the desmin, actin and vimentin tests were positive. A pleiomorphic rhabdomyosarcoma had been concluded. He then received seven sessions of unsuitable and unsuccessful chemotherapy (Doxorubicin, Vincristine and Cyclophosphamid). Let’s mention that in the pediatric oncology unit, there was a not yet published cohort wherein the rhabdomyosarcoma proportion was 3.7% with 5 cases out of 132 children. H.G. was admitted at CHUMEL, two years after the disease onset in this context. No particular personal or family history was noted. The patient’s initial clinical examination revealed a general condition not significantly degraded, a normal skin and mucous membranes coloration, a good hydration and nutrition status with a weight of 11 kg. There was no infectious or edematous syndrome. The genitourinary examination revealed a shiny oval scrotal mass, 17 cm × 13 cm in size, a twisted and infiltrated penis, the presence of a left inguinal scar (Figure 1(a) and Figure 1(b)) and a bladder globe. The hepato-digestive examination revealed a fixed oval mass in the left iliac fossa, hard, painless with a regular surface, measuring 03 cm × 2.5 cm. There was no hepatomegaly or splenomegaly. The lymph nodes areas were free. The thoraco-abdominal scan performed as part of the extension investigation (Figure 2(a) and Figure 2(b)) revealed a large intra-scrotal mass measuring approximately 140 × 125 × 127 mm, having an heterogeneous multi-lobulated shape, a tissue (42 HU: Hounsfield Unity) and necrotic (30 HU) components, richly vascularized septa after contrast agent injection that persisted in the late stage; and a mass in the left iliac fossa with multi-lobulated shape, measuring 60 × 54 × 54 mm, heterogeneous, with a hyper-vascularized tissue and necrotic components, with an enhancement kinetics similar to the intra-scrotal mass, latero-deviating the bladder without invading it. No thoracic or bony location was observed. Proof-reading of the slide by another pathologist was consistent with the initial diagnosis of a pleiomorphic rhabdomyosarcoma. The tumor was classified as stage II (TNM) and had a poor prognosis (location, size, initial resection and

(a) (b)

Figure 1. Scrotal mass on admission ((a) front view; (b) side view).

(a) (b)

Figure 2. Thoraco-abdominal CT scan ((a) transverse section of scrotal mass; (b) sagittal section).

type). The child was hospitalized, given analgesics (Paracetamol) and benefited from a urine diversion cystostomy. An additional investigation revealed a normochromic anemia (hemoglobin 10 g/dL), a discrete hyperleukocytosis with neutrophilia and thrombocytosis (539 G/L). The kidney function and the blood electrolytes were normal. The evolution was marked by a progressive degradation of the general condition associating an infectious and anemic syndrome, a progressive increase in the volume of the scrotal mass with necrosis areas, the tumor size increasing to 22 × 17 cm against 17 × 13 cm at admission (Figure 3) and an extension of the mass towards the hypogastrium. After a multidisciplinary meeting involving the surgical team, the pediatric team including the onco-pediatrician, the radiologists and the anesthetists, a surgical removal of the mass was indicated, followed by a chemotherapy and a radiotherapy. Per operatively, corpora cavernosa and spongiosa invasion was noted, and the urethra was catheterized with a CH 08 urethro-vesical probe. Both were excised (Figure 4(a) and Figure 4(b)). The hemostasis was satisfactory, and the patient had received two blood units transfusions. The immediate postoperative incident was an

Figure 3. Evolution of scrotal mass at admission during hospitalization.

(a) (b)

Figure 4. Resected masses ((a) scrotal; (b) abdominal).

irreversible cardiorespiratory arrest.

3. Discussion

Rhabdomyosarcoma develops from primitive mesenchymal cells that differentiate into striated muscle. It is rare in children and accounts for approximately 5% of pediatric malignancies [4]. In our cohort, the proportion of rhabdomyosarcoma cases is 3.7%. This data is lower than those reported in the literature, but in our context, it only reflects hospital realities, given that many cases remain undiagnosed or not referred to hospitals for various reasons [5]. It occurs in children between 2 and 5 years old and during adolescence [6]. A case of paratesticular rhabdomyosarcoma in a 14 years old adolescent has been reported in Tunisia [7]. Our child was 6 months old at the disease onset, which is early compared to peaks found in the literature [6]. However, this child was seen in an adequate hospital structure at 30 months, that is, 2 years after the beginning of his disease. Paratesticular location accounts for 7% - 11% of childhood RMS and 10% of childhood testicular tumors [1] [5]. Other locations have been reported in studies from Africa and Europe: orbital, palpebral, parotid, auricle [2] [8] [9]. Paratesticular localizations have been described in neonates, in a 23 years old adult and a 63 years old man [10] [11] [12]. Paratesticular rhabdomyosarcoma develops from the mesenchymal tissues of the spermatic cord, the epididymis and testicular tunics. It was discovered in our patient following a painless intrascrotal mass. A cautious examination of an acute bursa was carried out and allowed to elimination of the main causes of large non-painful bursa, namely: hydrocele, cord cyst, epididymitis or inguino-scrotal hernia, which could lead to a detrimental diagnostic delay. The contribution of imaging is fundamental. At the initial evaluation, ultrasound was sufficient in studies done in Tunisia and France to suspect the diagnosis [1] [7]. The scan was done to assess the extension as in our patient. Anatomopathological examination of the orchidectomy specimen confirms the diagnosis by specifying the histological type. There are essentially 3 histological types of rhabdomyosarcoma: the embryonic, the alveolar and the pleomorphic types. Their frequency varies with age. Embryonal rhabdomyosarcomas preferentially affect children under 10 years of age, alveolar rhabdomyosarcomas affect adolescents and pleomorphic rhabdomyosarcoma are found in adults over 45 years of age. Embryonal subtypes are considered low-risk or standard-risk tumors, whereas alveolar are high-risk with a poorer prognosis [13]. The pleiomorphic type seen in our patient had been reviewed by different pathologists who confirmed it. It is very rare in children and in the literature; the cases observed were in adults [14]. The management of rhabdomyosarcoma in children requires a multidisciplinary approach involving pediatric oncologist, pediatric surgeon, radiation therapist, radiologist and pathologist. Inguinal orchidectomy with high and first spermatic cord ligation is the standard treatment in localized forms [3]. Treatment options after orchidectomy include lumbo-aortic dissection, chemotherapy and radiotherapy. Multidrug chemotherapy is indicated in all cases. The treatment protocols duration varies from 18 to 24 months. These protocols include the VAC, IVA and VIE protocol (V: vincristine; A: actinomycin D; E: etoposide; I: ifosfamide and C: cyclophosphamide). The combination of vincristine, actinomycin D and cyclophosphamide is the most widely used and is based on the administration of several courses of treatment spread over 5 days and spaced 2 to 4 weeks apart [1]. The therapeutic attitude in our patient was initially made of an ablation without orchidectomy, which did not correspond to the recommendations and would explain the early recurrence. Moreover, the recommended VAC chemotherapy protocol uses Actinomycin D and not Adriamycin as was the case before the referral. Adriamycin has a high cardiac toxicity, hence the interest in performing a cardiac investigation including heart ultrasound to evaluate the systolic ejection fraction. Also, the maximum cumulative dose not to be exceeded should be calculated and respected if the indication is made as in resistant forms. The unfavorable outcome in our patient could be explained by the initial non-adapted management of both surgery and chemotherapy, but also by the referral delay to an appropriate hospital with cardiac complications probably present. In our context of insufficient technical facilities, only an early detection, and an adapted imperative chemotherapy, would have enabled a durable remission in front of the paratesticular rhabdomyosarcoma

4. Conclusion

Paratesticular rhabdomyosarcoma is a rare tumor which requires an early diagnosis, a precise assessment of extension, and a multidisciplinary management. In our context of insufficient technical resources, only a total removal of the tumor associated with an orchidectomy, and an imperative adapted chemotherapy, would have enabled a durable remission in front of the para-testicular rhabdomyosarcoma.

Authors’ Contributions

Gbénou Antoine Séraphin, Bognon Gilles, Kunaba Safari Dominique, Guédénon Médard collected the data.

Gbénou Antoine Séraphin, Bognon Gilles, Akodjenou Joseph, Soho Edson analyzed and interpreted the data.

Gbénou Antoine Séraphin, Bognon Gilles, Kunaba Safari Dominique wrote the article.

Gbénou Antoine Séraphin, Bognon Gilles, Akodjenou Joseph, Alao Jules Maroufou reviewed the article. All authors read and approved the final version of the manuscript.

Conflicts of Interest

The authors declare no conflicts of interest.

References

[1] Faure, A., Diakite, M.-L., Panait, N., Chaumoître, K., Rome, A. and Merrot, T. (2012) Le rhabdomyosarcome paratesticulaire de l’enfant: Une urgence scrotale. Archives de Pédiatrie, 19, 1340-1344.
[CrossRef] [PubMed]
[2] Chirat, M., Dainese, L., Fasola, S., Couloigner, V., Denoyelle, F., Garabedian, E.-N., et al. (2016) Une tuméfaction inhabituelle du pavillon: Le rhabdomyosarcome de l’oreille externe chez l’enfant. Annales françaises d’oto-rhino-laryngologie et de pathologie cervico-faciale, 133, 21-24.
[CrossRef
[3] Dasgupta, R. and Rodeberg, D.A. (2012) Update on Rhabdomyosarcoma. Seminars in Pediatric Surgery, 21, 68-78.
[CrossRef] [PubMed]
[4] McCarville, M.B., Spunt, S.L. and Pappo, A.S. (2001) Rhabdomyosarcoma in Pediatric Patients: The Good, the Bad, and the Unusual. American Journal of Roentgenology, 176, 1563-1569.
[CrossRef] [PubMed]
[5] Agbeille, M.F., Kpanidja, M.G., Bognon, G., Noudamadjo, A., Adédémy, J.D. and Agossou, J. (2020) Epidémiologie des cancers de l’enfant dans le service de pédiatrie du centre hospitalier universitaire départemental du borgou/alibori au Bénin. Journal de la Société de Biologie Clinique du Bénin, 33, 47-51.
[6] Wu, H.Y., Snyder, H.M. and Womer, R.B. (2009) Genitourinary Rhabdomyosarcoma: Which Treatment, How Much, and When? Journal of Pediatric Urology, 5, 501-506.
[CrossRef] [PubMed]
[7] Ghorbal, L., Abid, W., Elloumi, F., Sallemi, T., Frikha, M. and Daoud, J. (2015) Rhabdomyosarcome Embryonnaire Paratesticulaire: A propos d’un cas et revue de la littérature. Cancer/Radiothérapie, 19, 334-336.
[CrossRef] [PubMed]
[8] Bacha, D., Chaabane, A., Charfi, L., Douggaz, A., Kilani, H. and Chelbi, E. (2021) Rhabdomyosarcome sclérosant de la parotide: Localisation inhabituelle d’une tumeur mésenchymateuse rare. Annales de Pathologie, 41, 123-128.
[CrossRef] [PubMed]
[9] Bonnin, N., Nezzar, H., Viennet, A., Barthelemy, I., Demeocq, F., Gabrillargues, J., et al. (2010) Rhabdomyosarcome palpébral chez un enfant agé de deux ans. Journal Français d’Ophtalmologie, 33, 178-184.
[CrossRef] [PubMed]
[10] Benchekroun, A., Lachkar, A., Soumana, A., Farih, M.H. and Belahnech, Z. (1998) Rhabdomyosarcome para testiculaire: A propos d’un cas. Annales d’Urologie, 32, 107-110.
[11] Kourda, N., El Atat, R., Derouiche, A., Bettaib, I., Baltagi, S. and Zermani, R. (2007) Rhabdomyosarcome pléomorphe paratesticulaire de l’adulte: Diagnostic et prise en charge. Cancer/Radiothérapie, 11, 280-283.
[CrossRef] [PubMed]
[12] Sow, O., Sarr, A., Ndiaye, M., Ze Ondo, C., Sine, B., Ndiath, A., et al. (2021) Rhabdomyosarcome Paratesticulaire: A propos d’un cas chez un adulte jeune. PAMJ Clinical Medicine, 5, 1-5.
[CrossRef
[13] Burrows, N.P., Ratnavel, R.C., Grant, J.W., Cormack, G.C. and Pye, R.J. (1994) Auricular Embryonal Rhabdomyosarcoma. Dermatology, 189, 301-303.
[CrossRef] [PubMed]
[14] Guérin, F. and Martelli, H. (2020) La place du curage rétropéritonéal dans les Rhabdomyosarcomes para-testiculaires du jeune. Bulletin du Cancer, 107, 666-667.
[CrossRef] [PubMed]

Copyright © 2026 by authors and Scientific Research Publishing Inc.

Creative Commons License

This work and the related PDF file are licensed under a Creative Commons Attribution 4.0 International License.